Одновременное воздействие на две мишени методом фокусированного ультразвука под контролем МРТ при лечении пациентов с дрожательными фенотипами болезни Паркинсона
- Авторы: Галимова Р.М.1,2, Иллариошкин С.Н.3, Ахмадеева Г.Н.1,2, Набиуллина Д.И.2, Кашапов Ф.Ф.2, Сафин Ш.М.1, Бузаев И.В.1,2, Терегулова Д.Р.2, Сидорова Ю.А.2, Качемаева О.В.1,2
-
Учреждения:
- Башкирский государственный медицинский университет
- Клиника интеллектуальной нейрохирургии Международного медицинского центра им. В.С. Бузаева
- Научный центр неврологии
- Выпуск: Том 18, № 2 (2024)
- Страницы: 5-12
- Раздел: Оригинальные статьи
- Статья получена: 30.01.2024
- Статья одобрена: 13.03.2024
- Статья опубликована: 08.07.2024
- URL: https://annaly-nevrologii.com/pathID/article/view/1085
- DOI: https://doi.org/10.17816/ACEN.1085
- ID: 1085
Цитировать
Аннотация
Введение. Неинвазивная технология воздействия фокусированным ультразвуком под контролем магнитно-резонансной томографии (МР-ФУЗ) является одним из новых методов нейрохирургического лечения преимущественно дрожательных фенотипов болезни Паркинсона (Д-БП). Возможность абляционного воздействия одновременно на две мишени в области подкорковых ядер с целью улучшения функциональных результатов лечения нуждается в изучении.
Цель работы — оценить безопасность и эффективность лечения пациентов с Д-БП методом МР-ФУЗ при одновременном одностороннем воздействии на две церебральные мишени.
Материалы и методы. Методом МР-ФУЗ 82 пациентам (20 женщин, 62 мужчин; медиана возраста — 65,0 [52,5; 70,0] лет) с Д-БП проведено одностороннее лечение — таламотомия вентроинтермедиального ядра (VIM) и/или паллидотрактотомия (PTT). Выраженность двигательных проявлений, включая тремор, оценивали по III части шкалы MDS-Unified Parkinson’s Disease Rating Scale (MDS-UPDRS-III). Воздействие на VIM осуществлено в 34 случаях, на PTT — в 12, комбинированное воздействие VIM и PTT — в 36.
Результаты. После операции у пациентов выявлено улучшение симптомов по шкале MDS-UPDRS-III на 40,1% (30,2; 51,7) без развития ранних и отдалённых серьёзных осложнений. У 18 пациентов наблюдался рецидив тремора (все случаи после VIM-таламотомии), 9 из них успешно выполнены повторные воздействия через 9–12 мес после первого лечения. Одновременное воздействие на 2 мишени (VIM и PPT) успешно проведено у 36 пациентов, без серьёзных осложнений. В результате комбинации 2 мишеней безрецидивное течение Д-БП на протяжении года имело место у 89,3% больных, в то время как в подгруппе с абляцией 1 мишени — у 69,7% (p = 0,039).
Заключение. Одновременное воздействие на две мишени (VIM и PTT) методом МР-ФУЗ может рассматриваться как один из вариантов лечения симптомов у пациентов с Д-БП при благоприятном профиле безопасности таких вмешательств.
Полный текст
Введение
Болезнь Паркинсона (БП) — одно из наиболее распространённых прогрессирующих нейродегенеративных заболеваний. Заболеваемость БП варьирует от 5 до 35 человек на 100 тыс. населения ежегодно [1–4], а в следующие 20 лет ожидается удвоение распространённости БП [5], что приведёт к значительному нарастанию социального и экономического бремени в отсутствие новых эффективных методов лечения [6].
Для симптоматической терапии пациентов с преимущественно дрожательными фенотипами БП (Д-БР) применяется медикаментозная терапия, корригирующая нейротрансмиттерный дисбаланс в мозге. В случаях, если исчерпаны все лекарственные возможности, обычно прибегают к функциональной нейрохирургии с применением глубинной стимуляции мозга (ГСМ) или абляционных стереотаксических вмешательств: радиочастотной абляции, гамма-ножа, фокусированного ультразвука под контролем магнитно-резонансной томографии (МРТ) — МР-ФУЗ [7–14]. Деструктивные операции были ведущим методом лечения симптомов БП с эффективностью 50–80% до широкого внедрения ГСМ [11, 15]. С конца ХХ в. процедура ГСМ стала ведущим методом нейрохирургического лечения БП [16–18]. «Ренессанс» абляционных методов лечения связан в последние годы с внедрением метода МР-ФУЗ, который с высокой точностью без хирургических разрезов, наркоза, длительной госпитализации и боли позволяет проводить коррекцию симптомов двигательных расстройств [11, 19–21].
Метод МР-ФУЗ базируется на сочетании двух технологий: высокоинтенсивного фокусированного ультразвука и МРТ, применяемых для планирования точки воздействия и проведения термометрии в режиме реального времени. Одно из первых упоминаний об успешном лечении тремора при БП у 27 пациентов методом МР-ФУЗ с воздействием на вентроинтермедиальное ядро (VIM) таламуса приведено A.E. Bond и соавт. в 2017 г. [22]. Среди работ, в которых проводили анализ отдалённых результатов лечения БП методом МР-ФУЗ, публикация A. Sinai и соавт. отражает самый длительный период наблюдения за 26 пациентами с Д-БП (медиана наблюдения — 36 мес, диапазон — 12–60 мес), подвергнутыми VIM-абляции [23]. В результате лечения достигнуто полное исчезновение тремора у 23 пациентов и его уменьшение на 90% у 3 пациентов. В период наблюдения у 2 пациентов зарегистрирован полный рецидив тремора, у 8 — частичный. Данное исследование продемонстрировало, что одностороннее лечение методом МР-ФУЗ у пациентов с Д-БП с воздействием на VIM-ядро таламуса эффективно, безопасно и обеспечивает долговременный результат. Обоснованием для вмешательства в области VIM-ядра таламуса послужили данные о схождении в данной области нескольких важных трактов (паллидоталамических, церебеллоталамических и вестибулоталамических), направляющихся к премоторной коре, что делает её оптимальным кандидатом для воздействия на тремор [15, 24].
Попытки деструкции методом МР-ФУЗ субталамического ядра (STN) описаны R. Martínez-Fernández и соавт., но анализ результатов показал, что такое вмешательство, по сравнению с воздействием на другие мишени, характеризуется бóльшим числом побочных эффектов (баллизм, хорея, парезы, изменения речи, нарушения ходьбы) при схожей эффективности [25]. Ввиду развития после STN-абляции подобных побочных эффектов (ряд из которых сохранялся до года и более) многие медицинские центры предпочитают воздействовать на VIM-ядро, которое является основной мишенью при лечении эссенциального тремора и стало наиболее часто используемой мишенью с целью воздействия на дрожание при БП.
Недостатком воздействия на VIM-ядро является отсутствие эффекта на гипобрадикинезию и мышечную ригидность [26]. В то же время использование в качестве мишени паллидоталамического тракта (PTT) в точке соединения полей Фореля H1 и H2 позволяет уменьшить тремор, скованность и замедленность в среднем на 70–93%, оставляя при этом таламус интактным [20]. M.N. Gallay и соавт. провели анализ результатов паллидотрактотомии методом МР-ФУЗ у 51 пациента с поздней стадией Д-БП и наличием осложнений от приёма препаратов леводопы (дискинезиями и флуктуациями) [27]. Они отметили уменьшение дрожания на 84%, ригидности на 70% и гипокинезии на 73% с практически полным подавлением леводопа-индуцированных дискинезий. Результаты приведённого исследования показывают, что метод МР-ФУЗ с воздействием на PTT весьма перспективен для лечения Д-БП и осложнений, вызванных приёмом препаратов леводопы.
В настоящее время много работ посвящено применению МР-ФУЗ с абляцией одной мишени, но осуществимость, безопасность и эффективность одновременного воздействия на две мишени в доступной литературе практически не представлены. В единственной работе, опубликованной в 2023 г., описаны 3 пациента с Д-БП, которым этапно проведено лечение методом МР-ФУЗ с абляцией VIM и PTT [28]. Все пациенты удовлетворительно перенесли два этапа лечения без осложнений.
Цель нашей работы — оценить безопасность и эффективность лечения пациентов с Д-БП методом МР-ФУЗ при одновременном одностороннем воздействии на две церебральные мишени.
Материалы и методы
Лечение с использованием системы МР-ФУЗ («ExAblate 4000», «Insightec») проведено 82 пациентам (20 женщин и 62 мужчин) с Д-БП. Медиана возраста пациентов составила 65,0 [52, 5; 70, 0] лет. Средний возраст мужчин — 64,5 (55,0; 70,5), женщин — 63,0 (61,0; 72,0); по данному показателю статистически значимых различий не обнаружено (p = 0,95, метод Вилкоксона). В проспективное исследование включены пациенты, которым с 05.05.2020 по 29.07.2023 методом МР-ФУЗ проведено лечение в Международном медицинском центре им. В.С. Бузаева.
Диагноз устанавливали на основании диагностических критериев БП Международного общества болезни Паркинсона и расстройств движений [29], стадию определяли по функциональной шкале Хен–Яра [30], проводили оценку тяжести заболевания по унифицированной шкале оценки БП Международного общества болезни Паркинсона и расстройств движений, часть III (MDS-UPDRS-III) [31, 32]. У 37 пациентов была установлена стадия 2 по функциональной шкале Хен–Яра, у 28 — стадия 3. Медиана показателей по шкале MDS-UPDRS-III до лечения у пациентов составила 54 (43; 65) балла.
Критерии отбора пациентов для проведения данного нейрохирургического вмешательства:
- идиопатическая форма БП длительностью более 2 лет;
- возраст пациента старше 30 лет;
- сохранение тремора при использовании стандартных препаратов леводопы (в дозе не менее 500 мг) или наличие побочных эффектов при использовании в необходимых дозах;
- появление флуктуаций (феномен включения-выключения), возникновение дискинезий на фоне приёма лекарств;
- интенсивность тремора в покое и/или гипокинезии ≥ 3–4 баллов;
- отсутствие выраженных когнитивных нарушений — сумма баллов по Монреальской шкале оценки когнитивных функций не ниже 20, отсутствие психотических нарушений;
- коэффициент ультразвуковой проницаемости костной ткани ≥ 0,35;
- отсутствие приёма антикоагулянтов и/или дезагрегантов, отсутствие опухолей и сосудистых мальформаций головного мозга;
- отсутствие противопоказаний к проведению МРТ, таких как клаустрофобия, наличие несовместимых имплантов.
Все пациенты были информированы о возможности проведения ГСМ, но не рассматривали её по нескольким причинам (опасение наличия устройства в головном мозге; сложности с доступом к медицинским центрам, которые проводят подбор параметров ГСМ ввиду отдалённости проживания и др.). Всем пациентам дополнительно в период отбора на лечение методом МР-ФУЗ проводили МРТ головного мозга в режиме импульсной последовательности, взвешенной по магнитной восприимчивости (SWI/SWAN), что имеет определённое диагностическое значение при БП [33, 34].
Детальное все этапы МР-ФУЗ описаны нами ранее [12]. Во всех случаях проведено одностороннее вмешательство, выбор стороны воздействия проводился коллегиально с пациентом и его близкими, исходя из выраженности симптомов или доминантности конечности. Медиана коэффициента ультразвуковой проводимости составила 0,48 (0,41; 0,58), медиана продолжительности лечения — 97,2 (73,6; 126,4) мин, медиана количества соникаций (ультразвуковых воздействий) — 11 (9,5; 13,0).
Для лечения методом МР-ФУЗ были выбраны две мишени: VIM и PTT. Только VIM-ядро использовалось у первых пациентов ввиду более раннего (с 2018 г.) одобрения данной мишени [12]. После разрешения к проведению деструкции PTT (в ноябре 2021 г.) мишени выбирались у каждого пациента в соответствии с индивидуальным клиническим состоянием (наличием выраженной мышечной ригидности, гипокинезии, инвалидизирующего тремора) [35]. Из 82 оперированных пациентов воздействие на VIM осуществлено в 34 случаях, на PTT — в 12, комбинация VIM + PTT — в 36. Воздействие слева было проведено у 51 пациента, справа — у 31.
После лечения всех пациентов продолжали наблюдать по утверждённому протоколу с проведением клинико-неврологического обследования и МРТ головного мозга через 1, 3, 6 и 12 мес.
Статистический анализ проводили на платформе x86_64-apple-darwin17.0 под macOS Monterey v. 12.0.1 в пакете программного обеспечения R v. 4.2.1, распространяемого по открытой лицензии. Непрерывные числовые переменные проверяли на нормальность распределения по критерию Шапиро–Уилка. При относительно небольшом числе наблюдений, отсутствии нормального распределения величин использовали непараметрические методы. Сравнения зависимых проводили в парном тесте Вилкоксона, независимых групп — в тесте Вилкоксона. При наличии более двух групп использовали метод сравнения Крускала–Уоллиса. Проводили корреляционный анализ по Спирману. Для визуального анализа материала строили графики, используя встроенные в R функции. Анализ сроков возврата симптомов оценивали методами анализа выживаемости Каплана–Мейера с использованием пакетов survival v. 0.4.9 и survminer v. 0.4.9.
Результаты
Положительный ответ на проведённое методом МР-ФУЗ лечение был достигнут у всех пациентов с Д-БП при анализе результатов по шкале MDS-UPDRS-III. Медиана по данной шкале до операции составила 54 (43; 65) балла, после операции — 31 (24; 39), p < 0,00001 (рис. 1). Статистически значимых различий в результатах лечения между мужчинами и женщинами не установлено (p = 0,68).
Рис. 1. Результаты лечения Д-БП (балльные значения показателей) с применением метода МР-ФУЗ.
*p < 0,00001, тест Вилкоксона.
Fig. 1. MRgFUS treatment response (scores) in TDPD patients.
*p < 0.00001, Wilcoxon’s test.
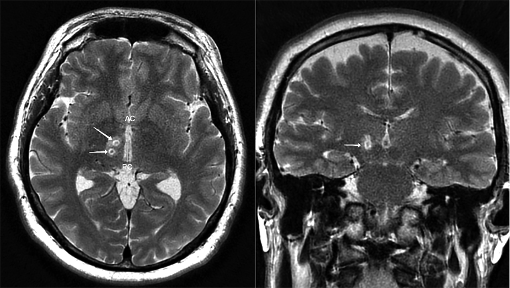
Оценка результатов лечения МР-ФУЗ в зависимости от мишени воздействия (рис. 2) показала, что достигнутое улучшение было более отчётливым при использовании PTT и комбинации мишеней VIM + PTT (p < 0,001, метод Крускала–Уоллиса). В группе пациентов с абляцией только VIM-ядра улучшение составило 32,0% (24,5; 40,2), при комбинированной абляции VIM и PTT — 50,0% (40,3; 57,5), а в группе с изолированной абляцией PTT — 40,1% (37,2; 58,7), различия статистически значимы (p < 0,001, метод Крускала–Уоллиса). Комбинацию мишеней проводили у пациентов в случае сохранения дрожания после формирования достаточного очага в проекции PTT. На рис. 3 представлена МРТ пациента с Д-БП после лечения посредством МР-ФУЗ с воздействием на PTT и VIM.
Рис. 2. Улучшение, достигнутое у пациентов с Д-БП после МР-ФУЗ (MDS-UPDRS, часть III), % от исходного уровня в зависимости от мишени.
*p < 0,001, метод Крускала–Уоллиса.
Fig. 2. Percentage improvement achieved in TDPD patients after MRgFUS (MDS-UPDRS, part III) vs. baseline by different targets.
*p < 0.001, Kruskal–Wallis method.
Рис. 3. МРТ пациента через 2 ч после одновременной абляции PTT + VIM справа (аксиальная и коронарная проекции).
Очаги абляции указаны стрелками.
Fig. 3. Patient’s MRI scan 2 h after simultaneous right-sided PTT + VIM ablation (axial and coronary planes).
Ablation lesions are shown with arrows.
При сравнении достигнутого улучшения (в процентах от исходного значения суммы баллов по шкале MDS-UPDRS-III) у пациентов с изолированной абляцией PTT и VIM были выявлены статистически значимые различия (p = 0,000024, тест Вилкоксона). В то же время между группами, получившими абляцию PTT + VIM и изолированное воздействие на РТТ, статистически значимых различий не установлено (p = 0,9245). Медиана улучшения по шкале MDS-UPDRS-III у пациентов с воздействием на PTT составила 47,9% (38,8; 57,6), а у пациентов без воздействия на РТТ — 32,0% (24,2; 40,2). В абсолютных значениях медиана улучшения по шкале MDS-UPDRS-III у пациентов с воздействием на PTT составила 29 (21; 34) баллов, а без PTT-мишени — 13,5 (10,2; 21,0) балла (p < 0,0001, тест Вилкоксона).
У 73 пациентов лечение методом МР-ФУЗ прошло без побочных эффектов. Во время самой процедуры у нескольких пациентов появились осложнения, связанные с техническими особенностями проведения: головная боль (n = 4), в одном случае послужившая причиной раннего завершения манипуляции; повышение артериального давления (n = 5); временное угнетение сознания до оглушения (n = 1); артериальная гипотензия в ответ на введение препарата в процессе установки стереотаксической рамы (n = 2). Все перечисленные осложнения после завершения лечения не определялись.
Ряд осложнений наблюдали в раннем периоде после завершения МР-ФУЗ вследствие развития отёка в проекции точки воздействия: апраксия в 1-й месяц возникла у 6 пациентов из 48 в группе PTT и у 2 из 34 — в группе без PTT-абляции (p = 0,32, метод χ2): у 2 пациентов была дизартрия, у 1 — заторможенность речи, у 1 — онемение кончика языка. Большинство этих симптомов уменьшились к 6 мес наблюдения. Через 1 год после операции апраксия сохранялась у 2 пациентов в группе PTT и у 2 — в группе без PTT-абляции.
Медиана продолжительности наблюдения за пациентами с Д-БП после лечения с применением МР-ФУЗ составила 376 дней (107,5; 612). Рецидив тремора (выраженного в меньшей степени по сравнению с гиперкинезом до операции) имел место у 18 пациентов: в группе с PTT-абляцией — у 5, в группе без PTT-абляции — у 13. Девяти пациентам (2 женщины и 7 мужчин, медиана возраста 63 (41; 69) года) из 18 лечение было проведено повторно. Все 9 пациентов были из группы без PTT-абляции (после изолированного воздействия на VIM-ядро). Во время повторного лечения 5 пациентам проведено воздействие на PTT, 3 — повторная абляция VIM-ядра, 1 — абляция PTT + VIM. В итоге у всех пациентов достигнут удовлетворительный результат без возврата дрожания на протяжении всего периода дальнейшего наблюдения. У остальных 9 пациентов с рецидивом тремора симптомы были не столь значимыми, чтобы установить показания для повторного лечения, и они были оставлены под наблюдением.
Нами проведён анализ отдалённых результатов после применения МР-ФУЗ у мужчин и женщин, при этом значимых различий по полу не выявлено (p = 0,64, метод Каплана–Мейера). Оценка отсроченных итогов лечения у пациентов с Д-БП с использованием комбинации мишеней и изолированных мишеней выявила статистически значимо лучшие отдалённые результаты при проведении одновременного воздействия на РТТ + VIM (p = 0,039, рис. 4).
Рис. 4. График кривых Каплана–Майера — рецидив симптомов в зависимости от использования PTT в качестве мишени.
Fig. 4. Kaplan–Meier curve for symptom return depending on PTT targeting.
Обсуждение
Лечение пациентов с Д-БП представляет собой большую проблему [1–3, 35]. Со временем эффективность консервативной терапии различными группами препаратов снижается, что осложняется развитием стойких побочных эффектов [2, 8]. ГСМ является лучшим вариантом лечения на данный момент, приводящим к значительному уменьшению тремора и других симптомов БП [10, 16–18]. Однако ограничениями ГСМ являются его инвазивность, сложность, имплантация устройства в организм, недостаточная доступность и необходимость постоянного наблюдения в крупных специализированных медицинских центрах с целью контроля над параметрами генератора.
Метод МР-ФУЗ в последние годы активно используется для лечения симптомов преимущественно дрожательных фенотипов БП [12]. Мы представили собственный положительный опыт лечения пациентов с Д-БП методом МР-ФУЗ у 82 пациентов со средним периодом наблюдения более 1 года, достигнутым уменьшением выраженности симптомов по шкале MDS-UPDRS-III на 40,1%, без развития серьёзных ранних и отдалённых осложнений. Уникальным при этом является наш опыт одновременного воздействия на две мишени: VIM и PTT. У 18 пациентов наблюдался рецидив тремора (все случаи после абляции VIM-ядра), 9 из которых успешно выполнены повторные воздействия через 6–9 мес после первого воздействия.
Тщательный анализ случаев возврата тремора после МР-ФУЗ с оценкой результатов лечения в других центрах позволил нам внедрить в практику операцию РТТ методом МР-ФУЗ (после её одобрения к использованию в 2021 г.) у данной категории пациентов. По нашим данным, проведение ультразвуковой абляции PTT при Д-БП приводит к более выраженному улучшению по сравнению со стандартной абляцией VIM-ядра при оценке как ближайших, так и отдалённых результатов, что согласуется с результатами других авторов [27]. Описанный нами опыт проведения одномоментного лечения методом МР-ФУЗ с воздействием на две мишени (VIM и PTT) является мировым приоритетом, поскольку нами не найдены ранее опубликованные работы на эту тему, кроме 3 случаев этапного лечения [28].
В целом анализ ранних и отдалённых результатов лечения методом МР-ФУЗ показывает, что полученные нами данные сопоставимы с данными зарубежных исследований с точки зрения оценки эффективности и безопасности [19–23, 27, 28]. По нашему мнению, одновременное одностороннее воздействие методом МР-ФУЗ может рассматриваться как эффективный метод коррекции симптомов Д-БП, резистентных к фармакологическим препаратам. Для окончательного решения о включении метода в список рекомендуемых при БП, определения точных критериев отбора пациентов, понимания размаха вариабельности исходов, оценки возможности проведения двусторонних вмешательств требуются отдельные многоцентровые исследования на больших когортах пациентов.
Об авторах
Резида Маратовна Галимова
Башкирский государственный медицинский университет; Клиника интеллектуальной нейрохирургии Международного медицинского центра им. В.С. Бузаева
Автор, ответственный за переписку.
Email: rezida@galimova.com
ORCID iD: 0000-0003-2758-0351
к.м.н., ассистент каф. нейрохирургии и медицинской реабилитации с курсом ИДПО Башкирского государственного медицинского университета; генеральный директор Клиники интеллектуальной нейрохирургии Международного медицинского центра им. В.С. Бузаева
Россия, Уфа; УфаСергей Николаевич Иллариошкин
Научный центр неврологии
Email: annaly-nevrologii@neurology.ru
ORCID iD: 0000-0002-2704-6282
д.м.н., профессор, акад. РАН, зам. директора по научной работе, директор Института мозга Научного центра неврологии
Россия, МоскваГульнара Наилевна Ахмадеева
Башкирский государственный медицинский университет; Клиника интеллектуальной нейрохирургии Международного медицинского центра им. В.С. Бузаева
Email: nevrolog.ufa@gmail.com
ORCID iD: 0000-0001-5516-0587
к.м.н., ассистент каф. неврологии Башкирского государственного медицинского университета; врач-невролог, паркинсонолог Клиники интеллектуальной нейрохирургии Международного медицинского центра им. В.С. Бузаева
Россия, Уфа; УфаДинара Ильгизовна Набиуллина
Клиника интеллектуальной нейрохирургии Международного медицинского центра им. В.С. Бузаева
Email: Nabiullina.Dinara@yandex.ru
ORCID iD: 0000-0003-2570-3709
врач-невролог Клиники интеллектуальной нейрохирургии Международного медицинского центра им. В.С. Бузаева
Россия, УфаФеликс Фаритович Кашапов
Клиника интеллектуальной нейрохирургии Международного медицинского центра им. В.С. Бузаева
Email: felix.kashapov@mail.ru
ORCID iD: 0000-0003-3355-4096
врач-невролог Клиники интеллектуальной нейрохирургии Международного медицинского центра им. В.С. Бузаева
Россия, УфаШамиль Махмутович Сафин
Башкирский государственный медицинский университет
Email: safinsh@mail.ru
ORCID iD: 0000-0002-0100-6100
д.м.н., доцент, зав. каф. нейрохирургии и медицинской реабилитации с курсом ИДПО Башкирского государственного медицинского университета; зав. отд. нейрохирургии Республиканской клинической больницы им. Г.Г. Куватова
Россия, УфаИгорь Вячеславович Бузаев
Башкирский государственный медицинский университет; Клиника интеллектуальной нейрохирургии Международного медицинского центра им. В.С. Бузаева
Email: igor@buzaev.com
ORCID iD: 0000-0003-0511-9345
д.м.н., профессор каф. госпитальной хирургии Башкирского государственного медицинского университета; директор по развитию Клиники интеллектуальной нейрохирургии Международного медицинского центра им. В.С. Бузаева
Россия, Уфа; УфаДинара Равилевна Терегулова
Клиника интеллектуальной нейрохирургии Международного медицинского центра им. В.С. Бузаева
Email: dinamail@mail.ru
ORCID iD: 0000-0001-6283-3735
к.м.н., врач-невролог Клиники интеллектуальной нейрохирургии Международного медицинского центра им. В.С. Бузаева
Россия, УфаЮлия Александровна Сидорова
Клиника интеллектуальной нейрохирургии Международного медицинского центра им. В.С. Бузаева
Email: yuliasi.ufa@gmail.com
ORCID iD: 0000-0002-0992-0239
врач-невролог Клиники интеллектуальной нейрохирургии Международного медицинского центра им. В.С. Бузаева
Россия, УфаОльга Валерьевна Качемаева
Башкирский государственный медицинский университет; Клиника интеллектуальной нейрохирургии Международного медицинского центра им. В.С. Бузаева
Email: olga.kachemaeva@gmail.com
ORCID iD: 0000-0001-9949-9582
к.м.н., доцент каф. неврологии Башкирского государственного медицинского университета; врач-невролог Клиники интеллектуальной нейрохирургии, Международного медицинского центра им. В.С. Бузаева
Россия, Уфа; УфаСписок литературы
- Иллариошкин С.Н., Иванова-Смоленская И.А. Дрожательные гиперкинезы. Руководство для врачей. М.; 2011.
- Богданов Р.Р., Богданов А.Р., Котов С.В. Тактика ведения пациентов с начальными проявлениями болезни Паркинсона. Доктор.Ру. 2012;(5):15–21.
- Левин О.С., Иллариошкин С.Н., Артемьев Д.В. Диагностика болезни Паркинсона. В кн.: Иллариошкин С.Н., Левин О.С. (ред.) Руководство по диагностике и лечению болезни Паркинсона. М.; 2017:34–98.
- Simon D.K., Tanner C.M., Brundin P. Parkinson disease epidemiology, pathology, genetics, and pathophysiology. Clin. Geriatr. Med. 2020;36(1):1–12. doi: 10.1016/j.cger.2019.08.002
- Dorsey E.R., Sherer T., Okun M.S., Bloem B.R. The emerging evidence of the Parkinson pandemic. J. Parkinsons Dis. 2018;8(s1):3–8. doi: 10.3233/JPD-181474
- Kaltenboeck A., Johnson S.J., Davis M.R. Direct costs and survival of medicare beneficiaries with early and advanced Parkinson’s disease. Parkinsonism Relat. Disord. 2012;18(4):321–326. doi: 10.1016/j.parkreldis.2011.11.015
- Иванов П.И., Зубаткина И.С., Бутовская Д.А., Кожокарь Т.И. Радиохирургическое лечение резистентного к медикаментозной терапии тремора при болезни Паркинсона. Нейрохирургия. 2021;23(1):16–25.
- Иллариошкин С.Н. Современные подходы к лечению болезни Паркинсона. Нервные болезни. 2004;(4):14–21.
- Kostiuk K., Lomadze V., Vasyliv N. Stereotactic thalamotomy and contralateral subthalamotomy in treatment of Parkinson's disease. Georgian Med. News. 2017;(272):12–17.
- Гуща А.О., Тюрников В.М., Кащеев А.А. Современные возможности хирургической нейромодуляции. Анналы клинической и экспериментальной неврологии. 2018;12(5S):32–37.
- Холявин А.И., Аничков А.Д., Шамрей В.К. Функциональная нейрохирургия в лечении нервных и психических заболеваний. СПб.; 2018.
- Галимова Р.М., Набиуллина Д.И., Иллариошкин С.Н. и др. Первый в России опыт лечения пациентов с эссенциальным тремором методом фокусированного ультразвука под контролем МРТ. Анналы клинической и экспериментальной неврологии. 2022;16(2):5–14.
- Christian E., Yu C., Apuzzo M.L. Focused ultrasound: relevant history and prospects for the addition of mechanical energy to the neurosurgical armamentarium. World Neurosurg. 2014;82(3-4):354–365.
- Dobrakowski P.P., Machowska-Majchrzak A.K., Labuz-Roszak B. MR-guided focused ultrasound: a new generation treatment of Parkinson's disease, essential tremor and neuropathic pain. Interv. Neuroradiol. 2014;20(3):275–282.
- Ohye C., Hirai T., Miyazaki M. Vim thalamotomy for the treatment of various kinds of tremor. Appl. Neurophysiol. 1982;45(3):275–280.
- Гамалея А.А., Томский А.А., Поддубская А.А. и др. Эффективность двусторонней электростимуляции внутреннего сегмента бледного шара в лечении сегментарной и генерализованной форм дистонии. Медицинский алфавит. 2017;1(2):47–55.
- Хабарова Е.А., Пилипенко П.И., Денисова Н.П., Ефремов Ф.А. Сравнительная эффективность нейростимуляции субталамического ядра и стереотаксических деструктивных вмешательств на подкорковых структурах головного мозга у пациентов с болезнью Паркинсона. Нервные болезни. 2023;(2):12–18.
- Томский А.А., Бриль Е.В., Гамалея А.А. и др. Функциональная нейрохирургия при болезни Паркинсона в России. Анналы клинической и экспериментальной неврологии. 2019;13(4):10–15.
- Fasano A., De Vloo P., Llinas M. et al. Magnetic resonance imaging-guided focused ultrasound thalamotomy in Parkinson tremor: reoperation after benefit decay. Mov. Disord. 2018;33(5):848–849. doi: 10.1002/mds.27348
- Gallay M.N., Moser, D., Magara A.E. et al. Bilateral MR-guided focused ultrasound pallidothalamic tractotomy for Parkinson’s disease with 1-year follow up. Front. Neurol. 2021;12:601153. doi: 10.3389/fneur.2021.601153
- Sperling S.A., Shah B.B., Barrett M.J. Focused ultrasound thalamotomy in Parkinson disease: nonmotor outcomes and quality of life. Neurology. 2018;91(14):e1275–e1284. doi: 10.1212/WNL.0000000000006279
- Bond A.E., Shah B.B., Huss D.S. Safety and efficacy of focused ultrasound thalamotomy for patients with medication-refractory, tremor-dominant Parkinson disease: a randomized clinical trial. JAMA Neurol. 2017;74(12):1412–1418.
- Sinai A., Nassar M., Sprecher E. Focused ultrasound thalamotomy in tremor dominant Parkinson's disease: long-term results. J. Parkinsons Dis. 2022;12(1):199–206. doi: 10.3233/JPD-212810
- Milosevic L., Kalia S.K., Hodaie M. et al. Physiological mechanisms of thalamic ventral intermediate nucleus stimulation for tremor suppression. Brain. 2018;141(7):2142–2155. doi: 10.1093/brain/awy139
- Martínez-Fernández R., Máñez-Miró J.U., Rodríguez-Rojas R. et al. Randomized trial of focused ultrasound subthalamotomy for Parkinson's disease. N. Engl. J. Med. 2020;383(26):2501–2513. doi: 10.1056/NEJMoa2016311
- Speelman J.D., Schuurman R., de Bie R.M. et al. Stereotactic neurosurgery for tremor. Mov. Disord. 2002;17(Suppl. 3):84–88. doi: 10.1002/mds.10147
- Gallay M.N., Moser D., Rossi F. et al. MRgFUS pallidothalamic tractotomy for chronic therapy-resistant Parkinson's disease in 51 consecutive patients: single center experience. Front. Surg. 2020;6:76. doi: 10.3389/fsurg.2019.00076
- Jui-Cheng C., Ming-Kuei L., Chun-Ming C., Chon-Haw T. Stepwise dual-target magnetic resonance–guided focused ultrasound in tremor-dominant Parkinson disease: a feasibility study. World Neurosurg. 2023;171:e464–e470. doi: 10.1016/j.wneu.2022.12.049
- Berardelli A., Wenning G.K., Antonini A. et al. EFNS/MDS-ES/ENS [corrected] recommendations for the diagnosis of Parkinson's disease. Eur. J. Neurol. 2013;20(1):16–34.
- Bhidayasiri R. Parkinson’s disease: Hoehn and Yahr scale. In: Bhidayasiri R., Tarsy D. Movement disorders: a Video Atlas. Springer; 2012.
- The Unified Parkinson's Dsease Rating Scale (UPDRS): status and recommendations. Mov. Disord. 2003;18(7):738–750. doi: 10.1002/mds.10473
- Смоленцева И.Г., Амосова Н.А. Применение международной классификации функционирования в реабилитации при болезни Паркинсона. Кремлевская медицина. 2018;(3):49–54.
- Иллариошкин С.Н., Коновалов Р.Н., Федотова Е.Ю., Москаленко А.Н. Новые МРТ-методики в диагностике болезни Паркинсона: оценка нигральной дегенерации. Анналы клинической и экспериментальной неврологии; 2019;13(4):77–84.
- Богданов Р.Р., Мананникова Е.И., Абраменко А.С. и др. Визуализация дофаминергических структур среднего мозга при болезни Паркинсона. Анналы клинической и экспериментальной неврологии. 2013;7(3):31–36.
- Tzu-Hsiang K., Yu-Hsuan L., Lung C. et al. Magnetic resonance–guided focused ultrasound surgery for Parkinson's disease: a mini-review and comparison between deep brain stimulation. Parkinsonism Relat. Disord. 2023;111:105431.









