Кортикобазальный синдром как фенотипическое проявление различных нейродегенеративных заболеваний: описание серии случаев
- Авторы: Шпилюкова Ю.А.1, Федотова Е.Ю.1, Иллариошкин С.Н.1
-
Учреждения:
- ФГБНУ «Научный центр неврологии»
- Выпуск: Том 16, № 1 (2022)
- Страницы: 64-70
- Раздел: Клинический разбор
- Статья получена: 26.03.2022
- Статья одобрена: 26.03.2022
- Статья опубликована: 15.01.2022
- URL: https://annaly-nevrologii.com/pathID/article/view/836
- DOI: https://doi.org/10.54101/ACEN.2022.1.9
- ID: 836
Цитировать
Полный текст
Аннотация
Кортикобазальный синдром (КБС) представляет собой вариант атипичного паркинсонизма. В его основе могут лежать как кортикобазальная дегенерация, так и другие протеинопатии, верификация которых возможна только при исследовании специфических биомаркеров. Установление нозологической принадлежности заболевания при КБС необходимо для определения прогноза заболевания и может влиять на выбор патогенетического лечения в силу различий молекулярного патогенеза протеинопатий, вызывающих нейродегенеративные процессы. Представлены 4 клинических случая КБС — у пациентов с 4R-таупатией, болезнью Альцгеймера, лобно-височной деменцией и болезнью Крейтцфельдта–Якоба. Приведены примеры использования доступных инструментальных, генетических и биохимических биомаркеров для проведения дифференциальной диагностики КБС.
Полный текст
Введение
Кортикобазальный синдром (КБС) является одним из вариантов атипичного паркинсонизма и представляет собой комбинацию, как минимум, одного коркового симптома (апраксия, кортикальный сенсорный дефицит, феномен чужой конечности) и, минимум, одного экстрапирамидного симптома (акинезия, мышечная ригидность, дистония, миоклонус) [1]. Данный синдром был впервые описан как классическое клиническое проявление «кортикодентатонигральной дегенерации с нейрональной ахромазией», названной впоследствии кортикобазальной дегенерацией (КБД) [2]. С морфологической точки зрения КБД характеризуется образованием депозитов фосфорилированного 4R-тау белка в нейронах и клетках глии, а позже и в астроцитах специфичных регионов ЦНС [3].
Долгое время считалось, что КБС является патогномоничным проявлением КБД, однако в дальнейшем во многих исследованиях был показан более широкий спектр патологических процессов, лежащих в основе синдрома [4]. Клиническая картина КБС может регистрироваться при атипичных вариантах болезни Альцгеймера (БА) [5], различных фенотипах лобно-височной деменции (ЛВД), прогрессирующем надъядерном параличе (ПНП), прионных заболеваниях, синуклеинопатиях [4]. В основе этих заболеваний лежат различные патологии, которые при наличии нозомодифицирующей терапии будут требовать совершенно разных подходов к лечению. Так, например, в основе КБД и ПНП лежит 4R-таупатия, в основе лобно-височной деменции — 3R-таупатия, TDP-43-таупатия или FET-протеинопатия, а в основе БА — сочетанная патология бета-амилоида и тау-белка.
Дополнительные сложности клинической диагностики КБД связаны с большим фенотипическим разнообразием неврологических проявлений заболевания. В клинических критериях диагностики данного заболевания выделены 4 доминирующих фенотипа КБД:
1) КБС;
2) лобный поведенческо-пространственный синдром (напоминающий поведенческий вариант лобно-височной деменции);
3) первичная прогрессирующая афазия с нарушением беглости речи;
4) синдром ПНП (напоминающий синдром Ричардсона) (табл. 1) [1].
Таблица 1. Клинические фенотипы (синдромы), ассоциированные с патологией по типу КБД [1] / Table 1. Сlinical phenotypes (syndromes) associated with corticobasal degeneration [1]
Синдром Syndrome | Признаки Signs |
Вероятный КБС Probable CBS | Асимметричное проявление двух из следующих признаков: · ригидность или акинезия конечности; · дистония конечности; · миоклонус конечности Плюс два из следующих симптомов: · оробуккальная апраксия или апраксия конечности; · кортикальный сенсорный дефицит; · феномен чужой конечности (более, чем простая левитация) Asymmetrical appearance of two or more of the following signs: · limb rigidity or akinesia; · limb dystonia; · limb myoclonus Plus two of the following symptoms: · orobuccal apraxia or limb apraxia; · cortical sensory deficit; · alien hand syndrome (more than simple levitation) |
Возможный КБС Possible CBS | Может быть симметричным: один из следующих симптомов: · ригидность или акинезия конечности; · дистония конечности; · миоклонус конечности Плюс один из следующих симптомов: · оробуккальная апраксия или апраксия конечности; · кортикальный сенсорный дефицит; · феномен чужой конечности (более, чем простая левитация) May be symmetrical: one of the following symptoms: · limb rigidity or akinesia; · limb dystonia; · limb myoclonus Plus one of the following symptoms: · orobuccal apraxia or limb apraxia; · cortical sensory deficit; · alien hand syndrome (more than simple levitation) |
Лобный поведенческо- пространственный синдром Frontal behavioural-spatial syndrome | Два из следующих симптомов: · нарушение регуляторных функций; · зрительно-пространственные нарушения; · изменения поведения или личности Two of the following symptoms: · impaired regulatory functions: · visuospatial impairments; · changes in behaviour or personality |
Первичная прогрессирующая афазия с нарушением беглости речи Non-fluent variant of primary progressive aphasia | Затруднённая, аграмматичная речь плюс как минимум один из следующих симптомов: · нарушение понимания грамматики/предложений с относительно сохранным пониманием отдельных слов; · нарушенная речевая продукция (апраксия речи) Laboured speech, agrammatism, plus at least one of the following symptoms: · impaired comprehension of grammar/sentences with relatively intact understanding of single words; · impaired speech (speech apraxia) |
Синдром ПНП Progressive suprenuclear palsy syndrome | Три из следующих симптомов: · аксиальная или симметричная ригидность конечностей или акинезия; · постуральная неустойчивость или падения; · недержание мочи; · поведенческие изменения; · надъядерный вертикальный паралич взора или снижение скорости вертикальных саккад Three of the following symptoms: · axial or symmetrical limb rigidity or akinesia; · postural instability or falls; · urinary incontinence; · behavioural changes; · supranuclear vertical gaze palsy or reduced vertical saccade speed |
Данные критерии разработаны в 2013 г. на основании анализа серий морфологически подтверждённых клинических наблюдений КБД и обладают сравнительно невысокими чувствительностью и специфичностью [6]. Следует учитывать, что, согласно указанным критериям, установка диагноза КБД возможна только при отсутствии данных, указывающих на другие возможные заболевания, список которых приведён в табл. 2.
Таблица 2. Критерии исключения КБД при наличии возможного или вероятного диагноза КБС [1] / Table 2. Exclusion criteria for CBD in a probable or possible diagnosis of CBS [1]
Критерий Criterion | Признаки Signs |
Признаки болезни диффузных телец Леви Signs of Lewy body disease | Классический тремор покоя с частотой 4 Гц, хороший и устойчивый эффект на препараты леводопы, галлюцинации Classical resting tremor at a frequency of 4 Hz, good and consistent response to levodopa, hallucinations |
Признаки мультисистемной атрофии Signs of multiple system atrophy | Выраженные вегетативные нарушения, мозжечковый синдром Pronounced autonomic disturbances, cerebellar syndrome |
Признаки бокового амиотрофического склероза Signs of amyotrophic lateral sclerosis | Поражение верхнего и нижнего мотонейрона Upper and lower motor neuron disease |
Семантический или логопенический вариант первичной прогрессирующей афазии Semantic or logopenic form of primary progressive aphasia | |
Структурное фокальное повреждение Structural focal damage | |
Мутации в гене гранулина (GRN), сниженный уровень програнулина плазмы; мутации в генах TDP-43, FUS Mutations in the granulin (GRN) gene; reduced level of plasma progranulin; mutations in the TDP-43 or FUS genes | |
Признаки БА Signs of AD | Сниженное значение соотношения уровня Аβ42 к уровню тау-белка; подтверждение наличия амилоидной патологии по данным позитронно-эмиссионной томографии с питтсбургской субстанцией или другим бета-амилоидным лигандом; генетические мутации, ассоциированные с БА (в генах PSEN1, PSEN2, APP) Reduce ratio of Аβ42 to tau protein levels; presence of amyloid plaques confirmed on positron emission tomography using Pittsburgh compound B or another beta-amyloid ligand; genetic mutations associated with AD (in the PSEN1, PSEN2 or APP genes) |
Отдельной проблемой является широкое перекрывание клинических фенотипов КБД и ПНП: в критериях КБД синдром ПНП описан в качестве одного из возможных клинических фенотипов заболевания, как и в критериях ПНП описан КБС в качестве одного из возможных фенотипов [7]. Несмотря на ряд молекулярных и патогенетических различий [8], оба заболевания представляют собой 4R-таупатии с большим количеством сходных характеристик, включая их клинические варианты [9]. В связи со значительными трудностями клинической дифференциальной диагностики предложен подход, предполагающий объединение КБД и ПНП в группу 4R-таупатий, для которых обсуждается разработка специальных диагностических критериев с целью исследования возможностей создаваемых таргетных препаратов [10].
Анализ русскоязычной литературы показал наличие небольшого количества статей на тему КБС — в основном, описание единичных клинических случаев [11] или обзоры литературы [12, 13]. Небольшая частота встречаемости КБС в клинической практике и недостаточная информированность врачей о различных аспектах заболевания создают значительные трудности диагностики данного клинического синдрома.
Целью настоящей работы является описание гетерогенности КБС и представление серии клинических случаев КБС, в основе которых лежат различные нозологические формы, а также анализ современных подходов к их дифференциальной диагностике.
Материалы и методы
Работа выполнена на базе 5-го неврологического отделения (отделение нейродегенеративных и наследственных заболеваний нервной системы) ФГБНУ «Научный центр неврологии». Проанализирована выборка 33 пациентов с клинически возможным и вероятным диагнозом КБС, установленным на основании действующих диагностических критериев [1]. В работе представлены описания 4 клинических случаев пациентов с клиническим диагнозом КБС, у которых с помощью анализа доступных биомаркеров и дополнительных деталей клинической картины были диагностированы возможная 4R-таупатия (КБД или ПНП), БА, ЛВД и болезнь Крейтцфельдта–Якоба (БКЯ).
Результаты
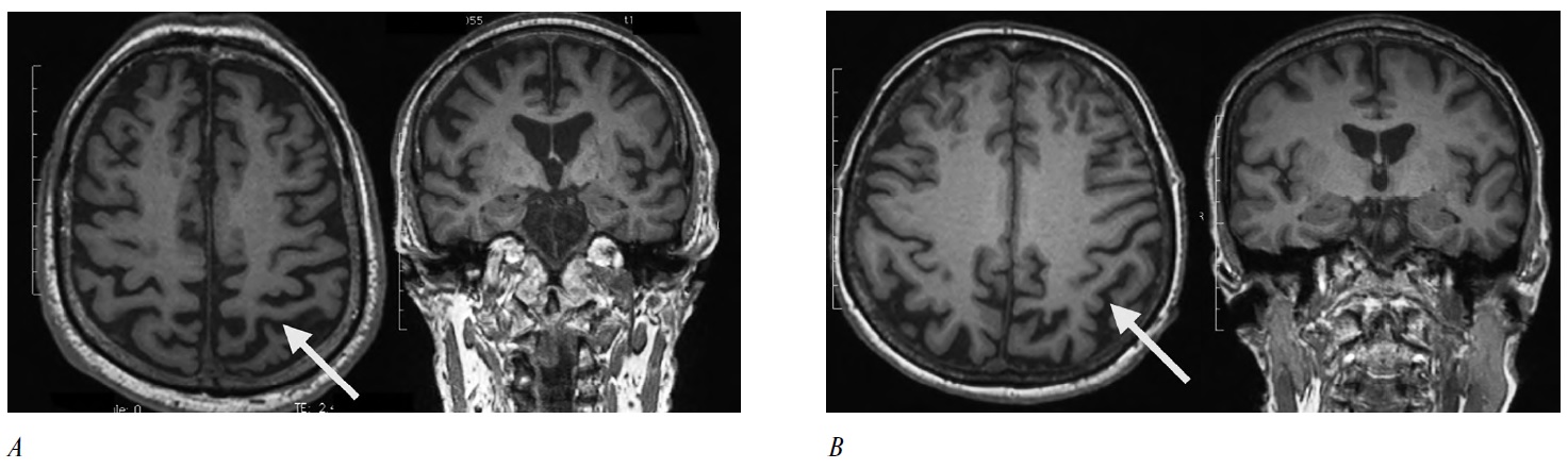
КБС-4R-таупатия. Мужчина, 70 лет. Дебют заболевания в 69 лет, когда появились неловкость в правой ноге и ощущение неустойчивости при ходьбе, пропульсии. Позже присоединилась неловкость в правой руке, нарушился почерк. Приём препаратов леводопы до 750 мг/сут в течение нескольких месяцев — без существенного эффекта. В неврологическом статусе при осмотре через год после дебюта заболевания выявлены глазодвигательные нарушения (нарушения инициации вертикальных саккад, ограничение саккад вверх и снижение их скорости вниз), гипомимия, дизартрофония, выраженное повышение мышечного тонуса в правой руке, брадикинезия при выполнении динамических проб (D > S), постуральные нарушения, застывания при ходьбе, идеомоторная апраксия (D > S). При тестировании по шкалам выявлены умеренные когнитивные нарушения: Адденбрукская шкала — 83/100 баллов, MOCA — 24/30 баллов. При МРТ головного мозга выявлена асимметричная гипотрофия теменной области (рис. 1, А). При люмбальной пункции выявлены нормальные уровни бета-амилоида 1–42 и тау в цереброспинальной жидкости. Нормальные уровни данных маркеров исключают патологию альцгеймеровского типа, а наличие у пациента специфичных глазодвигательных нарушений указывает на нарушение функции рострального интерстициального ядра медиального продольного пучка, что является типичным симптомом ПНП [14]. Таким образом, фенотипы КБС и ПНП часто перекрываются, и в этом случае (как и во многих других аналогичных наблюдениях) клиническая картина не даёт возможности уверенно предположить лежащую в основе синдрома патологию — у данного пациента это может быть как КБД, так и ПНП. Поэтому молекулярный диагноз «4R-таупатии» или «КБС-4R-таупатия» для таких случаев представляется наиболее удобным — особенно с учётом разрабатываемых сегодня таргетных «анти-тау»-препаратов [10].
Рис. 1. МРТ головного мозга пациентов с фенотипом КБС при нормальном соотношении биомаркеров (А) и изменённых биомаркерах (уровень бета-амилоида 1–42 и тау-белка в ЦСЖ — В). Стрелками указаны зоны гипотрофии в теменной области слева (контралатерально клиническим проявлениями) при сохранной области гиппокампа в обоих случаях. / Fig. 1. Brain MRI of patients with the CBS phenotype, the normal ratio (A) and altered biomarkers (β-amyloid 1–42 and tau protein in the CSF — B). Arrows indicate areas of hypotrophy in the left temporal lobe (contralateral to the clinical symptoms), with preserved hippocampus in both cases.
КБС-БА. Женщина, 66 лет. Дебют заболевания в 64 года, когда изменилась чувствительность в правой стопе («как будто приклеили бумагу к стопе»). Через полгода стала отмечать неловкость в правой стопе, появились общая замедленность, неустойчивость, дрожание правой руки и ноги. Через год после дебюта присоединились эпизодические падения. По месту жительства поставлен диагноз болезни Паркинсона. Терапия прамипексолом (3 мг/сут) и амантадином (300 мг/сут) в течение 1,5 лет — без существенного эффекта. При осмотре через 2 года после дебюта выявлена лёгкая мышечная ригидность (D > S), умеренная брадикинезия без декремента амплитуды и скорости (D > S), выраженная идеомоторная апраксия в правой стопе, синкинезии, постуральные нарушения. При оценке когнитивных функций с использованием Адденбрукской шкалы патологии не выявлено (98 баллов), однако при более детальном осмотре нейропсихологом установлены колебания внимания, эмоционально-личностные изменения, снижение слухоречевой памяти в условиях интерференции, изменения в пространственной сфере. Проводилась терапия препаратами леводопы (600 мг/сут) в течение месяца — без эффекта.
При МРТ головного мозга (через 2 года от дебюта) визуализируется гипотрофия левой теменной доли; при этом гипотрофия в области гиппокампов отсутствует (рис. 1, В). При люмбальной пункции выявлен сниженный уровень бета-амилоида 1-42 и повышенный уровень фосфорилированного тау-белка в цереброспинальной жидкости, что, согласно международным исследовательским критериям БА, подтверждает наличие патологии альцгеймеровского типа.
КБС-ЛВД. Женщина, 56 лет. Дебют заболевания в 54 года с постепенного нарастания когнитивных и речевых нарушений, аффективных расстройств, личностных изменений (апатия, инертность, снижение социального интереса). Через полгода появились дрожание в левой руке, изменения аппетита, апраксия в левой руке. Через год после дебюта присоединилась замедленность движений (асимметричная брадикинезия, ригидность, S>D). При осмотре в 56 лет в неврологическом статусе, помимо асимметричного акинетико-ригидного синдрома и апраксии, выявлена дистоническая установка в левой руке. Семейный анамнез не отягощён. При МРТ головного мозга визуализируется асимметричная атрофия лобно-височно-теменных долей, больше справа (рис. 2). При ДНК-диагностике выявлена гетерозиготная мутация в гене GRN. На основании клинической картины и результатов ДНК-диагностики установлен диагноз поведенческого варианта ЛВД. Однако, учитывая наличие ассиметричной ригидности, дистонии и апраксии, её двигательные нарушения могли бы быть классифицированы и как проявления КБС, что хорошо иллюстрирует определённую условность клинических границ между этими фенотипами.
Рис. 2. МРТ головного мозга пациентки с фенотипом КБС в рамках поведенческого варианта ЛВД с выявленной мутацией в гене GRN / Fig. 2. Brain MRI of patient with CBS phenotype as part of behavioral variant of frontotemporal dementia with a mutation in the GRN gene
КБС-БКЯ. Женщина, 58 лет. В возрасте 57 лет появились легкие нарушения речи, аффективные расстройства, нарушения ночного сна. При осмотре через 10 мес после начала болезни в неврологическом статусе обращали на себя внимание лёгкий постуральный тремор рук (D > S), апраксия в руках (трудности при копировании жестов, D > S), когнитивные нарушения (MоCA — 18/30 баллов, Адденбрукская шкала ACE-R — 75/100 баллов). При осмотре через 11 мес после дебюта отмечено значительное нарастание когнитивных нарушений с выраженным нарушением понимания инструкций и появлением заторможенности мышления, нарастание выраженности апраксии в руках (D > S), появление мозжечковых нарушений (динамическая и статико-локомоторная атаксия). При осмотре через 12 мес после дебюта появились глазодвигательные нарушения (ограничение взора вниз), левитация правой руки, синдром чужой руки справа, дистония обеих рук и миоклонии (D > S), галлюцинации; усилилась выраженность когнитивных и речевых нарушений (мутизм).
На МРТ головного мозга (рис. 3) визуализируется повышение интенсивности сигнала в режиме ДВИ в сером веществе коры головного мозга в проекции центральных извилин, височных долей, а также в головках хвостатых ядер. Учитывая комбинацию корковых (апраксия, феномен чужой конечности) и подкорковых нарушений (дистония, миоклонии), согласно критериям M.J. Armstrong и соавт. [1], можно диагностировать у данной пациентки КБС. Однако, учитывая скорость прогрессирования заболевания, типичную клиническую картину (быстропрогрессирующая деменция, мозжечковый синдром, экстрапирамидные нарушения, акинетический мутизм, галлюцинации), а также типичные изменения на МРТ в режиме ДВИ и ЭЭГ (периодические трехфазные острые волны), пациентке был установлен диагноз вероятной спорадической БКЯ [15] (ДНК-диагностика на наличие мутации в гене PRNP дала отрицательный результат).
Рис. 3. МРТ головного мозга (режим ДВИ) пациентки с БКЯ при наличии КБС через 10 (А) и 12 мес (В) после дебюта заболевания. / Fig. 3. Brain MRI (DWI mode) of patient with CJD, presenting with CBS, 10 (A) and 12 (B) months after disease onset.
Обсуждение
Долгое время нейродегенеративные заболевания рассматривались с позиций анализа типичных для них клинических фенотипов. Согласно этому подходу клинические случаи с амнестической деменцией считались синонимом БА, лобно-поведенческий синдром — синонимом ЛВД, а КБС — синонимом КБД. Однако за последние 20 лет, благодаря активному исследованию биомаркеров, клинико-патологическим и генетическим исследованиям, данная область неврологии претерпела значительные изменения, в результате чего стала более очевидна выраженная фенотипическая гетерогенность КБД и разнообразие патологий, сопутствующих клиническому диагнозу КБС (рис. 4). Нейродегенеративные заболевания — церебральные протеинопатии — рассматриваются сегодня в первую очередь с позиций патоморфологии.
В данной работе на примере синдрома КБС мы продемонстрировали его значительную гетерогенность. В последних двух представленных случаях верификации патологического процесса способствовало наличие в клинической картине специфических симптомов в виде поведенческих расстройств при ЛВД (и результат последующей ДНК-диагностики) или стремительное развитие когнитивных и психиатрических симптомов при БКЯ. Однако чаще всего КБС является клинической манифестацией КБД или БА, при этом их дифференцирование на основании только клинической картины, как правило, невозможно [5].
На основании анализа серии случаев предпринимались попытки выделить более характерные для КБС-БА клинические характеристики [5]. Так, например, описано, что в случаях КБС-БА чаще встречаются миоклонии, апраксия одевания, снижение памяти, более низкий балл по шкале MMSE, кортикальный сенсорный дефицит, зрительно-пространственные трудности, неглект-синдром, отсутствие выраженной ригидности в конечностях [5]. При этом наблюдается более длительное течение заболевания по сравнению с КБД [5]. Характерно, что при анализе структурной МРТ наших пациентов с диагнозами КБС-БА и КБС-4R-таупатия (рис. 1) не выявлено специфики — у обоих определяется лишь асимметричная атрофия теменной области (у пациента с КБС-4R-таупатией атрофический процесс более распространённый, с вовлечением лобной области), при этом гиппокампы в обоих случаях сохранны. Это соответствует данным литературы: в случаях КБС-БА обычно описывается латерализованная височно-теменная атрофия, а для КБД характерно вовлечение задних отделов лобных долей [5]. Однако достоверно развести два этих состояния можно только на основании анализов биомаркеров — уровня бета-амилоида 1–42 и фосфорилированного тау-белка в цереброспинальной жидкости, при этом данный анализ не способен выявлять сочетанные формы патологии [5].
Заключение
КБС представляет собой гетерогенный клинический синдром, в основе которого может лежать большое количество патологических процессов. Определение вероятных морфологических изменений на основании изолированной клинической картины, как правило, невозможно ввиду широкого фенотипического перекрывания КБС с другими заболеваниями, такими как ПНП, БА, ЛВД, прионные заболевания и др. С целью уточнения патологического процесса требуется анализ биомаркеров заболевания, таких как данные нейровизуализации, ДНК-варианты генов риска, содержание бета-амилоида 1–42 и тау-балка в ликворе и др.).
Об авторах
Юлия Александровна Шпилюкова
ФГБНУ «Научный центр неврологии»
Автор, ответственный за переписку.
Email: annaly-nevrologii@neurology.ru
ORCID iD: 0000-0001-7214-583X
к.м.н., м.н.с., врач-невролог, 5-е неврологическое отделение
Россия, МоскваЕкатерина Юрьевна Федотова
ФГБНУ «Научный центр неврологии»
Email: annaly-nevrologii@neurology.ru
ORCID iD: 0000-0001-8070-7644
д.м.н., рук. 5-го неврологического отделения
Россия, МоскваСергей Николаевич Иллариошкин
ФГБНУ «Научный центр неврологии»
Email: annaly-nevrologii@neurology.ru
ORCID iD: 0000-0002-2704-6282
д.м.н., проф., член-корр. РАН, зам. директора по научной работе, рук. отдела исследований мозга
Россия, МоскваСписок литературы
- Armstrong M.J., Litvan I., Lang A.E. et al. Criteria for the diagnosis of corticobasal degeneration. Neurology. 2013;80(5):496–503. doi: 10.1212/WNL.0b013e31827f0fd1. PMID: 23359374.
- Gibb W.R.G., Luthert P.J., Marsden C.D. Corticobasal degeneration. Brain. 1989;112(5):1171–1192. doi: 10.1093/brain/112.5.1171. PMID: 2478251.
- Dickson D.W., Bergeron C., Chin S.S. et al. Office of rare diseases neuropathologic criteria for corticobasal degeneration. J Neuropathol Exp Neurol. 2002;61(11):935–946. doi: 10.1093/jnen/61.11.935. PMID: 12430710.
- Ling H., O’Sullivan S.S., Holton J.L. et al. Does corticobasal degeneration exist? A clinicopathological re-evaluation. Brain. 2010;133(7):2045–2057. doi: 10.1093/brain/awq123. PMID: 20584946.
- Hassan A., Whitwell J.L., Josephs K.A. The corticobasal syndrome-Alzheimer’s disease conundrum. Exp Rev Neurother. 2011;11(11): 1569–78. doi: 10.1586/ern.11.153. PMID: 22014136.
- Boyd C., Tierney M., Wassermann E. et al. Sensitivity and specificity of new criteria for the diagnosis of corticobasal degeneration. Neurology. 2015;84(14 Supplement):P5.010. URL: https://n.neurology.org/content/84/14_supplement/ p5.010
- Höglinger G.U., Respondek G., Stamelou M. et al. Clinical diagnosis of progressive supranuclear palsy: The movement disorder society criteria. Mov Disord. 2017;32(6):853–864. doi: 10.1002/mds.26987. PMID: 28467028.
- Ling H., Macerollo A. Is it useful to classify PSP and CBD as different disorders? Yes. Mov Disord Clin Pract. 2018;5(2):145–148. doi: 10.1002/mdc3.12581. PMID: 30363457.
- Höglinger G.U. Is it useful to classify progressive supranuclear palsy and corticobasal degeneration as different Disorders? No. Mov Disord Clin Pract. 2018;5(2):141–144. doi: 10.1002/mdc3.12582. PMID: 30363409.
- Respondek G., Grimm M.J., Piot I. et al. Validation of the movement disorder society criteria for the diagnosis of 4-repeat tauopathies. Mov Disord. 2020;35(1):171–176. doi: 10.1002/mds.27872. PMID: 31571273.
- Федотова Е.Ю., Чечеткин А.О., Иванова-Смоленская И.А., Иллариошкин С.Н. Cлучай прогрессирующего надъядерного паралича с кортикобазальным синдромом. Нервные болезни. 2009;(2):38–43.
- Васенина ЕЕ, Левин ОС. Современные подходы к клинической диагностике и лечению мультисистемных дегенераций, связанных с накоплением тау-протеина. Журнал неврологии и психиатрии имени СС Корсакова. 2020;120(2):22–30. doi: 10.17116/jnevro202012010222. PMID: 33205927.
- Доронина О.Б., Афтанас Л.И., Доронина К.С. Гетерогенность клинических проявлений и биомаркеры атипичного паркинсонизма. Нервные болезни. 2017;(2):35–39.
- Белякова-Бодина А.И., Бриль Е.В., Зимнякова О.С. и др. Видеонистагмография в диагностике глазодвигательных нарушений. Анналы клинической и экспериментальной неврологии. 2017;11(4):52–64.
- Zerr I., Kallenberg K., Summers D.M. et al. Updated clinical diagnostic criteria for sporadic Creutzfeldt–Jakob disease. Brain. 2009;132(10):2659–2668. doi: 10.1093/brain/awp191. PMID: 19773352.








