Pineal gland: structural variants and their role in neurological and psychiatric disorders
- Authors: Shilova A.V.1, Ananyeva N.I.1,2, Safonova N.Y.1, Lukina L.V.1
-
Affiliations:
- V.M. Bekhterev National Medical Research Center for Psychiatry and Neurology
- Saint Petersburg State University
- Issue: Vol 16, No 1 (2022)
- Pages: 39-45
- Section: Reviews
- Submitted: 06.12.2021
- Accepted: 14.02.2022
- Published: 15.01.2022
- URL: https://annaly-nevrologii.com/pathID/article/view/791
- DOI: https://doi.org/10.54101/ACEN.2022.1.5
- ID: 791
Cite item
Full Text
Abstract
The pineal gland is a small and poorly studied neuroendocrine gland located in the epithalamus. There is growing interest in the pineal gland due to its role in regulating human biological rhythms, which is associated with melatonin production, and its close neuroendocrine link between the brain's hormonal and neurally mediated activity. The paper examines the anatomical and physiological features of the pineal gland, its structural variations, and the role of the melatonin it produces in the pathogenesis of several mental and neurological disorders.
Full Text
Всё возрастающий интерес к роли эпифиза (шишковидной железы) объясняется как его участием в регуляции биоритмов человека, что связано с выработкой мелатонина — гормона, являющегося одним из факторов регуляции биоритмов, так и тесным нейроэндокринным посредничеством с гормональной и нейромедиаторной активностью головного мозга [1].
В последние годы всё большее внимание исследователей привлекают сведения о важной регуляторной роли эпифиза и его основного гормона — мелатонина в различных физиологических функциях организма. Ключевая роль мелатонина в организме определяется тем обстоятельством, что ритмам его продукции подчинены все эндогенные ритмы организма. Секреция мелатонина одновременно регулируется супрахиазматическим ядром гипоталамуса, генерирующим эндогенный циркадианный ритм с периодом 23–25 ч, и внешним ритмом свет–темнота, имеющим период 24 ч и корректирующим эндогенные ритмы относительно ритмов внешней среды. Изменения продукции мелатонина, строго следующие за изменениями продолжительности светового и тёмного времени суток, вызывают суточные и сезонные перестройки в организме человека и животных.
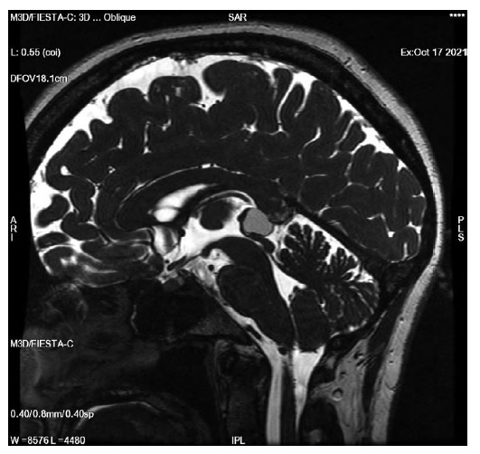
Эпифиз является небольшой малоизученной нейроэндокринной железой, которая располагается в эпиталамусе. В норме эпифиз расположен по сагиттальной линии, прикрепляется к задней части 3-го желудочка, между задней спайкой и дорсальной хабенулярной спайкой (рис. 1).
Рис. 1. МРТ головного мозга, FIESTA-ИП. Срединный сагиттальный срез. Эпифиз нормальной формы и величины. / Fig. 1. Brain MRI, FIESTA sequence. Midline sagittal section. Pineal gland is of normal shape and size.
Кровоснабжение эпифиза осуществляется задними хориоидальными артериями и внутренними мозговыми венами. Основной его функцией является преобразование приходящего сигнала от сетчатки в нейроэндокринный ответ в виде выработки в основном мелатонина, а также серотонина и N,N-диметилтриптамина. Этот механизм является основным в формировании циркадных ритмов человека. У высших позвоночных свет воспринимается внутренней сетчаткой (ганглиозными клетками сетчатки), которые посылают нервные сигналы в зрительные области мозга [2].Информация об освещённости от сетчатки отправляется в супрахиазматическое ядро, а оттуда — в гипоталамус. Когда световой сигнал попадает на сетчатку, супрахиазматическое ядро секретирует гамма-аминомасляную кислоту, ответственную за ингибирование нейронов, которые синапсируют в перивентрикулярном ядре гипоталамуса. Следовательно, сигнал к эпифизу прерывается, и мелатонин не синтезируется. Напротив, когда освещённость снижена, супрахиазматическое ядро секретирует глутамат, ответственный за передачу сигнала к перивентрикулярному ядру. Перивентрикулярное ядро, в свою очередь, сообщается с верхними грудными сегментами позвоночного столба, передавая информацию в верхний шейный ганглий. Он передаёт окончательный сигнал в эпифиз через симпатические постсинаптические волокна, высвобождая норадреналин, давая сигнал для выработки мелатонина и его производных [3].
Уровень мелатонина имеет прямое влияние на всю гипоталамо-гипофизарную систему, и его снижение приводит к снижению уровня гонадотропинов, кортикотропина, соматотропина, тиреотропина. Один из гормонов, для которого также характерен суточный ритм секреции, — это кортизол, который вырабатывается корой надпочечников под воздействием адренокортикотропного гормона. Кортизол является регулятором углеводного обмена организма, а также принимает участие в развитии стрессовых реакций. Уровень его выработки также напрямую зависит от уровня мелатонина в крови. В одном из исследований было показано, что при недостатке мелатонина после произведённой у пациентов эпифизэктомии по поводу крупной кисты эпифиза секреция кортизола существенно повышалась [4]. В исследовании Y. Huang и соавт. отмечено, что, по сравнению с нормальными детьми, циркадные вариации ритма слюнного кортизола и мелатонина у детей с дислексией исчезали и становились неупорядоченными [5].
Биологическое действие мелатонина в организме происходит благодаря двум мембранным рецепторам: МТ1 и МТ2. Концентрация рецепторов МТ2 в супрахиазмальных ядрах гипоталамуса минимальна. Вне супрахиазмальных ядер гипоталамуса данных рецепторов выявляется большее количество, в частности, в желудочно-кишечном тракте: в двенадцатиперстной, ободочной, слепой кишках и аппендиксе, эпителии желчного пузыря, околоушной железе, β-клетках поджелудочной железы, коронарных и церебральных артериях, периферической сосудистой сети, жировой ткани. Помимо мембранных рецепторов к мелатонину имеются и ядерные рецепторы: retinoic acid-related orphan receptor (RORα и RORβ). Распространённость RORα наиболее высока в Т- и В-лимфоцитах, нейтрофилах и моноцитах, тогда как RORβ обнаруживаются в основном в головном мозге, эпифизе, сетчатке и селезёнке [6]. Однако вопрос о том, является ли орфанный рецептор ROR, связанный с ретиноевой кислотой, ядерным рецептором мелатонина, остаётся открытым.
Проблема нарушения циркадных ритмов как одного из факторов, способствующих прогрессированию хронических неврологических заболеваний, в последнее время активно обсуждается. Помимо участия в контроле циркадных ритмов всех физиологических функций, мелатонин играет немаловажную роль в процессе старения организма. При этом ночная концентрация мелатонина может в значительной степени не изменяться, а вот его дневная концентрация с возрастом имеет чёткую тенденцию к снижению.
Снижение ночного пика секреции мелатонина и уменьшение числа непинеальных мелатонин-синтезирующих клеток отмечается при естественном и ускоренном старении [7, 8]. Проведение экспериментальной эпифизэктомии способствует уменьшению продолжительности жизни [8], а введение мелатонина или пептидных препаратов эпифиза предотвращает или замедляет старение и продлевает жизнь[9]. Вышеописанные факты однозначно свидетельствуют о том, что эпифиз участвует в регуляции процессов старения, а мелатонин является маркером, отражающим интегративные процессы старения [8, 10]. Нельзя не упомянуть воздействие мелатонина на сердечно-сосудистую систему, что косвенно влияет на ухудшение течения психоневрологических заболеваний. Влияние мелатонина проявляется отчётливыми антигипертензивными эффектами в экспериментах на животных. Антигипертензивное действие обеспечивается как центральным, так и периферическим эффектами мелатонина. Назначение мелатонина в комплексной терапии гипертонической болезни позволяет нормализовать ритмику работы сердечно-сосудистой системы за счёт улучшения реологических свойств крови, а также функции эндотелия. Отмечены вазодилататорные свойства мелатонина за счёт активации мембранных мелатониновых рецепторов эндотелия [6].
Размеры и объём эпифиза в природе вариабельны. У позвоночных его размер каким-то образом связан с выживанием в конкретной среде обитания и географическим положением. Чем в более суровых и холодных условиях проживает обитатель, тем больше у него эпифиз. Общее правило состоит в том, что эпифиз увеличивается в размерах у позвоночных с юга на север или от экватора к полюсам [11].
Нормальные размеры эпифиза у человека составляют до 12 мм в длину, 3–8 мм в ширину и 4 мм в толщину, его вес равен 0,10–0,18 г [1]. Средний объём составляет 94,2 ± 40,65 мм3 [12]. Объём эпифиза, как и объём головного мозга, у мужчин больше, чем у женщин [13].
Цитоархитектоника эпифиза чрезвычайно разнообразна. Иногда она имеет идеально дольчатый вид: разделённые соединительной тканью фолликулы, в других случаях соединительная ткань гораздо более многочисленна, и паренхима расположена островками. Паренхима эпифиза состоит из двух типов клеток секретообразующих пинеалоцитов — светлых и тёмных [14, 15]. Причём до сих пор не выяснено, являются ли разновидности пинеалоцитов самостоятельными клеточными типами или же лишь функциональными возрастными разновидностями. Светлые пинеальные клетки, занимающие преимущественно центральную часть дольки, сравнительно крупных размеров, с гомогенной светлоокрашенной цитоплазмой, с небольшими отростками и пузыревидными крупными ядрами. «Темные» клетки обладают меньшим размером, содержат ацидофильные и базофильные гранулы в цитоплазме. От тел пинеалоцитов отходят длинные отростки, которые подходят к капиллярам и контактируют с ними. На периферии дольки преобладают клетки меньшего размера с уплотнёнными ядрами и многочисленными отростками различной длины, заканчивающимися булавовидными утолщениями. Эти клетки, скорее всего, имеют нейроглиальный характер [16].
Эпифиз является одной из шести структур головного мозга, которая не защищена гематоэнцефалическим барьером [17]. Эпифиз богато васкуляризирован. Некоторые авторы утверждают, что это второй по степени васкуляризации орган в организме человека после почек [17]. Известно, что вырабатываемый железой мелатонин выделяется частично в кровяное русло, частично прямо в ликвор, что подтверждает более высокий уровень его концентрации в ликворе при лабораторном анализе, чем в других физиологических жидкостях: крови, слюне, моче. Учитывая, что в организме, помимо эпифиза, имеются другие источники выработки мелатонина, считается, что мелатонин, выработанный в эпифизе, идёт исключительно на нужды головного мозга, особенно при острых состояниях. При электронной микроскопии в структуре ткани эпифиза, помимо развитой васкулярной сети, было показано наличие периваскулярных пространств. Некоторые авторы считают, что эти структуры, а также расположение эпифиза являются механизмом быстрого распределения в ликворе мелатонина как мощного антиоксиданта для тканей головного мозга.
На основании данных компьютерной томографии было показано, что имеется прямая зависимость уменьшения объёма эпифиза с возрастом и увеличением процента его кальцинации, причём наибольший процент объёма и доли кальцинации приходится на возраст 60–69 лет, в сравнении с пациентами старше 70 лет [17]. При этом максимальный объём железы был обнаружен в возрастной группе 46–65 лет [15].
Большинство исследователей считают, что кисты в эпифизе — это отражение высокого функционального уровня органа. По мнению С.В. Иванова, прижизненное выявление кист в эпифизе, размеры которых иногда сопоставимы с размерами самого органа, не оказывает определяющего влияния на «среднегрупповые» — популяционные морфометрические характеристики эпифиза[18]. M. Beker-Acay и соавт. предполагают, что кисты эпифиза — явление не только функциональное, но и преходящее. Кроме того, эти же авторы отмечают тенденцию к увеличению с возрастом в эпифизе не только кист и кальциевых конкреций, но и размеров самого органа, что, вероятно, отражает адаптивное усиление его функции у пожилых и старых людей [19].
Было установлено, что объём эпифиза может изменяться с развитием различных видов неврологических и психиатрических заболеваний, что связывают с нарушением синтеза мелатонина и серотонина. Например, в исследовании T. Takahashi и соавт. отмечается достоверное уменьшение объёма эпифиза у пациентов с шизофренией [20].В этом исследовании с помощью магнитно-резонансной томографии (МРТ) изучали объём эпифиза у 64 пациентов с первым эпизодом шизофрении, у 40 пациентов с длительным течением, у 22 человек с психическим состоянием из группы риска и у 84 здоровых людей из контрольной группы. В поперечном сравнении все три группы с клиническими проявлениями имели значительно меньший объём эпифиза по сравнению с группой здорового контроля. Также авторы предполагают, что меньший по объёму эпифиз может быть маркером вероятности развития шизофрении, что, вероятно, отражает раннюю аномалию развития нервной системы [20, 21]. В другом исследовании этими же авторами было показано, что объём эпифиза и распространённость кист в группах пациентов с большим депрессивным расстройством, рекуррентным депрессивным расстройством существенно не отличались от таковых в контрольной группе здоровых людей. При этом объём эпифиза отрицательно коррелировал с тяжестью заболевания [22]. В исследовании был оценён объём эпифиза у пациентов с болезнью Альцгеймера, пациентов с лёгкими когнитивными нарушениями и здоровых контрольных субъектов; результаты были сопоставлены с результатами когнитивных тестов и объёмами вещества головного мозга. Достоверно было показано, что у пациентов с болезнью Альцгеймера объём эпифиза был меньше, а также что уменьшение его объёма коррелирует со снижением когнитивных функций. Таким образом, измерение объёма эпифиза может быть важным для прогнозирования снижения когнитивных функций у пациентов с болезнью Альцгеймера [23]. Такая же корреляция обнаружена у пациентов с аутизмом, психозами и обсессивно-компульсивным расстройством в сравнении со здоровыми добровольцами [24–27]. На основании посмертного вскрытия и оценки уровня мелатонина в ликворе было показано, что уровень активности эпифиза достоверно снижается у людей, совершивших суицид [28]. В другом исследовании было доказано, что объём эпифиза не связан с наличием у пациента эпилепсии [29, 30].
С появлением МРТ внимание стали привлекать кисты в эпифизе, генез которых до сих пор остаётся во многом не ясным, как и подходы к кратности обследования, прогноз и т.д.
Кисты эпифиза встречаются часто, протекают бессимптомно и в большинстве случаев являются случайной находкой. Они присутствуют в 25–40% случаев [31].
По результатам нейровизуализационных исследований (МРТ головного мозга), частота встречаемости кисты эпифиза колеблется от 1,5 до 10,8%. Примечательно, что частота встречаемости при аутопсиях значительно превышает эти цифры, достигая 33–40%. У женщин кисты выявляются чаще, чем у мужчин (3 : 1), наиболее часто — в возрасте от 21 года до 30 лет. Таким образом, при пересчёте на всё население Земли примерно у 350 млн имеются кисты эпифиза, среди них около 20% (70 млн) могут иметь кисты больших размеров [31].
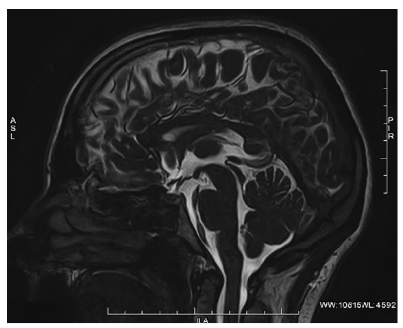
По структуре кисты могут быть однокамерными и многокамерными. По размеру в литературе принято выделять кисты менее 10 мм и более 10 мм. Мы выделяем ещё один вариант, который не описан в литературе, когда в достаточно гомогенной паренхиме эпифиза визуализируются множественные мелкие, отдельно лежащие кисты диаметром до 2 мм, и называем это мелкокистозной дегенерацией (рис.2).
Рис. 2. МРТ головного мозга, FIESTA-ИП. Срединный сагиттальный срез. Эпифиз нормальной величины, мелкие кисты в его структуре. / Fig. 2. Brain MRI, FIESTA sequence. Midline sagittal section. Pineal gland is of normal size, with small cysts in its structure.
Причина возникновения мелкокистозной дегенерации эпифиза остаётся до конца не ясной. Одной из вероятных причин, по нашему мнению, является расширение периваскулярных пространств в ткани эпифиза, что требует дальнейшего изучения.
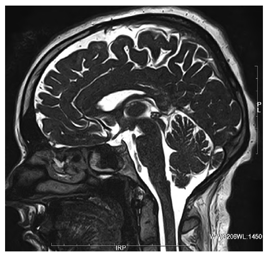
Одиночная однокамерная киста содержит гладкие стенки и жидкость, которая в 90% случаев имеет изоинтенсивный сигнал на МРТ по отношению к ликвору [32]. В10% случаев сигнал изоинтенсивный или слегка гиперинтенсивный относительно ликвора на импульсных последовательностяхТ2, Т2 FLAIR, FIESTA, что связано с повышенным содержанием белка (рис. 3).
Рис. 3. МРТ головного мозга, импульсная последовательность FIESTA. Срединный сагиттальный срез. Киста эпифиза размером более 10 мм, содержимое кистыс примесью белка. / Fig. 3. Brain MRI, FIESTA sequence. Midline sagittal section. Pineal cyst over 10 mm in size, the cyst contains a protein mixture.
Такой тип требует дифференциальной диагностики с атипичными кистозными образованиями, опухолями зародышевых клеток и паренхиматозными опухолями эпифиза [14].
На рентгеновской компьютерной томографии или МРТ киста эпифиза выглядит как однокамерное жидкостное образование с плотностью ликвора или с интенсивностью сигнала, как у ликвора. Периферическое контрастное усиление типично для большей части кист, кальцинаты в виде «ободка» обнаруживаются в 25% случаев. Кисты, особенно большие и нетипично выглядящие, сложно отличить от кистозных опухолей, вследствие чего пациенты с подозрительными изменениями должны подвергаться длительному наблюдению.
Причины возникновения кисты эпифиза точно не известны. Она представляет собой врождённое состояние или может быть обусловлена нарушениями гормонального баланса.
Теорий развития кист несколько, но единого понимания их происхождения нет. Среди причин выделяют незаращение дивертикула эпифиза во время эмбриогенеза, вторичный характер развития кисты на фоне дегенерации, ишемических изменений, глистной инвазии, кровоизлияния [31].
Киста эпифиза чаще визуализируется у женщин, чем у мужчин, что некоторые авторы связывают с наличием менструального цикла и гормональных изменений во время беременности, причём этот пик приходится на возраст около 30 лет. При исследовании детей с кистами эпифиза было подтверждено, что у девочек она выявляется чаще, чем у мальчиков. Диаметр кисты имел тенденцию к увеличению у более взрослых девочек, чем у младших. С возрастом кисты вначале увеличиваются в размерах, а затем иногда могут уменьшаться. Гендерной корреляции с ростом кисты эпифиза не найдено [32].
Подавляющее большинство кист эпифиза имеют малые размеры (в 80% случаев менее 1 см) и характеризуются бессимптомным течением. Кисты, обусловливающие симптоматику, преимущественно возникают у женщин во второй половине жизни. Кисты большего размера могут обусловливать объёмное воздействие на пластинку четверохолмия, приводя к сдавлению верхнего двухолмия и возникновению синдрома Парино. При сдавлении водопровода мозга возможно развитие обструктивной гидроцефалии.
Киста эпифиза может обусловливать головную боль, нарушения зрения, вертикальный парез взора. Редкими симптомами являются атаксия, эмоциональные расстройства, нарушения мыслительной деятельности, головокружение, нарушения сна, тошнота, гормональный дисбаланс (раннее половое созревание), вторичный паркинсонизм.
Нередко выявляются повышенная тревожность, проблемы со сном и засыпанием. Так, в пилотном исследовании L.M. DelRosso и соавт. было показано, что дети, направленные на МРТ для оценки головных болей, тиков или обмороков и имевшие кисту эпифиза, на основании детской шкалы нарушений сна (SDSC) набрали значительно более высокие баллы в областях чрезмерной сонливости и нарушений начала и поддержания сна [33]. Две контрольные группы, включавшие детей с аналогичными жалобами, но без кисты эпифиза и условно здоровых детей, имели статистически более низкие значения в общем балле SDSC в 2 из 6 доменов этой шкалы. Баллы в этих двух областях достоверно коррелировали с размером кисты. У детей школьного возраста с кистами эпифиза значительно повышается уровень сонливости и возникают трудности с засыпанием и поддержанием сна. И.Т. Абрамов с соавт. утверждают, что некоторые кисты могут вызывать увеличение эпифиза, что может быть связано с паренхиматозными клетками. Эти изменения структуры могут вносить вклад в процесс увеличенной продукции мелатонина [31].
В ряде исследований отмечается, что кисты менее 10 мм как у взрослых, так и у детей не требуют дальнейшего контроля при отсутствии необычных радиологических характеристик или связанных клинических симптомов [31]. Другие авторы утверждают, что при обнаружении кисты эпифиза необходимо назначить повторное исследование через 12 мес для определения динамики процесса и дифференциальной диагностики другими образованиями. Однако, согласно A.G. Osborn и соавт., неопухолевые кисты эпифиза и типичная пинеоцитома растут чрезвычайно медленно, и последующая МРТ обычно не помогает при дифференциальной диагностике [25].
Таким образом, по данным литературы и исходя из накопленного опыта, кисты эпифиза считаются случайной и достаточно частой находкой при проведении МРТ головного мозга как у взрослых, так и у детей. Чётко отнести это состояние к норме или патологии до сих пор не удаётся. Исследования обнаружили их более высокую распространённость у представителей женского пола. По данным компьютерной томографии и МРТ, эпифиз претерпевает с возрастом дегенеративные изменения. Возможно, с этим связано снижение выработки мелатонина и развитие десинхронозов у пожилых [31, 33, 34].
Распространённость бессимптомных кист у взрослых, как показало МРТ-исследование, составляет около 23%, а их развитие бессимптомно [35–37]. Однако анализ литературы показывает, что даже кисты менее 10 мм могут стать возможной причиной развития неврологической и психиатрической симптоматики у пациента [24–26, 38, 39]. До сих пор не установлена роль неокклюзирующих кист эпифиза в развитии аффективных расстройств, однако найдена корреляция объёма эпифиза и наличия кисты с развитием многих неврологических и психиатрических заболеваний [38–44].
Таким образом, в целом авторы сходятся во мнении, что на сегодняшний день функция эпифиза недостаточно изучена, главным образом из-за его малых размеров, взаимодействия с различными частями межуточного мозга, эндокринными железами и некоторыми другими органами. Мелатонин является нейроэндокринным посредником с высокой биологической активностью и гормональной, нейромедиаторной, иммуномодуляторной плейотропностью к различным тканям и органам. Результаты многолетних исследований роли мелатонина в организме человека и его использования при состояниях, связанных с рассогласованием биологических ритмов организма, позволят более оптимистично подходить к решению проблемы дезадаптации и патологических состояний, возникающих на её фоне.
About the authors
Anastasia V. Shilova
V.M. Bekhterev National Medical Research Center for Psychiatry and Neurology
Author for correspondence.
Email: stasya.parf@gmail.com
ORCID iD: 0000-0001-5413-9460
radiologist
Russian Federation, St. PetersburgNatalia I. Ananyeva
V.M. Bekhterev National Medical Research Center for Psychiatry and Neurology; Saint Petersburg State University
Email: ananieva_n@mail.ru
ORCID iD: 0000-0002-7087-0437
D. Sci. (Med.), Professor, Head, Department of clinical and laboratory diagnostics, neurophysiology and neuroimaging research, Professor, Scientific, clinical and educational center "Radiological Diagnostics and Nuclear Medicine", Institute of High Medical Technologies
Russian Federation, St. Petersburg; St. PetersburgNatalia Yu. Safonova
V.M. Bekhterev National Medical Research Center for Psychiatry and Neurology
Email: astarta10@yandex.ru
ORCID iD: 0000-0001-5847-4936
Cand. Sci. (Med.), senior researcher, Department of neuroimaging studies
Russian Federation, St. PetersburgLarisa V. Lukina
V.M. Bekhterev National Medical Research Center for Psychiatry and Neurology
Email: larisalu@yandex.ru
ORCID iD: 0000-0001-8500-7268
SPIN-code: 4693-5577
Scopus Author ID: 16520904200
Cand. Sci. (Med.), senior researcher, Head, Department of neuroimaging studies
Russian Federation, St. PetersburgReferences
- Konovalova N.A., Vorozhtsova I.N., Pavlenko O.A. et al. [The size of the pineal gland and its structure in hyperprolactinemia according to magnetic resonance imaging]. Sovremennye problemy nauki i obrazovaniya. 2019;(6):119–119.(In Russ.)
- Aulinas A. Physiology of the pineal gland and melatonin. In: Endotext [Internet]. South Dartmouth; 2019.PMID: 31841296.
- Cipolla-Neto J., Amaral F.G.D. Melatonin as a hormone: new physiological and clinical insights. Endocr Rev. 2018;39(6):990–1028. doi: 10.1210/er.2018-00084. PMID: 30215696.
- Májovský M., Netuka D., Beneš V. Is surgery for pineal cysts safe and effective? Short review. Neurosurg Rev. 2018;41(1):119–124. doi: 10.1007/s10143-017-0876-2. PMID: 28702847.
- Huang Y., Xu C., He M.et al. Saliva cortisol, melatonin levels and circadian rhythm alterations in Chinese primary school children with dyslexia. Medicine (Baltimore). 2020;99(6):e19098. doi: 10.1097/MD.0000000000019098. PMID: 32028434.
- Dolgikh G.T., Dolgikh T.A., Nilov A.I. et al. [Melatonin: uses in the elderly]. In: Kotel’nikov G.P., Bulgakova S.V. (eds.). Clinical and fundamental aspects of gerontology. Samara;2017:170–179. (In Russ.)
- Knyaz’kin I.V. [Extrapineal melatonin in accelerated and premature aging in rats]. Uspekhi gerontologii. 2008;21(1):80–82.(In Russ.)
- Fedorova E.A., Sufieva D.A., Grigor’ev I.P. et al. [Mast cells of the human pineal gland]. Uspekhi gerontologii.2018;31(4):484–489. (In Russ.)
- AnisimovV.N. [The effect of melatonin on the aging process]. In: Komarov F.I. et al. (eds.). Melatonin in health and disease. Moscow; 2004:223–236. (In Russ.)
- Zuev V.A., Trifonov N.I., Lin’kova N.S. et al. [Melatonin as a molecular marker of age-related pathology]. Uspekhi gerontologii.2017;30(1):62–69. (In Russ.)
- Tan D.X., Xu B., Zhou X., Reiter R.J. Pineal calcification, melatonin production, aging, associated health consequences and rejuvenation of the pineal gland. Molecules. 2018;23(2):301. doi: 10.3390/molecules23020301. PMID: 29385085.
- Raghuprasad M.S., Manivannan M. Volumetric and morphometric analy-sis of pineal and pituitary glands of an Indian inedial subject. Ann Neurosci. 2018;25(4):279–288. doi: 10.1159/000487067.PMID: 31000968.
- Han Q., Li Y., Wang J., Zhao X. Sex difference in the morphology of pineal gland in adults based on brain magnetic resonance imaging. J Craniofac Surg. 2018;29(5):e509–e513. doi: 10.1097/SCS.0000000000004558. PMID: 29608478.
- Gheban B.A., Rosca I.A., Crisan M. The morphological and functional characteristics of the pineal gland. Med Pharm Rep. 2019;92(3):226–234. doi: 10.15386/mpr-1235. PMID: 31460502.
- Gheban B.A., Colosi H.A., Gheban-Rosca I.A. et al. Age-related changes of the pineal gland in humans: a digital anatomo-histological morphometric study on autopsy cases with comparison to predigital-era studies. Medicina (Kaunas). 2021;57(4):383. doi: 10.3390/medicina57040383. PMID: 33921100.
- Popova A.A., Takmakov A.A. [Morfologiya epiphysis, histologystructure]. Luchshaya studencheskaya stat’ya 2019. 2019;211–214. (In Russ.)
- GorbachevV.I., BraginaN.V. [The blood-brain barrier from the position of an anesthesiologist-resuscitator. Literature review. Part 1]. Vestnik intensivnoi terapii imeni A.I. Saltanova. 2020;3:35–45. (InRuss.)
- Ivanov S.V. [Age morphology of the human pineal gland: an intravital study]. Uspekhi gerontologii. 2007;20(2):60–65.(In Russ.)
- Beker-Acay M., Turamanlar O., Horata E. et al. Assessment of pineal gland volume and calcification in healthy subjects: is it related to aging? J Belg Soc Radiol. 2016;100(1):13. doi: 10.5334/jbr-btr.892. PMID: 30038974.
- Takahashi T., Nakamura M., Sasabayashi D. et al. Reduced pineal gland vo-lume across the stages of schizophrenia. Schizophr Res. 2019;206:163–170. doi: 10.1016/j.schres.2018.11.032. PMID: 30527931.
- Bastos M.A.V.Jr., Oliveira Bastos P.R.H., Portella R.B. et al. Pineal gland and schizophrenia: A systematic review and meta-analysis. Psychoneuroendocrinology. 2019;104:100–114. doi: 10.1016/j.psyneuen.2019.02.024. PMID: 30831343.
- Takahashi T., Sasabayashi D., Yücel M. et al. Pineal gland volume in major depressive and bipolar disorders. Front Psychiatry. 2020;11:450. doi: 10.3389/fpsyt.2020.00450. PMID: 32528324.
- Matsuoka T., Imai A., Fujimoto H. et al. Reduced pineal volume in Alzheimer disease: a retrospective cross-sectional MR imaging study. Radiology. 2018;286(1):239–248. doi: 10.1148/radiol.2017170188. PMID: 28745939.
- Maruani A., Dumas G., Beggiato A. et al. Morning plasma melatonin differences in autism: beyond the impact of pineal gland volume. Front Psychiatry. 2019;10:11. doi: 10.3389/fpsyt.2019.00011. PMID: 30787884.
- Osborn A.G., Preece M.T. Intracranial cysts: radiologic-pathologic correlation and imaging approach. Radiology. 2006;239(3):650–664. doi: 10.1148/radiol.2393050823. PMID: 16714456.
- Görgülü F.F., Koç A.S. Is there any relationship between autism and pineal gland volume? Pol J Radiol. 2021;86:e225–e231. doi: 10.5114/pjr.2021.105689. PMID: 34093919.
- Takahashi T., Sasabayashi D., Takayanagi Y. et al. Potential contribution of pineal atrophy and pineal cysts toward vulnerability and clinical characteristics of psychosis. Neuroimage Clin. 2021;32:102805. doi: 10.1016/j.nicl.2021.102805. PMID: 34461434.
- Kurtulus Dereli A., Demırci G.N., Dodurga Y. et al. Evaluation of human pineal gland acetylserotonin O-methyltransferase immunoreactivity in suicide: а preliminary study. Med Sci Law. 2018;58(4):233–238. doi: 10.1177/0025802418797178. PMID: 30185109.
- Bosnjak J., Butkovic S.S., Miskov S. et al. Epilepsy in patients with pineal gland cyst. Clin Neurol Neurosurg. 2018;165:72–75. doi: 10.1016/j.clineuro.2017.12.025. PMID: 29324398.
- Atmaca M., Korucu T., Caglar Kilic M. et al. Pineal gland volumes are changed in patients with obsessive-compulsive personality disorder. J Clin Neurosci. 2019;70:221–225. doi: 10.1016/j.jocn.2019.07.047. PMID: 31455564.
- Abramov I.T., Pitskhelauri D.I., Serova N.K. [Pineal cyst]. Voprosy neirokhirurgii imeni N.N. Burdenko.2017;81(4):113–120. (In Russ.)
- Jussila M.P., Olsén P., Salokorpi N., Suo-Palosaari M. Follow-up of pineal cysts in children: is it necessary? Neuroradiology. 2017;59(12):1265–1273. doi: 10.1007/s00234-017-1926-8. PMID: 28942520.
- DelRosso L.M., Martin K., Bruni O., Ferri R. Sleep disorders in children with incidental pineal cyst on MRI: a pilot study. Sleep Med. 2018;48:127–130. doi: 10.1016/j.sleep.2018.05.003. PMID: 29906628.
- Trofimova T.N., Nazinkina Yu.V., Anan’eva N.I. et al. [Normal radiation anatomy of the brain (CT, MRI, ultrasound)]. Sankt-Peterburg; 2001. 51 p. (In Russ.)
- Lerner A.B., Case J., Takahashi Y. et al. Isolation of melatonin, the pineal gland factor that lightens melanocyteS1. J Am Chem Soc. 1958;(80)10:2587–2587.
- Syromyatnikova L.I., Spigina T.A., Shestakov V.V. [Circadian rhythm and depression in cardiac patients]. Psikhicheskie rasstroistva v obshchei meditsine. 2010;1:19–24. (In Russ.)
- Pu Y., Mahankali S., Hou J. et al. High prevalence of pineal cysts in healthy adults demonstrated by high-resolution, noncontrast brain MR imaging. Am J Neuroradiol. 2007;28(9):1706–1709. doi: 10.3174/ajnr.A0656. PMID: 17885233.
- Liu J., Clough S.J., Dubocovich M.L. Role of the MT1 and MT2 melatonin receptors in mediating depressive- and anxiety-like behaviors in C3H/HeN mice. Genes Brain Behav. 2017;16(5):546–553. doi: 10.1111/gbb.12369. PMID: 28160436.
- Bezuidenhout A.F., Kasper E.M., Baledent O. et al. Relationship between pineal cyst size and aqueductal CSF flow measured by phase contrast MRI. J Neurosurg Sci. 2021;65(1):63–68. doi: 10.23736/S0390-5616.18.04258-3. PMID: 29480683.
- Trofimova T.N., Totolyan N.A., Anan’eva N.I. [Radiation diagnosis of multiple sclerosis]. St. Peterburg; 2010. 125 p. (In Russ.)
- Pitskhelauri D.I., Konovalov A.N., Abramov I.T. et al. Pineal cyst-related aqueductal stenosis as cause of intractable headaches in nonhydrocephalic patients. World Neurosurg. 2019;123:e147–e155. doi: 10.1016/j.wneu. 2018.11.096. PMID: 30468924.
- Choque-Velasquez J., Colasanti R., Baluszek S. et al. Systematic review of pineal cysts surgery in pediatric patients. Childs Nerv Syst. 2020;36(12):2927–2938. doi: 10.1007/s00381-020-04792-3. PMID: 32691194.
- Eide P.K., Ringstad G. Increased pulsatile intracranial pressure in patients with symptomatic pineal cysts and magnetic resonance imaging biomarkers indicative of central venous hypertension. J Neurol Sci. 2016;367:247–255. doi: 10.1016/j.jns.2016.06.028. PMID: 27423599.
- Eide P.K., Pripp A.H., Ringstad G.A. Magnetic resonance imaging biomarkers indicate a central venous hypertension syndrome in patients with symptomatic pineal cysts. J Neurol Sci. 2016;363:207–216. doi: 10.1016/j.jns.2016.02.038.PMID: 27000252.








