Pseudostroke as a manifestation of mediastinal choriocarcinoma in an elderly man
- Authors: Korneva Y.S.1,2, Maslova N.N.2, Rudenko Y.A.2, Miloserdov M.A.2,3, Shisterova O.A.4
-
Affiliations:
- Smolensk Regional Institute of Pathology
- Smolensk State Medical University
- Red Cross Emergency Hospital
- Smolensk Oncological Dispensary
- Issue: Vol 15, No 4 (2021)
- Pages: 93-98
- Section: Clinical analysis
- Submitted: 23.12.2021
- Accepted: 23.12.2021
- Published: 23.12.2021
- URL: https://annaly-nevrologii.com/pathID/article/view/802
- DOI: https://doi.org/10.54101/ACEN.2021.4.10
- ID: 802
Cite item
Full Text
Abstract
We describe a rare clinical case: onset of acute neurological symptoms suggestive of a pesudostroke, caused by an imbalance in cerebral blood flow as a result of internal carotid artery compression by an enlarged lymph node secondary to metastases from a disseminated non-gestational mediastinal choriocarcinoma. This was accompanied by decompensation due to paraneoplastic coagulopathy.
Full Text
Введение
Цереброваскулярные заболевания являются частыми спутниками злокачественных новообразований, возникая примерно у 15% онкологических пациентов, ухудшая их состояние и прогноз [1]. Связь между злокачественными новообразованиями и тромботическими осложнениями была показана ещё в 1865 г., эта комбинация была названа синдромом Труссо [2]. В настоящей статье описан редкий случай, когда причиной развития острой очаговой неврологической симптоматики у пожилого мужчины стал псевдоинсульт, возникший на фоне развития паранеопластической коагулопатии и сдавления внутренней сонной артерии лимфатическим узлом, увеличенным вследствие метастатического поражения из диссеминированной негестационной медиастинальной хорионкарциномы (ХК).
Описание клинического случая
Пациент О., 70 лет, был доставлен бригадой скорой медицинской помощи в ОГБУЗ «Клиническая больница скорой медицинской помощи» с подозрением на острое нарушение мозгового кровообращения в бассейне правой средней мозговой артерии.
При поступлении в стационар продуктивному контакту доступен, ориентация всех видов сохранена, психомоторное возбуждение. Предъявлял жалобы на отсутствие движений в левых конечностях, нечёткость речи, одышку и чувство нехватки воздуха, задержку стула в течение нескольких дней.
Анамнез заболевания: со слов пациента и его родственников, за 1,5 ч до поступления в стационар внезапно, без видимых причин, ослабели левые конечности и появилась нечёткость речи. Сразу была вызвана бригада скорой медицинской помощи, врачом которой на момент осмотра зафиксирована левосторонняя гемиплегия; артериальное давление (АД) 120/80 мм рт. ст., температура тела 36,4оС, уровень глюкозы в капиллярной крови 7,2 ммоль/л. На ЭКГ — синусовая тахикардия с ЧСС 105 уд/мин, горизонтальное положение электрической оси сердца, признаки гипертрофии миокарда левого желудочка с его систолической перегрузкой, нельзя исключить рубцовые изменения в области передней стенки. На догоспитальном этапе внутривенно струйно введено 1000 мг этилметилгидроксипиридина сукцината, налажена ингаляция увлажнённого кислорода, и в положении лёжа пациент транспортирован в стационар.
В анамнезе жизни обращает на себя внимание, что в течение последних 2 лет у пациента отмечалось длительное повышение температуры тела до субфебрильных цифр и прогрессирующее снижение массы тела на 27 кг, по поводу чего он обследовался в стационаре, но причину данного состояния выявить не удалось. Какие-либо хронические заболевания, травмы и операции пациент у себя отрицает, регулярно лекарственных препаратов не принимает.
Данные объективного осмотра: на момент поступления: кожные покровы бледные, акроцианоз, профузный пот. Состояние питания пониженное. Выраженная одышка смешанного характера с участием вспомогательной мускулатуры, дыхание шумное, дистанционные хрипы. Аускультативно дыхание жёсткое, сухие и влажные хрипы с обеих сторон. Число дыхательных движений 26 в минуту. Тоны сердца приглушены, ритм правильный, АД 70/50 мм рт. ст., ЧСС 100 уд/мин. Язык чистый. Живот вздут, участвует в акте дыхания, при пальпации мягкий, безболезненный, перистальтика не выслушивается. Печень и селезёнка не пальпируются.
Неврологический статус: уровень сознания по шкале комы Глазго 13–14 баллов. Общемозговая симптоматика отсутствует, оболочечный синдром отрицательный. Ширина глазных щелей равномерная, зрачки округлой формы D = S, фотореакция живая, движения глазных яблок оценить невозможно (не выполняет команды из-за выраженного возбуждения). Корнеальные рефлексы живые, D = S. Мимика асимметрична, S < D; глотание, фонация не нарушены; язык по средней линии; дизартрия. Мышечный тонус S < D, атрофии мышц нет, левосторонняя гемиплегия. Сухожильные рефлексы S > D, низкие, рефлекс Бабинского отрицательный с обеих сторон. Чувствительность и координаторные пробы объективно оценить невозможно.
Несмотря на проводимую интенсивную терапию, через 20 мин от момента поступления состояние пациента резко ухудшилось — АД 40/20 мм рт. ст., ЧСС 46 уд/мин, дыхание поверхностное с ЧДД 10 в минуту. Проводимые в полном объёме реанимационные мероприятия через 30 мин признаны неэффективными, констатирована биологическая смерть.
Дополнительные исследования, в том числе нейровизуализация, ввиду краткосрочности пребывания больного в стационаре не проведены.
Тело умершего было отправлено на патологоанатомическое исследование с диагнозом: основное заболевание — острое нарушение мозгового кровообращения, не дифференцированное как кровоизлияние или инфаркт в бассейне правой средней мозговой артерии. Осложнение — отёк головного мозга. Сопутствующее заболевание — атеросклеротическая болезнь сердца. Недостаточность кровообращения IIА-Б, III функционального класса. Двусторонняя внебольничная пневмония. Острая респираторная недостаточность.
При патологоанатомическом исследовании обнаружены следующие изменения, отражающие основной патологический процесс и его осложнения. При наружном осмотре обращает на себя внимание пониженное питание. Подчелюстные лимфатические узлы плотные, серого цвета, размерами 1,2 × 1,0 × 1,0 см, формируют «пакеты», плотно прилежат к правой внутренней сонной артерии, вызывая её сдавление извне с сужением просвета до 50%. При исследовании систем органов в нижней трети трахеи определяется бугристое образование плотной консистенции, серо-белого цвета, выступающее в просвет трахеи, диаметром 3,5 см, в области S10 нижней доли правого лёгкого определяется участок плотной консистенции неправильной формы белесоватого цвета размерами 4,0 × 3,5 × 1,5 см без чётких границ; в правой плевральной полости 2400 мл серозно-геморрагической жидкости, в левой — 1700 мл аналогичной жидкости; на листках висцеральной и париетальной брюшины множественные образования серо-белого цвета, преимущественно округлой формы, диаметром 0,3–1,5 см, плотной консистенции, формирующие конгломераты; большой сальник с множественными образованиями серо-белого цвета, диаметром 0,5–1,0 см, плотной консистенции, в брюшной полости около 3500 мл асцитической жидкости.
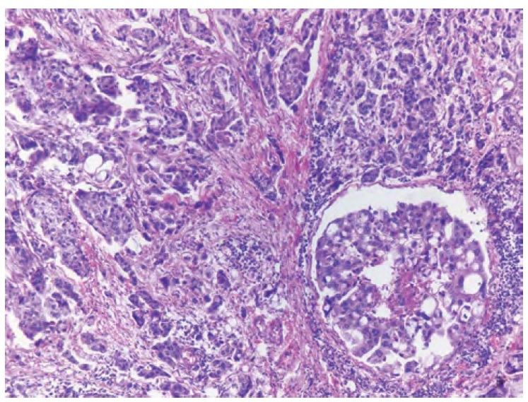
На основании макроскопической картины посмертный диагноз был сформулирован как рак лёгкого с множественными метастазами, причём предполагалось, что первичный очаг находится в S10 правого лёгкого. Однако гистологическое исследование выявило однотипную картину во всех вышеперечисленных локализациях: опухолевые очаги представлены полями уродливых, резко полиморфных клеток с выраженными, крупными полиморфными ядрами и развитой цитоплазмой, напоминающих клетки трофобласта, многие клетки — многоядерные. Патологические клетки формируют поля, цепочки и железисто-подобные структуры (рис. 1).
Рис. 1. Микроскопическая картина опухоли переднего средостения. Окраска гематоксилином и эозином, ×100. / Fig. 1. Microscopic appearance of the anterior mediastinal tumour. Haematoxylin and eosin staining, ×100.
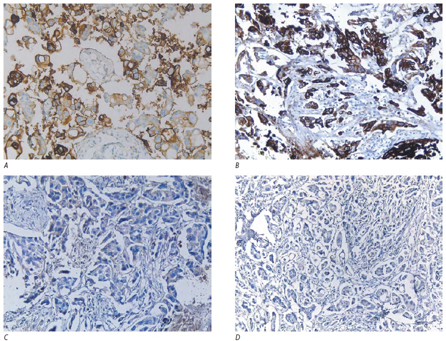
При иммуногистохимическом исследовании выявлена картина, характерная для герминогенного рака с дифференцировкой в сторону негестационной ХК: клетки опухоли и её метастазов дают положительную экспрессию с цитокератином 18 (СК18), цитокератином 7, цитокератином с высоким молекулярным весом — маркёрами опухолей эпителиального происхождения; плацентарной щелочной фосфатазой — маркёром герминогенных опухолей; яркую ядерную экспрессию SALL4 (транскрипционный фактор, также маркёр герминогенных опухолей); высокий уровень пролиферативной активности по Ki-67 и отрицательное окрашивание с Napsin A и тиреоидным транскрипционным фактором-1, что исключает происхождение опухоли из ткани лёгкого; отрицательное окрашивание с CD56, CD30 и Synaptophysin (маркёр нейроэндокринной дифференцировки) (рис. 2).
Рис. 2. Картина, характерная для герминогенного рака, полученная при иммуногистохимическом исследовании, ×200. А — преимущественно мембранная экспрессия плацентарной щелочной фосфатазы в клетках опухоли средостения; В — цитоплазматическое окрашивание антителами к цитокератину 7 клеток опухоли средостения; С — отсутствие экспрессии CD30 в клетках опухоли средостения; D — отсутствие экспрессии тиреоидного транскрипционного фактора-1 в клетках опухоли средостения. / Fig. 2. Appearance typical for germ cell cancer obtained during immunohistochemical study, ×200. А — predominantly membranous placental alkaline phosphatase expression in the mediastinal tumour cells; В — cytoplasmic staining of the mediastinal tumour cells using cytokeratin 7 antibodies; С — no CD30 expression in the mediastinal tumour cells; D — no thyroid transcription factor-1 expression in the mediastinal tumour cells.
Таким образом, первичной локализацией опухоли следует считать нижнее средостение (узел в нижней трети трахеи), что также характерно для герминогенных опухолей, а образования в лёгком, лимфатических узлах, брюшине и сальнике — её метастазами. Макроскопическое исследование головного мозга не выявило очаговых изменений, поэтому фрагменты для гистологического исследования рандомно забраны из белого и серого вещества правого полушария. Были выявлены изменения, характерные для хронической ишемии головного мозга в виде пролиферации клеток микроглии, разрежения ткани головного мозга, а также выраженные признаки отёка головного мозга и расстройства кровообращения в виде красных тромбов и стазов в сосудах микроциркуляторного русла (рис. 3), расценённые как проявление паранеопластической коагулопатии, что на фоне хронического уменьшения кровотока к правой гемисфере головного мозга за счёт сдавления внутренней сонной артерии увеличенными лимфатическими узлами вызвало декомпенсацию и стало причиной возникновения неврологической симптоматики.
Рис. 3. Красные тромбы в сосудах микроциркуляторного русла в правой гемисфере головного мозга. Окраска гематоксилином и эозином, ×100. / Fig. 3. Red thrombi in the right hemisphere microcirculation. Haematoxylin and eosin staining, ×100.
Окончательный диагноз был сформулирован следующим образом.
Основное заболевание: внегонадная герминогенная опухоль верхнего средостения (негестационная ХК) с метастазами в лёгкие, эпикард, лимфатические узлы паратрахеальные, подчелюстные со сдавлением внутренней сонной артерии справа; большой сальник, брюшину, печень. T2аN2M1 ICD-O 9065/3 (С38.1)
Осложнения: паранеопластическая коагулопатия. Хроническая ишемия головного мозга. Периваскулярный, перицеллюлярный отёк головного мозга. Хроническая бивентрикулярная сердечная недостаточность мускатная печень, цианотическая индурация селезёнки, бурая индурация лёгких, двусторонний гидроторакс (1700 мл слева, 2400 справа), асцит 3500 мл. Очаговая серозно-гнойная пневмония. Дыхательная недостаточность. Раковая кахексия.
Сопутствующие заболевания: хронический пиелонефрит, хронический персистирующий гепатит умеренной степени активности по Knodell, хронический панкреатит, мелкоочаговый диффузный кардиосклероз.
Обсуждение
ХК относится к герминогенным опухолям и бывает гестационной (вторичной) и негестационной (первичная или внегонадная) [3]. Внегонадные герминогенные опухоли очень редки — те из них, что развиваются в средостении, составляют всего 3–4% от общего числа герминогенных опухолей [4]. Редкость заболевания, неоднозначная клиническая картина, несоответствие клинических и патологоанатомических данных — все эти причины создают сложности как для клинического врача, так и для патоморфолога [4].
Этиология и патогенез ХК сложны и до конца не изучены. Происхождение опухоли остаётся неясным, предполагается, что медиастинальная ХК является метастазом при инволюции первичной тестикулярной опухоли [5]. Другим широко распространённым объяснением является захват зародышевых клеток, возникающих из мезотелия примитивных гонад или эндодермы желточного мешка вдоль мочеполового гребня, которые остаются спящими и дают начало злокачественной опухоли только после стимуляции при половом созревании [6] либо происходят из сохранившихся первичных зародышевых клеток, которые мигрировали аномально во время эмбриогенеза [7].
В литературе описаны около 50 случаев медиастинальной ХК, поражающей преимущественно молодых мужчин [8, 9], однако именно эта локализация составляет практически 50% случаев внегонадной ХК. Опухоль может возникать в возрасте от 21 до 63 лет и поражать также крестцовую область, забрюшинное пространство, средостение, эпифиз, центральную нервную систему, печень. Описаны редкие случаи с поражением желчных протоков, полости носа, желудочно-кишечного тракта, мочевого пузыря [3, 8, 10]. Причём расположение ХК по средней линии тела чаще встречается у молодых, в то время как поражение паренхиматозных органов у мужчин старше 50 лет [11].
Клинически медиастинальная ХК, как правило, проявляется в виде гинекомастии, атрофии яичек, повышением уровня сывороточного хорионического гонадотропина. Пациент, помимо прочего, может предъявлять жалобы на кашель и кровохарканье, боль в груди [3, 7, 12]. Сама опухоль обнаруживается в средостении и быстро распространяется гематогенным путём, метастазируя чаще в лёгкие и головной мозг, реже может поражаться печень, селезёнка, почки и ретроперитонеальные лимфатические узлы [9, 13]. Часто именно появление очаговой неврологической симптоматики за счёт метастатического поражения головного мозга является поводом обнаружения медиастинальной ХК [14, 15]. Известно, что синцитиотрофобласт выделяет тканевой фактор, запускающий тромбообразование [16], что может спровоцировать нарушение мозгового кровообращения. Однако, по данным научной литературы, тромботические осложнения со стороны центральной нервной системы при ХК редки [2]. В литературе имеется описание лишь одного похожего случая, когда пациент был госпитализирован в стационар по поводу появления постепенно нарастающей неврологической симптоматики в виде пареза правой конечности, правой половины лица и нарушения речи, в связи с тромбозом левой средней мозговой артерии, выявленным при ангиографии. Во время обследования пациента случайно была обнаружена медиастинальная ХК, верифицированная путём эндобронхиальной биопсии [17].
Особенностью данного наблюдения является отсутствие морфологических изменений, характерных для острого ишемического повреждения в головном мозге, поэтому данное состояние следует расценивать как псевдоинсульт [18]. Однако, по мнению авторов, это нельзя трактовать как диагностическую ошибку. Известно, что оптимальный объем церебральной перфузии составляет 50–60 мл на 100 г ткани мозга в минуту, а его падение до 10–15 мл на 100 г/мин приводит к быстрому развитию необратимых изменений в нейронах. Локальное снижение кровотока в пределах 20–35 мл на 100 г/мин (ниже уровня, необходимого для нормального функционирования нервных клеток, но выше критического порога необратимых изменений) вызывает нарушение функционального состояния нейронов, проявляющееся стойкой неврологической симптоматикой, появление которой опережает формирование очага инфаркта [18, 19]. По такому сценарию скорее всего и развивались события в описываемом случае. Метаболические нарушения и экстравазальная компрессия внутренней сонной артерии увеличенным лимфатическим узлом (аналогичная поражениям, характерным для макроангиопатии при атеросклеротическом поражении, присутствующим у большинства пациентов с пседоинсультом [20]) привели к развитию хронической гипоксии правого полушария головного мозга, при которой возможности ауторегуляции мозгового кровотока оказались значительно снижены, а расстройство микроциркуляции при развитии паранеопластической коагулопатии привело к её декомпенсации и появлению функциональных церебральных нарушений.
Гиподиагностика метастатического поражения головного мозга как причины неврологической симптоматики маловероятна, поскольку обычно метастазы ХК в головной мозг сопровождаются вторичным кровоизлиянием, что делает их контрастными на фоне ткани головного мозга [2]. Возможно, если бы время от начала неврологических проявлений до смерти оказалось более продолжительным, это привело бы к формированию типичных для острого нарушения мозгового кровообращения изменений в ткани мозга.
Авторы приводят данный клинический случай как казуистически редкий пример для стационаров, занимающихся пациентами с острыми нарушениями мозгового кровообращения, когда причиной развития очаговой неврологической симптоматики стал псевдоинсульт у пациента с запущенной онкологической патологией.
About the authors
Yuliya S. Korneva
Smolensk Regional Institute of Pathology; Smolensk State Medical University
Email: miloserdovmax@mail.ru
Cand. Sci. (Med.), Associate Professor, Department of pathological anatomy; pathologist, Department of clinical pathology No. 2
Russian Federation, Smolensk; SmolenskNatalya N. Maslova
Smolensk State Medical University
Email: miloserdovmax@mail.ru
D. Sci. (Med.), Professor, Head, Department of neurology and neurosurgery
Russian Federation, SmolenskYana A. Rudenko
Smolensk State Medical University
Email: miloserdovmax@mail.ru
resident, Department of pathological anatomy
Russian Federation, SmolenskMaxim A. Miloserdov
Smolensk State Medical University; Red Cross Emergency Hospital
Author for correspondence.
Email: miloserdovmax@mail.ru
Cand. Sci. (Med.), neurologist, assistant, Department of neurology and neurosurgery
Russian Federation, Smolensk; SmolenskOksana A. Shisterova
Smolensk Oncological Dispensary
Email: miloserdovmax@mail.ru
Cand. Sci. (Med.), Head, Department of pathological anatomy
Russian Federation, SmolenskReferences
- Dardiotis E., Aloizou A.M., Markoula S. et al. Cancer-associated stroke: pathophysiology, detection and management (Review). Int J Oncol. 2019;54(3):779- 796. doi: 10.3892/ijo.2019.4669. PMID: 30628661.
- Cyriac S., Sagar T.G., Mahajan V. Choriocarcinoma with arterial and venous thrombosis. Neurol India. 2009;57:505-507. doi: 10.4103/0028-3886.55586. PMID: 19770564.
- Qiu Z., Wu Y., Wang Y., Hu C. Male primary mediastinal choriocarcinoma with diffuse metastases: A case report. Medicine (Baltimore). 2019;98(28):e16411. doi: 10.1097/MD.0000000000016411. PMID: 31305456.
- SakaneT., Okuda K., Murase T. et al. Mixed-type primary germ cell tumor of the mediastinum in a young adult male with a sudden life threatening condition: a case report. Thorac Cancer. 2020;11(1):166-169. doi: 10.1111/17597714.13231. PMID: 31693305.
- Lynch M.J., Blewitt G.L. Choriocarcinoma arising in the male mediastinum. Thorax. 1953;8(2):157-161. doi: 10.1136/thx.8.2.157. PMID: 13077513.
- Yurick B.S., Ottoman R.E. Primary mediastinal choriocarcinoma. Radiology. 1960;75(6):901-907. doi: 10.1148/75.6.901. PMID: 13787562.
- Cohen B.A., Needle M.A. Primary mediastinal choriocarcinoma in a man. Chest. 1975;67(1):106-8. doi: 10.1378/chest.67.1.106. PMID: 1088117.
- Gaude G.S., Patil P., Malur P.R., et al. Primary mediastinal choriocarcinoma. South Asian J Cancer. 2013;2(2):79. doi: 10.4103/2278-330x.110495 . PMID: 24455559.
- Rehman T., Hameed A., Beharry N., Du Parcq J., Bano G. An unusual cause of gynaecomastia in a male. Endocrinol Diabetes Metab Case Rep. 2019;2019(1):19- 0060. doi: 10.1530/EDM-19-0060. PMID: 31373476.
- Blokh I., Oiseth S. J., Fuks J. et al. Metastatic choriocarcinoma in a middle-aged man presenting as a right thigh mass with venous thrombosis. Med Oncol. 2003;20(2):189-194. doi: 10.1385/mo:20:2:189. PMID: 12835524.
- Qiu J., Jia S., Li G. Incidence and prognosis factors of extragonadal choriocarcinoma in males: a population-based study. Cancer Manag Res. 2018;10:4565- 4573. doi: 10.2147/CMAR.S175948. PMID: 30410393.
- Jiang F., Xiang Y., Feng F.Z. et al. Clinical analysis of 13 males with primary choriocarcinoma and review of the literature. Onco Targets Ther. 2014;7:1135- 1141. doi: 10.2147/ott.s62561. PMID: 25018640.
- Luo M., Peng H., Song M. et al. Primary mediastinal choriocarcinoma: a case report and literature review. Zhong Nan Da XueXueBao Yi Xue Ban. 2017;42(10):1222-1227. doi: 10.11817/j.issn.1672-7347.2017.10.016. PMID: 29093257.
- Soussain C., Michel-Langlet P., Mahjoubi M. et al. Brain metastasis of choriocarcinoma in males. Apropos of a case. Review of the literature. Bull Cancer. 1992;79(8):751-757. PMID: 1281698
- Kuno I., Matsumoto Y., Kasai M. et al. Primary mediastinal choriocarcinoma with brain metastasis in a female patient. Eur J Gynaecol Oncol. 2016;37(2):265- 266. PMID: 27172760.
- Reverdiau P., Jarousseau A.C., Thibault G. et al. Tissue factor activity of syncytiotrophoblast plasma membranes and tumoral trophoblast cells in culture. Thromb Haemost. 1995;73(1):49-54. doi: 10.1055/s-0038-1653724. PMID: 7740495.
- Francischetti I.M.B., Cajigas A., Suhrland M. et al. Incidental primary mediastinal choriocarcinoma diagnosed by endobronchial ultrasound-guided fine needle aspiration in a patient presenting with transient ischemic attack and stroke. Diagnostic Cytopathology. 2017;45(8):738-743. doi: 10.1002/dc.23719. PMID: 28397369.
- Vilenskiy B.S., Anosov V.V. Insul’t: trudnosti i oshibki pri diagnostike i lechenii. [Stroke: difficulties and errors in diagnosis and treatment]. Leningrad: Medicina, 1980. 272 p. (In Russ.)
- Vereshchagin N.V., Morgunov A.A., Gulevskaya T.S. [Pathology of the brain in atherosclerosis and arterial hypertension]. Moscow, 1997. 288 p. (In Russ.)
- Dzhunusova K.I., Kamynina I.E., Leykin I.B. et al. Pseudostroke states with clinical presentation of ischemic and hemorrhagic stroke. Vestnik novykh meditsinskikh tekhnologiy. 2010;8(3):215-217. (In Russ.)








