Postvaccination acute disseminated encephalomyelitis with area postrema syndrome and quasi benign paroxysmal positional vertigo: a case report
- Authors: Bogdanov E.I.1,2, Kazantsev A.Y.1, Ahunova A.G.2
-
Affiliations:
- Kazan State Medical University
- Republican Clinical Hospital
- Issue: Vol 16, No 4 (2022)
- Pages: 80-84
- Section: Clinical analysis
- Submitted: 28.12.2021
- Accepted: 25.05.2022
- Published: 23.12.2022
- URL: https://annaly-nevrologii.com/pathID/article/view/805
- DOI: https://doi.org/10.54101/ACEN.2022.4.10
- ID: 805
Cite item
Full Text
Abstract
Area postrema syndrome (APS) develops in patients with lesions found in the floor of the fourth ventricle and manifests with nausea, intractable vomiting, and hiccup. APS is most commonly associated with neuromyelitis optica spectrum disorders although it may develop in some other conditions as well.
We have presented a case study of APS with positional vertigo developed in a 41-year-old woman caused by acute disseminated encephalomyelitis after COVID-19 vaccination. Quasi benign paroxysmal positional vertigo acutely manifested with nausea, vomiting, and vertigo that dramatically worsened with head movement. Physical examination revealed patchy hypesthesia on the left side of the face and decreased convergence of the left eye. MRI scan showed a lesion adjacent to the floor of the fourth ventricle (area postrema). The manifestations totally regressed on glucocorticoids without any relapse during 1-year follow-up.
Full Text
Введение
В эпоху пандемии COVID-19 особая роль отводится вакцинации. Несмотря на то что большинство используемых в мире вакцин показали свою эффективность и высокий уровень безопасности, неизбежны редкие серьёзные осложнения, среди которых — аутоиммунное поражение центральной и периферической нервной системы. Информация о поствакцинальных осложнениях COVID-19 в настоящее время ограничена описаниями отдельных клинических наблюдений. Например, в выборке из 232 603 вакцинированных человек посвакцинальные аутоиммунные осложнения нервной системы возникли у 21 (0,009%), в том числе демиелинизирующие синдромы центральной нервной системы — у 8 [1].
Большая часть вакцин против COVID-19 относятся к мРНК-вакцинам (mRNA-1273, «Moderna»; BNT162b2, «Pfizer») или вирусным векторным вакцинам (Ad26.COV2·S, «Johnson & Johnson»; ChAdOx1 nCoV-19, «AstraZeneca») [2]. Именно осложнения от применения данных вакцин обычно описываются в литературе. Информация о неврологических осложнениях при вакцинации другими типами вакцин, среди которых инактивированные вакцины, крайне скудная, при том что этот тип вакцины может иметь потенциальные преимущества ввиду меньшего числа побочных эффектов [3, 4]. Ниже мы приводим клиническое наблюдение развития поствакцинального демиелинизирующего поражения центральной нервной системы, возникшее вследствие инвактивированной вакцины CoviVac (ФГБНУ «Федеральный научный центр исследований и разработки иммунобиологических препаратов им. М.П. Чумакова РАН») [5].
Клиническое наблюдение
Женщина, 41 год, обратилась с жалобами на остро возникшую тошноту и головокружение с ощущением вращения окружающего пространства. Симптомы значительно усиливались при движении головой с развитием рвоты и существенно облегчались в покое. Помимо головокружения пациентка отмечала лёгкое онемение в левой половине лица и более выраженное онемение левой половины языка, а также двоение в глазах при взгляде вблизи. Хронических заболеваний в анамнезе не было, за 8 мес до текущего заболевания перенесла COVID-19 в лёгкой форме.
За 2 нед до дебюта заболевания пациентка получила вторую дозу вакцины CoviVac. В день заболевания остро после пробуждения отметила тошноту, рвоту, шаткость при ходьбе и головокружение, преимущественно возникавшие при перемене положения головы и в момент перехода в вертикальное положение. Спустя 3 дня стала отмечать наличие онемения левой половины языка и менее выраженное онемение лица слева. Учитывая позиционный характер головокружения, подозревалось доброкачественное позиционное головокружение. Однако тест Дикса–Холлпайка не подтвердил периферическое вестибулярное поражение: возникало выраженное системное головокружение с тошнотой и рвотой без латентного промежутка, с кратковременным мелкоразмашистым горизонтальным нистагмом, меняющим своё направление в зависимости от поворота головы (позиционный горизонтальный нистагм). При МРТ головного мозга патологии не выявлено. Получала противорвотные препараты и вестибулосупрессоры без клинического эффекта.
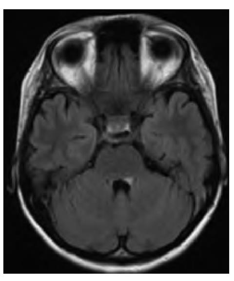
Спустя ещё 7 дней пациентка отметила появление лёгкой диплопии и усугубление головокружения. В неврологическом статусе выявлялась мозаичная гипестезия левой половины лица без разницы по зонам Зельдера и ветвям тройничного нерва, снижение конвергенции левого глаза. В остальном в неврологическом статусе отклонений не было. Спонтанный нистагм, косоглазие, мозжечковая и бульбарная симптоматика не выявлялись. Учитывая клинические признаки поражения ствола мозга, была проведена повторная МРТ головного мозга, по результатам которой в режиме T2-FLAIR выявлен гиперинтенсивный очаг в области дна IV желудочка, соответствующий локализации area postrema (рис. 1).
Рис. 1. МРТ пациентки в режиме FLAIR.
Визуализируется мелкий очаг слева, прилежащий ко дну IV желудочка.
Fig. 1. Patient's FLAIR MRI image.
A small left-side lesion is visualized adjacently to the floor of the IV ventricle.
В ликворе выявлено лёгкое повышение уровня белка — 0,51 г/л (норма 0,30–0,45 г/л), цитоз — 3 клетки. Анализ крови на антитела к аквапорину-4 — в пределах референтных значений. Офтальмологическое обследование подтвердило снижение конвергенции слева без признаков прочей офтальмологической патологии.
Проведена пульс-терапия метилпреднизолоном 1000 мг/сут в течение 5 дней с хорошим эффектом — рвота и двоение регрессировали за 3 сут, в течение последующего месяца полностью регрессировали тошнота, головокружение, чувствительные нарушения. Пациентка вернулась к обычной жизни, вышла на работу. В течение последующего года наблюдения рецидивов заболевания не было.
Обсуждение
Area postrema (AР) — это участок в области дна IV желудочка, являющийся хеморецепторной зоной, при поражении которого возникают в различных комбинациях неукротимая тошнота, рвота, икота (синдром area postrema — САР) [6, 7]. САР чаще всего описывается при заболеваниях спектра оптикомиелита (neuromyelitis optica spectrum disorders (NMOSD), реже встречается при структурных нарушениях другого генеза [8]. АР характеризуется обильной васкуляризацией, астроциты АР обладают высокой экспрессией аквапорина-4 [6, 9]. САР возникает у 16–43% пациентов с NMOSD, причём у 9,4–12,0% пациентов данный синдром служит дебютным проявлением [10, 11]. Количество обострений САР может различаться: 73% пациентов переносят 1 атаку, у 27% пациентов происходят 2 и более эпизода. Все 3 симптома САР (тошнота, рвота, икота) встречаются у 43% пациентов, 2 симптома — у 32%, 1 симптом — у 25% [12]. Безусловно, САР не специфичен для NMOSD. Теоретически, любое структурное поражение АР может вызвать САР, что подтверждается обширным кругом заболеваний, при которых описан данный синдром: ишемический инсульт, рассеянный склероз, энцефалит Биккерстаффа, объёмные образования IV желудочка, хроническое лимфоцитарное воспаление с периваскулярным накоплением контрастного вещества в варолиевом мосту, реагирующее на терапию глюкокортикоидами (синдром CLIPPERS), болезнь Александера [13–20].
В литературе описаны несколько случаев вовлечения области дна IV желудочка после перенесённого COVID-19 [21] или вакцинации от COVID-19 [22, 23], в том числе с развитием САР. Учитывая, что тошнота и рвота является нередким симптомом COVID-19, не исключается прямая вирусная инвазия или тропность антител к вирусным частицам к АР [24]. Данная гипотеза имеет основания ввиду экспрессии ангиотензинпревращающего фермента 2 в AP [25].
САР может быть единственным клиническим проявлением заболевания или сочетаться с другими неврологическими симптомами [11, 12]. Диагностика изолированного САР является трудной задачей и во многих случаях сопровождается ошибками. Пациенты чаще всего изначально попадают в гастроэнтерологическое или инфекционное отделение, нередко причина тошноты, рвоты и/или икоты остаётся невыясненной, в том числе ввиду самоизлечения и прекращения диагностического поиска [11]. Тем не менее симптомы САР могут длиться месяцами. Описан случай ошибочного диагноза нервной анорексии у пациентки с САР в течение 10 лет, обусловленного гемангиобластомой IV желудочка [18]. Появление очаговой неврологической симптоматики нередко является ключом к диагностике центрального генеза гастроэнтерологических симптомов. Среди очаговой неврологической симптоматики можно выделить как классические симптомы заболеваний спектра оптикомиелита, так и симптомы поражения ствола мозга [11].
Системное головокружение в качестве сопутствующего симптома САР описывается крайне редко [11]. Учитывая наличие позиционного системного головокружения с позиционным нистагмом, а также очага на МРТ головного мозга, можно предположить наличие у пациентки центрального позиционного головокружения (ЦПГ). Около 75% случаев ЦПГ обусловлено поражением мозжечка, тем не менее описано развитие ЦПГ и при поражении дна IV желудочка и изолированного поражения ствола мозга [26]. ЦПГ чаще всего сопровождается нистагмом, направленным вниз, тем не менее горизонтальный позиционный нистагм встречается до 40,7% случаев [27]. Появление вертиго при САР можно объяснить вовлечением в патологический процесс близлежащих медиального вестибулярного ядра Швальбе и медиального продольного пучка, также описано вертиго при изолированном поражении ядра подъязычного нерва, что может быть связано с вовлечением вестибулярных проводниковых путей [28]. В приводимом нами наблюдении, более вероятно, имело место поражение медиального продольного пучка, что проявлялось также нарушением конвергенции слева.
Вызывают интерес особенности и анатомический субстрат чувствительных нарушений у нашей пациентки. Учитывая локализацию очага на МРТ, представляется логичным поражение спинального ядра тройничного нерва или его проводящих путей. Поражение этого ядра описано при инфекции Varicella zoster с визуализацией очага на МРТ в области, близкой к АР [29]. Однако отсутствие чувствительных нарушений по зонам Зельдера ставит данное утверждение под сомнение. Тем не менее преимущественное вовлечение чувствительных волокон языка указывает на основное участие именно спинального ядра тройничного нерва. Наше предположение — в том, что развитие чувствительных нарушений во внутренней и промежуточной зонах Зельдера можно объяснить рефлекторным переключением нервного импульса от чувствительных волокон лица на более высоком уровне или вовлечением мостового чувствительного ядра. Отсутствие поражения или клинических проявлений подъязычного нерва можно объяснить небольшим размером очага и/или сохранностью моторных ядер ствола мозга (рис. 2).
Рис. 2. Схематическое изображение АР и структур ствола мозга на уровне верхних отделов продолговатого мозга.
Штриховой линией выделена предполагаемая зона поражения в нашем клиническом случае. Источник: Jones J., Baba Y. Medulla oblongata. URL: https://radiopaedia.org/articles/5802 (дата обращения: 18.10.2021).
Fig. 2. Schematic representation of the area postrema and the brainstem parts in the upper medulla oblongata [30].
The supposed affected area is dashed.
Source: Jones J., Baba Y. Medulla oblongata. URL: https://radiopaedia.org/articles/5802 (data of access: 18.10.2021).
Cформулированный нами диагноз может оставаться предметом дискуссии. Очевиден аутоиммунный генез патологического процесса ввиду анамнеза недавней вакцинации и лёгкого повышения уровня белка в ликворе. Учитывая факт вакцинации инактивированной вакциной и сроки дебюта заболевания, был правомочен диагноз «поствакцинальный энцефалит», однако пациентка не имела инфекционно-токсического и общемозгового синдромов, не было характерного для нейроинфекции плеоцитоза в ликворе. Дебют NOMSD рассматривался в качестве возможного диагноза, но у пациентки отсутствовали признаки миелита и оптического неврита, анализ на антитела к аквапорину-4 был отрицательным, хотя возможен серонегативный вариант заболевания. При остром рассеянном энцефаломиелите обычно возникают множественные очаги в больших полушариях, реже поражаются инфратенториальные отделы центральной нервной системы. Тем не менее в редких случаях возможен паттерн единственного стволового очага, поэтому описанное поражение целесообразно отнести к варианту поствакцинального острого рассеянного энцефаломиелита [30].
Таким образом, наше клиническое наблюдение иллюстрирует несколько положений: САР может протекать с развитием позиционного головокружения, сопровождаться вовлечением медиального продольного пучка и чувствительных волокон тройничного нерва; при возникновении неукротимой тошноты/рвоты/икоты после проведения вакцинации (в том числе инактивированного типа вакциной, от COVID-19) нужно иметь в виду возможность центрального генеза данных симптомов.
Источник финансирования. Авторы заявляют об отсутствии внешних источников финансирования при проведении исследования.
Конфликт интересов. Авторы декларируют отсутствие явных и потенциальных конфликтов интересов, связанных с публикацией настоящей статьи.
About the authors
Enver I. Bogdanov
Kazan State Medical University; Republican Clinical Hospital
Email: enver_bogdanov@mail.ru
ORCID iD: 0000-0001-9332-8053
D. Sci. (Med.), Professor, Head, Department of neurology and rehabilitation
Russian Federation, 420101, Kazan, Mavlyutova str., 2; KazanAlexander Yu. Kazantsev
Kazan State Medical University
Email: engine90@bk.ru
ORCID iD: 0000-0001-9800-9940
Cand. Sci. (Med.), neurologist, assistant, Department of neurology, neurosurgery and medical genetics
Russian Federation, 420101, Kazan, Mavlyutova str., 2Alsu G. Ahunova
Republican Clinical Hospital
Author for correspondence.
Email: eridan.kazan@gmail.com
neurologist
Russian Federation, 420101, Kazan, Mavlyutova str., 2References
- Kaulen L.D., Doubrovinskaia S., Mooshage C. et al. Neurological autoimmune diseases following vaccinations against SARS-CoV-2: a case series. Eur. J. Neurol. 2022; 29(2): 555–563. doi: 10.1111/ene.15147
- Karnik M., Beeraka N.M., Uthaiah C.A. et al. A Review on SARS-CoV-2-induced neuroinflammation, neurodevelopmental complications, and recent updates on the vaccine development. Mol. Neurobiol. 2021; 58(9): 4535–4563. doi: 10.1007/s12035-021-02399-6
- Sanders B., Koldijk M., Schuitemaker H. Inactivated viral vaccines. Vaccine analysis: Strategies, Principles, and Control. 2014; 45–80. doi: 10.1007/978-3-662-45024-6_2
- Al Kaabi N., Zhang Y., Xia S. et al. Effect of 2 inactivated SARS-CoV-2 vaccines on symptomatic COVID-19 infection in adults: a randomized clinical trial. JAMA. 2021; 326(1): 35–45. doi: 10.1001/jama.2021.8565
- Kozlovskaya L.I., Piniaeva A.N., Ignatyev G.M. et al. Long-term humoral immunogenicity, safety and protective efficacy of inactivated vaccine against COVID-19 (CoviVac) in preclinical studies. Emerg. Microbes Infect. 2021; 10(1): 1790–1806. doi: 10.1080/22221751.2021.1971569
- Price C.J., Hoyda T.D., Ferguson A.V. The area postrema: a brain monitor and integrator of systemic autonomic state. Neuroscientist. 2008; 14(2): 182–194. doi: 10.1177/1073858407311100
- Price C.J., Hoyda T.D., Ferguson A.V. The area postrema: a brain monitor and integrator of systemic autonomic state. Neuroscientist. 2008; 14(2): 182–194. doi: 10.1177/1073858407311100
- Rosales D., Kister I. Common and rare manifestations of neuromyelitis. Optica spectrum disorder. Curr. Allergy Asthma Rep. 2016; 16(6): 42. doi: 10.1007/s11882-016-0619-4
- Popescu B.F., Lennon V.A., Parisi J.E. et al. Neuromyelitis optica unique area postrema lesions: nausea, vomiting, and pathogenic implications. Neurology. 2011; 76(14): 1229–1237. doi: 10.1212/WNL.0b013e318214332c
- Бакулин И.С., Симанив Т.О., Коновалов Р.Н., Захарова М.Н. Поражение area postrema как причина неукротимой икоты, тошноты и рвоты при заболеваниях оптикомиелитного спектра (наблюдение из практики). Журнал неврологии и психиатрии им. С.С. Корсакова. Спецвыпуски. 2017; 117(10-2): 20–23. Bakulin I.S., Simaniv T.O., Konovalov R.N., Zakharova M.N. Area postrema lesion as a cause of intractable nausea, vomiting and hiccups in neuromyelitis optica spectrum disorders. Zhurnal Nevrologii i Psikhiatrii imeni S.S. Korsakova. 2017; 117(10-2): 20–23. (In Russ.). doi: 10.17116/jnevro201711710220-23
- Zhou C., Liao L., Sun R. et al. Area postrema syndrome as initial manifestation in neuromyelitis optica spectrum disorder patients: a retrospective study. Rev. Neurol. (Paris). 2021; 177(4): 400–406. doi: 10.1016/j.neurol.2020.07.019
- Shosha E., Dubey D., Palace J. et al. Area postrema syndrome. Frequency, criteria, and severity in AQP4-IgG–positive NMOSD. Neurology. 2018; 91: e1642–e1651. doi: 10.1212/WNL.0000000000006392
- Cohen D.T., Craven C., Bragin I. Ischemic stroke induced area postrema syndrome with intractable nausea, vomiting, and hiccups. Cureus. 2020; 12(6): e8630. doi: 10.7759/cureus.8630
- Vila-Bedmar S., Ostos-Moliz F., Camacho-Salas A. Pediatric multiple sclerosis presenting as area postrema syndrome. Pediatr. Neurol. 2017; 70: 83–84. doi: 10.1016/j.pediatrneurol
- Koh Y.H., Ratnagopal P. Multiple sclerosis with intractable vomiting and atypical area postrema lesion. Mult. Scler. Relat. Disord. 2020; 45: 102348. doi: 10.1016/j.msard.2020.102348
- Zeiner P.S., Brandhofe A., Müller-Eschner M. et al. Area postrema syndrome as frequent feature of Bickerstaff brainstem encephalitis. Ann. Clin. Transl. Neurol. 2018; 5(12): 1534–1542. doi: 10.1002/acn3.666
- Natsis K.S., Kalyvas A., Theochari E. et al. Area postrema syndrome in a patient with brainstem glioblastoma. Acta Neurol. Belg. 2021; 121(4): 1087–1088. doi: 10.1007/s13760-021-01736-9
- Abecassis I.J., Smith T., Chandler J.P. Brain tumors and the area postrema. J. Clin. Neurosci. 2013; 20(12): 1795–1797. doi: 10.1016/j.jocn.2013.01.028
- Zhang W., Cui L., Dong M. et al. Area postrema syndrome: a rare feature of chronic lymphocytic inflammation with pontine perivascular enhancement responsive to steroids. Front. Neurol. 2020. 11: 730. doi: 10.3389/fneur.2020.00730
- Renaldo F., Chalard F., Valence S. et al. Area postrema syndrome as the initial presentation of Alexander disease. Neurology. 2021; 97(11): 548–549. doi: 10.1212/WNL.0000000000012462
- Ghosh R., De K., Roy D. et al. A case of area postrema variant of neuromyelitis optica spectrum disorder following SARS-CoV-2 infection. J. Neuroimmunol. 2020; 350: 577439. doi: 10.1016/j.jneuroim.2020.577439
- Vogrig A., Janes F., Gigli G.L. et al. Acute disseminated encephalomyelitis after SARS-CoV-2 vaccination. Clin. Neurol. Neurosurg. 2021; 208: 106839. doi: 10.1016/j.clineuro.2021.106839
- Fujikawa P., Shah F.A., Braford M. et al. Neuromyelitis optica in a healthy female after severe acute respiratory syndrome coronavirus 2 mRNA-1273 vaccine. Cureus. 2021; 13(9): e17961. doi: 10.7759/cureus.17961
- Andrews P.L.R., Cai W., Rudd J.A., Sanger G.J. COVID-19, nausea, and vomiting. J. Gastroenterol. Hepatol. 2021; 36(3): 646–656. doi: 10.1111/jgh.15261
- Doobay M.F., Talman L.S., Obr T.D. et al. Differential expression of neuronal ACE2 in transgenic mice with overexpression of the brain renin-angiotensin system. Am. J. Physiol. Regul. Integr. Comp. Physiol. 2007; 292(1): R373–R381. doi: 10.1152/ajpregu.00292.2006
- Macdonald N.K., Kaski D., Saman Y. et al. Central positional nystagmus: a systematic literature review. Front. Neurol. 2017; 8: 141. doi: 10.3389/fneur.2017.00141
- De Schutter E., Adham Z.O., Kattah J.C. Central positional vertigo: a clinical-imaging study. Prog. Brain Res. 2019; 249: 345–360. doi: 10.1016/bs.pbr.2019.04.022
- Zhou C., Sui Y., He Y. et al. Isolated central acute vestibular syndrome following nucleus prepositus hypoglossi infarction. Acta Neurol. Belg. 2020; 120: 959–961. doi: 10.1007/s13760-019-01136-0
- Urban P.P., Höltje J. Nucleus tractus spinalis nervi trigemini: Beteiligung bei trigeminalem Zoster. Nervenarzt. 2016; 87(6): 660–661. (In German). doi: 10.1007/s00115-016-0075-3
- Young N.P., Weinshenker B.G., Lucchinetti C.F. Acute disseminated encephalomyelitis: current understanding and controversies. Semin. Neurol. 2008; 28(1): 84–94. doi: 10.1055/s-2007-1019130







