Гибридная реваскуляризация: стентирование рестеноза внутренней сонной артерии слева в сочетании со стентированием передней нисходящей артерии и каротидной эндартерэктомией справа
- Авторы: Казанцев А.Н.1, Джафарова С.А.2, Цороева Д.Б.2, Коротких А.В.3, Виноградов Р.А.4, Кравчук В.Н.2,5, Шматов Д.В.6, Черных К.П.1
-
Учреждения:
- СПб ГБУЗ «Александровская больница»
- ФГБОУ ВО «Северо-Западный государственный медицинский университет имени И.И. Мечникова»
- Клиника кардиохирургии ФГБОУ ВО «Амурская государственная медицинская академия»
- ГБУЗ «Научно-исследовательский институт Краевая клиническая больница № 1 имени профессора С.В. Очаповского»
- ФГБВОУ ВО «Военно-медицинская академия имени С.М. Кирова»
- ФГБОУ ВО «Санкт-Петербургский государственный университет»
- Выпуск: Том 16, № 2 (2022)
- Страницы: 100-105
- Раздел: Клинический разбор
- Статья получена: 23.01.2021
- Статья опубликована: 30.06.2022
- URL: https://annaly-nevrologii.com/pathID/article/view/707
- DOI: https://doi.org/10.54101/ACEN.2022.2.11
- ID: 707
Цитировать
Полный текст
Аннотация
Представлено формирование рестеноза внутренней сонной артерии спустя 5 лет после эверсионной каротидной эндартерэктомии, прогрессирование стеноза в контралатеральной внутренней сонной артерии и коронарного атеросклероза с визуализацией гемодинамически значимого стеноза передней нисходящей артерии. Продемонстрирована эффективность гибридной реваскуляризации в объёме: каротидная ангиопластика со стентированием рестеноза внутренней сонной артерии слева + чрескожное коронарное вмешательство на передней нисходящей артерии + каротидная эндартерэктомия справа. Обоснованы выбор в пользу данных видов реконструкции и этапности вмешательств. Сделано заключение об эффективности и безопасности реализованной стратегии лечения.
Полный текст
Введение
Сочетанное поражение каротидных и коронарных артерий всегда вызывало особый интерес сосудистых хирургов, нейрохирургов, кардиологов, неврологов ввиду отсутствия единого подхода к выбору стратегии реваскуляризации [1–3]. С одной стороны, первоэтапное вмешательство на внутренней сонной артерии (ВСА) повышает риски развития инфаркта миокарда [4, 5]. Однако при обратном порядке реконструкций возрастает вероятность острого нарушения мозгового кровообращения [6, 7]. В ситуации возможного симультанного вмешательства, казалось бы, полная реваскуляризация обоих бассейнов должна сводить на нет все опасения по поводу возможных ишемических осложнений. Однако травматичность столь масштабной стратегии лечения не всегда приводит к успешному исходу операции [8, 9].
На этом фоне отечественные и зарубежные рекомендации не дают окончательного ответа на вопрос, какая стратегия предпочтительна [10–12]. По основным положениям, выбор тактики должен осуществляться только мультидисциплинарным консилиумом, на основе стратификации риска неблагоприятных событий и опыта учреждения [10–12]. При этом, рассматривая возможность открытых операций (коронарное шунтирование и каротидная эндартерэктомия — КЭЭ) в различной последовательности, опускается важность гибридных технологий [13–15]. Эндоваскулярные методики коррекции в последние годы продемонстрировали высокий потенциал и безопасность, часто не уступая «золотым стандартам» хирургии [14, 16, 17]. Тем не менее, недостаточность исследований, направленных на изучение исходов реваскуляризации миокарда в сочетании с билатеральными стенозами ВСА, с применением интервенционных и открытых реконструктивных подходов в гибридном формате, создаёт дополнительный интерес к изучению этой области ангиологии.
В рамках настоящей статьи продемонстрирован успешный исход гибридного вмешательства в объёме каротидной ангиопластики со стентированием рестеноза ВСА слева и чрескожного коронарного вмешательства (ЧКВ) передней нисходящей артерии (ПНА) + КЭЭ справа.
Клинический пример
Пациент А., 68 лет, мужчина. В 2015 г. поступил в неврологическое отделение ГБУЗ «Городская Александровская больница» с клиникой транзиторной ишемической атаки в вертебробазилярном бассейне. При обследовании по данным мультиспиральной компьютерной томографии с ангиографией у больного визуализирован 80% стеноз левой ВСА (рис. 1).
Рис. 1. Мультиспиральная компьютерная томография с ангиографией брахиоцефальных артерий: 1 — 80% стеноз левой ВСА. / Fig. 1. Multispiral computed tomography and brachiocephalic angiography: 1 — 80% left ICA stenosis.
По данным коронарографии гемодинамически значимых поражений не обнаружено. Мультидисциплинарным консилиумом (сердечно-сосудистый хирург, эндоваскулярный хирург, нейрохирург, кардиолог, невролог, реаниматолог-анестезиолог) принято решение о проведении эверсионной КЭЭ слева через 1 мес после манифестации настоящего неврологического дефицита. Операция была выполнена в установленный срок. Время пережатия ВСА составило 23 мин. Послеоперационный период протекал без особенностей. Пациент был выписан из стационара на 7-е сутки после вмешательства. В дальнейшем контакт с больным был потерян.
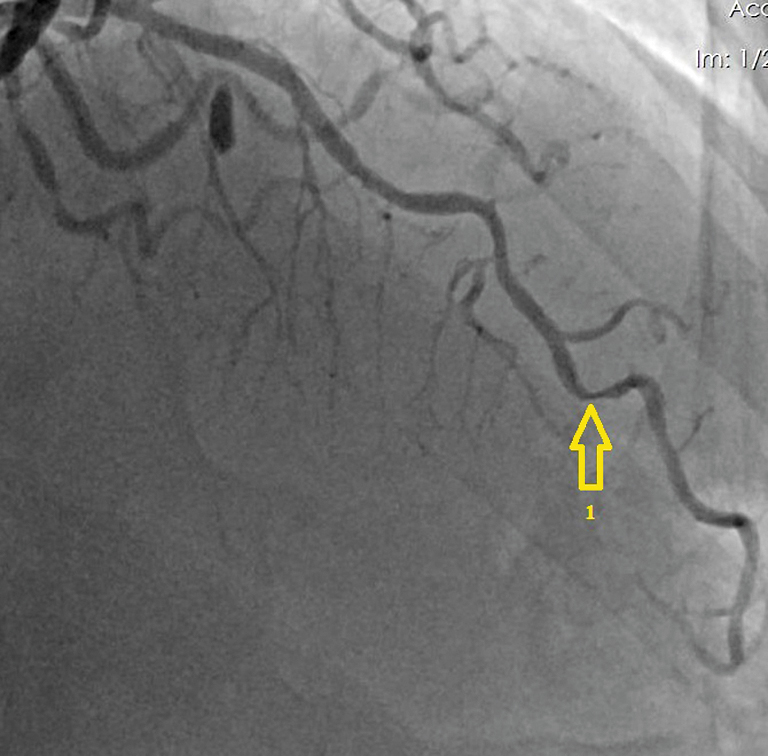
В 2020 г. пациент обратился к кардиологу с жалобами на боли в области сердца при физической нагрузке. По данным скринингового цветного дуплексного сканирования брахиоцефальных артерий и дальнейшей их ангиографии визуализирован 80% рестеноз ВСА слева (рис. 2), 97% стеноз (субокклюзия) ВСА справа (рис. 3). По результатам коронарографии диагностирован 90% стеноз ПНА (рис. 4).
Рис. 2. Ангиография левой ВСА: 1 — 80% рестеноз. / Fig. 2. Left ICA angiography — 80% restenosis.
Рис. 3. Ангиография правой ВСА: 1 — 97% стеноз. / Fig. 3. Right ICA angiography — 97% restenosis.
Рис. 4. Коронарография: 1 — 90% стеноз передней нисходящей артерии. / Fig. 4. Coronary angiography: 1 — 90% stenosis of the left anterior descending artery.
Неврологический осмотр: сознание ясное, реакции адекватны, ориентировка сохранена. Движения глаз в полном объёме, нистагма нет. Зрачки D = S, фотореакции (прямая и содружественная) живые, конвергенция достаточная. Чувствительность на лице не изменена. Лицо симметрично в покое и при мимических движениях. Язык по средней линии, подвижен. Глоточные рефлексы сохранены. Глотание и фонация в норме. Сила –5 баллов. Рефлексы с трёхглавой мышцы плеча D = S, двуглавой мышцы плеча D = S, карпорадиальные рефлексы D = S живые; коленные D = S, ахилловы D = S живые. Патологических рефлексов нет. Тонус мышц в норме D = S. Чувствительность: не нарушена. Менингиальные знаки отрицательные. Координаторные пробы без интенции и мимопопадания. В позе Ромберга устойчивость не нарушена.
Выставлен диагноз: мультифокальный атеросклероз. КЭЭ слева от 2015 г., стеноз ВСА справа, рестеноз ВСА слева 80%. Хроническая ишемия головного мозга II степени. Вестибуло-атаксический синдром. Ишемическая болезнь сердца. Стенокардия II функциональный класс. Хроническая сердечная недостаточность I, функциональный класс I. Гипертоническая болезнь III, риск 4. Дислипидемия.
Ввиду наличия высокого риска развития ишемических событий в миокарде и головном мозге на фоне субокклюзии ПНА, субокклюзии правой ВСА и гемодинамически значимого рестеноза левой ВСА мультидисциплинарным консилиумом (в прежнем составе) принято решение о выполнении гибридного вмешательства в объёме: стентирования рестеноза ВСА слева, ЧКВ ПНА в сочетании с классической КЭЭ справа.
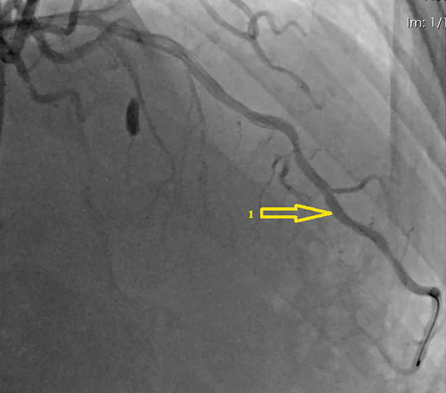
Перед вмешательством больной получил нагрузочную дозу клопидогреля (300 мг). Первым этапом в эндоваскулярной операционной выполнялось ЧКВ ПНА. Введено 10 тыс. ЕД гепарина внутриартериально. Через трансфеморальный доступ справа (интродьюсер 6F, катетер 6F) был установлен стент с лекарственным покрытием «Endeavor Resolut» («Medtronic», США) (рис. 5). Далее через тот же доступ (катетер 6F) с использованием дистальной защиты («Filter Wire EZ», «Boston Scientific Corporation») проведена каротидная ангиопластика со стентированием левой ВСА, установлен стент «RX Acculink» («Abbot Vascular») (рис. 6). После завершения процедуры больной был транспортирован в сосудистую операционную. Время между ангиопластикой и началом КЭЭ составило 30 мин. Под эндотрахеальным наркозом (введено дополнительно 5 тыс. ЕД перед пережатием ВСА) выполнена классическая КЭЭ справа с пластикой зоны реконструкции заплатой из диэпокси- обработанного ксеноперикарда. Время пережатия артерий составило 25 мин. Послеоперационный период протекал без особенностей. Клиника стенокардии не рецидивировала. По данным цветного дуплексного сканирования брахиоцефальных артерий признаков рестеноза, увеличения скоростных показателей в ВСА с 2 сторон не определяется. Пациент выписан на 7-е сутки после операции в удовлетворительном состоянии. Рекомендован приём двойной дезагрегантной терапии (клопидогрель 75 мг + ацетилсалициловая кислота 125 мг).
Рис. 5. Стентирование передней нисходящей артерии: 1 — установленный стент. / Fig. 5. Left anterior descending artery stenting: 1 — installed stent.
Рис. 6. Каротидная ангиопластика со стентированием левой ВСА: 1 — установленный стент. / Fig. 6. Carotid angioplasty with left ICA stenosis: 1 — installed stent.
Обсуждение
Настоящий клинический пример продемонстрировал безопасность и эффективность гибридного подхода реваскуляризации головного мозга и миокарда. Реализация интервенционной коррекции рестеноза ВСА позволила избежать такие нежелательные последствия эверсионной КЭЭ, как нейропатия подъязычного нерва, языкоглоточного нерва, парез гортани. В дополнение к этому, из-за контралатеральной субокклюзии возрастала необходимость в установке временного шунта при вероятном открытом вмешательстве [18]. Данная процедура может сопровождаться развитием дистальной эмболии, новых острых нарушений мозгового кровообращения или немых инсультов [19]. Таким образом, каротидная ангиопластика со стентированием рестеноза ВСА стала наиболее оправданным методом реваскуляризации. На этом фоне необходимо отметить, что выбор в пользу КЭЭ справа был сделан ввиду кальциноза атеросклеротической бляшки в ВСА (рис. 7), признаков нестабильности, протяжённого поражения, что создавало неблагоприятный прогноз для реализации эндоваскулярной коррекции [20, 21]. Указанные особенности морфологии стали основным показанием для выбора классической техники коррекции, поскольку эверсионная методика является менее предпочтительной в силу невозможности достаточной визуализации дистальных сегментов общей сонной артерии и ВСА [20].
Рис. 7. Продольная артериотомия ВСА: 1 — выраженный кальциноз атеросклеротической бляшки в просвете ВСА. / Fig. 7. ICA longitudinal arteriotomy: 1 — significant calcification of the atherosclerotic plaque in the ICA lumen.
Стоит отметить необходимость в неотложном ЧКВ у данного пациента. Субокклюзия ПНА, нарастание клиники стенокардии вызывали опасения в проведении отдельных этапных вмешательств [22]. Известно, что КЭЭ всегда сопровождается искусственной гипертензией во время пережатия ВСА. Этот шаг обеспечивает достаточную компенсацию церебральной гемодинамики при наличии замкнутого виллизиева круга и отсутствии контралатеральной окклюзии/субокклюзии [12, 14, 15]. Однако в условиях значимого поражения ПНА нестабильная гемодинамика может стать одним из ключевых факторов ишемического повреждения миокарда [1, 3–5]. В рамках настоящего гибридного подхода ЧКВ не только стало одним из главных звеньев цепочки вмешательств, но и было выполнено на первом этапе.
Следует подчеркнуть, что настоящий клинический пример демонстрирует высокую эффективность и безопасность выбранной тактики лечения, поскольку при ней исключены несколько открытых операций. Применение интервенционных технологий позволило избежать проведения коронарного шунтирования и билатеральной реконструкции ВСА, а также рисков, которые могли бы сопровождать пациента при выборе этапной стратегии, а не симультанной [7, 8, 23]. Открытая сосудистая хирургия не уходит на второй план и при невозможности эндоваскулярной коррекции (из-за технических или анатомических неудобств) становится единственно возможным вариантом успешной реконструкции.
Таким образом, при выборе оптимальной тактики лечения больных с симультанным атеросклеротическим поражением коронарных и каротидных артерий должны учитываться возможные варианты как открытых, так и гибридных способов коррекции. Широкий арсенал хирургических и интервенционных технологий создаёт условия для персонифицированного подбора наиболее подходящего варианта реваскуляризации. Поэтому учреждение, нацеленное на лечение пациентов со стенозами ВСА и коронарных артерий, должно обладать полным спектром современных методик, не отдавая осознанного предпочтения в пользу открытой или эндоваскулярной реваскуляризации.
Заключение
Продемонстрирована возможность безопасной полной реваскуляризации головного мозга и миокарда с применением гибридного подхода. Представленные методы коррекции показали свою эффективность в достижении успешного исхода госпитализации у сложного для курации пациента. Доказана важность гибридной хирургии в лечении больных с симультанным атеросклеротическим поражением ВСА и коронарных артерий.
Об авторах
Антон Николаевич Казанцев
СПб ГБУЗ «Александровская больница»
Автор, ответственный за переписку.
Email: dr.antonio.kazantsev@mail.ru
ORCID iD: 0000-0002-1115-609X
сердечно-сосудистый хирург
Россия, 193312, Санкт-Петербург, просп. Солидарности, д. 4Сюйдю Арслановна Джафарова
ФГБОУ ВО «Северо-Западный государственный медицинский университет имени И.И. Мечникова»
Email: dr.antonio.kazantsev@mail.ru
ORCID iD: 0000-0002-2087-7569
студент
Россия, Санкт-ПетербургДали Беслановна Цороева
ФГБОУ ВО «Северо-Западный государственный медицинский университет имени И.И. Мечникова»
Email: dr.antonio.kazantsev@mail.ru
ORCID iD: 0000-0001-7796-8165
студент
Россия, Санкт-ПетербургАлександр Владимирович Коротких
Клиника кардиохирургии ФГБОУ ВО «Амурская государственная медицинская академия»
Email: dr.antonio.kazantsev@mail.ru
ORCID iD: 0000-0002-9709-1097
главный врач Клиники кардиохирургии
Россия, БлаговещенскРоман Александрович Виноградов
ГБУЗ «Научно-исследовательский институт Краевая клиническая больница № 1 имени профессора С.В. Очаповского»
Email: viromal@mail.ru
ORCID iD: 0000-0001-9421-586X
д.м.н., доцент, зав. отделением сосудистой хирургии
Россия, КраснодарВячеслав Николаевич Кравчук
ФГБОУ ВО «Северо-Западный государственный медицинский университет имени И.И. Мечникова»; ФГБВОУ ВО «Военно-медицинская академия имени С.М. Кирова»
Email: kravchuk9@yandex.ru
ORCID iD: 0000-0002-6337-104X
д.м.н., профессор, зав. кафедрой сердечно-сосудистой хирургии, начальник отделения хирургического лечения ишемической болезни сердца
Россия, Санкт-Петербург; Санкт-ПетербургДмитрий Викторович Шматов
ФГБОУ ВО «Санкт-Петербургский государственный университет»
Email: dv.shmatov@gmail.com
ORCID iD: 0000-0002-1296-8161
д.м.н., профессор, зам. главного врача по кардиохирургии, Клиника высоких медицинских технологий им. Н.И. Пирогова
Россия, Санкт-ПетербургКонстантин Петрович Черных
СПб ГБУЗ «Александровская больница»
Email: dr.antonio.kazantsev@mail.ru
сердечно-сосудистый хирург
Россия, 193312, Санкт-Петербург, просп. Солидарности, д. 4Список литературы
- Акчурин Р.С., Ширяев А.А., Галяутдинов Д.М. и др. Непосредственные результаты одномоментной операции коронарного шунтирования и каротидной эндартерэктомии. Кардиология и сердечно-сосудистая хирургия. 2017; 10(6): 4–8. Akchurin R.S., Shiryaev A.A., Galyautdinov D.M. et al. Immediate results of simultaneous coronary bypass surgery and carotid endarterectomy. Kardiologiya i serdechno-sosudistaya khirurgiya. 2017; 10(6): 4–8. (In Russ.) doi: 10.17116/kardio20171064-8
- Казанцев А.Н., Тарасов Р.С., Черных К.П. и др. Клинический случай лечения сочетанной патологии: разрыв аневризмы средней мозговой артерии на фоне стеноза внутренней сонной и коронарных артерий. Патология кровообращения и кардиохирургия. 2020; 24(2): 109–118. Kazantsev A.N., Tarasov R.S., Chernykh K.P. et al. A clinical case of treatment of combined pathology: rupture of an aneurysm of the middle cerebral artery against the background of stenosis of the internal carotid and coronary arteries. Patologiya krovoobrashcheniya i kardiokhirurgiya. 2020; 24(2): 109–118. (In Russ.) doi: 10.21688/1681-3472-2020-2-109-118
- Гордеев М.Л., Бендов Д.В., Гневашев А.С. и др. Десятилетний опыт сочетанных операций на коронарных и брахиоцефальных артериях. Грудная и сердечно-сосудистая хирургия. 2015; 57(6): 18–25. Gordeev M.L., Bendov D.V., Gnevashev A.S. et al. Ten years of experience in combined operations on the coronary and brachiocephalic arteries. Grudnaya i serdechno-sosudistaya khirurgiya. 2015; 57(6): 18–25. (In Russ.)
- Manthey S., Spears J., Goldberg S. Coexisting coronary and carotid artery disease — which technique and in which order? Case report and review of literature. Clin. Med. Insights Cardiol. 2020; 14: 1179546820951797. doi: 10.1177/1179546820951797
- Williams Z., Olivere L.A., Gilmore B. et al. Safety and feasibility of simultaneous transcarotid revascularization with flow reversal and coronary artery bypass grafting for concomitant carotid artery stenosis and coronary artery disease. Vasc. Endovascular. Surg. 2020; 54(5): 395–399. doi: 10.1177/1538574420918971.
- Казанцев А.Н., Бурков Н.Н., Баяндин М.С. и др. Госпитальные результаты стентирования сонных артерий у пациентов с мультифокальным атеросклерозом. Кардиология и сердечно-сосудистая хирургия. 2020; 13(3): 224–229. Kazantsev A.N., Burkov N.N., Bayandin M.S. et al. Hospital results of carotid artery stenting in patients with multifocal atherosclerosis. Kardiologiya i serdechno-sosudistaya khirurgiya. 2020; 13(3): 224–229. doi: 10.17116/kardio202013031224
- Wang L.J., Mohebali J., Goodney P.P. et al. The effect of clinical coronary disease severity on outcomes of carotid endarterectomy with and without combined coronary bypass. J. Vasc. Surg. 2020; 71(2): 546–552. doi: 10.1016/j.jvs.2019.03.074
- Xiang B., Luo X., Yang Y. et al. Midterm results of coronary artery bypass graft surgery after synchronous or staged carotid revascularization. J. Vasc. Surg. 2019; 70(6): 1942–1949. doi: 10.1016/j.jvs.2019.02.057
- Tzoumas A., Giannopoulos S., Charisis N. et al. Synchronous versus staged carotid artery stenting and coronary artery bypass graft for patients with concomitant severe coronary and carotid artery stenosis: а systematic review and meta-analysis. Vascular. 2020; 28(6): 808–815. doi: 10.1177/1708538120929506
- Рекомендации ЕОК/ЕОСХ по диагностике и лечению заболеваний периферических артерий 2017. Российский кардиологический журнал. 2018; (8): 164–221. Recommendations of the EOK / EOCX for the diagnosis and treatment of peripheral arterial diseases 2017. Rossiyskiy kardiologicheskiy zhurnal. 2018; (8): 164–221. (In Russ.) doi: 10.15829/1560-4071-2018-8-164-221
- Рекомендации ESC/EACTS по реваскуляризации миокарда 2018. Российский кардиологический журнал. 2019 ;(8): 151–226. ESC/EACTS recommendations for myocardial revascularization 2018. Rossiyskiy kardiologicheskiy zhurnal. 2019; (8): 151–226 (In Russ.) doi: 10.15829/1560-4071-2019-8-151-226
- Национальные рекомендации по ведению пациентов с заболеваниями брахиоцефальных артерий. М.; 2013. 72 с. National guidelines for the management of patients with brachiocephalic artery disease. Moscow; 2013. 72 p. (In Russ.)
- Казанцев А.Н., Тарасов Р.С., Бурков Н.Н. и др. Гибридная реваскуляризация головного мозга и миокарда: стратификация риска госпитальных осложнений. Ангиология и сосудистая хирургия. 2020; 26(2): 118–123. Kazantsev A.N., Tarasov R.S., Burkov N.N. et al. Hybrid revascularization of the brain and myocardium: stratification of the risk of hospital complications. Angiologiya i sosudistaya khirurgiya. 2020; 26(2): 118–123. (In Russ.) doi: 10.33529/ANGIO2020212
- Казанцев А.Н., Тарасов Р.С., Бурков Н.Н. и др. Госпитальные результаты чрескожного коронарного вмешательства и каротидной эндартерэктомии в гибридном и поэтапном режимах. Ангиология и сосудистая хирургия. 2019; 25(1): 101–107. Kazantsev A.N., Tarasov R.S., Burkov N.N. et al. Hospital results of percutaneous coronary intervention and carotid endarterectomy in hybrid and phased modes. Angiologiya i sosudistaya khirurgiya. 2019; 25(1): 101–107. (In Russ.) doi: 10.33529/angio2019114
- Казанцев А.Н., Тарасов Р.С., Бурков Н.Н. и др. Каротидная эндартерэктомия: трехлетние результаты наблюдения в рамках одноцентрового регистра. Ангиология и сосудистая хирургия. 2018; 24(3): 101–108. Kazantsev A.N., Tarasov R.S., Burkov N.N. et al. Carotid endarterectomy: three-year follow-up in a single-center registry. Angiologiya i sosudistaya khirurgiya. 2018; 24(3): 101–108. (In Russ.)
- Алекян Б.Г., Покровский А.В., Карапетян Н.Г. и др. Непосредственные результаты эндоваскулярного лечения пациентов с сочетанным поражением коронарных и внутренних сонных артерий. Эндоваскулярная хирургия. 2019; 6(1): 20–26. Alekyan B.G., Pokrovsky A.V., Karapetyan N.G. et al. Direct results of endovascular treatment in patients with combined lesions of the coronary and internal carotid arteries. Endovaskulyarnaya khirurgiya. 2019; 6(1): 20–26. (In Russ.) doi: 10.24183/2409-4080-2019-6-1-20-26
- Виноградов Р.А., Пыхтеев В.С., Лашевич К.А. Отдаленные результаты открытого хирургического и эндоваскулярного лечения стенозов внутренних сонных артерий. Ангиология и сосудистая хирургия. 2017; 23(4): 164–170. Vinogradov R.A., Pykhteev V.S., Lashevich K.A. Long-term results of open surgical and endovascular treatment of stenosis of the internal carotid arteries. Angiologiya i sosudistaya khirurgiya. 2017; 23(4): 164–170. (In Russ.)
- Кужугет Р.А., Карпенко А.А., Каменская О.В. и др. Эффективность и безопасность временного шунтирования при каротидной эндартерэктомии. Ангиология и сосудистая хирургия. 2017; 23(1): 117–123. Kuzhuget R.A., Karpenko A.A., Kamenskaya O.V. et al. Efficacy and safety of temporary bypass grafting in carotid endarterectomy. Angiologiya i sosudistaya khirurgiya. 2017; 23(1): 117–123. (In Russ.)
- Виноградов Р.А., Косенков А.Н., Винокуров И.А. и др. «Немые» ишемические очаги в головном мозге после реваскуляризации брахиоцефальных артерий. Вестник Национального медико-хирургического центра им. Н.И. Пирогова. 2017; 12(2): 52–54. Vinogradov R.A., Kosenkov A.N., Vinokurov I.A., et al. “Dumb” ischemic foci in the brain after revascularization of the brachiocephalic arteries. Vestnik Natsional’nogo mediko-khirurgicheskogo tsentra im. N.I. Pirogova. 2017; 12(2): 52–54. (In Russ.)
- Виноградов Р.А., Попов Д.А. Особенности каротидной хирургии при сочетании критического стеноза внутренней сонной артерии и кальциноза ее устья. Инновационная медицина Кубани. 2017; 4(8): 65–69. Vinogradov R.A., Popov D.A. Features of carotid surgery with a combination of critical stenosis of the internal carotid artery and calcification of its mouth. Инновационная медицина Кубани. 2017; 4(8): 65–69. (In Russ.)
- Казанцев А.Н., Виноградов Р.А., Чернявский М.А. и др. Ургентная интервенция гемодинамически значимого стеноза внутренней сонной артерии в острейшем периоде ишемического инсульта. Патология кровообращения и кардиохирургия. 2020; 24(3S): 89–97. Kazantsev A.N., Vinogradov R.A., Chernyavsky M.A. et al. Urgent intervention of hemodynamically significant stenosis of the internal carotid artery in the acute period of ischemic stroke. Patologiya krovoobrashcheniya i kardiokhirurgiya. 2020; 24(3S): 89–97. (In Russ.) doi: 10.21688/1681-3472-2020-3S-89-97
- Чернявский А.М., Едемский А.Г., Чернявский М.А. и др. Гибридные технологии при хирургическом лечении сочетанного атеросклеротического поражения коронарных и сонных артерий. Патология кровообращения и кардиохирургия. 2013; 17(1): 45–53. Chernyavsky A.M., Edensky A.G., Chernyavsky M.A. et al. Hybrid technologies in the surgical treatment of combined atherosclerotic lesions of the coronary and carotid arteries. Patologiya krovoobrashcheniya i kardiokhirurgiya. 2013; 17(1): 45–53. (In Russ.)
- Лысенко А.В., Аксельрод Б.А., Гришин А.В. и др. Выбор тактики оперативного вмешательства у пациентов с билатеральным поражением сонных артерий и множественным поражением коронарного русла. Кардиология и сердечно-сосудистая хирургия. 2018; 11(6): 71–74. Lysenko A.V., Axelrod B.A., Grishin A.V. et al. Choice of tactics for surgical intervention in patients with bilateral lesion of the carotid arteries and multiple lesions of the coronary bed. Kardiologiya i serdechno-sosudistaya khirurgiya. 2018; 11(6): 71–74. (In Russ.) doi: 10.17116/kardio20181106171












