Primary progressive aphasias: clinical and genetic heterogeneity and diagnostic difficulties
- Authors: Litvinenko I.V.1, Kolmakova К.A.1, Emelin А.Y.1, Lobzin V.Y.1,2
-
Affiliations:
- S.M. Kirov Military Medical Academy
- North-Western State Medical University named after I.I. Mechnikov
- Issue: Vol 15, No 4 (2021)
- Pages: 66-77
- Section: Reviews
- Submitted: 23.12.2021
- Accepted: 23.12.2021
- Published: 23.12.2021
- URL: https://annaly-nevrologii.com/pathID/article/view/799
- DOI: https://doi.org/10.54101/ACEN.2021.4.7
- ID: 799
Cite item
Full Text
Abstract
This systematic review describes primary progressive aphasia (PPA) variants and includes the authors' own clinical observations. Over 20 genes have now been identified, with mutations that are directly involved in the development of the behavioural variant of frontotemporal dementia, as well as other forms of PPA. Pathomorphological markers of Alzheimer's disease were identified in 76% of cases of logopenic PPA, while signs of frontotemporal dementia associated with TDP-43 were identified in 80% of cases of the semantic variant, and those associated with TDP-43/tau were identified in 64% of cases of agrammatic PPA. The clinical diagnosis of PPA is based on a history of long-term, progressive speech disturbances and identifying a particular variant: agrammatic, semantic or logopenic. The primary variant of the speech disorder cannot be identified in approximately 30% of cases. The focus should be on the main and additional clinical signs (presence of agrammatism, object naming, word comprehension, preserved repetition), as well as neuroimaging (presence of asymmetrical frontal and/or temporal lobe atrophy).
The article also provides key aspects of differential diagnosis of the PPA variants, and puts forth a stepwise diagnostic algorithm. It examines features of PPA progression, with possible development of corticobasal syndrome, illustrated by a clinical case. A dissociation between neuroimaging findings and clinical disease variant is also demonstrated to be possible. Different neuropsychological assessments of patients with aphasia and methods of determining the severity of speech dysfunction are presented. Standardized aphasia assessment tools and the adapted PPA severity scale are provided.
Full Text
Введение
Первичная прогрессирующая афазия (ППА) — это гетерогенный синдром, проявляющийся неуклонным прогрессированием речевых расстройств при менее выраженных нарушениях других когнитивных функций, входящий в группу фокальных нейродегенераций. С учётом нередко малозаметного дебюта и относительно медленного прогрессирования в начале заболевания (в дебюте которого лежит изолированное нарушение речевой функции) свое-временная диагностика вызывает определённые сложности. Впервые описание ППА как отдельной нозологической формы было представлено на примере 6 клинических случаев [1]. Однако, учитывая гетерогенность клинических проявлений и динамики ППА, вариативность нозологической принадлежности различных вариантов, на наш взгляд, некорректно рассматривать это состояние как отдельную нозологическую форму.
В клинико-патоморфологических исследованиях установлены определённые ассоциации между вариантами ППА и различными нейродегенеративными заболеваниями. Аграмматический (аППА) и семантический (сППА) варианты ППА в большинстве случаев входят в группу лобно-височных дегенераций (ЛВД), тогда как логопенический вариант (лППА) чаще всего представляет собой атипичную форму болезни Альцгеймера. В большинстве случаев сППА обусловлен ЛВД с отложением белка TDP-43, а аППА — фронто-темпоральной дегенерацией с отложением тау-белка [2]. ЛВД — клинический синдром, в основе которого лежит дегенерация лобных и передних отделов височных долей [3]. Помимо двух афатических вариантов в структуре ЛВД выделяют «классический» вариант ЛВД с поведенческими нарушениями, в основе которого лежит изменение ядра личности и социальная дезадаптация (болезнь Пика).
Патоморфологические маркёры болезни Альцгеймера обнаружены в 76% случаев лППА, признаки фронто-темпоральной дегенерации, ассоциированной с TDP-43, — в 80% случаев при сППА и ассоциированной с TDP-43/tau — в 64% случаев при аППА [4]. Эти результаты согласуются с понятием избирательной уязвимости нейронных сетей к специфическим протеинопатиям, при этом отложения амилоида имеют тропность к задним височно-теменным областям мозга, тау-патология — к лобно-стриатным сетям, а патология белка TDP-43 — к височному полюсу [2]. Значительно реже встречается синдром ППА при кортико-базальной дегенерации, прогрессирующем надъядерном параличе, деменции с тельцами Леви, цереброваскулярной патологии, прионных и других заболеваниях. Тем не менее нет абсолютной связи между каждым вариантом ППA и отдельным патологическим состоянием. Кроме того, относительная частота конкретных молекулярных изменений в каждом варианте сильно различается между исследованиями.
Генетика
Этиология ППА, как и других нейродегенеративных заболеваний, сопровождающихся когнитивными и поведенческими нарушениями, является мультифакторной. Однако особую роль в развитии данной патологии отводят генетическим мутациям. В настоящее время идентифицированы более 20 генов, мутации в которых непосредственно участвуют в развитии как поведенческой формы ЛВД, так и других форм ППА. Анализ современной литературы показал, что частота встречаемости мутаций крайне вариабельна. Безусловно, это связано с недостаточным изучением данной проблемы и невозможностью широкого внедрения медико-генетических исследований. Наиболее высокую частоту наследуемости имеет аППА (20–30%), а сППА и лППА — лишь 10–20% [5]. Большинство семейных случаев ЛВД (более 75%) ассоциированы с мутациями 3 генов: GRN (кодирует белок програнулин), MAPT (кодирует микротубулярный тау-белок) и C9orf72 (кодирует одноименный белок) [6, 7]. Мутации в других генах — TARDBR (кодирует белок TDP-43) и TBK1 при семейных формах ЛВД встречаются редко (менее 2%). По данным Ю.А. Шпилюковой и соавт., среди российского населения чаще встречаются мутации в генах GRN и C9orf72, объясняющие более 50% наследственных форм ЛВД, а мутации в генах MAPT и TARDBP не встречались в нашей стране [8, 9].
Мутация в гене C9orf72. Экспансия повторов в гене C9orf72 (Chromosome 9 open reading frame 72), впервые описанная в 2011 г. [10], является основной причиной (до 40%) семейных случаев бокового амиотрофического склероза (БАС), около 25% приходится на семейные случаи ЛВД, в 90% случаях наблюдаются оба фенотипа [11]. В норме функции белка C9orf72 связаны с процессами ядерно-цитоплазматического и межклеточного транспорта, аутофагией [12]. Для клинической картины характерны признаки БАС, который, однако, не всегда соответствует критериям БАС как болезни. Среди симптомов ЛВД доминируют нарушения поведения (апатико-абулический синдром) и регуляторных функций, реже отмечаются речевые нарушения [13].
Мутации в гене GRN. Мутации в гене GRN (Granulin precursor, предшественник програнулина) являются второй по частоте мутацией при ЛВД и приводят к развитию 5–25% семейных случаев заболевания [13]. Клинический фенотип широко варьирует и может быть представлен как поведенческой формой ЛВД, так и всеми формами ППА, а также кортико-базальным синдромом [14]. В клинической картине нередко преобладает синдром паркинсонизма, в ряде случаев описаны зрительные галлюцинации (что может приводить к ошибочному диагнозу деменции с тельцами Леви) [14]. Ген GRN кодирует структуру белка програнулина, являющегося предшественником белков-гранулинов. Програнулин — это фактор роста, он секретируется в биологические жидкости, такие как плазма крови и цереброспинальная жидкость, встречается в различных тканях организма, принимает участие в различных биохимических процессах. Установлено, что уровень програнулина плазмы крови является диагностическим маркёром для предварительного определения наличия мутаций в гене GRN и его делеции (содержание програнулина в плазме или цереброспинальной жидкости будет значительно снижено или практически отсутствовать) [15].
Мутации в гене MAPT. Патогенные мутации в гене MAPT (Microtubule Associated Protein Tau) составляют около 5–20% семейных случаев ЛВД [16]. Ген MAPT состоит из 16 экзонов и кодирует структуру тау-белка. Мутации в гене MAPT могут приводить к нарушению способности таубелка связываться с микротрубочками, а также повышать его фибрилизационную активность, в результате чего агрегаты нейрофиламентов накапливаются в нейронах и глиальных клетках коры, белого вещества, подкорковых структур и ядер ствола, а также спинного мозга [17]. Клинический фенотип крайне вариабелен как между семьями с различными мутациями, так и в пределах одной семьи. К наиболее частым фенотипическим проявлениям относят поведенческую форму ЛВД, аППА, также атипичный паркинсонизм. Кроме этого, описаны случаи выраженных мнестических нарушений и семантической деменции [17].
Мутации в гене TARDBP. Мутации в гене TARDBP (TAR DNA-binding protein) при семейных вариантах ЛВД встречаются достаточно редко и составляют 1–2% случаев [18]. Однако белок TDP-43, кодируемый геном TARDBP, обнаруживается более чем в 50% патоморфологически подтверждённых случаев ЛВД. Клинический фенотип включает преимущественно случаи поведенческого варианта ЛВД или сочетание двух фенотипов ЛВД и БАС [19].
Взаимосвязь генетических нарушений и развития различных клинических вариантов ППА представлена на рис. 1.
Рис. 1. Клинико-генетические закономерности развития ППА (по [20]). / Fig. 1. Clinical and genetic patterns in PPA development (based on [20]).
Обобщённая частота встречаемости различных фенотипов ППА в зависимости от основных генетических мутаций представлена в табл. 1.
Таблица 1. Основные гены, ассоциированные с развитием ППА / Table 1. Main genes associated with PPA
Ген Gene | Хромосома Chromosome | Белок Protein | Ассоциированный клинический фенотип Associated clinical phenotype | Частота мутаций, % Mutation frequency, % |
GRN | 17q21.32 | Програнулин Progranulin | Поведенческий вариант ЛВД, сППА и аППА, лППА (описано несколько случаев) Behavioural variant of frontotemporal dementia (FTD), semantic PPA and agrammatic PPA, logopenic PPA (several cases are described) | 5-22 |
C9orf72 | 9p21.2 | C9orf72 | Поведенческий вариант ЛВД, сППА Behavioural variant of FTD, semantic PPA | 8-25 |
МАРТ | 17q21.32 | Микротрубочки связанные с тау-белком Microtubules bound with Tau-protein | Поведенческий вариант ЛВД, аППА Behavioural variant of FTD, agrammatic PPA | 5-15 |
TARDBP | 1p36.21 | Белок TDP-43 TDP-43 protein | Поведенческий вариант ЛВД, сППА Behavioural variant of FTD, semantic PPA | 2 |
APP | 21q21.2 | Предшественник β-амилоида β-amyloid precursor | лППА Logopenic PPA | N/A |
Клинико-нейровизуализационная характеристика различных вариантов ППА
Речевые нарушения различной модальности и степени выраженности характерны для всех нейродегенеративных заболеваний. В связи с этим верификация диагноза ППА нередко представляет существенные трудности.
Общие диагностические критерии ППА:
- нарушения речи являются одним из основных клинических симптомов;
- нарушения речи приводят к нарушению повседневной активности;
- афазия является ведущим клиническим симптомом на начальных стадиях заболевания и постепенно прогрессирует более 1 года.
Критерии исключения диагноза ППА:
- Паттерн речевых нарушений в большей степени соответствует клинической картине других нейродегенеративных или соматических заболеваний.
- Когнитивные нарушения в большей степени соответствуют психическому заболеванию.
- В клинической картине в дебюте заболевания преобладают нарушения эпизодической и зрительной памяти, зрительно-пространственные нарушения.
- В клинической картине в дебюте заболевания преобладают поведенческие нарушения.
Длительное время речевые нарушения остаются изолированными, в целом сохраняется социальная и бытовая адаптация, за исключением действий, связанных с речевой функцией. По мере прогрессирования аППА и сППА появляются поведенческие нарушения, когнитивные нарушения подкорково-лобного типа, при лППА в первую очередь присоединяются мнестические расстройства.
Аграмматический вариант ППА
Другое название — афазия с нарушением беглости речи («non-fluent»). Основными критериями этой формы является наличие аграмматизмов, снижение речевой активности, а также нарушение плавности (или беглости) речи. Аграмматизмы характеризуются простотой и бедностью синтаксических структур создаваемых предложений (или отсутствием полноценных предложений), утратой артиклей, предлогов, вспомогательных глаголов и местоимений. Нарушается способность к повторению, особенно длинных и сложных предложений, воспроизведению серий слов, например, дней недели. Больной не может громко читать, писать и произносить слова по буквам. В то же время понимание отдельных слов как в письменной, так и в устной речи остаётся достаточно сохранным. Кроме того, к характерным клиническим признакам относят оральную (оролингвальную) апраксию (апраксия заданных орофациальных движений) — невозможность выполнения действий по заданию и подражания губами и языком (заложить язык за верхнюю или нижнюю губу, вытянуть губы трубочкой, «поцокать» языком, посвистеть и т.п.). По мере прогрессирования заболевания речевые нарушения приводят к мутизму.
Когнитивные функции и в целом социальная адаптация пациентов длительное время остаются сохранными, за исключением действий, в которых требуются вербальные навыки. Однако по мере прогрессирования заболевания развивается апатико-абулический синдром и импульсивность, и, кроме того, зачастую аППА сопровождается депрессией, которая, вероятно, обусловлена сохранением критики к своему речевому дефекту. В дальнейшем нередко отмечается паркинсонизм с последующим возможным развитием прогрессирующего надъядерного паралича или кортикобазального синдрома, с постуральной неустойчивостью, псевдобульбарной дисфункцией, апраксией конечности (синдром «чужой руки») и дистонией [21, 22]. Наличие апраксии речи и паркинсонизма можно объяснить развитием тау-патии. Около 30% пациентов с ППА имеют семейный анамнез, однако генетическая опосредованность все же наиболее характерна для поведенческой формы ЛВД [5]. Были выявлены причинные мутации во всех основных генах (GRN, MAPT, C9orf72), вызывающие ЛВД [23].
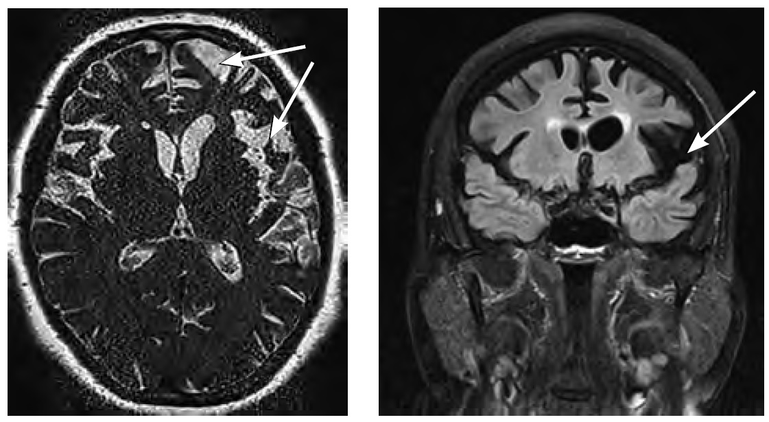
Для диагностики аППА, помимо выявления орфографических ошибок, целесообразно оценивать письмо пациента — это более надёжный показатель ассоциированного аграмматизма, чем оценка только речи пациента. Развитие аППА ассоциировано с атрофическими изменениями в области нижней лобной извилины («зона Брока») и островковой доли доминантного полушария.
Характерным нейровизуализационным признаком являются атрофические изменения в области сильвиевой борозды доминантного полушария на корональном (или фронтальном) срезе в Т1-ВИ, при этом на других последовательных срезах выявление асимметричной атрофии вызывает затруднения даже у врачей-рентгенологов (рис. 2).
Рис. 2. МРТ головного мозга пациента с аППА. Стрелки — атрофия левой задней лобно-островковой области. / Fig. 2. Brain MRI of a patient with aPPA. Arrows indicate atrophy of the left posterior fronto-insular region.
Также с целью дифференциальной диагностики с другими вариантами ППА используется ликворологическое исследование с оценкой уровня белков — маркёров нейродегенерации (Аβ-амилоида, тау-протеина и их соотношения).
Семантический вариант ППА
сППА (афазия без нарушения беглости речи, «fluent»-типа, семантическая деменция) характеризуется преимущественным нарушением называния предметов (страдает номинативная функция речи) и нарушением понимания смысла слов (семантическая дисфункция). В 1975 г. Е.К. Warrington описал первые 3 случая этого синдрома [24]. В 2004 г. М. Gorno-Tempini c соавт. включили семантическое слабоумие в 1 из 3 вариантов ППА, а термин «семантический вариант ППА» был позже принят международной рабочей группой [3, 25]. Для сППА характерна беглая речь с достаточно скудным запасом слов, утратой понимания значения слов с нарушением называния (аномия) и словесными (семантическими) парафазиями. Пациенты используют в своей речи общие категориальные слова (например, вместо «собака» — слово «животное»). Ещё один характерный признак — агнозия, которая может проявляться неузнаванием членов семьи (вследствие прозопагнозии) и/или невозможностью вспомнить назначение объекта. Отличительной особенностью сППА является сохранность грамматической основы речи при наличии аномии и затруднения в подборе слов. Относительно сохранной является память на события повседневной жизни, что отчётливо контрастирует с нарушениями в семантической сфере.
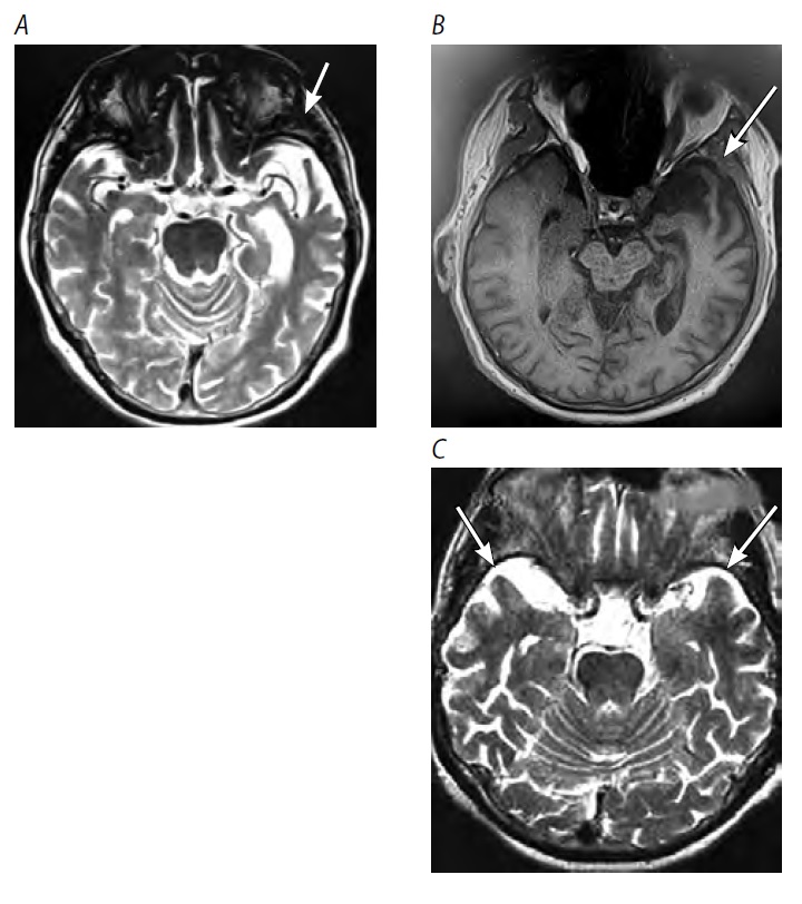
Как и при поведенческом варианте ЛВД, для сППА характерны такие симптомы, как неуместная эмпатия или её отсутствие, социальная расторможенность, «плоское» чувство юмора и патологическое пристрастие к сладкому. Понимание и осознание собственного дефекта часто кажется сохранённым, но может быть поверхностным или неполным. По мере прогрессирования заболевания могут появляться симптомы паркинсонизма. Нейровизуализационным признаком является чаще асимметричная (реже — симметричная) атрофия, затрагивающая, главным образом, передние отделы (полюс) височных долей мозга (рис. 3).
Рис. 3. МРТ головного мозга при сППА. Стрелки — атрофия (А, В — асимметричная, С — симметричная) передних отделов височной доли. / Fig. 3. Brain MRI of a patient with sPPA. Arrows indicate atrophy (А, В — asymmetrical, С — symmetrical) of the anterior temporal lobe.
Логопенический вариант ППА
Основу развития речевых нарушений составляют расстройства оперативной памяти, что приводит к затруднению поиска и подбора слов и, соответственно, замедлению речи, частым паузам, незавершённости слов и предложений, трудностям при повторении предложений, особенно длинных и сложных по построению. При этом понимание смысла предложений и слов, их категориальной принадлежности, грамматически правильное построение речи, артикуляция остаются сохранными. Паузы не заполняются высказываниями, не подходящими по смыслу, что позволяет исключить сППА. Дополнительные данные могут быть получены с помощью теста повторения цифр, их количество при лППА снижается, в то время как при сППА остаётся сохранным. Кроме этого, для пациентов с лППА характерны экстралингвистические трудности, приводящие к когнитивным и функциональным нарушениям: памяти (например, забывчивость, повторяемость или проблемы с поиском маршрута), возникновению бытовых затруднений (например, с использованием рабочего оборудования, инструментов или бытовых приспособлений) или нарушающие визуально-пространственное осознание (например, неспособность точно оценить расстояния, найти выходы или найти предметы на виду).
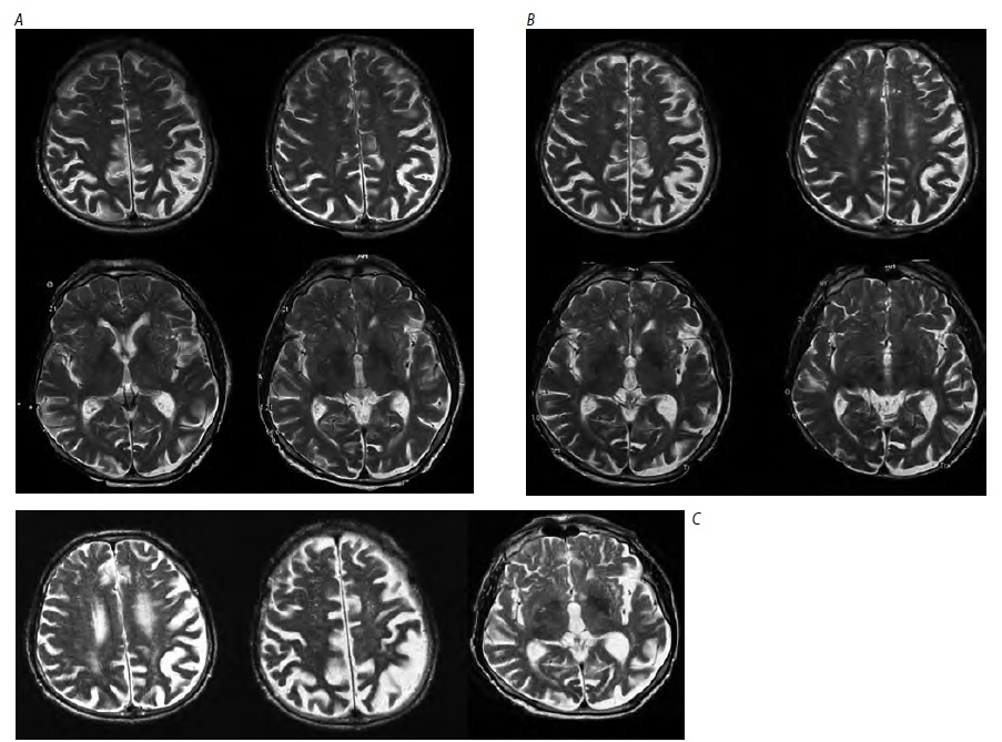
Ключевым нейрорадиологическим признаком является асимметричная атрофия, затрагивающая, главным образом, височно-теменные отделы доминантного полушария (рис. 4).
Рис. 4. МРТ головного мозга пациента с лППА в динамике: при первичном обращении (А), через 2 года наблюдения (В), через 3 года наблюдения (С). Выраженная асимметричная атрофия головного мозга с преимущественным вовлечением левой височной доли, затылочной доли. / Fig. 4. Brain MRI of a patient with lPPA over time: initial presentation (A), after 2 years of follow-up (B), after 3 years of follow-up (C). Significant asymmetrical brain atrophy, predominantly in the left temporal lobe and occipital lobe.
Основываясь только на анализе клинической картины, не всегда удаётся определить классический вариант ППА, в связи с чем в сложных диагностических случаях дополнительно предлагают устанавливать смешанный или неклассифицированный вариант, которые составляют 5,9% форм ППА [26].
Неклассифицируемый фенотип в основном включает пациентов с затруднением подбора слов как в спонтанной речи, так и при назывании предметов, что соответствует лППА, но при этом отсутствует другой ключевой признак — нарушение повторения фраз и предложений. При смешанном фенотипе наблюдается сочетание основных клинических синдромов нескольких вариантов, например, аППА и лППА. Можно отметить, что у пациентов с неклассифицированным, смешанным и логопеническим вариантами наряду с ведущим афатическим синдромом отмечается более значимое снижение показателей комплексных нейрокогнитивных шкал, что объединяет эти варианты с позиции возможной связи с болезнью Альцгеймера [27].
Сложность оценки речевых нарушений у пациентов с нейродегенеративными заболеваниями объясняется не только более обширным «диффузным» поражением локальной зоны, но и вовлечением расположенных рядом структур, что клинически проявляется разнообразием афатического дефекта. Несмотря на достаточно специфические и характерные клинические признаки ППА, определение клинического подтипа всегда вызывает значительные трудности. Тем не менее распознавание формы ППА имеет большое значение для грамотного дифференциального подхода как к лечению пациента, так и к определению прогноза течения заболевания. В табл. 2 приведены основные клинические и нейровизуализационные отличия между нозологическими формами ППА.
Таблица 2. Дифференциальная диагностика различных вариантов ППА / Table 2. Differential diagnosis of the PPA variants
Показатель Parameter | аППА Agrammatic PPA | сППА Semantic PPA | лППА Logopenic PPA |
Основные признаки Main signs | • Аграмматизм речи; • снижение беглости речи — появление «телеграфного стиля»: прерывистая, требующая усилий речь с заиканием, парафазиями (апраксия речи) • Speech agrammatism; • reduced verbal fluency and the appearance of telegraphic speech: effortful, broken speech, with stuttering and paraphasia (speech apraxia) | • Нарушение называния предметов (страдает номинативная функция речи). Замена одних существительных другими (вербальные парафазии); • нарушение понимания смысла слов • Impaired object naming (nominative function of speech is affected). Word replacement (verbal paraphasia); • impaired word comprehension | • Нарушение подбора слов как в спонтанной речи, так и назывании предметов; • затруднения при повторе фраз и предложений • Word finding difficulties, both in spontaneous speech and in object naming; • difficulty repeating phrases and sentences |
Дополнительные признаки Additional signs | • Нарушение понимания синтаксически сложных предложений при сохранности понимания простых фраз и слов; • нарушено чтение и/или письмо; • сохранность представлений о предметах, образах • Reduced comprehension of syntactically complex sentences, despite being able to understand simple words and phrases; • impaired reading and/or writing; • preserved ability to imagine objects and images
| • Нарушение представлений об объекте, особенно для редко используемых или малознакомых; • наличие дислексии или дисграфии; сохранность повтора; • сохранены грамматика и беглость речи • Impaired understanding of objects, especially rarely used or unfamiliar ones; • dyslexia or dysgraphia preserved repetition; • preserved grammar and verbal fluency
| • Речевые (фонетические) ошибки как в спонтанной речи, так и при назывании предметов; • сохранность понимания простых слов и предназначения предметов; • сохранность речевой продукции; • отсутствие аграмматизмов • Verbal (phonetic) errors in both spontaneous speech and in object naming; • preserved comprehension of simple words and purpose of objects; • preserved speech production; • lack of agrammatisms
|
МРТ-признаки MRI signs | Атрофия задних отделов лобной и височной долей, преимущественно доминантного полушария Atrophy of the posterior frontal and temporal lobes, predominantly in the dominant hemisphere | Атрофия передних отделов височной доли Atrophy of the anterior temporal lobe | Атрофия теменной доли доминантного полушария Atrophy of the parietal lobe in the dominant hemisphere |
ПЭТ-признаки PET signs | Гипометаболизм в задних отделах левой лобной доли Hypometabolism in the posterior left frontal lobe | Гипометаболизм в передних отделах височной доли Hypometabolism in the anterior temporal lobe | Гипометаболизм в левой теменной доле Hypometabolism in the left parietal lobe |
С учётом того, что афатические нарушения являются доминирующим признаком среди других когнитивных расстройств, выявление сфер нарушений речи позволяет упростить дифференциальную диагностику форм ППА, а также выбрать наиболее подходящую логопедическую и когнитивную реабилитацию. На рис. 5 представлен алгоритм диагностики вариантов ППА по речевым нарушениям.
Рис. 5. Алгоритм диагностики ППА (адаптировано из [28]). / Fig. 5. PPA diagnosis algorithm (adapted from [28]).
Нозологическая принадлежность различных вариантов ППА основана преимущественно на феноменологии речевых нарушений. Дополнительную информацию можно получить при выполнении магнитно-резонансной томографии с последующей оценкой структур головного мозга с использованием нейрорадиологических шкал.
Особенности дальнейшего прогрессирования ППА
Развитие заболевания, в особенности аППА и сППА, не всегда протекает в рамках ЛВД и не всегда строго соответствует какому-либо одному из вариантов. Приводим клинический пример, характеризующий атипичное развитие аППА.
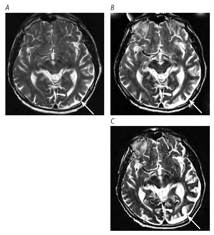
Пациент В., 81 года, наблюдался нами в течение 2 лет. На момент первичного осмотра обращала на себя внимание трудность подбора слов в разговорной речи при практически полном отсутствии других когнитивных нарушений, затруднения при повторении слов и предложений. В неврологическом статусе определялись отдельные микросимптомы. По данным МРТ головного мозга от октября 2016 г. были выявлены очаговые изменения сосудистого характера, умеренные атрофические изменения (рис. 6, А). При детальной оценке томограмм выявлена лёгкая асимметричная атрофия коры головного мозга за счёт левой височно-теменной области. Нейропсихологическое тестирование: MMSE — 27 баллов, FAB — 15 баллов, литеральные ассоциации — 12 слов, категориальные ассоциации — 14 слов. Тест рисования часов — 8 баллов.
Рис. 6. МРТ-изображения головного мозга пациента со смешанной формой ППА с последующим развитием клинически значимого кортико-базального синдрома. А — МРТ головного мозга 2016 г.; В — 2017 г.; С — 2019 г. / Fig. 6. Brain MRI of a patient with mixed PPA and subsequent development of clinically significant corticobasal syndrome. А — brain MRI in 2016; В — in 2017; С — in 2019.
В течение года клиническая картина неуклонно прогрессировала. Речь постепенно теряла свою беглость и плавность, требовала всё больших усилий, снизилась речевая активность. Пациент стал немногословным, старался избегать лишних высказываний, чтобы скрыть свой дефект. Говорил короткими фразами, часто не связанными между собой, используя преимущественно существительные при минимальном включении прилагательных. При повторном МРТ-исследовании выявлено значительное увеличение выраженности асимметричной левосторонней атрофии височной и теменной доли (рис. 6, В), что характерно в большей степени для лППА. Клинически вышеуказанная симптоматика при этом расценивалась в рамках аППА, однако также присутствовали отчётливые затруднения при повторении предложений, в том числе коротких и простых.
По прошествии 2 лет пациент полностью утратил способность к речевой продукции, однако понимание обращённой речи было полностью сохранено. Обратило на себя внимание появление апраксии правой руки, постоянное двигательное беспокойство правой кисти. Кроме того, при осмотре отмечено появление и других синдромов: лобной апраксии, в том числе апраксии ходьбы, асимметричной экстрапирамидной ригидности с гемипаркинсонизмом; миоклонуса правой руки; идеаторной апраксии в обеих руках; тяжёлых когнитивных нарушений, проявляющихся, в первую очередь, дизрегуляторными расстройствами. Нейропсихологическое обследование в 2019 г. оценить достоверно не представлялось возможным в связи с отсутствием у пациента речевой функции, при выполнении заданий с использованием письма у пациента выявлялись множественные грамматические ошибки. При этом тест рисования часов пациент выполнял верно. При оценке МРТ головного мозга выявлялась грубая асимметричная корково-подкорковая атрофия (рис. 6, С). Согласно рентгенологической шкале Global Cortical Atrophy (GCA) данные изменения соответствовали III cтепени атрофии головного мозга (по типу «лезвия ножа»).
В представленном наблюдении в дебюте заболевания клиническая симптоматика соответствовала типичной аППА, однако по мере прогрессирования заболевания появились признаки лППА, для которой характерной является развитие асимметричной атрофии височнотеменных отделов доминантного полушария. Ещё через год наряду с афатическим дефектом в клинической картине стал доминировать кортико-базальный синдром, вероятно, связанный с вовлечением в патологический процесс и подкорковых структур. Таким образом, представленный случай характеризует редкий пример смешанного варианта (сочетание аППА и лППА) ППА с последующим развитием клинически манифестной кортико-базальной дегенерации.
Данное клиническое наблюдение подтверждает гетерогенность первичных речевых нарушений, сложность дифференциальной диагностики, требующей обязательного комплексного подхода с анализом паттерна речевых нарушений и данных нейровизуализации, учёта сопутствующих неврологических и нервно-психических симптомов. Смешанные и атипичные формы ППА могут рассматриваться как возможные предикторы развития отличной от фронто-темпоральной дегенерации и болезни Альцгеймера нейродегенеративной патологии.
Оценка нейропсихологического профиля при ППА
Проведение расширенного нейропсихологического обследования позволяет выявить паттерн когнитивных нарушений, а также предположить возможную нозологическую форму когнитивных нарушений. Большинство нейропсихологических методик, использующихся в повседневной практике врача-невролога, позволяют выявить уже достаточно грубый когнитивный дефицит, достигающий деменции. Кроме того, оценка речевой функции по этим шкалам достаточно поверхностна и зачастую не позволяет выявить речевые нарушения на начальных стадиях заболевания. Вместе с тем афатический дефект в целом влияет на правильность выполнения нейропсихологических методик. Большинство тестов требуют вербального ответа пациента (устный счёт, концептуализация, ориентировка). Таким образом, при наличии речевых нарушений оценка выполнения когнитивных тестов должна выполняться с учётом речевой дисфункции. Среди отечественных методик не существует валидизированных шкал для комплексной оценки речевой дисфункции, что, безусловно, усложняет диагностику изолированных нарушений речи.
Первичная оценка речевой функции при ППА должна включать в себя детальную и последовательную оценку импрессивной речи (понимание различных синтаксических конструкций на слух; понимание смысла услышанных слов — существительных и глаголов), экспрессивной речи (называние предметов и действий по картинкам; составление предложений по картинкам и с использованием предложенных слов; составление рассказа по серии сюжетных картинок — в рассказе оцениваются беглость, связность текста, содержательность). Кроме этого необходимо отдельно оценивать чтение и письмо: чтение вслух слов, предложений, текста; понимание смысла написанных слов (соотнесение написанного слова с картинкой); понимание написанного текста (ответы на вопросы по тексту); написание под диктовку и копирование букв и слогов; письменное порождение слов (по рисунку, описанию, вербальным ассоциациям); написание слов под диктовку; написание автоматизированных рядов (собственные Ф.И.О, адрес, алфавит, цифры).
Возможно применение стандартизированных тестов для оценки афазии:
- Boston Diagnostic Aphasia Examination (BDAE, Бостонское исследование для выявления афазии) [29];
- Western Aphasia Battery — Revised (WAB-R, Западная афазиологическая батарея) [30];
- Comprehensive Aphasia Test (CAT, Всестороннее тестирование для выявления афазии) [31].
Оценка степени тяжести ППА
В 2014 г. D. Sapolsky и соавт. создали шкалу оценки тяжести ППА (Progressive Aphasia Severity Scale — PASS), которая представляет собой структурированный опросник, позволяющий оценивать лингвистические аспекты речи (артикуляцию, беглость, синтаксис и грамматику, поиск и выражение слова, повторение, слуховое понимание, понимание одного слова, чтение, письмо, функциональное общение, инициацию) (табл. 3). Оценка производится на основании данных информатора пациента и объективного мнения наблюдающего врача [32].
Таблица 3. Шкала оценки тяжести ППА / Table 3. Primary Progressive Aphasia Severity Scale
Сфера Area | 0 = норма 0 = normal | 0,5 = сомнительное/ очень лёгкое нарушение 0.5 = questionable/ very mild impairment | 1 = лёгкое нарушение 1 = mild impairment | 2 = умеренное нарушение 2 = moderate impairment | 3 = тяжёлое нарушение 3 = severe impairment |
Беглость речи, полноценная речь, без пауз, колебаний и вставок (уменьшение беглости связано с уменьшением длины фразы и слов в минуту) Speech fluency, full-scale speech, no pauses, wavering or inserts (reduced fluency due to a reduction in sentence length or words per minute) | Нормальная беглость речи Normal speech fluency | Речь содержит случайные пустые паузы или используются слова-паразиты, уменьшение длины фразы Speech contains random empty pauses or filler words, reduction in sentence length | Речь состоит из коротких фраз, прерываемых паузами или «поиском, подбором» слов Speech consists of short phrases, interrupted by pauses or word-finding difficulties | Несоответствия в большинстве высказываний; длина фразы редко превышает 3 слова Inconsistencies in most statements; sentence length rarely exceeds 3 words | Тяжёлые речевые нарушения (длина фразы редко превышает 1 слово), либо полное отсутствие речи Severe speech disturbances (sentence length rarely exceeds 1 word) or complete absence of speech |
Синтаксис и грамматика: использование словоформ, порядок слов при формировании фраз и предложений Syntax and grammar: use of word forms and word order during phrase and sentence formation | Нет сложности в использовании грамматики и синтаксиса No difficulties in grammar and syntax | Случайный аграмматизм или параграмматизм (т.е. странная структура предложения, такая как «Я езжу на машине в вашем доме»); может жаловаться, что трудно объединить слова в фразы или предложения Occasional agrammatism or paragrammatism (i.e. strange sentence structure, such a «1 drive a car in your house»); can complain of difficulty combining words into phrases or sentences | Частый аграмматизм; структура предложений проста; частое неправильное использование/пропуск грамматических слов или морфологии Frequent agrammatism; simple sentence structure; frequent incorrect use/ omission of grammatical words or morphology | Выражения содержат в основном односложные слова с редким использованием синтаксических группировок слов или морфологических маркёров Statements contain mainly single-syllable words with rare use of syntactic word groupings or morphological markers | Односложные высказывания или нет речи/письма Single-syllable statements or not speech/writing at all |
Понимание слова: способность понимать письменные или разговорные слова Word comprehension: the ability to understand written or spoken words | Нет сложности в понимании простых слов в процессе тестирования No difficulty in understanding simple words during testing | Иногда возникают трудности с пониманием низкочастотных слов (например, пробка); может поставить под сомнение значение слов (например, «Что такое?») Occasionally difficulty in understanding low-frequency words (for example, cork); may question the meaning of a word (for example, «What’s that?») | Показывает отсутствие понимания слова несколько раз в коротком разговоре, но способен вести разумно полноценный разговор Shows a lack of understanding of a word several times in a short conversation, but can hold a coherent conversation | Понимает некоторые, часто используемые и/или знакомые слова. Ставит под сомнение значение многих слов в разговоре Understands some, frequently used and/or familiar words. Questions the meaning of many words in a conversation | Минимальное понимание отдельных слов Minimal comprehension of separate words |
Для оценки используется шкала, где:
- 0 — нормальная речь;
- 0,5 — сомнительное/очень лёгкое нарушение речевой функции,
- 1 — лёгкое нарушение речи,
- 2 — умеренные речевые нарушения;
- 3 — тяжёлое нарушение речевой функции.
Шкала является дополнением к шкале CDR [33].
Использование шкалы PASS позволяет не только отслеживать скорость и динамику речевых нарушений, но и способствует определению варианта ППА [32]. Тяжёлые нарушения синтаксиса и грамматики, а также снижение беглости речи (вследствие наполнения речи паузами и запинаниями) встречаются у 60% пациентов с аППА. При этом у 60% сохраняется понимание слова (способность понимать письменные или разговорные слова). При сППА нарушение понимания смысла слов лёгкой степени встречается в 67%, а тяжёлой — в 22%, при этом нарушение беглости речи в лёгкой форме встречается в 89% случаев. Нарушения синтаксиса и грамматики у пациентов с лППА лёгкой степени составляют 56% и 25% умеренной степени, это приводит к лёгкому нарушению беглости речи в 87% и в 13% — к умеренным нарушениям. При этом нарушение понимания смысла слов либо вовсе отсутствует (44%), либо выявляются лёгкие нарушения у 44% [34].
Таким образом, ППА являются группой гетерогенных нейродегенеративных заболеваний, требующих от врачей-специалистов детального мультидисциплинарного подхода. На этапе дифференциальной диагностики необходимо выполнение нейровизуализационного исследования (магнитно-резонансной томографии с использованием нейрорадиологических шкал и детальной оценкой структур головного мозга, а также позитронно-эмиссионной томографии), комплексного нейропсихологического обследования с последующей оценкой когнитивных нарушений, консультации врачей смежных специальностей (логопеда-афазиолога, психиатра), оказанием психологической и социальной поддержки.
About the authors
Igor V. Litvinenko
S.M. Kirov Military Medical Academy
Author for correspondence.
Email: litvinenkoiv@rambler.ru
ORCID iD: 0000-0001-8988-3011
D. Sci. (Med.), Professor, Head, Department of nervous diseases, Chief neurologist of the Russian Ministry of Defense
Russian Federation, St. PetersburgКristina A. Kolmakova
S.M. Kirov Military Medical Academy
Email: litvinenkoiv@rambler.ru
ORCID iD: 0000-0001-8657-1901
Cand. Sci. (Med.), lecturer, Department of nervous diseases
Russian Federation, St. PetersburgАndrey Yu. Emelin
S.M. Kirov Military Medical Academy
Email: litvinenkoiv@rambler.ru
ORCID iD: 0000-0002-4723-802X
D. Sci. (Med.), Professor, Department of nervous diseases
Russian Federation, St. PetersburgVladimir Yu. Lobzin
S.M. Kirov Military Medical Academy; North-Western State Medical University named after I.I. Mechnikov
Email: litvinenkoiv@rambler.ru
ORCID iD: 0000-0003-3109-8795
D. Sci. (Med.), Associated Professor, Professor, Department of nervous diseases, Professor, Department of neurology named after academician S.N. Davidenkov
Russian Federation, St. Petersburg; St. PetersburgReferences
- Mesulam M.M. Slowly progressive aphasia without generalized dementia. Ann Neurol. 1982;11(6):592-598. doi: 10.1002/ana.410110607. PMID: 7114808.
- Spinelli E.G., Mandelli M.L., Miller Z.A. Typical and atypical pathology in primary progressive aphasia variants. Ann Neurol. 2017;81(3):430-443. doi: 10.1002/ana.24885. PMID: 28133816.
- Gorno-Tempini M.L., Hillis A.E., Weintraub S. et al. Classification of primary progressive aphasia and its variants. Neurology. 2011;76(11):1006-1014. doi: 10.1212/WNL.0b013e31821103e6. PMID: 21325651.
- Bergeron D., Gorno-Tempini M.L., Rabinovici G.D. et al. Prevalence of amyloid—в pathology in distinct variants of primary progressive aphasia. Ann Neurol. 2018;84(5):729-740. doi: 10.1002/ana.25333. PMID: 30255971.
- Rohrer J.D., Guerreiro R., Vandrovcova J. et al. The heritability and genetics of frontotemporal lobar degeneration. Neurology. 2009;73(18):1451-1456. doi: 10.1212/WNL.0b013e3181bf997a. PMID: 19884572.
- Mahoney C.J., Beck J., Rohrer J.D. et al. Frontotemporal dementia with the C9ORF72 hexanucleotide repeat expansion: clinical, neuroanatomical and neuropathological features. Brain. 2012;135(Pt 3):736-750. doi: 10.1093/brain/ awr361. PMID: 22366791.
- Snowden J.S., Rollinson S., Thompson J.C. Distinct clinical and pathological characteristics of frontotemporal dementia associated with C9ORF72 mutations. Brain. 2012;135(Pt 3):693-708. doi: 10.1093/brain/awr355. PMID: 22300873.
- Shpilyukova Yu.A., Fedotova E.Yu., Berdnikovich E.S. et al. C9ORF72-as- sociated frontotemporal dementia in the Russian population. Zhurnal nevrologii i psikhiatrii im. S.S. Korsakova. 2020;120(9):98-106. doi: 10.17116/jnev- ro202012009198. (In Russ.)
- Shpilyukova Yu.A., Fedotova E.Yu., Illarioshkin S.N. Genetic diversity of frontotemporal dementia. Molekulyarnaya biologiya. 2020;54(1):17-28. doi: 10.31857/S0026898420010139. (In Russ.)
- De Jesus-Hernandez M., Mackenzie I.R., Boeve B.F. et al. Expanded GG- GGCC hexanucleotide repeat in noncoding region of C9ORF72 causes chromosome 9p-linked FTD and ALS. Neuron. 2011;72(2):245-256. DOI: 10.1016/j. neuron.2011.09.011. PMID: 21944778.
- Nguyen H.P., Van Broeckhoven C., van der Zee J. ALS genes in the genomic era and their implications for FTD. Trends Genet. 2018;34(6):404-423. doi: 10.1016/j.tig.2018.03.001. PMID: 29605155.
- Haeusler A.R., Donnelly C.J., Rothstein J.D. The expanding biology of the C9orf72 nucleotide repeat expansion in neurodegenerative disease. Nat Rev Neurosci. 2016;17(6):383-395. doi: 10.1038/nrn.2016.38. PMID: 27150398.
- Cruts M., Engelborghs S., van der Zee J. et al. C9orf72-related amyotrophic lateral slerosis and frontotemporal dementia. In: Adam M.P., Ardinger H.H., Pa- gon R.A. et al., eds. GeneReviews® [Internet]. Seattle, 1993-2021. Available from: https://www.ncbi.nlm.nih.gov/books/NBK268647
- Ber I., Camuzat A., Hannequin D. et al. Phenotype variability in progranulin mutation carriers: a clinical, neuropsychological, imaging and genetic study. Brain. 2008;131(Pt 3):732-746. doi: 10.1093/brain/awn012. PMID: 18245784.
- Galimberti D., Fumagalli G.G., Fenoglio C. et al. Progranulin plasma levels predict the presence of GRN mutations in asymptomatic subjects and do not correlate with brain atrophy: results from the GENFI study. Neurobiol Aging. 2018;62:245.e9-245.e12. doi: 10.1016/j.neurobiolaging.2017.10.016. PMID: 29146050
- Pottier C., Ravenscroft T.A., Sanchez-Contreras M., Rademakers R. Genetics of FTLD: overview and what else we can expect from genetic studies. J Neurochem. 2016;138(Suppl 1):32-53. doi: 10.1111/jnc.13622. PMID: 27009575.
- Ghetti B., Oblak A.L., Boeve B.F. et al. Invited review: Frontotemporal dementia caused by microtubule-associated protein tau gene (MAPT) mutations: A chameleon for neuropathology and neuroimaging. Neuropathol Appl Neurobiol. 2015;41(1):24-46. doi: 10.1111/nan.12213. PMID: 25556536.
- Sirkis D.W., Geier E.G., Bonham L.W. et al. Recent advances in the genetics of frontotemporal dementia. Curr Genet Med Rep. 2019;7(1):41-52. doi: 10.1007/s40142-019-0160-6. PMID: 31687268.
- Borroni B., Archetti S., Del Bo R. et al. TARDBP mutations in frontotemporal lobar degeneration: frequency, clinical features, and disease course. Rejuvenation Res. 2010;13(5):509-517. doi: 10.1089/rej.2010.1017. PMID: 20645878.
- Saracino D., Ferrieux S., Nogu s-Lassiaille M. Cognitive, linguistic and neuroanatomical features of primary progressive aphasias due to frontotemporal dementia gene mutations. Eur J Neurol. 2020;27(Suppl 1):258-259
- Kremen S.A., Mendez M.F., Tsai P.H., Teng E. Extrapyramidal signs in the primary progressive aphasias. Am J Alz Dis Other Dem. 2011;26(1):72-77. doi: 10.1177/1533317510391239. PMID: 21282281
- Graff-Radford J., Duffy J.R., Strand E.A., Josephs K.A. Parkinsonian motor features distinguish the agrammatic from logopenic variant of primary progressive aphasia. Park Rel Dis. 2012;18(7):890-892. doi: 10.1016/j.parkreldis. 2012.04.011. PMID: 22575236.
- Rohrer J.D., Rossor M.N., Warren J.D. Syndromes of nonfluent primary progressive aphasia: a clinical and neurolinguistic analysis. Neurology. 2010;75(7): 603-610. doi: 10.1212/WNL.0b013e3181ed9c6b. PMID: 20713949.
- Warrington E.K. The selective impairment of semantic memory. Q J Exp Psychol. 1975;27(4):635-657. doi: 10.1080/14640747508400525. PMID: 1197619.
- Gorno-Tempini M.L., Dronkers N.F., Rankin K.P. et al. Cognition and anatomy in three variants of primary progressive aphasia. Ann Neurol. 2004;55(3):335-346. doi: 10.1002/ana.10825. PMID: 14991811.
- Utianski R.L., Botha H., Martin P.R. Clinical and neuroimaging characteristics of clinically unclassifiable primary progressive aphasia. Brain Lang. 2019;197:104676. doi: 10.1016/j.bandl.2019.104676. PMID: 31419589.
- Sajjadi S.A., Patterson K., Nestor P.J. Logopenic, mixed, or Alzheimer-related aphasia? Neurology. 2014;82(13):1127-1131. DOI: 10.1212/ WNL.0000000000000271. PMID: 24574548.
- Marshall C.R., Hardy C.J.D., Volkmer A. et al. Primary progressive aphasia: a clinical approach. J Neurol. 2018;265(6):1474-1490. doi: 10.1007/s00415- 018-8762-6. PMID: 29392464.
- Goodglass H., Kaplan E. The assessment of aphasia and related disorders. Philadelphia: Lea and Febiger, 1972.
- Kertesz A. Western Aphasia Battery-Revised. San Antonio, TX: The Psychological Corporation, 2007.
- Swinburn K., Porter G., Howard D. The Comprehensive Aphasia Test. Hove: Psychology Press. 2005.
- Sapolsky D., Domoto-Reilly K., Dickerson B.C. Use of the Progressive Aphasia Severity Scale (PASS) in monitoring speech and language status in PPA. Aphasiology. 2014;28(8-9):993-1003. doi: 10.1080/02687038.2014.931563. PMID: 25419031.
- Morris J.C. The Clinical Dementia Rating (CDR): current version and scoring rules. Neurology. 1993;43(11):2412-2414. doi: 10.1212/wnl.43.11.2412-a. PMID: 8232972.
- Sajjadi S.A., Patterson K., Arnold R.J. et al. Primary progressive aphasia: a tale of two syndromes and the rest. Neurology. 2012;78(21):1670-1677. doi: 10.1212/WNL.0b013e3182574f79. PMID: 22573633.











