Postoperative hemorrhages in vestibular schwannoma surgery pontine hemorrhage. Clinical case report
- Authors: Rudenko P.G.1,2, Shnyakin P.G.1,2, Milyokhina I.E.1, Usatova I.S.1,2, Fayzova M.N.1
-
Affiliations:
- Professor V.F. Voyno-Yasenetsky Krasnoyarsk State Medical University
- Regional Clinical Hospital, Krasnoyarsk
- Issue: Vol 18, No 2 (2024)
- Pages: 100-109
- Section: Clinical analysis
- Submitted: 29.01.2024
- Accepted: 15.04.2024
- Published: 08.07.2024
- URL: https://annaly-nevrologii.com/pathID/article/view/1084
- DOI: https://doi.org/10.17816/ACEN.1084
- ID: 1084
Cite item
Abstract
Vestibular schwannoma (acoustic neuroma) is a benign tumor that develops from Schwann cells and can be life-threatening. Nowadays, surgical treatment is the method of choice in the management of patients with this type of tumor.
We present a clinical case report of 71 y.o. patient with vestibular schwannoma (Koos grade IV, Samii grade 4B) with severe compression of the pons and the left cerebellar hemisphere. Microsurgical removal of the tumor was performed via the retrosigmoid approach. Starting from postoperative day 1, signs of respiratory distress developed. Control multislice spiral computed tomography (MSCT) of the brain revealed the area of hemorrhage in the left regions of the pons. On postoperative day 24 the patient's condition rapidly worsened progressing to coma with pronounced arterial hypotonia and cardiac arrest.
Hemorrhage in the brain stem structures is a rare and life-threatening postoperative complication in vestibular schwannoma surgery. The incidence of postoperative hemorrhage is 2–11% of cases. Vascular complications are the leading cause of mortality. The key predisposing factors are older age, large and giant size of the tumor, tumor invasion into the pia mater of the brainstem, and vascularization of the tumor stroma. Comprehensive assessment of the tumor blood supply status, the state of the brainstem, intra- and postoperative clinical and neurophysiological monitoring, careful and thorough dissection of the tumor capsule and strict control of blood pressure in the postoperative period are the basis for the prevention of these complications.
Full Text
Introduction
Despite the great advances in the treatment of patients with vestibular schwannomas (VS), this type of tumors remains one of the most challenging in neurosurgery due to the proximity of the brainstem, cranial nerves, and vessels of the vertebrobasilar system [1–4]. While mortality associated with small VS resections is close to zero, in large and giant tumors it reaches 2.5–7.7% [5–8]. The vast majority of hospital patients have large and giant VS [3, 9–11].
Many studies on complications of the VS resection are focused on cranial nerve dysfunction and CSF leak, while publications on vascular complications are scarce. However, many authors consider hemorrhage and ischemia to be the leading causes of postoperative mortality [1, 2, 5, 8, 9, 11–13].
There are various types of intracranial hemorrhage: tumor bed hematoma, with or without rupture into the brain's ventricular system, intracerebral hemorrhage in the cerebellum or the brainstem with or without bleeding into the ventricular system, subarachnoid hemorrhage, subdural and epidural hematoma [11]. Pontine hemorrhage is a relatively rare condition.
Clinical case report
Patient M., 71 years old, was admitted to the neurosurgical department of the Krasnoyarsk Regional Clinical Hospital in February 2018 with complaints of moderate occipital headache, unsteady gait, dizziness, left-sided deafness, and facial asymmetry.
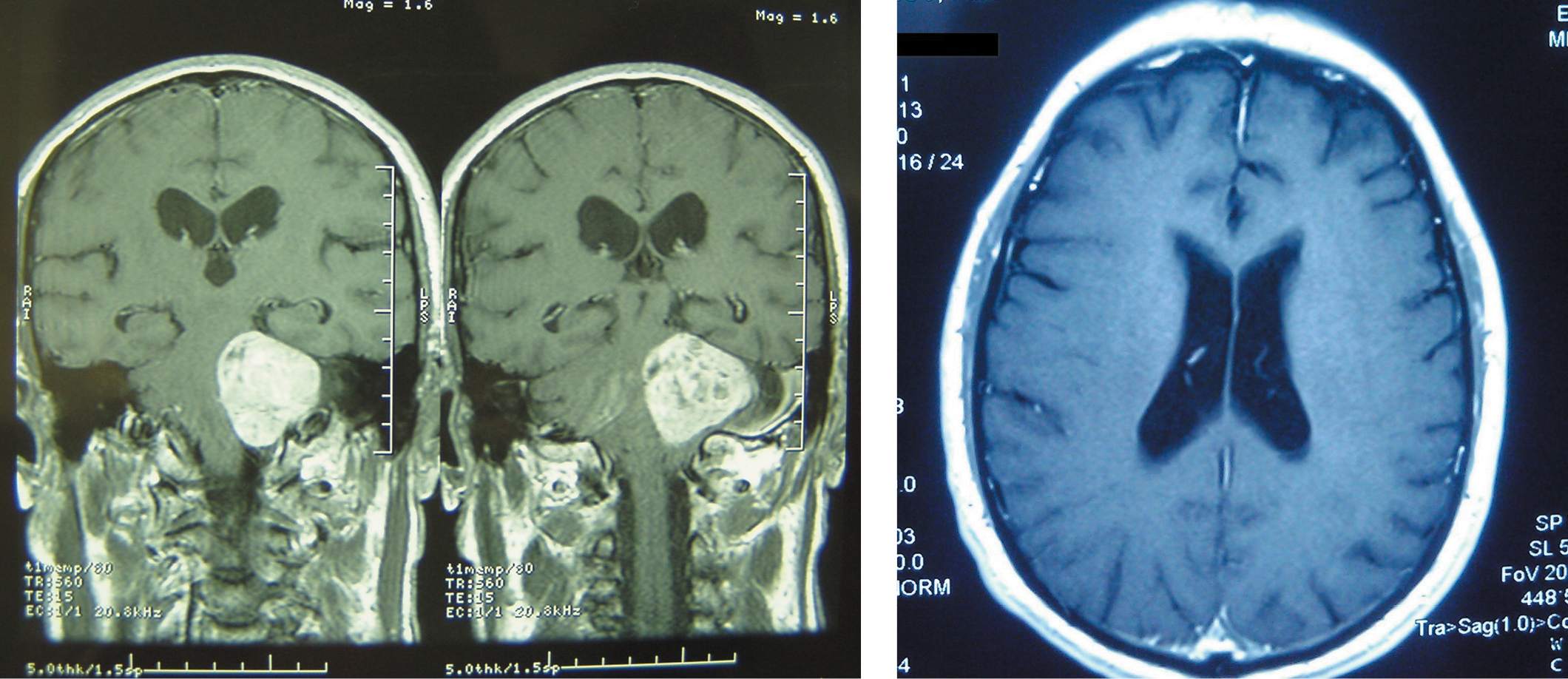
The patient has been experiencing a gradual decrease in hearing in the left ear for 2 years. In 2018, the patient's condition worsened: headache, unsteady gait, dizziness, lacrimation from the left eye, and complete deafness in the left ear developed. Magnetic resonance imaging (MRI scan) of the brain revealed the following: a VS up to 4.6 cm on the left (Fig. 1); severe compression of the pons and the left cerebellar hemisphere; compression and displacement of the fourth cerebellar ventricle; and communicating triventricular hydrocephalus without periventricular edema or girus flattening.
Fig. 1. Preoperative brain MRI of the patient revealed a left cerebellopontine angle tumor with intense inhomogeneous accumulation of paramagnetic contrast agent. Lateral ventricles are dilated. Preoperative coronal and axial contrast-enhanced T1-weighted MR images.
Comorbidities: stage 2 hypertension, grade 3. No coronary heart disease or cardiac arrhythmias. The patient took no anticoagulants or antiaggregants.
Karnofsky score 60 at hospital admission. Clear consciousness. Spontaneous horizontal left-beating nystagmus with rotary component and upbeat nystagmus. No corneal reflex on the left. Non-severe left-sided numbness of the face and tongue. Left-sided facial nerve palsy (House–Brackmann grade II–III) [14]. Left anacusia. No decline in caudal cranial nerve function. Muscle strength is normal (score of 5). Moderately active symmetrical tendon reflexes (D = S). Coordination tests: left-sided dysmetria and intention tremor. Romberg test is positive. Hypermetria, left-sided dysdiadochokinesia.
Diagnosis: left VS with gross compression of the pons and left cerebellar hemisphere (Koos 4, Samii 4B). Communicating triventricular hydrocephalus.
Given the size of the tumor, severe compression of the brainstem and the cerebellar hemisphere, progressing symptoms of the cerebellum, the brainstem, and the cranial nerve damage, surgical treatment was indicated.
Microsurgical removal of the VS was performed in the patient's sitting position using a standard left-sided retrosigmoid approach with 1 burr hole craniotomy. The bone flap was additionally resected with burr to expose the medial parts of the transverse-sigmoid sinus junction, and the borders of the sigmoid sinus. The dura mater (DM) was tense, did not transmit pulsation, and was dissected with an arcuate incision. Left cerebellar hemisphere was edematous. After cerebrospinal fluid (CSF) evacuation from the large occipital cistern, the tension in the cerebellar hemisphere decreased. The access to the left cerebellopontine angle was performed after a slight retraction of the cerebellar hemisphere, where the tumor rising from the internal auditory canal (IAC) and clearly separated from the cerebellar tissue was detected and visualized. The tumor capsule was opened. The tumor stroma looked yellow, friable, moderately vascularized, and difficult to vacuum aspirate. Internal decompression of the tumor and removal of its stroma up to the capsule was performed with microsurgical instruments and vacuum aspirator under microscope control. The capsule was bluntly and sharply separated from the caudal cranial nerves and the posterior inferior cerebellar artery. The next step was to separate the tumor capsule from the vein of Dandy and the trigeminal nerve. The DM covering the petrous part of the temporal bone adjacent to IAC was coagulated and dissected. The bony plate of IAC was resected up to 5 mm wide peripherally using a microbore. The tumor capsule was separated from the facial nerve in the IAC area using microsurgical instruments. Next, the tumor capsule was sharply dissected from the facial nerve and the anterior inferior cerebellar artery, up to the cerebellopontine angle. The biggest challenge was to separate the tumor capsule from the distal parts of the facial nerve and the pons. The anatomical vestibulocochlear nerve integrity could not be preserved. During dissection of the tumor capsule from the pons, the patient had episodes of arterial hypertension without cardiac arrhythmias clearly related to surgical manipulations (type 1 centrogenic reactions, systemic hemodynamic responses) and required a brief interruption of the surgery until the BP stabilized. Surgicel® Fibrillar™ hemostatic agent was used to achieve hemostasis. The DM was sutured tightly and additionally sealed by the Tachocomb plates. The bone flap was replaced and secured to the skull with two CranioFix®2 fixation systems. The soft tissues were sutured layer by layer. No cardiac arrhythmias were observed during surgery.
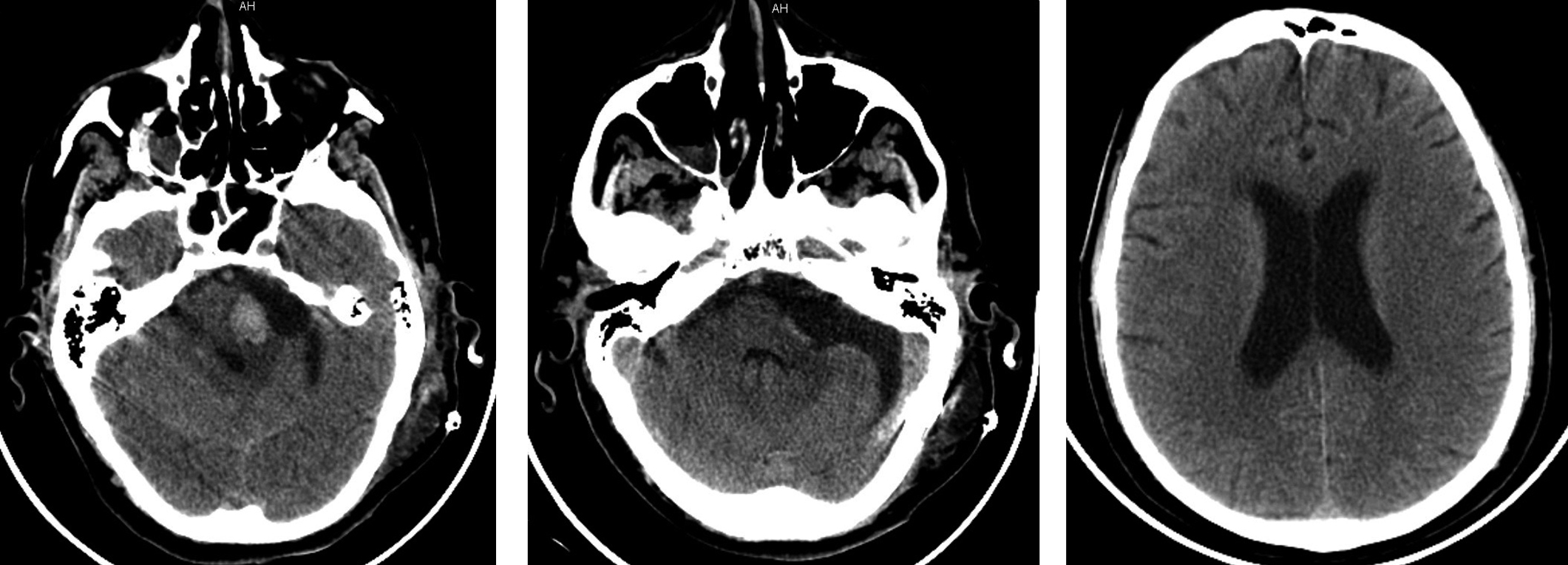
After waking up from sedation, the patient regained clear consciousness. However, it was not possible to wean him from the mechanical ventilation due to rapid exhaustion and blood gas disturbance during independent breathing, so respiratory support in SIMV mode was provided. Systolic BP was fairly stable ranged from 140 to 160 mm Hg with an increase during independent breathing. Facial palsy progressed up to House–Brackmann grade V–VI [14], left-side facial numbness and fine horizontal left-beating nystagmus developed. There were no motor symptoms or any damage to other cranial nerves. Control MSCT (Fig. 2) revealed an area of hemorrhage up to 1.5–2.0 ml in the left regions of the pons. There was no hemorrhage in the tumor bed. The ventricular system was moderately dilated, but, compared to preoperative levels, no increase in volume was observed.
Fig. 2. Contrast-enhanced head MSCT on postoperative day 1. No contrast-enhancing areas observed. Hemorrhage site is detected in the left regions of the pons.
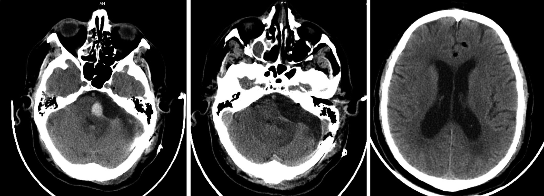
Over the next few days, the patient varied from being clearly conscious to mild obtundation. Respiratory support in SIMV mode was continued. Repeated attempts to wean the patient from the MV failed due to the rapid increase in respiratory failure. There were episodes of BP increasing up to 150 mm Hg. No cardiac arrhythmias were observed. Based on MSCT data (Fig. 3), neither progression of hydrocephalus, nor increase of hemorrhage area in the pons region, nor brainstem involvement were detected.
Fig. 3. Head MSCT on postoperative day 5.
A tracheostomy tube was placed on postoperative day 5. From postoperative day 14, periods of psychomotor agitation and episodes of atrial fibrillation were noted. The patient was placed on fully controlled mechanical ventilation. From day 20, febrile hyperthermia and neutrophilic leukocytosis developed, and bilateral pneumonia was diagnosed. Based on the results of sputum cultures, antibacterial therapy was prescribed. On postoperative day 24, the patient's condition acutely worsened with development of coma accompanied by arterial hypotension and cardiac arrest. Resuscitation was unsuccessful.
Post-mortem examination stated that the patient died from cerebral edema with cerebellar tonsillar herniatio in the foramen magnum and brainstem dislocation.
Discussion
Prevalence of complications
There are controversial data in the literature regarding the incidence of postoperative hemorrhages after VS removal. A number of studies report only on isolated clinical cases with this type of complications [15–18]. V.N. Shimansky et al. (the authors of clinical guidelines on VS surgical treatment) indicate a 2% complication rate after VS removal.[1]
Other authors estimate VS surgery hemorrhage incidence at 2.4–5.0% [2, 8, 13, 19–24]. J. Betka et al. reported that tumor bed hematoma was the most common complication and required reoperation (2.4%), while cerebellar hemorrhages (1.2%) and epidural hematoma (1%) were less common.[2]
M. Samii et al. based on their extensive experience in VS surgery reported hemorrhagic complications in 2.2% of 962 operated patients, which required reoperation in 15 (1.5%) cases [25]. In another article, the same authors noted that tumor bed and cerebellar hemisphere hemorrhages did not require reoperation in 8% of cases after giant VS removal and only in 1.2% of cases after small-sized tumor removal [26].
One of the most recent studies on VS surgery was published by X. Guo et al. [4]. In a series of 452 tumors resec- ted via the retrosigmoid approach, the authors registered 8.2% of hemorrhages, and 3.1% of them required reoperation. In most cases, hematoma was localized in the tumor bed. One of the patients died, and the other went into a prolonged coma.
The largest number of postoperative hemorrhages is reported by R. Philip et al., F.S. Kazim et al. These authors registered hematomas in 11.0–11.5% of patients after resection of VS > 4 cm [7, 27].
In general, hemorrhages after resection of intracranial tumors are associated with high mortality. T. Kageji et al. reported that in 2.09% of patients, who underwent intracranial tumor resection, 30-day mortality was 12.5% [28]. In the study conducted by S. Wang et al., postoperative hemorrhages requiring reoperation were registered in 1.8% of cases with 20% mortality [29].
The data on the hemorrhages developing after VS removal and requiring reoperation also differ. In a series of tumor resections performed by I. Yamakami et al., there were no cases requiring reoperation [20]. B. Sade et al., on the contrary, noted that these complications required reoperation in at least 50% of cases [24].
Noteworthy, S. Rahimpour et al. believe that the incidence of postoperative complications in VS surgery has recently increased. The authors explain it by a decrease in surgical experience due to the wide introduction of radiosurgical methods of treatment, by the growing number of tumors requiring resection, and by a certain percentage of irradiated VS, as their dissection during surgery is quite challenging [30].
Causes and risk factors
The literature describes the following preoperative risk factors for hemorrhage complications after removal of intracranial tumors, including VS: age over 65 years, high international normalized ratio (INR), factor XIII deficiency, ischemic heart disease, atrial fibrillation and anticoagulant use, tumor > 4 cm, peritumoral edema, cystic VS and VS without capsule [4, 22].
Older age as a risk factor for postoperative hemorrhage is determined by a number of subfactors: higher incidence of arterial hypertension, age-related brain atrophy, frequent intake of anticoagulants and antiaggregants due to multiple comorbidities.
According to S. Wang et al., the age of patients and large tumor size are statistically significantly associated with the development of postoperative intracerebral hemorrhages [29]. The authors explain this by a large surgical area of exposure, retraction injuries and a significant decrease in intracranial pressure after the tumor resection.
R. Gerlach et al. analyzed such complications after neurosurgical interventions [31]. They found factor XIII deficiency (a fibrin-stabilizing factor involved in a dense clot formation and influencing platelet adhesion and aggregation) in 40% of patients. The authors proved that this condition is statistically significantly associated with the development of hemorrhage.
Of the preoperative risk factors in our patient, age over 65 years and a giant tumor were identified. There were neither coagulation disorders nor significant arterial hypertension.
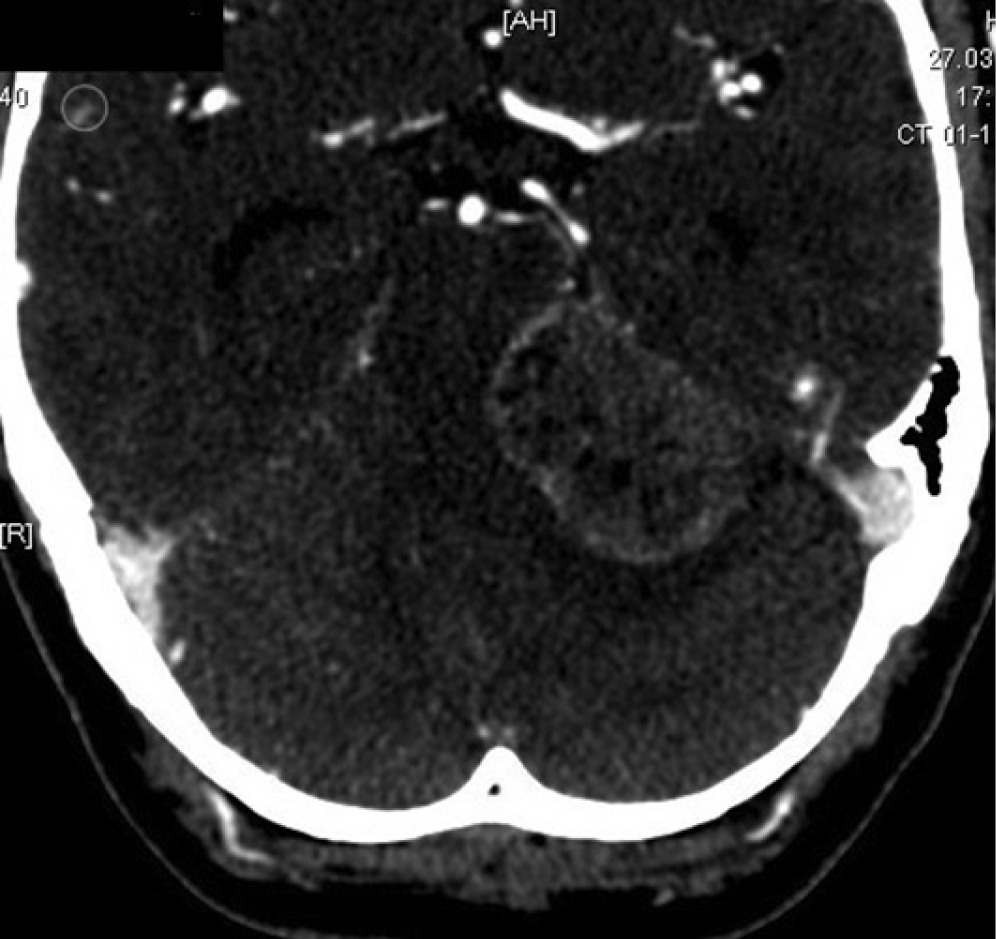
M. Samii et al. emphasize that peritumoral edema in patients with VS indicates tumor hypervascularity and a tendency to form tumor bed hemorrhage in the postoperative period [32]. According to preoperative MRI findings, our patient had no peritumoral edema. However, MSCT data (Fig. 4) indicated hypodense changes in the region of the pons and in the adjacent regions of the cerebellum.
Fig. 4. Preoperative axial contrast-enhanced head MSCT scan with a peritumoral hypodensity area.
V.E. Kocharyan et al. performed a systematic review and detailed analysis of intraoperative causes of hemorrhagic complications in VS surgery [11]. According to the authors, the main surgical causes of cerebellopontine angle hematomas are the ineffective hemostasis in the branches of the anterior inferior cerebellar artery, rupture of the veins of the cisterna pontis lateralis and middle cerebellar peduncle (brachium pontis), as well as damage to the superior jugular bulb during drilling the IAC. The leading causes of cerebellar hemorrhages and subdural hematomas are the bleeding surface of the tumor bed and the cerebellar tissue during its lateral resection, and cerebral venous infarction with secondary hemorrhagic transformation. Epidural hematomas are caused by bleeding from muscular branches of the posterior auricular and occipital arteries with secondary spread into the epidural space, or by damage to walls of sinuses or mastoid emissary veins. The authors consider the tumor bed hematoma to be the most frequent hemorrhagic complication with the worst prognosis [11].
According to H. Mahboudi et al., the incidence of iatrogenic large vessel injuries in posterior cranial fossa surgery is 0.8% [6]. J. Betka et al. believe that damage to the cerebellar arteries is unlikely due to their large size, so they can be easier identified during surgery, unlike smaller vessels [2].
A number of studies indicate a higher risk of hemorrhage in case of incomplete tumor removal. J. Bartek et al. found a clear correlation between subtotal resection of the VS and the development of postoperative hematoma [22]. M.M. Tastanbekov et al. also consider incomplete tumor removal and cerebellar hemisphere resection to be the risk factors for complication development [13].
K. Mattok et al. associate hemorrhagic complications with coagulopathy caused by excess thromboplastin due to tumor destruction during its removal, and ischemia that may develop in the lateral parts of the pons. The authors consider the giant size of the tumor to be a risk factor for the development of intraoperative coagulopathy [33].
According to G.I. Moisak et al., the risk factors for the development of circulatory disorders in the brainstem are the brainstem pronounced displacement based on preope- rative MRI data, rapidly progressing neurological symptoms, signs of decompensation during hospital admission, and hypertension syndrome [9].
Noteworthy, A. Harders et al. suggest that intracerebral arterial blood flow causing cerebral ischemia becomes lower in a sitting position. When the patient is repositioned after surgery, there is hyperperfusion of brain tissue that may cause intracerebral hemorrhages in the ischemic area [34].
The theory of centrogenic reactions (CR; i.e., systemic hemodynamic responses) developed by A.N. Kondratyev [35] is important for understanding the development of vascular disorders in the brainstem. The author believes that CR are caused by a direct multifactorial impact on cerebral structures during the removal of an intracranial tumor. The damaging effect of CR is produced by disturbances of cerebral blood flow autoregulation leading to inadequate compensation of central hemodynamic fluctuations. Thus, arterial hypertension resulting from CR may be accompanied by an increase in blood flow into the brain parts without autoregulation, followed by the edema development and the risk of hemorrhage in these areas. During surgery, type 1 CR is characterized by fluctuations in BP, heart rate and heart rhythm, and type 2 is defined by a steady, gradual increase in BP, multidirectional changes in heart rate and heart rhythm.
M. Zetterling et al. assume that major intraoperative blood loss is also significantly associated with the development of hemorrhagic complications [36]. However, in the study by T. Kageji et al. no such correlation was found [28].
In our clinical case, the tumor was radically removed, cerebellar hemisphere was not resected, and no intraoperative blood loss was observed.
A. Basali et al. consider intra- and postoperative arterial hypertension up to 160–90 mm Hg and higher to be an important risk factor for the development of postoperative hemorrhage in neurosurgery. They report on BP elevation within 12 h after the intervention in 62% of patients with these complications [37]. Similar data are presented by K. Lillemae et al.: hemorrhages requiring reoperation developed in 84.6% of patients with BP > 160 mm Hg episodes in the early postoperative period [38].
In our patient, episodes of arterial hypertension up to 160 mm Hg were observed on postoperative day 1, which, apparently, caused the development of a rare local hemorrhage in the pons.
Timing of complications
There are different views regarding the timing of these complications. Some researchers observed hemorrhages during urgent MSCT due to patients' condition worsening, the others detected them during routine MSCT/MRI on the next day after surgery.
Most often hemorrhages manifest on postoperative day 1 [19]. A. Basali et al. analyzed the results of 11 214 craniotomies. On average, postoperative intracranial hemorrhages developed 21 h after surgery [37].
S.E. Heman-Ackah et al. report that hemorrhages can be observed not only in the early postoperative period, but also on postoperative days 10–14 [39].
Data obtained by M. Zetterling et al. indicate that 80% of hemorrhage complications develop on day 1 after tumor removal, and > 50% of them develop within the first 6 hours. The authors note that hematomas developed on day 1 were more life-threatening than those developed later [36].
V.E. Kocharyan et al. presented 3 interesting clinical case reports of the hematomas developed in the cerebellopontine angle with clinical manifestation 16–28 h after VS removal [11].
Clinical presentation
In the postoperative period, clinical manifestations of vascular complications may vary from mild neurological disorders to symptoms of dislocation and herniation of the brain structures.
Small hemorrhages in the cerebellar hemisphere manifest only by ataxia symptoms [20]. Larger ischemia and hemorrhage areas may often cause deterioration of consciousness of varying severity, arterial hypertension, bradycardia, pupil dilation, and hemiparesis [2].
M. Sanna et al. emphasize the key role of progressive deterioration of consciousness in the diagnosis of hemorrhagic complications [17].
In our clinical case report, hemorrhage developed on postoperative day 1 and manifested with respiratory distress.
Intraoperative diagnosis
According to intraoperative analysis of brainstem auditory evoked potentials (BAEP), type 1 CR is manifested by longer interpeak intervals I–III and III–V and altered amplitude of III and V peaks on the side of the removed tumor. Data presented by M.M. Tastanbekov et al. demonstrate that these reactions develop more often when the tumor capsule is separated from the pons Varolii, trigeminal nerve, and caudal cranial nerves. These authors emphasize that peak amplitude and duration of interpeak intervals typically return to normal after brief interruption of the surgery [13].
Type 2 CR is associated with an increased and/or decreased peak III and V height, especially on the side of the removed tumor, and with bilateral prolongation of interpeak intervals III–V and I–V. It was found that with type 2 CR, the BAEP parameters significantly outpaced the systemic hemodynamic changes by 10 min on average [13].
Patient management strategies
The choice of appropriate management for patients with these complications depends on the type, localization and size of hemorrhage, the patient's consciousness level and neurological disorders. The management can be both conservative (infusions of mannitol, diuretics, correction of coagulation disorders) and surgical.
The type of reoperation varies from hemorrhage removal to decompressive trepanation and external ventricular drainage [4, 11].
J. Betka et al. note that if the patient with postoperative hemorrhage develops hypertension, its immediate removal is indicated [2]. M. Sanna et al. believe that after removal of VS, the patient should be brought out of sedation as quickly as possible and extubated to assess the neurolo- gical status [17], The authors believe that in case of progressive worsening of the patient's condition, revision of the postoperative wound with hematoma removal, decompression and ventricular drainage should be performed in the ICU prior to MSCT scanning [17].
Taking into account the small volume of hemorrhage, its localization in the region of the pons, and no progression of hydrocephalus, we did not perform any active surgical actions in our case.
Intra- and postoperative prophylaxis
The postoperative hemorrhage prevention measures include thorough hemostasis with modern local hemostatics and BP control during the wound closure [1].
M. Samii et al. emphasizes the importance of meticulous arachnoid dissection when removing the VS and preser- ving all the vessels located on its capsule [25].
G. Iacob et al. use no coagulation when separating tumor fragments tightly adhered to the pons [40].
There is still more attention in the literature to the physiological feasibility of surgical interventions, which generally determines acceptable extent of the tumor resection. It is emphasized that changes in clinical and BAEP parameters allow early diagnosis of the brainstem involvement and enable the surgeon to respond to the threatening situation in a timely manner. The development of type 2 or type 1 CR transiting to type 2 CR during surgery is a poor prognostic risk factor and justifies brief interruption and sometimes even termination of surgery [9, 13, 35].
In case of large and giant VS, two-stage tumor removal can be considered [41, 42].
V.E. Kocharyan et al. recommend continuous 24–48 h postoperative neurological monitoring after tumor removal [11].
V.N. Shimansky et al. emphasize the importance of detection and timely correction of arterial hypertension in the postoperative period as significant intracranial hemorrhage preventive measures [1].
Thus, postoperative hemorrhage complications in VS surgery are rare but dangerous, being the leading cause of unfavorable treatment outcomes. The key predisposing factors are older age, large and giant size of the tumor, tumor invasion into the pia mater of the brainstem, and vascularization of the tumor stroma. Comprehensive assessment of tumor blood supply and the state of the brainstem, intra- and postoperative clinical and neurophysiological monitoring, careful and thorough dissection of tumor capsule and strict BP control in the postoperative period are the basic preventive measures for these complications. Progressive deterioration of consciousness in patients with postoperative hemorrhage may require decompressive trepanation of the posterior fossa, hematoma evacuation, and ventricular drainage.
The presented clinical case report demonstrates that hemorrhage into the brainstem can be caused by minor arterial hypertension in the early postoperative period and even with a small hemorrhage volume can lead to fatal outcomes.
About the authors
Pavel G. Rudenko
Professor V.F. Voyno-Yasenetsky Krasnoyarsk State Medical University; Regional Clinical Hospital, Krasnoyarsk
Author for correspondence.
Email: rpg30@rambler.ru
ORCID iD: 0000-0001-9390-3134
Cand. Sci. (Med.), Associate Professor, Department of traumatology, orthopedics, neurosurgery with a course of postgraduate education, Professor V.F. Voyno-Yasenetsky Krasnoyarsk State Medical University; neurosurgeon, Department of neurosurgery No. 1, Regional Clinical Hospital
Russian Federation, Krasnoyarsk; KrasnoyarskPavel G. Shnyakin
Professor V.F. Voyno-Yasenetsky Krasnoyarsk State Medical University; Regional Clinical Hospital, Krasnoyarsk
Email: shnyakinpavel@mail.ru
ORCID iD: 0000-0001-6321-4557
ResearcherId: AAI-8384-2020
D. Sci. (Med.), Head, Department of traumatology, orthopedics and neurosurgery with a course of postgraduate education, Professor V.F. Voyno-Yasenetsky Krasnoyarsk State Medical University; Head, Regional Vascular Center, Regional Clinical Hospital
Russian Federation, Krasnoyarsk; KrasnoyarskIlona E. Milyokhina
Professor V.F. Voyno-Yasenetsky Krasnoyarsk State Medical University
Email: eie-89@mail.ru
ORCID iD: 0000-0002-3275-614X
Cand. Sci. (Med.), Associate Professor, Department of traumatology, orthopedics, neurosurgery with a course of postgraduate education, Professor V.F. Voyno-Yasenetsky Krasnoyarsk State Medical University
Russian Federation, KrasnoyarskIrina S. Usatova
Professor V.F. Voyno-Yasenetsky Krasnoyarsk State Medical University; Regional Clinical Hospital, Krasnoyarsk
Email: irinausatova01@mail.ru
ORCID iD: 0000-0001-6813-8776
assistant of the Department of traumatology, orthopedics and neurosurgery with a course of postgraduate education, Professor V.F. Voyno-Yasenetsky Krasnoyarsk State Medical University
Russian Federation, Krasnoyarsk; KrasnoyarskMarvorid N. Fayzova
Professor V.F. Voyno-Yasenetsky Krasnoyarsk State Medical University
Email: marvoridin00@gmail.com
ORCID iD: 0000-0001-8738-6847
postgraduate student, Department of traumatology, orthopedics, neurosurgery and postgraduate course, Professor V.F. Voyno-Yasenetsky Krasnoyarsk State Medical University
Russian Federation, KrasnoyarskReferences
- Шиманский В.Н., Таняшин С.В., Шевченко К.В., Одаманов Д.А. Хирургическое лечение неврином слухового нерва (вестибулярных шванном). Вопросы нейрохирургии им Н.Н. Бурденко. 2017;81(3):66–76.
- Betka J., Zverina E., Balogova Z. et al. Complications of microsurgery of vestibular schwannoma. Biomed. Res. Int. 2014;2014:315952. doi: 10.1155/2014/315952
- Starnoni D., Giammattei L., Cossu G. et al. Surgical management for large vestibular schwannomas: a systematic review, meta-analysis, and consensus statement on behalf of the EANS skull base section. Acta Neurochir. (Wien). 2020;162(11):2595–2617. doi: 10.1007/s00701-020-04491-7
- Guo X., Zhu Y., Wang X. et al. Peritumoral edema is associated with postoperative hemorrhage and reoperation following vestibular schwannoma surgery. Front. Oncol. 2021;11:633350. doi: 10.3389/fonc.2021.633350
- Sughrue M.E., Yang I., Aranda D. et al. Beyond audiofacial morbidity after vestibular schwannoma surgery. J. Neurosurg. 2011;114(2):367–374. doi: 10.3171/2009.10.JNS091203
- Mahboubi H., Ahmed O.H., Yau A.Y. et al. Complications of surgery for sporadic vestibular schwannoma. Otolaryngol. Head Neck Surg. 2014;150(2):275–281. doi: 10.1177/0194599813512106
- Kazim S.F., Shamim M.S., Enam S.A., Bari M.E. Microsurgical excisions of vestibular schwannomas: a tumor-size-based analysis of neurological outcomes and surgical complications. Surg. Neurol. Int. 2011;2:41. doi: 10.4103/2152-7806.78516
- Ступак В.В., Пендюрин И.В. Результаты хирургического лечения больших и гигантских неврином слухового нерва. Современные проблемы науки и образования. 2017;5:162.
- Мойсак Г.И., Олюшин В.Е., Фокин В.А. и др. Поражение ствола мозга при невриномах VIII нерва и субтенториальных менингиомах по данным магнитно-резонансной спектроскопии по водороду. Бюллетень сибирской медицины. 2008;7(5-1):239–245.
- Тастанбеков М.М., Улитин А.Ю., Олюшин В.Е. и др. Гигантские вестибулярные шванномы: вопросы диагностики и организации медицинской помощи. Российский нейрохирургический журнал имени профессора А.Л. Поленова. 2011;3(4):27–30.
- Кочарян В.Э., Саркисян Т.Г., Ковалев Г.И., Музлаев Г.Г. Послеоперационные геморрагические осложнения в хирургии вестибулярных шванном: анализ серии из трех наблюдений. Обзор литературы. Российский нейрохирургический журнал имени профессора А.Л. Поленова. 2020;12(3):47–54.
- Roche P.H., Ribeiro T., Fournier H.D., Thomassin J.M. Vestibular schwannomas: complications of microsurgery. Prog. Neurol. Surg. 2008;21:214–221. doi: 10.1159/000157169
- Тастанбеков М.М., Олюшин В.Е., Берснев В.П. и др. Хирургическое лечение неврином VIII нерва больших и гигантских размеров: особенности хирургической техники и результаты лечения. Нейрохирургия. 2010;3:25–29.
- House J.W., Brackmann D.E. Facial nerve grading system. Otolaryngol. Head Neck Surg. 1985;93(2):146–147. doi: 10.1177/019459988509300202
- Kania R.E., Herman P., Lot G., Huy P.T. Ipsilateral beating nystagmus after acoustic schwannoma resection. Auris Nasus Larynx. 2004;31(1):69–72. doi: 10.1016/j.anl.2003.09.007
- Darrouzet V., Martel J., Enée V. et al. Vestibular schwannoma surgery outcomes: our multidisciplinary experience in 400 cases over 17 years. Laryngoscope. 2004;114(4):681–688. doi: 10.1097/00005537-200404000-00016
- Sanna M., Taibah A., Russo A. et al. Perioperative complications in acoustic neuroma (vestibular schwannoma) surgery. Otol. Neurotol. 2004;25(3):379–386. doi: 10.1097/00129492-200405000-00029
- Cardoso A.C., Fernandes Y.B., Ramina R., Borges G. Acoustic neuroma (vestibular schwannoma): surgical results on 240 patients operated on dorsal decubitus position. Arq. Neuropsiquiatr. 2007;65(3A):605–609. doi: 10.1590/s0004-282x2007000400011
- Huang X., Xu J., Xu M. et al. Functional outcome and complications after the microsurgical removal of giant vestibular schwannomas via the retrosigmoid approach: a retrospective review of 16-year experience in a single hospital. BMC Neurol. 2017;17(1):18. doi: 10.1186/s12883-017-0805-6
- Yamakami I., Uchino Y., Kobayashi E. et al. Removal of large acoustic neurinomas (vestibular schwannomas) by the retrosigmoid approach with no mortality and minimal morbidity. J. Neurol. Neurosurg. Psychiatry. 2004;75(3):453–458. doi: 10.1136/jnnp.2003.010827
- Jain V.K., Mehrotra N., Sahu R.N. et al. Surgery of vestibular schwannomas: an institutional experience. Neurol. India. 2005;53(1):41–45. doi: 10.4103/0028-3886.15052
- Bartek Jr. J., Förander P., Thurin E. et al. Short-Term surgical outcome for vestibular schwannoma in Sweden: A Nation-Wide registry study. Front. Neurol. 2019;10:43. doi: 10.3389/fneur.2019.00043
- Breun M., Nickl R., Perez J. et al. Vestibular Schwannoma resection in a consecutive series of 502 cases via the retrosigmoid approach: technical aspects, complications, and functional outcome. World Neurosurg. 2019;129:e114–e127. doi: 10.1016/j.wneu.2019.05.056
- Sade B., Mohr G., Dufour J.J. Vascular complications of vestibular schwannoma surgery: a comparison of the suboccipital retrosigmoid and translabyrinthine approaches. J. Neurosurg. 2006;105(2):200–204. doi: 10.3171/jns.2006.105.2.200
- Samii M., Matthies C. Management of 1000 vestibular schwannomas (acoustic neuromas): hearing function in 1000 tumor resections. Neurosurgery. 1997;40(2):248–262. doi: 10.1097/00006123-199702000-00005
- Samii M., Gerganov V.M., Samii A. Functional outcome after complete surgical removal of giant vestibular schwannomas. J. Neurosurg. 2010;112(4):860–867. doi: 10.3171/2009.7.JNS0989
- Philip R., Prepageran N., Raman R. et al. Surgical management of large acoustic neuromas: a review. Med. J. Malaysia. 2009;64(4):294–297.
- Kageji T., Nagahiro S., Mizobuchi Y., Nakajima K. Postoperative hematoma requiring recraniotomy in 1149 consecutive patients with intracranial tumors. Oper. Neurosurg (Hagerstown). 2017;13(3):392–397. doi: 10.1093/ons/opw045
- Wang C., Niu X., Ren Y. et al. Risk factors for postoperative intracranial hemorrhage after resection of intracranial tumor in 2259 consecutive patients. World Neurosurg. 2019;129:e663–e668. doi: 10.1016/j.wneu.2019.05.239
- Rahimpour S., Friedman A.H., Fukushima T., Zomorodi A.R. Microsurgical resection of vestibular schwannomas: complication avoidance. J. Neurooncol. 2016;130(2):367–375. doi: 10.1007/s11060-016-2260-4
- Gerlach R., Tölle F., Raabe A. et al. Increased risk for postoperative hemorrhage after intracranial surgery in patients with decreased factor XIII activity: implications of a prospective study. Stroke. 2002;33(6):1618–1623. doi: 10.1161/01.str.0000017219.83330.ff
- Samii M., Giordano M., Metwali H. et al. Prognostic significance of peritumoral edema in patients with vestibular schwannomas. Neurosurgery. 2015;77(1):81–86. doi: 10.1227/NEU.0000000000000748
- Mattock C., Crockard A. Does intravascular coagulation contribute to the operative mortality for large acoustic neuromas? J. Neurol. Neurosurg. Psychiatry. 1986;49(6):699–701. doi: 10.1136/jnnp.49.6.699
- Harders A., Gilsbach J., Weigel K. Supratentorial space occupying lesions following infratentorial surgery: Early diagnosis and treatment. Acta Neurochir. (Wien). 1985;74(1-2):57–60. doi: 10.1007/BF01413279
- Кондратьев А.Н. О природе центрогенных реакций, возникающих в ходе хирургических операций на головном мозге. Анестезиология и реаниматология. 1998;(2):36–40.
- Zetterling M., Ronne-Engström E. High intraoperative blood loss may be a risk factor for postoperative hematoma. J. Neurosurg. Anesthesiol. 2004;16(2):151–155. doi: 10.1097/00008506-200404000-00008
- Basali A., Mascha E., Kalfas I., Schubert A. Relation between perioperative hypertension and intracranial hemorrhage after craniotomy. Anesthesiology. 2000;93(1):48–54. doi: 10.1097/00000542-200007000-00012
- Lillemäe K., Järviö J.A., Silvasti-Lundell M.K. et al. Incidence of postope- rative hematomas requiring surgical treatment in neurosurgery: a retrospective observational study. World Neurosurg. 2017;108:491–497. doi: 10.1016/j.wneu.2017.09.007
- Heman-Ackah S.E., Golfinos J.G., Roland Jr J.T. Management of surgical complications and failures in acoustic neuroma surgery. Otolaryngol. Clin. North Am. 2012;45(2):455–470. doi: 10.1016/j.otc.2011.12.012
- Iacob G., Craciun M. Large and giant vestibular schwannomas. Romanian Neurosurgery. 2010;17(3):305–312.
- Abe T., Izumiyama H., Imaizumi Y. et al. Staged resection of large hypervascular vestibular schwannomas in young adults. Skull Base. 2001;11(3):199–206. doi: 10.1055/s-2001-16608
- Kim E., Nam S. Staging in vestibular schwannoma surgery: a modified technique. J. Korean Neurosurg. Soc. 2008;43(1):57–60. doi: 10.3340/jkns.2008.43.1.57









