Спектроскопический анализ особенностей метаболического профиля у пациентов при обострении рассеянного склероза
- Авторы: Шкильнюк Г.Г.1, Богдан А.А.1, Крюкова Е.В.1, Петров А.М.1, Трофимова Т.Н.1, Столяров И.Д.1
-
Учреждения:
- ФГБУН «Институт мозга человека имени Н.П. Бехтеревой» Российской академии наук
- Выпуск: Том 16, № 4 (2022)
- Страницы: 12-17
- Раздел: Оригинальные статьи
- Статья получена: 25.04.2022
- Статья одобрена: 01.06.2022
- Статья опубликована: 23.12.2022
- URL: https://annaly-nevrologii.com/pathID/article/view/841
- DOI: https://doi.org/10.54101/ACEN.2022.4.2
- ID: 841
Цитировать
Полный текст
Аннотация
Введение. Для пациентов с ремиттирующим типом течения рассеянного склероза (РРС) характерно возникновение обострений, представляющих собой эпизоды неврологического дефицита и требующих уточнения тактики лечения.
Целью данного спектроскопического исследования было выявление обратимых метаболических изменений в веществе головного мозга у пациентов при клиническом обострении РРС и последующее динамическое наблюдение за ними после курса терапии внутривенными глюкокортикостероидами (ВГКС).
Материалы и методы. Пациентам c РРС проведено комплексное неврологическое и нейровизуализационное обследование, включающее оценку по расширенной шкале инвалидизации (EDSS), стандартную магнитно-резонансную томографию (МРТ) головного мозга, протонную магнитно-резонансную спектроскопию (1H-МРС) до и после терапии ВГКС. Для получения метаболических показателей области семиовальных центров и поясных извилин применяли мультивоксельную 1H-MРС.
Результаты. Показатели относительной концентрации метаболитов, полученные при помощи мультивоксельной 1H-MРС в сером и белом веществе головного мозга, статистически различались внутри исследуемой когорты пациентов до и после терапии ВГКС. У 27% пациентов наблюдалось значительное восстановление соотношения N-ацетиласпартат/холин и снижение соотношения холин/креатин в передних половинах поясных извилин. В подгруппе пациентов с описанным метаболическим ответом на терапию отмечено значительное улучшение неврологических показателей по функциональной шкале стволовых функций по сравнению с группой, не показавшей метаболического ответа.
Выводы. Изучение потенциальных предикторов активности РРС и ответа на терапию ВГКС необходимо для выделения подгруппы обострений РРС, безусловно требующих пульс-терапии глюкокортикостероидными гормонами. Специфическая для РРС неоднородность патогенеза заболевания может проявляться в спектроскопическом профиле пациентов и выявляться раньше, чем на стандартной МРТ.
Полный текст
Введение
Рассеянный склероз (РС) — хроническое иммуноопосредованное воспалительно-дегенеративное заболевание центральной нервной системы. Ключевой характеристикой большинства пациентов с ремиттирующим типом течения РС (РРС) является возникновение обострений, представляющих собой эпизоды неврологического дефицита, за которыми следуют периоды ремиссии [1].
Обострение РС должно быть тщательно подтверждено, другие причины неврологического дефицита, в том числе псевдообострения, исключены [2]. В настоящее время стандартом лечения обострений РС, ассоциированных с выраженным неврологическим ухудшением, является внутривенное введение глюкокортикостероидных гормонов (ВГКС) в высоких дозах [3].
Активность течения РС тесно связана с образованием новых очагов поражения в центральной нервной системе, которые включают сложную последовательность воспалительных, дегенеративных и репаративных процессов. Несмотря на то что магнитно-резонансная томография (МРТ) может дать «количественную» оценку активности заболевания и используется для мониторинга эффективности терапии, рентгенологическая картина не всегда коррелирует с клиническими проявлениями обострений. Кроме того, МРТ-оценка лимитирована в случае тонких, связанных с заболеванием изменений в структурно неизменённом белом и сером веществе головного мозга (ГМ). Протонная магнитно-резонансная спектроскопия (1H-МРС) обладает уникальным потенциалом для характеристики изменений концентраций тканевых метаболитов при поражении ГМ, в некоторых случаях — даже в отсутствие области поражения на стандартных структурных МРТ-изображениях [4, 5]. Этот потенциал можно использовать для улучшения диагностики, более детального изучения патогенеза заболевания и мониторинга метаболического ответа на терапию.
Метаболитами, наиболее значимыми для спектроскопического исследования, являются N-ацетиласпартат (NAA), холин (Cho) и креатин (Cr) [6]. При РС метод 1H-МРС оказывается особенно информативным, поскольку позволяет на основе резонансной интенсивности NAA объективно оценить процессы нейродегенерации как в поражённых, так и в непоражённых тканях ГМ, начиная с самых ранних стадий течения заболевания. Спектроскопическое измерение холинсодержащих соединений позволяет получить информацию о повреждении и восстановлении мембран клеток ГМ [6, 7].
В нашем исследовании использован мультивоксельный подход, позволивший улучшить пространственное разрешение в сравнении с одновоксельной МРС. Анализ проводился в двух анатомических срезах ГМ (перивентрикулярный срез: перивентрикулярное белое вещество, в основном область семиовального центра; наджелудочковый срез: поясные извилины). Указанная область спектроскопического анализа выбрана на основе предварительных результатов исследования и ранее опубликованных данных [8]. Проведена спектроскопическая оценка концентраций NAA (маркер целостности нейронов и их отростков, входит в состав миелина), Cr (отражает метаболизм аденозинтрифосфата), Cho и холинсодержащих соединений (маркеры метаболизма клеточных мембран).
Целью настоящего спектроскопического исследования было выявление особенностей метаболических изменений в ГМ у пациентов с клиническим обострением РС и проведение последующего анализа выявленных изменений после лечения высокими дозами ВГКС.
Материалы и методы
Одиннадцать пациентов с клинически определённым РРС набраны проспективно для сканирования и полного обследования с помощью МРТ и 1H-MРС до и после ВГКС (10-дневный период между исследованиями). Все пациенты дали информированное письменное согласие; план исследования был одобрен Этическим комитетом Института мозга человека РАН. Пациенты в течение минимум 12 мес до настоящего обострения находились на стабильной патогенетической терапии РС первой линии без обострений (как клинических, так и радиологических). Обострение РС клинически оценивали как усиление неврологического дефицита: не менее чем на 2 балла на основе одной из функциональных систем или не менее чем на 1 балл на основе 2 функциональных систем и/или не менее чем на 1 балл общей инвалидизации по шкале EDSS, когда исходное значение EDSS было менее 4,0 или не менее 0,5 при начальном EDSS 4,0 и выше. В исследование включены пациенты с активными очагами и исключительно с контраст-негативными очагами по данным МРТ-исследования.
Оценка по EDSS, наличие патологии функциональных систем (зрительная, пирамидная, чувствительная, мозжечковая, стволовая, тазовые органы и когнитивная), а также индекс передвижения были оценены в пределах 1–2 дней до проведения МРТ и 1H-МРС.
МРТ и 1H-МРС выполнялись на аппарате «Philips Achieva 3T» («Philips»).
Структурное МРТ-обследование включало Т1- и Т2-взвешенные последовательности, T2-FLAIR в аксиальной и сагиттальной проекциях, диффузионно-взвешенные изображения и SWI импульсную последовательность. Для исключения активного процесса демиелинизации и визуализации очаговых изменений, накапливающих контрастное вещество, пациентам внутривенно болюсно вводили магневист («Bayer Pharma AG») и выполняли постконтрастное исследование.
1H-МРС проводили с использованием 8-канальной приёмо- передающей матричной радиочастотной головной катушки. 1H-МРС суправентрикулярных отделов белого вещества и медиальной коры лобных и теменных долей выполняли с использованием метода объёма-селекции Spin Echo (TE = 27 мс, TR = 2000 мс, 2 среза по 10 × 10 × 15 мм). Область интереса (FOV 220 × 190 × 30 мм) была не менее 100 × 80 мм), включая белое и серое вещество полушарий ГМ. Восемь полос REST (REgional Saturation Technique) применяли для подавления сигнала от жира костей черепа, протокол включал автоматические процедуры шиммирования «Pencil Beam» («PB-auto») и подавления сигнала доминирующего пика воды «excitation» (window = 140 Гц; second pulse angle = 300). Для анализа данных использовали программное обеспечение «Extended MR Workspace». Для оценки были выбраны воксели с FWHM < 0,1 для пиков воды и целевых метаболитов.
Мультивоксельная 1H-МРС включала 2 среза: перивентрикулярное белое вещество семиовального центра, лобной и теменной медиальной коры и суправентрикулярную медиальную кору лобных долей.
Для обработки данных спектроскопии применяли стандартный пакет программ «SpectroView». Из анализа были исключены воксели области боковых желудочков, содержащие ликвор. Результаты представлены в виде соотношений метаболитов следующим образом: NAA к Cr, NAA к Cho, Cho к Cr.
Для представления исходных характеристик пациентов использовалась описательная статистика. Статистический анализ проведён с использованием программы «SPSS 26.0» («SPSS Inc.»). Результаты обрабатывали с использованием непараметрических тестов и точного критерия Фишера. Для зависимых переменных использовали знаковый ранговый критерий Вилкоксона. Статистически значимыми считали различия при р < 0,05.
Результаты
Для купирования обострения пациенты получали лечение высокими дозами ВГКС (метилпреднизолон, 1000 мг внутривенно в течение 5 дней). Среднее время от начала обострения до начала лечения составило 3 дня (диапазон 1–11 дней).
В ходе исследования проведён анализ относительных концентраций метаболитов (NAA/Cho и Cho/Cr) в сером веществе (область поясных извилин) и перивентрикулярном белом веществе ГМ до и после терапии ВГКС. После курса лечения статистически значимое увеличение значений NAA/Cho и снижение Cho/Cr выявлено у 3 (27%) пациентов (рис. 1–4, таблица) в области поясных извилин. Интересно, что после лечения отношение Cho/Cr в перивентрикулярном срезе статистически значимо снизилось только у 1 пациента с метаболическим ответом на уровне поясных извилин.
Рис. 1. Динамика спектроскопической оценки NAA/Cho до и после терапии ВГКС (медиана) в поясных извилинах в подгруппе пациентов, показавших метаболический ответ.
Fig. 1. NAA/Cho spectroscopic assessment before and after the IVGC treatment (median) in the cingulate gyri in the metabolic response group.
Рис. 2. Динамика спектроскопической оценки Cho/Cr до и после терапии ВГКС (медиана) в поясных извилинах в подгруппе пациентов, показавших метаболический ответ.
Fig. 2. Cho/Cr spectroscopic assessment before and after the IVGC treatment (median) in the cingulate gyri in the metabolic response group.
Рис. 3. Метаболический профиль серого вещества поясных извилин пациентов с РРС.
Fig. 3. The metabolic profile of the cingulate gyri grey matter in the RMS patients.
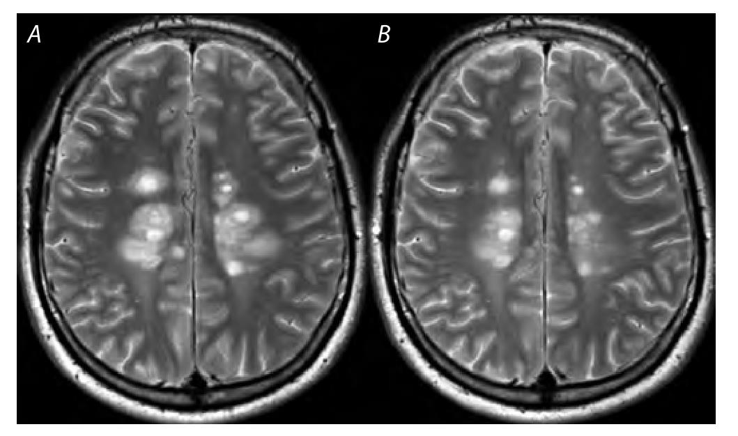
Рис. 4. Пациент С.
A — до терапии ВГКС: T2WI, множественные очаги демиелинизирующей природы с выраженным перифокальным отёком в белом веществе лобных и теменных долей; B — после терапии ВГКС: выраженный регресс нескольких ранее обнаруженных патологических очагов.
Fig. 4. Patient S.
A — before the IVGC treatment: T2WI, multiple peripherally edematic demyelination foci in the frontal and parietal white matter; B — after the IVGC treatment: significant regression in several previously detected lesions.
Динамика спектроскопической оценки NAA/Cho и Cho/Cr до и после терапии ВГКС в поясных извилинах
NAA/Cho and Cho/Cr spectroscopic assessment before and after the IVGC treatment in the cingulate gyri
Пациент Patient | Динамика концентрации метаболитов Metabolite concentration changes over time | Медиана (Q1; Q3) Median (Q1; Q3) | р |
Г.В. | GV | NAA/Cho2–NAA/Cho1 | 0,1448 (–0,0525; 0,2099) | 0,010 |
Cho/Cr2–Cho/Cr1 | –0,0600 (–0,1000; –0,0150) | 0,005 | |
A.И. | AI | NAA/Cho2–NAA/Cho1 | 0,1678 (0,0195; 0,2327) | 0,005 |
Cho/Cr2–Cho/Cr1 | –0,0349 (–0,0566; –0,0259) | 0,005 | |
П.A. | PA | NAA/Cho2–NAA/Cho1 | 0,2378 (0,0041; 0,4394) | 0,028 |
Cho/Cr2–Cho/Cr1 | –0,1366 (–0,2008; –0,0396) | 0,008 |
На основании данных МРС мы разделили исследуемых пациентов на две подгруппы с положительным и отрицательным метаболическим ответом на терапию ВГКС. Между этими подгруппами не наблюдалось различий по возрасту, полу, продолжительности заболевания от времени постановки диагноза, наличию активных очагов на МРТ. Клиническая картина (оценивалась с помощью шкалы EDSS) улучшалась после курса ВГКС: медиана 3,5 (2,0–5,5) до терапии и 2,5 (1,5–4,5) после терапии. Однако корреляция между данными EDSS и уровнями исследуемых метаболитов до и после терапии была относительно слабой.
В исследуемых подгруппах пациентов уровни холина (Naa/Cho, Cho/Cr) до терапии были статистически достоверно разными (р < 0,05). В подгруппе пациентов с положительным метаболическим ответом наблюдалось статистически значимое улучшение неврологических показателей по функциональной шкале стволовых функций (FS brainstem) по сравнению с подгруппой с отсутствием метаболического ответа.
Следует отметить, что у 1 пациента из группы с метаболическим ответом на ВГКС на T2-МРТ-изображениях при МРС наблюдалось значительное уменьшение объёма нескольких обнаруженных до терапии очагов и умеренное восстановление (снижение) интенсивности пика холина (рис. 4). Большинство описанных случаев метаболических ответов представлены у пациентов с РРС с клинически подтверждённым обострением, но отсутствием контраст-позитивных T1-очагов на МРТ.
Обсуждение
Клиническая и нейровизуализационная картины обострений при РС не всегда коррелируют между собой, тем не менее МРТ отводится важная роль в диагностике РС [9]. Данные МРС могут дополнять МРТ-диагностику путём одновременного определения нескольких биохимических маркеров патологических изменений в период обострения РС в пределах и за пределами T2-видимых очагов [10].
Учитывая, что метаболические нарушения у пациентов с РС не ограничиваются участками поражения, а имеют диффузный характер [11, 12], нами был выполнен мультивоксельный МРС-анализ с оценкой показателей в сером и белом веществе ГМ. Более того, исследуемая группа была представлена пациентами с клинически подтверждённым обострением РРС, но включение в группу не ограничивалось наличием у пациентов контраст-позитивных T1-МРТ-очагов.
Важно отметить, что реализованный метод объём-селекции Spin Echo позволил за сравнительно короткое время (11 мин) просканировать основную часть лобных и теменных долей (2 спектроскопических среза ГМ по 1,5 см каждый) с коротким временем TE = 27 мс.
В нашем исследовании показано диффузное изменение относительных концентраций метаболитов, оценённых с помощью мультивоксельной МРС в сером (NAA/Cho и Cho/Cr) и белом (Cho/Cr) веществе ГМ, данные показатели статистически различались внутри исследуемой группы пациентов. Примерно у трети пациентов после терапии ВГКС наблюдалось значительное восстановление соотношения NAA/Cho и снижение Cho/Cr в области поясных извилин, а у одного из них — снижение соотношения Cho/Cr в белом веществе перивентрикулярного среза.
При сравнении соотношения NAA/Cr до и после лечения ВГКС статистически значимых различий не обнаружено, т.к., по-видимому, изменения вызваны, главным образом, снижением уровня холина. Это согласуется с ранее опубликованными данными, указывающими на то, что соотношение NAA/Cr в очагах РС снижается в острый период обострения и восстанавливается в течение нескольких недель и даже месяцев [13].
В предыдущих исследованиях сообщалось о возрастании соотношения Cho/Cr в активных (гадолиний-позитивных) очагах при РС [14, 15]. Относительная концентрация холина может служить характеристикой уровня мембранных фосфолипидов, выделяющихся при активном процессе демиелинизации и ремиелинизации, и отражать плотность задействованных в воспалении клеток и клеток глии, участвующих в процессах репарации [16, 17].
В нашем исследовании выявлены пациенты, у которых в ответ на терапию ВГКС отношение Cho/Cr как в наджелудочковом, так и в перивентрикулярном срезах значительно снижалось. Учитывая диффузный характер метаболических изменений в ГМ пациентов с РРС, в анализ данных МРС были включены гадолиний-позитивные и гадолиний-негативные очаги, а также структурно неизменённое белое и серое вещество ГМ (исходя из данных структурных МРТ-снимков). Кроме того, в каждой подгруппе (с описанным метаболическим ответом и с его отсутствием) были пациенты как с гадолиний-позитивными, так и с исключительно гадолиний-негативными очагами, а также с разными уровнями относительных концентраций метаболитов (NAA/Cho и Cho/Cr) в сером веществе ГМ до терапии ВГКС. Полагаем, что эти данные имеют значительный потенциал для будущих исследований на расширенной когорте пациентов уровня холина в течение нескольких месяцев после терапии ВГКС.
Согласно ранее опубликованным данным, холин считается биомаркером метаболизма клеточных мембран, повышение которого опережало возможности обнаружения очагов при стандартном МРТ-исследовании на Т2 и Т2-FLAIR импульсных последовательностях структурных изображений. Предполагается, что в неизменённом белом веществе ГМ может иметь место воспаление, не видимое на МРТ, предшествующее образованию очага. 1 H-МРС способна выявлять увеличение интенсивности пика холина на самых ранних фазах патологического процесса [18, 19]. Таким образом, оценка метаболического профиля вещества ГМ у пациентов с РС позволяет персонализировать терапию обострений РРС у пациентов и предотвратить повреждение тканей за счёт ослабления эффектов воспаления.
Современные предикторы, основанные на клинических данных [20] или данных МРТ [21], могут быть полезны для оценки инвалидизации, но имеют ограниченную специфичность при характеристике и количественной оценке патологических изменений при РРС [12, 22].
В настоящее время высокие дозы ВГКС являются терапией первой линии при обострениях РС, их своевременное назначение позволяет сократить продолжительность и выраженность обострения. Однако лечение обострений ВГКС не оказывает влияния на течение самого заболевания. Предполагается, что полученные результаты позволят избежать излишнего назначения ВГКС [23].
Предикторы активности заболевания и ответа на терапию обострений могут быть полезны для оценки степени необходимости терапии ВГКС, возможности избежать побочных эффектов. Ранее было предпринято несколько попыток найти связь между соотношением концентраций метаболитов и показателями инвалидизации при РС [24, 25]. В нашей работе корреляция между одновременной оценкой по шкале инвалидизации EDSS и уровнем исследуемых метаболитов была относительно слабой. При этом в подгруппе пациентов с метаболическим ответом наблюдалось значительное улучшение показателей по функциональной шкале стволовых функций по сравнению с референтной подгруппой.
В подгруппе пациентов с положительным метаболическим ответом на терапию ВГКС выявлено значительное увеличение соотношения концентраций NAA/Cho после лечения по сравнению с исходным измерением, что, по нашему мнению, может свидетельствовать о положительном ответе на лечение. Стандартное структурное МРТ-исследование не даёт чёткой корреляции с клинической оценкой инвалидизации при РС. По данным литературы, корреляция между объёмом поражения Т2 и изменением балла по шкале EDSS наиболее очевидна в первом пятилетнем периоде заболевания и отсутствует в четвертом и в дальнейшем. Вероятно, механизмы, приводящие к прогрессированию инвалидизации, могут изменяться со временем [26], и стандартных методов визуализации недостаточно для объяснения всего спектра патогенеза заболевания и причин формирования очагов поражения в центральной нервной системе [27]. Поскольку метаболические изменения могут предшествовать структурно-анатомическим, протонная МРС позволяет значительно улучшить понимание патогенеза РС и обеспечить мониторинг эффективности лечения.
Источник финансирования. Авторы заявляют об отсутствии внешних источников финансирования при проведении исследования.
Конфликт интересов. Авторы декларируют отсутствие явных и потенциальных конфликтов интересов, связанных с публикацией настоящей статьи.
Об авторах
Галина Геннадьевна Шкильнюк
ФГБУН «Институт мозга человека имени Н.П. Бехтеревой» Российской академии наук
Email: galinakima@mail.ru
ORCID iD: 0000-0001-7175-668X
к.м.н., н.с. лаб. нейроиммунологии
Россия, 197376, Санкт-Петербург, ул. Академика Павлова, д. 9Андрей Александрович Богдан
ФГБУН «Институт мозга человека имени Н.П. Бехтеревой» Российской академии наук
Email: andrey@ihb.spb.ru
ORCID iD: 0000-0002-2836-1516
к.м.н., н.с. лаб. cтереотаксических методов
Россия, 197376, Санкт-Петербург, ул. Академика Павлова, д. 9Елена Владимировна Крюкова
ФГБУН «Институт мозга человека имени Н.П. Бехтеревой» Российской академии наук
Email: eldementyeva@gmail.com
ORCID iD: 0000-0002-5395-9931
к.м.н., невролог Центра рассеянного склероза
Россия, 197376, Санкт-Петербург, ул. Академика Павлова, д. 9Андрей Михайлович Петров
ФГБУН «Институт мозга человека имени Н.П. Бехтеревой» Российской академии наук
Email: apetrov@ihb.spb.ru
ORCID iD: 0000-0001-9648-5492
к.м.н., ведущий эксперт лаб. нейровизуализации
Россия, 197376, Санкт-Петербург, ул. Академика Павлова, д. 9Татьяна Николаевна Трофимова
ФГБУН «Институт мозга человека имени Н.П. Бехтеревой» Российской академии наук
Email: TTrofimova@sogaz-clinic.ru
ORCID iD: 0000-0003-4871-2341
д.м.н., проф., в.н.с. лаб. нейровизуализации
Россия, 197376, Санкт-Петербург, ул. Академика Павлова, д. 9Игорь Дмитриевич Столяров
ФГБУН «Институт мозга человека имени Н.П. Бехтеревой» Российской академии наук
Автор, ответственный за переписку.
Email: sid@ihb.spb.ru
ORCID iD: 0000-0001-8154-9107
https://ihb.spb.ru/staff/i-stolyarov
д.м.н., проф., рук. Центра рассеянного склероза
Россия, 197376, Санкт-Петербург, ул. Академика Павлова, д. 9Список литературы
- Goodin D.S., Reder A.T., Bermel R.A. et al. Relapses in multiple sclerosis: Relationship to disability. Mult. Scler. Relat. Disord. 2016; 6: 10–20. doi: 10.1016/j.msard.2015.09.002
- Bevan C., Gelfand J.M. Therapeutic management of severe relapses in multiple sclerosis. Curr. Treat. Options Neurol. 2015; 17(4): 345. doi: 10.1007/s11940-015-0345-6
- Гусев Е.И., Бойко А.Н., Столяров И.Д. Рассеянный склероз. М.; 2015. 448 с. Gusev E.I., Boiko A.N., Stolyarov I.D. Multiple sclerosis. Moscow; 2015. 448 p. (In Russ.)
- Rovaris M., Comi G., Filippi M. The role of non-conventional MR techniques to study multiple sclerosis patients. J. Neurol. Sci. 2001; 186(Suppl 1): S3–S9. doi: 10.1016/s0022-510x(01)00485-3
- Sajja B.R., Wolinsky J.S., Narayana P.A. Proton magnetic resonance spectroscopy in multiple sclerosis. Neuroimaging Clin. N. Am. 2009; 19(1): 45–58. doi: 10.1016/j.nic.2008.08.002
- Tartaglia M.C., Narayanan S., De Stefano N. et al. Choline is increased in prelesional normal appearing white matter in multiple sclerosis. J. Neurol. 2002; 249(10): 1382–1390. doi: 10.1007/s00415-002-0846-6
- Chard D.T., Griffin C.M., McLean M.A. et al. Brain metabolite changes in cortical grey and normal-appearing white matter in clinically early relapsing- remitting multiple sclerosis. Brain. 2002; 125(Pt 10): 2342–2352. doi: 10.1093/brain/awf240
- Bogdan A.A., Kataeva G.V., Khomenko J.G. et al. Diagnostic value of short and long echo time in H-1-MRS for patients with multiple sclerosis. Appl. Magnet. Reson. 2017; 48: 707–714. doi: 10.1007/s00723-017-0900-2
- Lublin F.D., Reingold S.C., Cohen J.A. et al. Defining the clinical course of multiple sclerosis: the 2013 revisions. Neurology. 2014; 83(3): 278–286. doi: 10.1212/WNL.0000000000000560
- Arnold D.L., Wolinsky J.S., Matthews P.M., Falini A. The use of magnetic resonance spectroscopy in the evaluation of the natural history of multiple sclerosis. J. Neurol. Neurosurg. Psychiatry. 1998; 64(Suppl 1): S94–S101.
- Sarchielli P., Presciutti O., Pelliccioli G.P. et al. Absolute quantification of brain metabolites by proton magnetic resonance spectroscopy in normal-appearing white matter of multiple sclerosis patients. Brain. 1999; 122 (Pt 3): 513–521. doi: 10.1093/brain/122.3.513
- Llufriu S., Kornak J., Ratiney H. et al. Magnetic resonance spectroscopy markers of disease progression in multiple sclerosis. JAMA Neurol. 2014; 71(7): 840–847. doi: 10.1001/jamaneurol.2014.895
- Narayana P.A., Doyle T.J., Lai D., Wolinsky J.S. Serial proton magnetic resonance spectroscopic imaging, contrast-enhanced magnetic resonance imaging, and quantitative lesion volumetry in multiple sclerosis. Ann. Neurol. 1998; 43(1): 56–71. doi: 10.1002/ana.410430112
- De Stefano N., Matthews P.M., Antel J.P. et al. Chemical pathology of acute demyelinating lesions and its correlation with disability. Ann. Neurol. 1995; 38(6): 901–909. doi: 10.1002/ana.410380610
- Schocke M.F., Berger T., Felber S.R. et al. Serial contrast-enhanced magnetic resonance imaging and spectroscopic imaging of acute multiple sclerosis lesions under high-dose methylprednisolone therapy. Neuroimage. 2003; 20(2): 1253–1263. doi: 10.1016/S1053-8119(03)00409-9
- Brenner R.E., Munro P.M., Williams S.C. et al. The proton NMR spectrum in acute EAE: the significance of the change in the Cho:Cr ratio. Magn. Redon. Med. 1993; 29(6): 737–745. doi: 10.1002/mrm.1910290605
- Bitsch A., Bruhn H., Vougioukas V. et al. Inflammatory CNS demyelination: histopathologic correlation with in vivo quantitative proton MR spectroscopy. Am. J. Neuroradiol. 1999; 20(9): 1619–1627.
- Narayana P.A. Magnetic resonance spectroscopy in the monitoring of multiple sclerosis. J. Neuroimaging. 2005; 15(4 Suppl): 46S–57S. doi: 10.1177/1051228405284200
- De Stefano N., Filippi M., Miller D. et al. Guidelines for using proton MR spectroscopy in multicenter clinical MS studies. Neurology. 2007; 69(20): 1942–1952. doi: 10.1212/01.wnl.0000291557.62706.d3
- Degenhardt A., Ramagopalan S.V., Scalfari A., Ebers G.C. Clinical prognostic factors in multiple sclerosis: a natural history review. Nat. Rev. Neurol. 2009; 5(12): 672–682. doi: 10.1038/nrneurol.2009.178
- Arnold D.L., Matthews P.M. MRI in the diagnosis and management of multiple sclerosis. Neurology. 2002; 58(8 Suppl 4): S23–S31. doi: 10.1212/wnl.58.8_suppl_4.s23
- Filippi M., Agosta F. Imaging biomarkers in multiple sclerosis. J. Magn. Reson. Imaging. 2010; 31(4): 770–788.doi: 10.1002/jmri.22102
- Berkovich R. Treatment of acute relapses in multiple sclerosis. Neurotherapeutics. 2013; 10(1): 97–105. doi: 10.1007/s13311-012-0160-7
- Wattjes M.P., Harzheim M., Lutterbey G.G. et al. Axonal damage but no increased glial cell activity in the normal-appearing white matter of patients with clinically isolated syndromes suggestive of multiple sclerosis using highfield magnetic resonance spectroscopy. Am. J. Neuroradiol. 2007; 28(8): 1517–1522. doi: 10.3174/ajnr.A0594
- Khan O., Seraji-Bozorgzad N., Bao F. et al. The relationship between brain MR spectroscopy and disability in multiple sclerosis: 20-year data from the U.S. glatiramer acetate extension study. J. Neuroimaging. 2017; 27(1): 97–106. doi: 10.1111/jon.12358
- Fisniku L.K., Brex P.A., Altmann D.R. et al. Disability and T2 MRI lesions: a 20-year follow-up of patients with relapse onset of multiple sclerosis. Brain. 2008; 131(Pt 3): 808–817. doi: 10.1093/brain/awm329
- Rovira A., Auger C., Alonso J. Magnetic resonance monitoring of lesion evolution in multiple sclerosis. Ther. Adv. Neurol. Disord. 2013; 6(5): 298–310. doi: 10.1177/1756285613484079









