Фокусированный ультразвук под контролем МРТ в лечении цервикальной дистонии
- Авторы: Галимова Р.М.1,2, Иллариошкин С.Н.3, Бузаев И.В.1,2, Сидорова Ю.А.2, Крекотин Д.К.2, Сафин Ш.М.1, Набиуллина Д.И.2, Ахмадеева Г.Н.1,2, Терегулова Д.Р.2
-
Учреждения:
- ФГБОУ ВО «Башкирский государственный медицинский университет»
- ООО «Клиника интеллектуальной нейрохирургии» Международного медицинского центра им. В.С. Бузаева
- ФГБНУ «Научный центр неврологии»
- Выпуск: Том 17, № 4 (2023)
- Страницы: 28-34
- Раздел: Оригинальные статьи
- Статья получена: 15.08.2023
- Статья одобрена: 21.09.2023
- Статья опубликована: 25.12.2023
- URL: https://annaly-nevrologii.com/pathID/article/view/1020
- DOI: https://doi.org/10.54101/ACEN.2023.4.3
- ID: 1020
Цитировать
Аннотация
Введение. Фокусированный ультразвук под контролем МРТ (МР-ФУЗ) одобрен для лечения различных расстройств движений, в первую очередь эссенциального тремора и болезни Паркинсона, причём такие вмешательства, выполненные в мире на многих сотнях пациентов, сопровождаются благоприятными долгосрочными результатами. Однако в доступной литературе описаны лишь единичные случаи использования данной технологии для коррекции симптомов дистоний, которые могут быть весьма инвалидизирующими и по распространённости занимают третье место среди всех клинических форм расстройств движений.
Цель исследования — улучшение результатов лечения пациентов с цервикальной дистонией (ЦД) при помощи технологии МР-ФУЗ.
Материалы и методы. Ретроспективно проанализированы данные 13 пациентов с различными типами ЦД, которым проводилось лечение с помощью МР-ФУЗ поэтапно или одномоментно. Средний возраст пациентов составил 42 [39; 53] года. Состояние пациентов и выраженность симптомов ЦД оценивали по шкале спастической кривошеи Западного Торонто (TWSTRS, оценка тяжести ЦД) во время лечения и в последний доступный период наблюдения. В качестве мишеней использовали паллидоталамический тракт и вентрооральное ядро таламуса или их комбинацию.
Результаты. Средний период клинического наблюдения за пациентами составил 13,3 ± 3,4 мес (с июля 2021 г. по апрель 2023 г.). Средняя сумма баллов по шкале TWSTRS (оценка тяжести ЦД) составила 22 [16; 25] до МР-ФУЗ и 6 [4; 9] — в последний доступный период наблюдения. Таким образом, достигнуто улучшение на 70,6% [55,6; 76,5] (парный критерий Вилкоксона р = 0,0025).
Заключение. Имеющиеся данные позволяют говорить, что МР-ФУЗ является эффективным и достаточно безопасным методом коррекции симптомов ЦД, резистентной к фармакологическим методам лечения. Многие важные аспекты применения МР-ФУЗ у пациентов с ЦД ещё предстоит уточнить на более обширных когортах больных в рамках многолетнего катамнестического наблюдения.
Полный текст
Введение
Цервикальная дистония (ЦД) — самая распространённая (до 50% случаев) среди всех клинических форм дистоний. Она относится к фокальным дистониям, характеризуется непроизвольными тоническими сокращениями или интермиттирующими спазмами мышц шеи с формированием патологических поз головы, шеи и дрожанием головы [1–5]. Распространённость ЦД составляет 1,2–5,7 на 1 000 000 [2], заболеваемость — 8–12 на 1 000 000 человек в год [3], наибольший пик проявления ЦД приходится на возраст 30–50 лет [2–4]. Это расстройство в 2 раза чаще наблюдается у пациентов женского пола [2]. Этиология ЦД весьма многообразна. Принято выделять врождённые (идиопатическая дистония) и приобретённые формы [5–7]. При идиопатической ЦД показана связь заболевания с мутациями в генетических локусах DYT2, DYT13, DYT23, DYT24, DYT25 и др. [8]. Приобретённые формы развиваются при разнообразных по генезу поражениях ствола головного мозга, базальных ядер, длительном приёме антагонистов дофаминовых рецепторов и т.д. [4, 8]. В группе пациентов с проявлениями дистонии наблюдается особенно большая доля функциональных (психогенных) форм, что требует от неврологов предельного внимания и большого опыта в постановке диагноза [9].
Симптомы ЦД обычно прогрессируют в течение первых нескольких лет, а затем наступает плато [4, 5]. Клиническая картина включает патологическое положение головы (тортиколлис, тортикапут, латероколлис, латерокапут, антероколлис, антерокапут, ретроколлис, ретрокапут), шеи и плеч с дистоническим тремором головы, усиливающиеся при произвольных движениях, утомлении и психоэмоцио-нальном напряжении. Многие пациенты используют корригирующие жесты (прикасание к подбородку, щеке) для уменьшения выраженности симптомов. Данное заболевание приводит к высокой нетрудоспособности пациентов, ограничивает бытовую, социальную жизнь, часто сопровождается депрессией, тревожными расстройствами и фобиями [3–5, 10]. Выраженность симптомов ЦД оценивается с использованием шкал, самой удобной и распространённой из которых является шкала спастической кривошеи Западного Торонто (TWSTRS) [11].
Подходы к лечению ЦД за последние несколько лет претерпели значительные изменения — от лечебной физкультуры, медикаментозной терапии, хирургических вмешательств на мышцах шейного отдела, стереотаксической аблации, глубинной стимуляции головного мозга до инновационных малоинвазивных подходов, таких как применение фокусированного ультразвука под контролем МРТ (МР-ФУЗ) [6, 7, 12–17]. Медикаментозное лечение пероральными формами препаратов (клоназепам, антихолинергические препараты, миорелаксанты и др.) чаще всего малоэффективно и сопровождается значимыми побочными явлениями при попытке увеличения дозировки с целью достижения необходимого терапевтического эффекта [4, 16]. Золотым стандартом лечения ЦД в настоящее время является использование ботулинического токсина типа А для уменьшения патологических движений и болевого синдрома [6, 7]. Недостатками метода являются необходимость периодических инъекций каждые 3–4 мес, неодинаковая эффективность при различных клинических проявлениях ЦД, снижение эффективности и развитие рефрактерности у части пациентов [16, 18].
Первое упоминание о хирургическом лечении ЦД датируется 1641 г., когда немецкий врач Minnius произвёл перерезку грудинно-ключично-сосцевидной мышцы [10]. Воздействия на различные группы мышц были популярны для лечения симптомов ЦД до середины ХХ в. и внедрения функциональных стереотаксических операций. Последние совершили переворот в нейрохирургическом лечении ЦД и заложили основы для внедрения современных методов лечения — глубинной стимуляции мозга (ГСМ) и МР-ФУЗ. Большой опыт в проведении деструктивных операций при дистониях получен отечественными нейрохирургами [10, 19–21].
Уже в 1970-х гг. в работах R. Hassler и G. Dieckmann на осно- вании экспериментальных данных W. Hess была сделана попытка выбора мишеней для деструкции c учётом клинической картины ЦД с воздействием на паллидоталамический путь (PTT) в проекции H1-поля Фореля (при тортиколлисе) и вентрооральное (VO) ядро таламуса (при латероколлисе), контралатерально повороту головы [22, 23]. В наблюдении за 112 пациентами с ЦД после вентролатеральной таламотомии Э.И. Кандель пришёл к выводу о большей эффективности двустороннего вмешательства, особенно при наличии гиперкинезов головы [19]. Данные наблюдения согласуются с современными представлениями о патогенезе ЦД [14, 24, 25].
До широкого внедрения ГСМ деструктивные операции были ведущим методом лечения симптомов ЦД с эффективностью 50–70%. При этом преимущественно выполнялись односторонние вмешательства, поскольку двусторонние деструкции нередко сопровождались осложнениями (20–70% случаев), такими как дизартрия, дисфагия, атаксия, симптомы паркинсонизма [12, 14, 24].
С конца ХХ в. процедура ГСМ стала ведущим методом нейрохирургического лечения ЦД [15, 26, 27]. Стимуляция правого и левого внутреннего сегментов бледного шара (GPi-ГСМ) является самым распространённым методом лечения у пациентов с ЦД, которые не ответили на лекарственную и ботулиническую терапию. Улучшение после двусторонней GPi-ГСМ по шкале TWSTRS варьирует от 27,8% [15] до 51,4% [27] или 66,6% [28]. Эти расхождения обусловлены разными параметрами стимуляции и различиями в когортах пациентов и сроках наблюдений. По данным J. Volkman и соавт., 10% пациентов не ответили на GPi-ГСМ, несмотря на многочисленные попытки изменения параметров стимуляции [17].
Внедрение в клиническую практику технологии МР-ФУЗ для лечения двигательных расстройств стало ренессансом функциональных деструктивных воздействий на головной мозг. За последние годы накоплены многочисленные данные об эффективности и безопасности данного метода у пациентов с эссенциальным тремором и болезнью Паркинсона [29–32]. Однако на момент написания работы нами обнаружены лишь единичные опубликованные наблюдения, посвящённые лечению дистоний с применением МР-ФУЗ [13, 33, 34]. Приводим наш собственный опыт лечения пациентов с ЦД с помощью МР-ФУЗ.
Цель исследования — улучшение результатов лечения пациентов с ЦД при помощи технологии МР-ФУЗ.
Материалы и методы
Ретроспективно проанализированы данные 13 пациентов с различными типами ЦД, которым проводилось лечение с помощью МР-ФУЗ поэтапно или одномоментно. Средний возраст пациентов составил 42 [39; 53] года (рис. 1). Во всех случаях семейный анамнез по дистонии был отрицательным. У 2 пациентов заболевание дебютировало с дистонического тремора рук в детском возрасте c последующим распространением симптомов на цервикальную мускулатуру; в других случаях гиперкинез изначально имел форму ЦД без распространения на другие сегменты тела или комбинации с другими двигательными расстройствами.
Риc. 1. Распределение оперированных пациентов с ЦД по возрасту.
Fig. 1. Age distribution of operated CD patients.
Все пациенты с ЦД прошли несколько курсов инъекций ботулотоксина и были рефрактерны к такому виду терапии. Возможность ГСМ была отклонена в силу субъективного неприятия имплантации механического устройства в головной мозг (отказ пациентов) либо из-за трудности доступа к медицинским центрам, которые проводят подбор параметров стимуляции.
Состояние пациентов и выраженность симптомов ЦД оценивали по шкале TWSTRS (оценка тяжести ЦД) во время лечения и в последний доступный период наблюдения. Для оценки уровня депрессии и тревоги у всех пациентов дополнительно проводили анкетирование по Госпитальной шкале тревоги и депрессии, шкале Монтгомери–Асберг [11].
Лечение симптомов ЦД у данных пациентов с использованием технологии МР-ФУЗ выполнено в Международном медицинском центре имени В.С. Бузаева на аппарате «ExAblate 4000» («Insightec v. 7.0.404») с 1024 пьезоэлектрическими генераторами ультразвуковых волн, объединённом с МРТ-аппаратом «GE Optima» (MR450Wб 1,5 Т). Подготовка всех пациентов к лечению проведена по стандартной методике подготовки к МР-ФУЗ.
В качестве мишеней мы использовали PTT, VO или их комбинацию (таблица). Поскольку не существует единого стандарта или научного обоснования преимуществ какой-либо мишени, выбор осуществляли индивидуально с учётом описанного в литературе опыта при конкретных особенностях клинического синдрома ЦД. Пробные обратимые воздействия ультразвуком позволяют моделировать эффект воздействия на какую-либо область мозга и находить наиболее эффективную мишень у конкретного пациента. Мишени подвергались по крайней мере двум воздействиям ультразвуком при температуре выше 55°С. Медиана времени проведения МР-ФУЗ составила 117 [79; 139] мин, медиана количества соникаций — 12 [11; 14, 5]. Разброс значений энергии составил 20 096–35 731 Дж при колебании температур в диапазоне 54–62°C.
Характеристики пациентов с ЦД, включённых в исследование
Characteristics of included CD patients
Клинические проявления ЦД CD clinical signs and symptoms | Возраст на момент проведения МР-ФУЗ MRgFUS age | Возраст дебюта ЦД CD onset age | Пол Sex | Сумма баллов по шкале TWSTRS — оценка тяжести ЦД TWSTRS score — assessed CD severity | Мишень воздействия Target | ||
до лечения pretreatment | после лечения post treatment | правое полушарие right hemisphere | левое полушарие left hemisphere | ||||
Правосторонний тортиколлис, правосторонний латероколлис, тремор головы Right torticollis, right torticollis, head tremor | 42 | 4 | М | 16 | 9 | PTT VO | |
Левосторонний тортиколлис, левосторонний латероколлис, тремор головы Left torticollis, left laterocollis, head tremor | 53 | 33 | М | 22 | 6 | PTT VO | |
Правосторонний тортиколлис, тремор головы Right torticollis, head tremor | 53 | 43 | Ж | 22 | 4 | PTT VO | |
Правосторонний тортиколлис, тремор головы Right torticollis, head tremor | 36 | 31 | Ж | 23 | 6 | PTT VO | |
Правосторонний тортиколлис, тремор головы Right torticollis, head tremor | 39 | 23 | Ж | 4 | 0 | PTT VO | |
Левосторонний тортиколлис, правосторонний латероколлис, орофациальная дистония Left torticollis, right laterocollis, orofacial dystonia | 39 | 37 | М | 27 | 9 | VO | PTT |
Левосторонний тортиколлис, левосторонний латероколлис, тремор головы Left torticollis, left laterocollis, head tremor | 42 | 18 | Ж | 17 | 4 | PTT VO | |
Правосторонний тортиколлис, левосторонний латероколлис, орофациальная дистония Right torticollis, left laterocollis, orofacial dystonia | 57 | 26 | М | 29 | 15 | VO | PTT |
Левосторонний тортиколлис, ретроколлис Left torticollis, retrocollis | 46 | 33 | Ж | 26 | 10 | PTT | VO |
Левосторонний. тортиколлис, тремор головы Left torticollis, head tremor | 30 | 15 | М | 9 | 4 | PTT | |
Правосторонний тортиколлис, тремор головы Right torticollis, head tremor | 57 | 27 | Ж | 13 | 2 | PTT VO | |
Правосторонний латероколлис, тремор головы Right laterocollis, head tremor | 32 | 17 | Ж | 17 | 5 | VO | PTT |
Правосторонний латероколлис Right laterocollis | 47 | 27 | Ж | 25 | 14 | PTT | |
Примечание. М — мужчины; Ж — женщины.
Note. M, male; F, female.
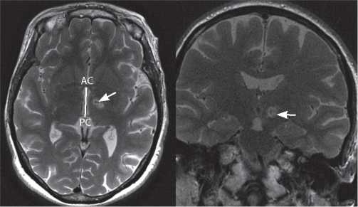
Во время процедуры МР-ФУЗ проводилось контрольное МРТ-исследование головного мозга в режиме T2 в аксиальной, сагиттальной и коронарной проекциях с толщиной среза 2 мм. Интраоперационная визуализация не выявила признаков кровоизлияния или нецелевого нагрева ни у одного из пациентов. После проведения лечения пациентам выполняли контрольное МРТ головного мозга через 2 и 24 ч, 30 дней: определялся незначительный отёк (1–3 мм) по краю и очаги некроза в местах воздействия (рис. 2).
Рис. 2. МРТ пациента через 30 дней после деструкции PTT справа методом МР-ФУЗ в аксиальной и коронарной проекции. Очаг деструкции указан стрелкой.
Fig. 2. Axial and coronal MR images in 30 days after right PTT MRgFUS destruction. The arrow indicates the destruction focus.
Результаты
Средний период клинического наблюдения за пациентами составил 13,3 ± 3,4 мес (с июля 2021 г. по апрель 2023 г.). Средняя сумма баллов по шкале TWSTRS (оценка тяжести ЦД) составила 22 [16; 25] до МР-ФУЗ и 6 [4; 9] в последний доступный период наблюдения; таким образом, достигнуто улучшение на 70,6% [55, 6; 76, 5] (парный критерий Вилкоксона р = 0,0025; рис. 3).
Рис. 3. Показатели по шкале TWSTRS до (I) и непосредственно после операции (II) с использованием МР-ФУЗ.
Fig. 3. TWSTRS scores pre (I) and immediately post (II) MRgFUS intervention.
Шесть пациентов испытали лёгкие побочные эффекты в виде нарушения походки и постуральной нестабильности, которые сохранялись в течение 3 нед. У двух пациентов была выраженная логорея, полностью регрессировавшая в течение месяца на фоне кветиапина в дозе 25 мг/сут. Двое пациентов-женщин отметили снижение памяти через 1 мес после МР-ФУЗ с последующим постепенным восстановлением к окончанию 1-го года наблюдения. У 2 пациентов выявлено изменение почерка с развитием незначительной микрографии и постепенным восстановлением в процессе послеоперационного наблюдения.
У 1 пациента с выраженным тремором головы наблюдался возврат гиперкинеза через 6 мес после воздействия МР-ФУЗ. Данному пациенту выполнено повторное лечение через 9 мес после первого воздействия, и в последующие 4 мес наблюдения возобновления симптомов дрожания головы не было.
За период наблюдения пациенты отметили очевидные положительные изменения в бытовой, социальной и профессиональной деятельности. Трое пациентов перешли на более высокооплачиваемую должность, 1 пациент полностью поменял сферу деятельности, сделав её более публичной (ранее он был программистом с работой в ночное время, а стал преподавателем), 1 пациентка получила предложение о замужестве, 1 пациенту снята инвалидность, 1 пациент вернулся к активной хирургической деятельности, 2 пациента возобновили прежнюю работу.
Обсуждение
Лечение пациентов с ЦД — большая проблема для неврологов [4, 5, 16, 18]. Применение ГСМ является лучшим вариантом и позволяет значительно уменьшить симптомы ЦД [15, 26], но в силу сложности методики и её малодоступности не все пациенты могут получить такой вид высокоспециализированной помощи. Альтернативным подходом функциональной нейрохирургии у этих пациентов может стать МР-ФУЗ, но, в отличие от болезни Паркинсона и эссенциального тремора, во всём мире опыт использования этой инновационной и малоинвазивной технологии при ЦД крайне ограничен, и МР-ФУЗ не включён пока в клинические рекомендации как метод выбора [13, 33, 34].
В 2021 г. было опубликовано открытое пилотное исследование S. Horisawa и соавт., которое показало, что МР-ФУЗ с воздействием на область VO значительно уменьшил выраженность фокальной дистонии кисти у 10 пациентов; единственным нежелательным явлением через 12 мес была лёгкая дизартрия у 1 больного [13]. В работе R. Jamora и соавт. продемонстрировано общее улучшение у 3 пациентов с Х-сцепленной дистонией-паркинсонизмом, перенёсших паллидоталамическую трактотомию с помощью МР-ФУЗ [34]. Оценка по шкале XDP-MDSP улучшилась на 36,2% через 6 мес и на 30,1% через 1 год, но при этом у 2 пациентов через 2–7 мес после процедуры манифестировало осложнение в виде центрального болевого синдрома.
Мы представили собственный положительный опыт лечения ЦД методом МР-ФУЗ (первый в России) у 13 пациентов с периодом наблюдения более 1 года и достигнутым улучшением симптомов по шкале TWSTRS (оценка тяжести ЦД) на 70,6%. У 1 пациента выполнено повторное воздействие в связи с возвратом тремора головы через 9 мес после первой деструкции. Наблюдавшиеся осложнения оказались относительно нетяжёлыми и разрешились в разные сроки до окончания первого года наблюдения. В качестве мишеней мы использовали воздействие на PTT и VO раздельно или в виде комбинации, исходя из данных литературы об исходах операций у соответствующих категорий пациентов [13, 14, 33, 34]. Так, деструкция PTT оказывает положительное влияние на симптомы ЦД благодаря прерыванию корково-базальных и таламокортикальных проводящих путей и модуляции эфферентных стимулов таламуса, а воздействие на область VO, согласно наблюдениям, может быть полезным у пациентов с латероколлисом [25, 35].
Имеющиеся на сегодня данные позволяют утверждать, что МР-ФУЗ может рассматриваться как эффективный метод коррекции симптомов ЦД, резистентной к фармакологическим методам лечения. Многие важные аспекты применения МР-ФУЗ у пациентов с ЦД ещё предстоит уточнить на более обширных когортах больных в рамках многолетнего катамнестического наблюдения. Данный метод может рассматриваться как перспективный вариант хирургического лечения и для пациентов с другими формами дистоний, но это требует подтверждения в отдельных исследованиях, в том числе мультицентровых. Можно ожидать, что по мере более широкого внедрения МР-ФУЗ в клинику сфера применения этой малоинвазивной технологии для лечения различных категорий пациентов с расстройствами движений будет постепенно расширяться.
Этическое утверждение. Исследование проводилось при добровольном информированном согласии пациентов. Протокол исследования одобрен локальным этическим комитетом ФГБНУ НЦН (протокол № 1-8/23 от 25.01.2023).
Источник финансирования. Авторы заявляют об отсутствии внешних источников финансирования при проведении исследования.
Конфликт интересов. Авторы декларируют отсутствие явных и потенциальных конфликтов интересов, связанных с публикацией настоящей статьи.
Вклад авторов. Все авторы внесли существенный вклад в разработку концепции, проведение исследования и подготовку статьи, прочли и одобрили финальную версию перед публикацией.
Ethics approval. The study was conducted with the informed consent of the patients. The research protocol was approved by the local Ethics Committee of the Research Center of Neurology (protocol No. 1-8/23, January 25, 2023).
Source of funding. This study was not supported by any external sources of funding.
Conflict of interest. The authors declare no apparent or potential conflicts of interest related to the publication of this article.
Author contribution. All authors made a substantial contribution to the conception of the work, acquisition, analysis, interpretation of data for the work, draf-ting and revising the work, final approval of the version to be published.
Об авторах
Резида Маратовна Галимова
ФГБОУ ВО «Башкирский государственный медицинский университет»; ООО «Клиника интеллектуальной нейрохирургии» Международного медицинского центра им. В.С. Бузаева
Автор, ответственный за переписку.
Email: rezida@galimova.com
ORCID iD: 0000-0003-2758-0351
к.м.н., ассистент каф. нейрохирургии и медицинской реабилитации с курсом ИДПО ФГБОУ ВО «Башкиркий государственный медицинский университет»; генеральный директор ООО «Клиника интеллектуальной нейрохирургии» Международного медицинского центра им. В.С. Бузаева
Россия, Уфа; УфаСергей Николаевич Иллариошкин
ФГБНУ «Научный центр неврологии»
Email: annaly-nevrologii@neurology.ru
ORCID iD: 0000-0002-2704-6282
д.м.н., профессор, акад. РАН, зам. директора по научной работе, директор Института мозга
Россия, МоскваИгорь Вячеславович Бузаев
ФГБОУ ВО «Башкирский государственный медицинский университет»; ООО «Клиника интеллектуальной нейрохирургии» Международного медицинского центра им. В.С. Бузаева
Email: igor@buzaev.com
ORCID iD: 0000-0003-0511-9345
д.м.н., профессор каф. госпитальной хирургии ФГБОУ ВО «Башкирский государственный медицинский университет»; директор по развитию ООО «Клиника интеллектуальной нейрохирургии» Международного медицинского центра им. В.С. Бузаева
Россия, Уфа; УфаЮлия Александровна Сидорова
ООО «Клиника интеллектуальной нейрохирургии» Международного медицинского центра им. В.С. Бузаева
Email: yuliasi.ufa@gmail.com
ORCID iD: 0000-0002-0992-0239
врач-невролог
Россия, УфаДмитрий Константинович Крекотин
ООО «Клиника интеллектуальной нейрохирургии» Международного медицинского центра им. В.С. Бузаева
Email: krekotin@yandex.ru
ORCID iD: 0000-0002-2215-7178
врач-рентгенолог
Россия, УфаШамиль Махмутович Сафин
ФГБОУ ВО «Башкирский государственный медицинский университет»
Email: safinsh@mail.ru
ORCID iD: 0000-0002-0100-6100
д.м.н., доцент, зав. каф. нейрохирургии и медицинской реабилитации с курсом ИДПО; зав. отд. нейрохирургии ГБУЗ «Республиканская клиническая больница им. Г.Г. Куватова»
Россия, УфаДинара Ильгизовна Набиуллина
ООО «Клиника интеллектуальной нейрохирургии» Международного медицинского центра им. В.С. Бузаева
Email: nabiullina.dinara@yandex.ru
ORCID iD: 0000-0003-2570-3709
врач-невролог
Россия, УфаГульнара Наилевна Ахмадеева
ФГБОУ ВО «Башкирский государственный медицинский университет»; ООО «Клиника интеллектуальной нейрохирургии» Международного медицинского центра им. В.С. Бузаева
Email: nevrolog.ufa@gmail.com
ORCID iD: 0000-0001-5516-0587
к.м.н., ассистент каф. неврологии ФГБОУ ВО «Башкирский государственный медицинский университет»; врач-невролог, паркинсонолог ООО «Клиника интеллектуальной нейрохирургии» Международного медицинского центра им. В.С. Бузаева
Россия, Уфа; УфаДинара Равилевна Терегулова
ООО «Клиника интеллектуальной нейрохирургии» Международного медицинского центра им. В.С. Бузаева
Email: dinamail@mail.ru
ORCID iD: 0000-0001-6283-3735
к.м.н., врач-невролог
Россия, УфаСписок литературы
- Albanese A., Bhatia K., Bressman S. et al. Phenomenology and classification of dystonia: a consensus update. Mov. Disord. 2013;28:863–873. doi: 10.1002/mds.25475
- Defazio G., Jankovic J., Giel J.L., Papapetropoulos S. Descriptive epidemiology of cervical dystonia. Tremor Other Hyperkinet. Mov. (N.Y.) 2013;3:tre-03-193-4374-203. doi: 10.5334/tohm.170
- Marras C., Van den Eeden S.K., Fross R.D. et al. Minimum incidence of primary cervical dystonia in a multiethnic health care population. Neurology. 2007;69(7):676–680. doi: 10.1212/01.wnl.0000267425.51598.c9
- Клинические рекомендации по диагностике и лечению дистонии / по ред. Е.И. Гусева, А.Б. Гехта. М.; 2014. 26 c. Gusev E.I., Gecht A.B. (eds.) Clinical guidelines for the diagnosis and treatment of dystonia. Moscow; 2014. 26 p. (In Russ.)
- Иллариошкин С.Н., Иванова-Смоленская И.А. Дрожательные гиперкинезы. Руководство для врачей. М.; 2011:100–103. Illarioshkin S.N., Ivanova-Smolenskaya I.A. Trembling hyperkinesis. Guide for doctors. Moscow; 2011:100–103. (In Russ.)
- Залялова З. А. Современные классификации мышечных дистоний, стратегия лечения. Журнал неврологии и психиатрии им. С.С. Корсакова. 2013;(3):85–89. Zalyalova Z.A. Current classifications of dystonies, treatment strategy. Zhurnal Nevrologii i Psikhiatrii imeni S.S. Korsakova. 2013;113(3):85–89. (In Russ.)
- Иволгин А.Ф., Авсейцева Т.Ю. Цервикальная дистония: пути повышения эффективности ботулинотерапии. Журнал неврологии и психиатрии им. С.С. Корсакова. 2020;120(6):137–143. Ivolgin AF, Avseitseva TY. Cervical dystonia: ways to improve the effectiveness of botulinum therapy. Zhurnal Nevrologii i Psikhiatrii imeni S.S. Korsakova. 2020;120(6):137–143. (In Russ.) doi: 10.17116/jnevro2020120061137
- Краснов М.Ю., Тимербаева С.Л., Иллариошкин С.Н. Генетика наследственных форм дистонии. Анналы клинической и экспериментальной неврологии. 2013;(2):55–62. Krasnov M.Yu., Timerbaeva S.L., Illarioshkin S.N. Genetics of hereditary forms of dystonia. Annals of Clinical and Experimental Neurology. 2013;(2):55–62. (In Russ.).
- Raju S., Ravi A., Prashanth, L. Cervical dystonia mimics: a case series and review of the literature. Tremor and Other Hyperkinetic Movements. Tremor Other Hyperkinet. Mov. (N. Y.). 2019;9:10.7916/tohm.v0.707. doi: 10.7916/tohm.v0.707
- Попов В.А., Томский А.А., Гамалея А.А., Седов А.С. История изучения патогенеза и хирургического лечения цервикальной дистонии. Журнал неврологии и психиатрии им. С.С. Корсакова. 2020;120(7):128–133. Popov V.A., Tomsky A.A., Gamaleya A.A., Sedov A.S. Historical view on the pathogenesis and surgical treatment of cervical dystonia. Zhurnal Nevrologii i Psikhiatrii imeni S.S. Korsakova. 2020;120(7):128–133. (In Russ.) doi: 10.17116/jnevro2020120071128
- Comella C.L., Leurgans S., Wuu J. et al. Rating scales for dystonia: a multicenter assessment. Mov. Disord. 2003;18(3):303–312. doi: 10.1002/mds.10377
- Loher T.J., Pohle T., Krauss J.K. Functional stereotactic surgery for treatment of cervical dystonia: review of the experience from the lesional era. Stereotact. Funct. Neurosurg. 2004;82(1):1–13. doi: 10.1159/000076654
- Horisawa S., Yamaguchi T., Abe K. Magnetic resonance-guided focused ultrasound thalamotomy for focal hand dystonia: a pilot study. Mov. Disord. 2021;36(8):1955–1959. doi: 10.1002/mds.28613
- Horisawa S., Kohara K., Nonaka T. et al. Unilateral pallidothalamic tractotomy at Forel’s field H1 for cervical dystonia. Ann. Clin. Transl. Neurol. 2022;9(4):478–487. doi: 10.1002/acn3.51532
- Loher T.J., Capelle H.H., Kaelin-Lang A. et al. Deep brain stimulation for dystonia: Outcome at long-term follow-up. J. Neurol. 2008;255(6):881–884. doi: 10.1007/s00415-008-0798-6
- Simpson D.M., Hallett M., Ashman E.J. et al. Practice guideline update summary. Botulinum neurotoxin for the treatment of blepharospasm, cervical dystonia, adult spasticity, and headache. Report of the Guideline Development Subcommittee of the American Academy of Neurology. Neurology. 2016;86(19):1818–1826. doi: 10.1212/WNL.0000000000002560
- Volkmann J., Wolters A., Kupsch A. et al. Pallidal deep brain stimulation in patients with primary generalised or segmental dystonia: 5-year follow-up of a randomised trial. Lancet Neurol. 2012;11(12):1029–1038. doi: 10.1016/S1474-4422(12)70257-0
- Коваленко А.П., Залялова З.А., Иволгин А.Ф. Новые подходы к лечению цервикальной дистонии. Концепция двойного навигационного контроля. Неврология, нейропсихиатрия, психосоматика. 2021;13(6):124–131. Kovalenko A.P., Zalyalova Z.A., Ivolgin A.F. Novel approaches to the treatment of cervical dystonia. The concept of dual navigation control. Neurology, Neuropsychiatry, Psychosomatics. 2021;13(6):124–131. (In Russ.) doi: 10.14412/2074-2711-2021-6124-131
- Кандель Э.И., Войтына С.В. Деформирующая мышечная (торсионная) дистония. М.; 1971. 184 c. Kandel E.I., Voityna S.V. Deforming muscular (torsion) dystonia. Moscow; 1971. 184 p. (In Russ.)
- Тюрников В.М., Маркова Е.Д., Добжанский Н.В. Хирургическое лечение краниальной и цервикальной дистонии. Нервные болезни. 2007;(3):28–32. Tyurnikov V.M., Markova E.D., Dobzhansky N.V. Surgical treatment of cranial and cervical dystonia. Nervous diseases. 2007;(3):28–32. (In Russ.)
- Холявин А.И., Аничков А.Д., Шамрей В.К. Функциональная нейрохирургия в лечении нервных и психических заболеваний. СПб.; 2018. 191 с. Kholyavin A.I., Anichkov A.D., Shamrey V.K. Functional neurosurgery in the treatment of nervous and mental diseases. St. Petersburg; 2018. 191 p. (In Russ.)
- Hassler R., Dieckmann G. Stereotactic treatment of different kinds of spasmodic torticollis. Confinia Neurologica. 1970;32(2-5):135–143. doi: 10.1159/000103408
- Hassler R., Hess W.R. Experimental and anatomic studies of rotatory movements and their control mechanisms. Arch. Psychiatr. Nervenkr. 1954;192:488–526. doi: 10.1152/jn.1962.25.4.455
- Horisawa S., Fukui A., Tanaka Y. et al. Pallidothalamic tractotomy (Forel’s Field H1-tomy) for dystonia: Preliminary results. World Neurosurg. 2019;129:e851–e856. doi: 10.1016/j.wneu.2019.06.055
- Kaji R., Bhatia K., Graybiel A. Pathogenesis of dystonia: is it of cerebellar or basal ganglia origin? J. Neurol. Neurosurg. Psychiatry. 2018;89:488–492. doi: 10.1136/jnnp-2017-316250
- Jacksch C., Zeuner K.E., Helmers A.K. Long-term efficacy with deep brain stimulation of the globus pallidus internus in cervical dystonia: a retrospective monocentric study. Neurol. Res. Pract. 2022;4:48. doi: 10.1186/s42466-022-00214-8
- Walsh R.A., Sidiropoulo C., Lozano A.M. et al. Bilateral pallidal stimulation in cervical dystonia: blinded evidence of benefit beyond 5 years. Brain. 2013;136(3):761–769. doi: 10.1093/brain/awt009
- Cacciola F., Farah J.O., Eldridge P.R. et al. Bilateral deep brain stimulation for cervical dystonia: Long-term outcome in a series of 10 patients. Neurosurgery. 2010;67(4):957–963. doi: 10.1227/NEU.0b013e3181ec49c7
- Fasano A., De Vloo P., Llinas M. et al. Magnetic resonance imaging-guided focused ultrasound thalamotomy in Parkinson tremor: reoperation after benefit decay. Mov. Disord. 2018;33(5):848–849. doi: 10.1002/mds.27348
- Martínez‐Fernández R., Rodríguez‐Rojas R., Del Álamo M. Focused ultrasound subthalamotomy in patients with asymmetric Parkinson’s disease: a pilot study. Lancet Neurol. 2018;17(1):54–63. doi: 10.1016/S1474-4422(17)30403-9
- Elias W., Lipsman N., Ondo W. A randomized trial of focused ultrasound thalamotomy for essential tremor. N. Engl. J. Med. 2016;375(8):730–739. doi: 10.1056/NEJMoa1600159
- Галимова Р.М., Набиуллина Д.И., Иллариошкин С.Н. и др. Первый в России опыт лечения пациентов с эссенциальным тремором методом фокусированного ультразвука под контролем МРТ. Анналы клинической и экспериментальной неврологии. 2022;16(2):5–14. Galimova R.M., Nabiullina D.I., Illarioshkin S.N. et al. First use of MRI-guided focused ultrasound to treat patients with essential tremor in Russia. Annals of Clinical and Experimental Neurology. 2022;16(2):5–14. (In Russ.). doi: 10.54101/ACEN.2022.2.1
- Horisawa S., Yamaguchi T., Abe K. A single case of MRI-guided focused ultrasound ventro-oral thalamotomy for musician’s dystonia. J. Neurosurg. 2018;131(2):384–386. doi: 10.3171/2018.5.JNS173125
- Jamora R., Chang W.C., Taira T. Transcranial magnetic resonance-guided focused ultrasound in X-linked dystonia-Parkinsonism. Life (Basel). 2021;11(5):392. doi: 10.3390/life11050392
- Gallay M.N., Moser D., Magara A.E. et al. Bilateral MR-guided focused ultrasound pallidothalamic tractotomy for Parkinson’s disease with 1-year follow up. Front. Neurol. 2021;12:601153. doi: 10.3389/fneur.2021.601153








