Тромбоэмболический тип течения церебральных аневризм
- Авторы: Шнякин П.Г.1,2, Рославцева В.В.2, Гаврилова А.О.1
-
Учреждения:
- Красноярский государственный медицинский университет имени профессора В.Ф. Войно-Ясенецкого
- Краевая клиническая больница
- Выпуск: Том 19, № 1 (2025)
- Страницы: 85-92
- Раздел: Клинический разбор
- Статья получена: 03.06.2024
- Статья одобрена: 15.07.2024
- Статья опубликована: 03.04.2025
- URL: https://annaly-nevrologii.com/pathID/article/view/1145
- DOI: https://doi.org/10.17816/ACEN.1145
- ID: 1145
Цитировать
Аннотация
Геморрагический тип течения церебральных аневризм встречается наиболее часто, в связи с чем клинические рекомендации по ведению пациентов с аневризмами головного мозга в первую очередь основываются на оценке риска их разрыва. Ишемический тип течения церебральных аневризм встречается значимо реже (в 3–5% случаев) и чаще всего связан с дистальной эмболией тромботических масс из больших и гигантских тромбированных аневризм. Сделать заключение о том, что ишемический инсульт ассоциирован с эмболией тромбов из мешка аневризмы, можно только при исключении других факторов риска, в первую очередь кардиоэмболии и стенозов интра- и экстракраниальных артерий. Имеются сложности в определении тактики ведения пациентов с тромбоэмболией из аневризм и развитием ишемии, т. к. требуется назначение антитромботических препаратов, которые могут способствовать реканализации аневризмы и её разрыву. Кроме того, в настоящее время не определены оптимальные сроки для выполнения хирургического вмешательства на аневризме при развитии острой ишемии, учитывая высокий риск повторных эпизодов эмболии, а также риск разрыва аневризмы. В статье представлены краткий обзор современных исследований по данной проблеме и собственный опыт ведения 4 пациентов с тромбоэмболическим вариантом течения церебральных аневризм.
Ключевые слова
Полный текст
Введение
Ежегодно в России происходит 10–14 аневризматических субарахноидальных кровоизлияний на 100 тыс. населения [1, 2]. Церебральные аневризмы (ЦА) имеют 2–5% населения, большинство из них небольшие и носят асимптомный характер [3]. Заболеваемость ишемическим инсультом (ИИ) значительно выше и достигает 2,5–3,0 человек на 1000 населения в год [2]. Из представленных данных по частоте аневризмоносительства в популяции и ежегодной частоте развития ИИ можно с уверенностью предположить, что часть инсультов и транзиторных ишемических атак случается у пациентов с асимптомными ЦА.
Наличие аневризмы в анамнезе является противопоказанием для системного тромболизиса при ИИ. При этом для выполнения системного тромболизиса ангиографические исследования не требуются, а большинство пациентов не знают о наличии у себя асимптомных аневризм. Имеются отдельные наблюдения разрывов асимптомных аневризм при проведении тромболитической терапии пациентам с ИИ [4, 5]. Однако это могли быть не асимптомные аневризмы, а когда-то рвавшиеся и частично тромбированные, поэтому введение фибринолитика могло способствовать лизису тромба и повторному разрыву. В крупных сериях наблюдений не выявлено случаев разрывов асимптомных аневризм при тромболитической терапии [6].
Таким образом, в большинстве случаев ЦА являются сопутствующими состояниями у пациентов с ИИ. При этом в 3–5% случаев тромбированные аневризмы (ТА) могут сами выступать в качестве причины ИИ, наиболее часто из-за эмболии тромботических масс из мешка в дистальные ветви [7–9]. При больших и гигантских аневризмах этот показатель ещё выше. По данным В.В. Крылова и соавт., в группе пациентов с гигантскими аневризмами средней мозговой артерии эмболический тип течения с развитием церебральной ишемии встречался в 6,9% случаев [10].
По данным нескольких работ, эмболия тромбов из мешка аневризмы сопряжена с повышенным риском разрыва в ближайшее время [9, 11–13].
Цель исследования — проанализировать случаи тромбоэмболического варианта течения ЦА.
Материалы и методы
Проанализированы истории болезни 240 пациентов с ЦА, находившихся на лечении в региональном сосудистом центре Краевой клинической больницы Красноярска в 2022–2023 гг. Из них 136 пациентов прооперированы в остром периоде разрыва аневризмы, 56 — с разрывом в анамнезе, 48 — с аневризмами без разрыва. У 4 (1,6%) пациентов ЦА манифестировали развитием ИИ.
Патогенетическая связь инсульта и наличия аневризмы устанавливается на основании следующих параметров:
- наличие крупной частично или полностью ТА;
- развитие ишемии в ветвях, дистальнее ТА;
- отсутствие других факторов риска инсульта, в первую очередь кардиоэмболии и гемодинамически значимых стенозов экстра- и интракраниальных артерий.
Проанализированы анамнестические, клинические и нейровизуальные характеристики пациентов с ИИ на фоне ТА.
Результаты
Среди наблюдаемых нами пациентов с тромбоэмболическим типом течения аневризм головного мозга было 2 мужчин и 2 женщины. Двое пациентов были в возрасте 22 и 24 года, двое — старше, 57 и 62 года.
Все пациенты имели аневризмы размером более 10 мм: 13, 15, 15, 20 мм. В 3 случаях ТА локализовались на средней мозговой артерии (СМА), в 1 случае — на внутренней сонной артерии (ВСА). В 3 случаях аневризмы имели небольшую функционирующую часть, в 1 случае аневризма была полностью тромбирована.
У одной пациентки развился лакунарный инсульт в области внутренней капсулы, у другой — обширный очаг ишемии в подкорковых структурах. У одного пациента сформировалась зона ишемии в области кровоснабжения лобной ветви М2-сегмента СМА, у другого пациента — множественные очаги ишемии подкорковой и корковой локализации.
У 3 пациентов с развитием острой ишемии отмечался яркий (гиперденсный) сигнал по нативной мультиспиральной компьютерной томографии (МСКТ) от части ТА, что могло говорить об остром формировании тромба, часть которого мигрировала в дистальные ветви и вызвала инфаркт мозга.
Всем пациентам в связи с развитием острого ИИ назначали антиагреганты. Повторных эпизодов ишемии не было. Трём пациентам с частичной ТА выполнено плановое оперативное вмешательство (костно-пластическая трепанация черепа, микрохирургическое клипирование аневризмы) через 3 мес и позднее после перенесённого ИИ. Пациентке с полностью ТА и тромбозом СМА от операции воздержались.
Представляем клинические случаи пациентов с тромбоэмболическим типом течения ЦА.
Клинический случай 1
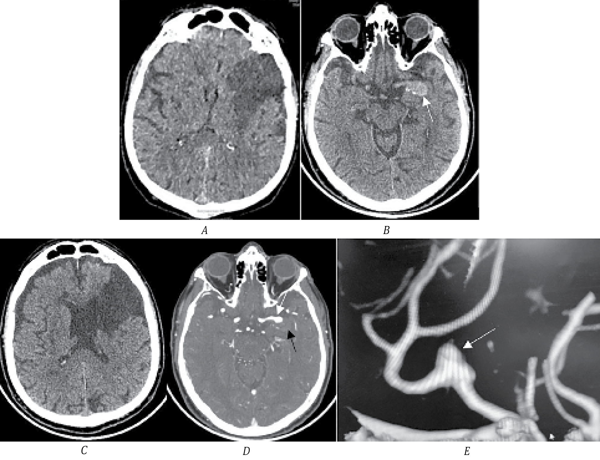
Пациентка Б., 57 лет, поступила в первичное сосудистое отделение с клиникой глубокого правостороннего гемипареза (до 3 баллов в руке и ноге). Неврологический дефицит тяжёлой степени (14 баллов по NIHSS). По данным МСКТ определена зона ишемии в области скорлупы, внутренней капсулы и головки хвостатого ядра слева (рис. 1, А). Обращает на себя внимание гиперденсный участок в области сильвиевой щели, который необходимо дифференцировать с кровоизлиянием и ТА (рис. 1, B). По МСКТ-ангиографии выявлена функционирующая часть ТА М1-сегмента СМА (рис. 1, C). Через 3 мес пациентка поступила на плановое оперативное лечение по поводу аневризмы СМА. В динамике на нативном МСКТ-исследовании сигнал от аневризмы стал изоденсным, по МСКТ-ангиографии определяется функционирующая часть аневризмы размером до 3,5 мм (рис. 1, D, E).
Рис. 1. МСКТ головного мозга пациентки Б.
А — острая ишемия в области головки хвостатого ядра, внутренней капсулы и скорлупы (стрелка); B — тромбированная часть аневризмы (стрелка); C — функционирующая часть аневризмы (белая стрелка), чёрной стрелкой указаны контуры тромбированной части; D — МСКТ пациентки через 3 мес после инсульта, стрелкой указана тромбированная часть аневризмы; E — 3D-реконструкция функционирующей части аневризмы (стрелка).
В остром периоде ИИ тромбированная часть аневризмы имела яркий (гиперденсный) сигнал, что указывает на наличие свежего тромба (рис. 1, B), а через 3 мес сигнал от тромба стал изоденсным (рис. 1, D). На основании зон ишемии в бассейне кровоснабжения лентикулостриарных ветвей и наличия свежего тромба в аневризме можно предположить, что причиной развития ишемии стал тромбоз стриарных ветвей СМА эмболом из мешка аневризмы. Других факторов риска ИИ у пациентки не выявлено. Выполнено микрохирургическое клипирование аневризмы. На операции определены небольшая функционирующая часть аневризмы и крупная тромбированная часть (13 мм). Мешок вскрыт, тромбы удалены, на сформировавшуюся шейку наложен постоянный клипс. Пациентка выписана с дооперационным функциональным статусом с оценкой по модифицированной шкале Рэнкина 3.
Клинический случай 2
Пациент К., 62 года, поступил в первичное сосудистое отделение с клиникой правостороннего гемипареза (2 балла в руке, 3 — в ноге), моторной афазией, 16 баллов по NIHSS. По МСКТ определяется зона ишемии в левой лобной доле с распространением на подкорковые структуры. По нативному исследованию заподозрена ТА СМА размером до 2 см (рис. 2, А, B). По неясным причинам в первичном сосудистом отделении МСКТ-ангиография не выполнялась. Через 3 мес направлен в региональный сосудистый центр. По МСКТ определяется зона кистозно-атрофических изменений в области перенесённого ИИ в левой лобной доле. По МСКТ-ангиографии определяется небольшая функционирующая часть аневризмы М1-сегмента, дистальные ветви СМА проходимы (рис. 2, C, D).
Рис. 2. МСКТ головного мозга пациента К.
А — МСКТ-натив, определяется зона ишемии в левой лобной доле; B — стрелкой указана ТА СМА с кальцификацией размером до 2 см; C — МСКТ через 3 мес после перенесённого ИИ, определяется зона кистозно-атрофических изменений в левой лобной доле; D — МСКТ-ангиография, белой стрелкой обозначена функционирующая часть аневризмы, чёрной — контур тромбированной части; E — 3D-реконструкция МСКТ-ангиографии, стрелкой указана функционирующая часть аневризмы.
С учётом наличия большого тромбированного мешка аневризмы в области М1-сегмента СМА и развития ишемии в области кровоснабжения лобной М2-ветви СМА вероятна эмболия тромбов из мешка аневризмы. В динамике через 3 мес по ангиографии определяется проходимость всех ветвей СМА, что могло быть связано с наступившей реканализацией тромбированной ветви. При дообследовании других факторов риска ИИ, кроме гипертонической болезни, у пациента не обнаружено. Учитывая высокий риск повторных тромбоэмболических осложнений, выполнили микрохирургическое клипирование аневризмы. После операции состояние пациента декомпенсировалось в связи с развитием энцефалопатии; выписан из стационара с оценкой по модифицированной шкале Рэнкина 4.
Клинический случай 3
Пациентка И., 22 года, доставлена скорой помощью с жалобами на слабость и неловкость в правых конечностях. На момент осмотра — в ясном сознании, правосторонний гемипарез до 3,5 балла в руке, 4 баллов в ноге. По МСКТ определяется округлое образование гиперденсной плотности в проекции сильвиевой щели, подозрение на ТА. Обращает на себя внимание, что образование имеет разную плотность, в том числе участок высокой плотности, как возможный признак острого тромбоза (рис. 3, А). По МСКТ-ангиографии отсутствует кровоток в СМА слева, функционирующей части аневризмы не определяется. Учитывая лёгкий неврологический дефицит (5 баллов по NIHSS), острый тромбоз аневризмы СМА вместе с несущей артерией маловероятен. Пациентке выполнено МРТ головного мозга. Определяется большая ТА СМА, тромбоз СМА на всём протяжении. В области внутренней капсулы определяется участок ишемии, который соответствует развившемуся неврологическому дефициту у пациентки. На основании этого вероятно, что тромбоз аневризмы СМА вместе с артерией является хроническим, а в настоящее время клиническая картина вызвана развитием ишемии в подкорковых структурах, кровоснабжаемых лентикулостриарными артериями. Механизм развития ишемии в данном случае может быть связан как с эмболией тромбами, так и с увеличением размера аневризмы (наличие свежего тромба) и механическим перекрытием артерий.
Рис. 3. МСКТ головного мозга пациентки И.
А — стрелкой обозначена ТА; B — МСКТ-ангиография, белой стрелкой обозначено отсутствие кровотока в левой СМА; C — МРТ Т2-ВИ, стрелкой обозначена ТА СМА; D — МР-ангиография, отсутствие кровотока в СМА слева (указано стрелкой); E, F — МРТ Т2-ВИ и DWI, стрелкой обозначен очаг ишемии в области внутренней капсулы.
Других факторов риска инсульта у молодой пациентки не выявлено. Для определения тактики ведения выполнена церебральная ангиография и МСКТ-перфузия. По данным ангиографии у пациентки хорошо развит коллатеральный кровоток. По данным МСКТ-перфузии значимой разницы капиллярного кровотока в обоих полушариях нет. Принято решение о консервативном ведении пациентки с динамическим ангиографическим контролем. Осмотрена в динамике через 6 мес, повторных эпизодов ишемии у пациентки не было, функциональный статус оценён как 0 баллов по модифицированной шкале Рэнкина. На фоне приёма антиагрегантной терапии по МСКТ-ангиографии признаков реканализации аневризмы и средней мозговой артерии нет.
Клинический случай 4
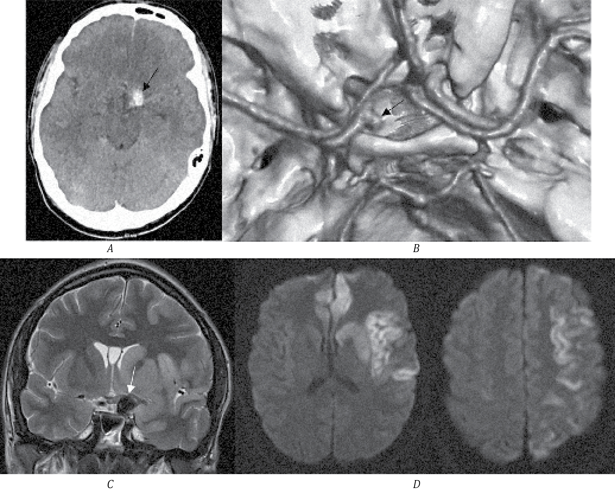
В приёмный покой доставлен пациент А., 24 года, с остро развившейся правосторонней гемиплегией. Выполнено МСКТ головного мозга: выявлен участок повышенной плотности в хиазмально-селлярной области слева, который необходимо дифференцировать как очаг кровоизлияния или ТА ВСА (рис. 4, А). По МСКТ-ангиографии определяется небольшая функционирующая часть аневризмы левой ВСА. ВСА и СМА слева проходимы на всём протяжении.
Рис. 4. МСКТ головного мозга пациента А.
А — стрелкой указана ТА левой ВСА; B — МСКТ-ангиография, 3D-реконструкция, стрелкой указана функционирующая часть аневризмы левой ВСА; C — МРТ головного мозга, Т1-ВИ, стрелкой указана ТА левой ВСА; D — МРТ в режиме DWI, зоны острой ишемии — в подкорковых структурах левого полушария головного мозга.
Выполнено МРТ головного мозга. Определяется ТА левой ВСА размером 15 мм. В режиме DWI определяются зоны острой ишемии (ограничения диффузии) в области головки хвостатого ядра справа, скорлупы, коры островка, латеральных и медиальных отделов правой лобной доли. С учётом такого многоочагового характера ишемии и наличия ТА ВСА наиболее вероятно, что эмболия из мешка тромбов привела к формированию множественных зон ишемии. Других факторов риска ИИ у молодого пациента не выявлено. Неврологический статус пациента оценён в 11 баллов по NIHSS. В плановом порядке выполнено микрохирургическое клипирование аневризмы ВСА. Пациент выписан с функциональным статусом на уровне 2 по модифицированной шкале Рэнкина.
Обсуждение
Эмболический тип течения ЦА известен неврологам и нейрохирургам, однако в немногочисленных научных публикациях встречаются только отдельные клинические наблюдения. Одну из самых больших серий наблюдений эмболического типа течения ЦА описали L. Calviere и соавт. [14]. Исследователи наблюдали 15 пациентов, у которых ИИ и транзиторная ишемическая атака были ассоциированы с эмболией тромбов из ЦА. Средний возраст пациентов составил 49,7 года. Средний диаметр аневризмы — 7,5 мм. На фоне антиагрегантной терапии ни у одного пациента не случилось повторных эпизодов ишемии. Однако у 2 пациентов произошёл разрыв аневризмы.
В ближайшее время можно ожидать увеличение выявляемости ЦА у пациентов с ИИ в связи с развитием и тиражированием метода тромбэкстракции, требующего проведения ангиографического исследования. При выявлении ЦА у пациентов с ИИ клиницистам необходимо не только оценивать риск её разрыва или определять противопоказания к назначению тромболитической терапии, но и предполагать, насколько аневризма, особенно большого размера, могла иметь патогенетическое влияние на развитие церебральной ишемии.
Развитие ИИ у пациентов с ЦА без разрыва возможно несколькими механизмами. Во-первых, возможен спонтанный тромбоз аневризмы на фоне воспалительных изменений в её стенке [13]. A. Fomenko и соавт. представили клинический случай мужчины 56 лет со спонтанным тромбозом аневризмы СМА, распространяющийся на просвет артерии, что привело к развитию ишемии во всём бассейне СМА [15]. При гигантских аневризмах возможна механическая компрессия проходящих рядом ветвей с развитием ишемии. Однако наиболее часто происходит эмболия тромбов из полностью или частично тромбированного мешка аневризмы в дистальные церебральные ветви [16].
Не всегда возможно доказать эмболию тромботических масс именно из мешка аневризмы. Для этого нужно верифицировать аневризму с признаками тромбоза и исключить все другие факторы риска ИИ, в первую очередь кардиоэмболию и стенозы экстра- и интрацеребральных артерий. У молодых пациентов также необходимо исключить парадоксальную эмболию через открытое овальное окно.
Таким образом, более вероятно инсульт, ассоциированный с ТА, можно предполагать у пациентов без наличия других факторов риска, при наличии инфаркта в зоне кровоснабжения артерии, несущей аневризму. Хотя, как показано в наших наблюдениях, в некоторых случаях это могут быть пациенты более старших возрастных групп.
Тромбоэмболия может случаться как из аневризм больших и гигантских размеров, так и из аневризм размером до 1 см [17–19]. В нашей серии наблюдений все аневризмы были размером более 1 см.
Однако более важен не сам размер аневризмы, а наличие в её полости тромбов. Обнаружить частичный тромбоз мешка аневризмы по МСКТ-ангиографии или церебральной ангиографии возможно только по косвенным признакам, например по неровности её контура или необычному затеканию контраста вокруг тромбированной части. В этой связи наиболее целесообразно выполнить МРТ головного мозга, по которой можно выявить тромбированную часть аневризмы.
Особую сложность представляют полностью ТА, которые не контрастируются при ангиографическом исследовании, однако также могут быть источником тромбоэмболии. В таких случаях только на МРТ можно обнаружить полностью ТА, особенно в режимах Т2-ВИ и SWI.
Учитывая, что эмболия из ЦА может повышать риск разрыва в ближайшее время [9, 11, 12], неизвестно, насколько безопасно таким пациентам можно назначать антитромботическую терапию, как положено по стандарту лечения ИИ. Н. Kuroda и соавт. описали случай разрыва ТА на 4-е сутки лечения ИИ с назначением антитромботической терапии [11].
В настоящее время не определены оптимальные сроки открытого или эндоваскулярного выключения ЦА после перенесённого ИИ, в том числе для профилактики повторных эпизодов тромбоэмболии из мешка аневризмы [20, 21].
Заключение
Тромбоэмболический тип течения ЦА встречается редко, в основном при больших и гигантских ТА. В некоторых случаях по нативной МСКТ удаётся заподозрить ТА, особенно при наличии свежего гиперденсного тромба. Однако иногда аневризма остаётся невыявленной, и из мешка возможны повторные эмболии с развитием повторных инсультов и транзиторных ишемических атак. В настоящее время не определена оптимальная тактика ведения таких пациентов, в том числе возможность назначения антитромботической терапии, а также оптимальные сроки оперативного лечения, что требует дальнейших многоцентровых исследований.
Об авторах
Павел Геннадьевич Шнякин
Красноярский государственный медицинский университет имени профессора В.Ф. Войно-Ясенецкого; Краевая клиническая больница
Email: anna-gavrilova20@yandex.ru
ORCID iD: 0000-0001-6321-4557
д-р мед. наук, профессор, зав. каф. травматологии, ортопедии и нейрохирургии с курсом ПО КрасГМУ им. проф. В.Ф. Войно-Ясенецкого; руководитель регионального сосудистого центра Краевой клинической больницы
Россия, 660022, Красноярск, ул. П. Железняка, д. 1; КрасноярскВалерия Владимировна Рославцева
Краевая клиническая больница
Email: anna-gavrilova20@yandex.ru
ORCID iD: 0009-0003-9533-9364
врач-невролог нейрохирургического отделения
Россия, КрасноярскАнна Олеговна Гаврилова
Красноярский государственный медицинский университет имени профессора В.Ф. Войно-Ясенецкого
Автор, ответственный за переписку.
Email: anna-gavrilova20@yandex.ru
ORCID iD: 0009-0000-4511-5774
студентка 5-го курса лечебного факультета
Россия, 660022, Красноярск, ул. П. Железняка, д. 1Список литературы
- Крылов В.В., Шатохин Т.А., Шетова И.М. и др. Российское исследование по хирургии аневризм головного мозга (РИХА II). Вопросы нейрохирургии им. Н.Н. Бурденко. 2024;88(1):7–20. Krylov VV, Shatokhin TA, Shetova IM, et al. Russian research on surgery of brain aneurysms (RRSA II). Burdenko’s Journal of Neurosurgery. 2024;88(1):7–20. doi: 10.17116/neiro2024880112
- Мачинский П.А., Плотникова Н.А., Ульянкин В.Е. и др. Сравнительная характеристика показателей заболеваемости ишемическим и геморрагическим инсультом в России. Медицинские науки. Патологическая анатомия. 2019;(2):112–132. Machinsky PA, Plotnikova NA, Ulyankin VE, et al. Comparative characteristics of the incidence of ischemic and hemorrhagic stroke in Russia. Medical Sciences. Pathological anatomy. 2019;(2):112–132. doi: 10.21685/2072-3032-2019-2-13
- Murayama Y, Takao H, Ishibashi T, et al. Risk analysis of unruptured intracranial aneurysms: prospective 10-year cohort study. Stroke. 2016;47(2):365–371. doi: 10.1161/STROKEAHA.115.010694
- Tsuji K, Tsuji A, Yoshimura Y, et al. Rupture of anterior communicating artery aneurysm after intravenous thrombolysis for acute ischemic stroke: a case report. J Neuroendovasc Ther. 2021;15(4):240–245. doi: 10.5797/jnet.cr.2020-0055
- Beneš V 3rd, Jurák L, Jedlička J, et al. Fatal intracranial aneurysm rupture after thrombolytic treatment for ischemic stroke: a case report and literature review. Acta Neurochir (Wien). 2019;161(7):1337–1341. doi: 10.1007/s00701-019-03931-6
- Virta JJ, Strbian D, Putaala J, Korja M. Risk of aneurysm rupture after thrombolysis in patients with acute ischemic stroke and unruptured intracranial aneurysms. Neurology. 2021;97(18):e1790–e1798. doi: 10.1212/WNL.0000000000012777
- Qureshi AI, Mohammad Y, Yahia AM, et al. Ischemic events associated with unruptured intracranial aneurysms: multicenter clinical study and review of the literature. Neurosurgery. 2000;46(2):282–290. doi: 10.1097/00006123-200002000-00008
- Nanda A, Vannemreddy PS. Cerebral ischemia as a presenting feature of intracranial aneurysms: a negative prognostic indicator in the management of aneurysms. Neurosurgery. 2006;58(5):831–837. doi: 10.1227/01.NEU.0000209643.66807.89
- Guillon B, Daumas-Duport B, Delaroche O, et al. Cerebral ischemia complicating intracranial aneurysm: a warning sign of imminent rupture? AJNR Am J Neuroradiol. 2011;32(10):1862–1865. doi: 10.3174/ajnr.A26410
- Крылов В.В., Климов А.Б., Полунина Н.А. Особенности морфологии, клиники, диагностики и лечения больных с гигантскими аневризмами сосудов головного мозга. Журнал неврологии и психиатрии им. С.С. Корсакова. 2011;111(6):15–22. Krylov VV, Klimov AB, Polunina NA. Features of morphology, clinic, diagnosis and treatment of patients with giant cerebral vascular aneurysms. Journal of Neurology and Psychiatry. 2011;111(6):15–22.
- Kuroda H, Mochizuki T, Shimizu S, Kumabe T. Rupture of thrombosed cerebral aneurysm during antithrombotic therapy for ischemic stroke: case report and literature review. World Neurosurg. 2019;126:468–471. doi: 10.1016/j.wneu.2019.02.2312
- Ueno T, Sasaki T, Iwamura M, et al. Arterial spin labeling imaging of a giant aneurysm leading to subarachnoid hemorrhage following cerebral infarction. Case Rep Neurol. 2018;10(1):66–71. doi: 10.1159/0004875813
- Okamura K, Morofuji Y, Izumo T, et al. ischemic stroke as a warning sign of impending aneurysmal rupture: a report of two cases. NMC Case Rep J. 2021;8(1):85–88. doi: 10.2176/nmccrj.cr.2020-0040
- Calviere L, Viguier A, Da Silva NA Jr, et al. Unruptured intracranial aneurysm as a cause of cerebral ischemia. Clin Neurol Neurosurg. 2011;113(1):28–33. doi: 10.1016/j.clineuro.2010.08.0115
- Fomenko A, Kaufmann AM. Spontaneous thrombosis of an unruptured saccular aneurysm causing MCA infarction. Can J Neurol. Sci. 2016;43(6):856–858. doi: 10.1017/cjn.2016.2816
- Cohen JE, Itshayek E, Gomori JM, et al. Spontaneous thrombosis of cerebral aneurysms presenting with ischemic stroke. J Neurol Sci. 2007;254(1-2):95–98. doi: 10.1016/j.jns.2006.12.0017
- Friedman JA, Piepgras DG, Pichelmann MA, et al. Small cerebral aneurysms presenting with symptoms other than rupture. Neurology. 2001;57(7):1212–1216. doi: 10.1212/wnl.57.7.12118
- McLaughlin N, Bojanowski MW. Unruptured cerebral aneurysms presenting with ischemic events. Can J Neurol. Sci. 2008;35(5):588–592. doi: 10.1017/s03171671000093719
- Smrcka M, Ogilvy ChS, Koroshetz W. Small aneurysms as a cause of thromboembolic stroke. Bratisl Lek Listy. 2002;103(7–8):250–220.
- Lamprou V, Astreinidis A, Davidhi A, et al. Distal middle cerebral artery dissection with concurrent completely thrombosed aneurysm manifesting as cerebral ischemia. a case report and review of the literature. Radiol Case Rep. 2020;15(12):2582–2588. doi: 10.1016/j.radcr.2020.09.0421
- Arauz A, Patiño-Rodríguez HM, Chavarría-Medina M, et al. Embolic stroke secondary to spontaneous thrombosis of unruptured intracranial aneurysm: report of three cases. Interv Neuroradiol. 2016;22(2):196–200. doi: 10.1177/1591019915618169









