Одномоментное стентирование внутренней сонной артерии на экстракраниальном и интракраниальном уровнях у пациента с разомкнутым Виллизиевым кругом и сопутствующей вазоренальной гипертензией
- Авторы: Агарков М.В.1,2, Сафуанов А.А.1, Евреева С.Т.1, Герцог О.Б.1, Сафуанова О.С.1, Попов В.В.3, Хильчук А.А.3
-
Учреждения:
- ГБУЗ Калининградской области «Гусевская центральная районная больница»
- АНО НИЦ «Санкт-Петербургский институт биорегуляции и геронтологии»
- СПб ГБУЗ «Городская больница № 40»
- Выпуск: Том 17, № 2 (2023)
- Страницы: 84-91
- Раздел: Клинический разбор
- Статья получена: 16.06.2022
- Статья одобрена: 23.08.2022
- Статья опубликована: 21.06.2023
- URL: https://annaly-nevrologii.com/pathID/article/view/857
- DOI: https://doi.org/10.54101/ACEN.2023.2.11
- ID: 857
Цитировать
Полный текст
Аннотация
Представлен случай лечения пациента 72 лет с рецидивирующими транзиторными ишемическими атаками в бассейне правой внутренней сонной артерии (ВСА) на фоне неконтролируемой артериальной гипертензии. По данным дуплексного сканирования и прямой ангиографии у пациента выявлены стеноз до 60% с признаками нестабильной бляшки в шейном сегменте, а также стеноз до 90% в кавернозном сегменте правой ВСА. При дообследовании у пациента обнаружен стеноз левой почечной артерии 80%. На первом этапе пациенту выполнено отсроченное одномоментное стентирование экстракраниального и интракраниального стенозов правой ВСА, на втором этапе — стентирование левой почечной артерии. Осложнений во время операций и в послеоперационном периоде не возникло. Результаты показывают, что данная тактика лечения является малоинвазивной, безопасной и эффективной у симптомных пациентов и может рассматриваться как один из способов лечения данной патологии.
Полный текст
Введение
Связь сосудов шеи и сознания человека описана ещё во времена античной Греции — так, термин «сонная артерия» (СА) происходит от древнегреческого karos (κάρος), что означает «одурманивать». Первое описание СА приписывается Гиппократу [1]. С тех пор понимание причин инсульта постепенно расширялось. Первым в Средневековой Европе о связи стенозов СА и инсульта сообщил шведский патолог Wepfer, который в своей работе «Historiae Apoplecticorum» (1658) представил 4 случая смерти пациентов от апоплексического удара, у которых при вскрытии были обнаружены тромбы в СА. Важной вехой понимания церебрального кровообращения стала работа Thomas Willis «Cerebri Anatome» (1664), в которой он описал артериальный круг головного мозга, теперь носящий его имя. Значение анастомозов было подтверждено в данной работе случаем смерти от ракового поражения пациента, у которого при аутопсии была выявлена хроническая окклюзия СА, не приведшая к апоплексическому удару. В дальнейшем связь стенозов СА и нарушения мозгового кровообращения получила всё большую доказательную базу.
Так, в конце XIX в. была доказана связь между закупоркой СА и инфарктом головного мозга. Х. Киари выдвинул гипотезу тромбоэмболии, изучая изъязвлённую бляшку и поверхностный тромб. Его результаты были первыми, показавшими, что атеросклероз СА является важным источником церебральных эмболов, вызывающих инсульт, и побудили его предложить исследовать СА при вскрытии. В 1914 г. Р. Хант определил, что как окклюзия, так и стеноз СА могут вызывать церебральные синдромы, и для описания этого ввёл термин «церебральная перемежающаяся хромота». После накопления данных о влиянии стенозов СА на развитие инсульта во второй половине ХХ в. стали разрабатываться различные способы восстановления кровотока по СА. Первая хирургическая реконструкция СА была проведена в Буэнос-Айресе в 1951 г. нейрохирургом Р. Карреа, который выполнил реадресацию внутренней СА (ВСА) с анастомозом наружной СА [2]. М. Дебейки провёл первую каротидную эндартерэктомию в августе 1953 г. [3]. С. Кербер в 1980 г. осуществил первую баллонную ангиопластику СА во время эндартерэктомии [4], М. Клаус в 1981 г. — первую изолированную ангиопластику СА [5]. На основании полученного опыта и данных о высокой эффективности стентирования коронарных артерий каротидное стентирование также вскоре заменило изолированную баллонную ангиопластику СА.
В настоящее время проводится хирургическое лечение экстракраниальных стенозов у пациентов без симптоматики и перенесённых острых нарушений мозгового кровообращения (ОНМК) — при бессимптомных стенозах СА и у пациентов, перенёсших ОНМК или имеющих симптоматику — с церебральной недостаточностью. В обоих вариантах польза от восстановления просвета ВСА доказана. Современные исследования реваскуляризации направлены на уточнение показаний и выбор её оптимального способа в зависимости от сопутствующего клинического профиля и кумулятивной коморбидности. Дополняются как показания к реваскуляризации, так и способы её проведения: стентирование или открытое хирургическое вмешательство.
Одной из нерешённых проблем в хирургии ВСА является целесообразность лечения СА на интракраниальном уровне. Так, встречаемость симптомного поражения ВСА в интракраниальных сегментах составляет от 1 до 15 на 100 тыс. [6]. С учётом возможности реваскуляризации интракраниальных сегментов ВСА только эндоваскулярными методами или созданием технически сложного транскраниального анастомоза исследования, посвященные данной патологии, были сосредоточены в основном на сравнении эффективности медикаментозной терапии с баллонной ангиопластикой и стентированием СА в интракраниальных сегментах.
Эндоваскулярное лечение в качестве профилактики инсульта у пациентов с внутричерепными стенозами появилось в 1980-х гг. Баллонная ангиопластика выполнялась пациентам с повторными нарушениями мозгового кровообращения на фоне медикаментозной терапии. Ближайшие и отдалённые результаты ангиопластики сопровождались высокой частотой тромбозов и рестенозов, а частота перипроцедурных инсультов составляла 4–50% [7–9]. Внедрение специальных стентов для интракраниальных отделов снизило частоту инсультов до 10% в год при рестенозе до 35% [10].
В многоцентровом исследовании SAMMPRIS (Stenting and Aggressive Medical Management for Preventing Recurrent stroke in Intracranial Stenosis) оценивалась эффективность медикаментозного лечения в сочетании с ангиопластикой и стентированием стентом Wingspan по сравнению только с медикаментозным лечением в отношении профилактики инсульта у пациентов высокого риска со стенозами 70–99% интракраниальных артерий. Исследование было остановлено досрочно в связи с высокой частотой инсультов и смертей в течение 30 дней после операции в группе стентированных пациентов (14,7 против 5,8% в группе консервативной терапии) [11]. В 2019 г. в журнале «Stroke» вышла статья, посвящённая результатам исследования WEAVE (Wingspan Stent System Post Market Surveillance). В статье была представлена оценка безопасности установки интракраниального стента Wingspan. В анализ вошли 152 пациента, которым был имплантирован данный стент. Результаты анализа оказались достаточно обнадёживающими — перипроцедурные и ранние послеоперационные осложнения возникли лишь в 2,6% случаев. Отдалённые результаты применения интракраниальных стентов пока недоступны. Стоит также указать на сложные критерии отбора пациентов и экспертный уровень хирургических бригад, участвовавших в исследовании [12]. Таким образом, коррекция поражений интракраниальных отделов ВСА остается серьёзной проблемой. Результаты эндоваскулярных вмешательств у пациентов с интракраниальными стенозами ещё далеки от идеальных и уступают медикаментозной терапии [13, 14].
В современных рекомендациях стентирование стенозов интракраниальных артерий рассматривается только как эффективный метод профилактики повторной окклюзии в зоне стеноза после восстановления кровотока методом механической тромбэкстракции при остром ишемическом инсульте. Таким образом, при наличии выраженного, но асимптомного интракраниального стеноза в современных условиях рекомендовано проведение консервативной терапии [15]. Тем не менее существует большая группа больных с симптомными стенозами, вызывающими частые рецидивирующие транзиторные ишемические атаки (ТИА) или ОНМК. У подобных пациентов необходимо рассмотреть возможность выполнения эндоваскулярной ангиопластики и/или стентирования интракраниальных отделов ВСА для улучшения отдалённого прогноза [15].
Описание клинического случая
Пациент М., 72 года, поступил в ГБУЗ «Гусевская ЦРБ» с подозрением на ОНМК в бассейне правой ВСА спустя 4 ч от начала симптоматики. Жалобы при поступлении были на слабость в левых конечностях, головокружение, онемение лица.
Из анамнеза известно, что ранее на фоне подъёма артериального давления (АД) до 240 мм рт. ст. у пациента развивались нарушение речи и онемение лица, проходившие после нормализации АД до привычных цифр — 180/90 мм рт. ст. Пациент отмечал не менее 4 подобных эпизодов за последние 2 года. Последний эпизод онемения лица развился на фоне привычных цифр АД и сопровождался слабостью в левых конечностях. После обращения за медицинской помощью был госпитализирован с диагнозом: ЦВБ, ОНМК? Сопутствующие: Гипертоническая болезнь 3 степени, риск 4.
Анамнез жизни: ОНМК, острый инфаркт миокарда отрицает. Страдает артериальной гипертензией в течение длительного времени с максимальными цифрами АД 250/130 мм рт. ст., антигипертензивную терапию принимал нерегулярно. Стаж курения более 50 лет. На диспансерном учёте по поводу хронических заболеваний не состоит. Травмы отрицает, со слов алкоголь не употребляет.
Объективный осмотр: телосложение гиперстеническое, кожные покровы гиперемированы. Температура тела 36,3ºС. АД на момент поступления 210/100 мм рт. ст. Электрокардиограмма: синусовый ритм с ЧСС 105 уд/мин. Признаки гипертрофии левого желудочка. Электрическая ось сердца смещена влево. ЧДД 18 в минуту. Глюкоза крови 4,4 ммоль/л; МНО — 0,9; тромбоциты 380 × 109/л; эритроциты 5,2 × 1012/л%; гемоглобин 165 г/л; лейкоциты 9,4 × 109/л, гематокрит 0,54.
Неврологический статус: Шкала Глазго — 15 баллов, сознание ясное, речь не нарушена. Общемозговая симптоматика отсутствует. Зрачки правильной формы, D = S, фотореакции живые, движения глазных яблок не ограничены, нистагма нет. Слегка сглажена левая носогубная складка. Глотание не нарушено. Сухожильные рефлексы с конечностей D < S. Гипотония мышц левых конечностей: парез в левой руке 3 балла, парез в левой ноге 2 балла. Гемигипестезия слева. Пальценосовую пробу выполняет с промахиванием слева. Положительный рефлекс Бабинского слева. Суммарный неврологический дефицит по шкале NIHSS 8 баллов [16].
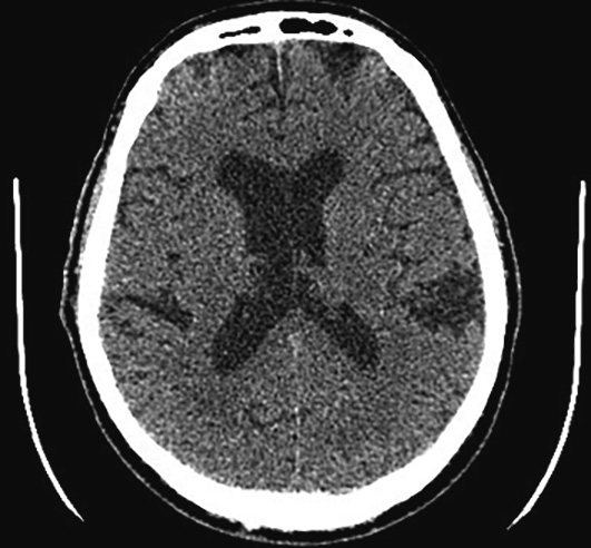
По данным мультиспиральной компьютерной томографии (МСКТ) головного мозга выявлены постишемические кисты теменной доли правой гемисферы (рис. 1). Признаков ОНМК не установлено, шкала ASPECTS (Alberta Stroke Program Early CT Score) — 10 баллов [17].
Рис. 1. Бесконтрастная КТ головного мозга пациента М. при поступлении. ASPECTS 10 баллов. / Fig. 1. Plain brain multislice computed tomography of patient M. on admission. ASPECTS 10.
По данным ультразвукового сканирования сонных артерий (УЗДГ), выполненного в приёмном покое, выявлен стеноз правой ВСА 70% в шейном сегменте, бляшка была описана как тип 3С по классификации GWN (Gray–Weale–Nicolaides) и расценена как нестабильная [18, 19]. Скорость кровотока в зоне стеноза составила 140 см/с.
Учитывая характер бляшки по данным УЗДГ, отсутствие признаков геморрагического поражения, а также отсутствие ранних признаков ишемического поражения головного мозга по данным МСКТ, невозможность проведения тромболитической терапии (время от начала симптоматики более 4,5 ч), пациенту выполнена церебральная ангиография для определения показаний и принятия решения об эндоваскулярной тромбэкстракции. Выполнение перфузии головного мозга не проводилось, т.к. время от начала заболевания составило менее 6 ч [20]. На церебральной ангиографии выявлены стеноз правой ВСА в шейном сегменте (С1 сегмент) до 60% с признаками нестабильной бляшки (затёк контраста в полость ядра) и флотирующей интимы, стеноз правой ВСА в кавернозном сегменте (С4 сегмент) [21] до 90%. Левая ВСА, позвоночные артерии — без признаков стенозирования. Признаков артериовенозных мальформаций, аневризм головного мозга не выявлено. Тип Виллизиева круга был определён как разобщённый и классифицирован как тип Ac2Pc. Установлены отсутствие передней соединительной артерии, а также гипоплазия задних соединительных артерий [22] (рис. 2).
Рис. 2. Схема Виллизиева круга головного мозга пациента М. А — тип О (полностью замкнутый Виллизиев круг, синими стрелками обозначен кровоток по кругу Вилленса — возможность реверсивного артериального кровотока при стенозе или окклюзии экстракраниальных артерий), встречаемость в популяции — 11,9%; В — тип Ас2Рс (полностью разомкнутый Виллизиев круг, нет возможности компенсации кровотока при поражении экстракраниальных артерий), встречаемость в популяции — 9,3%. / Fig. 2. The schematic view of the patient M.' circle of Willis. А — type O (fully closed CoW, with blue arrows indicating blood flow in the Circle of Willis — possible reverse arterial blood flow if extracranial arteries are stenosed or occluded), incidence 11.9%); В — type Ас2Рс (fully open CoW, with uncompensatable blood flow if extracranial arteries are involved), incidence 9.3%.
Церебральный кровоток в бассейне правой гемисферы — без признаков замедления, степень кровотока TICI3 (throm- bolysis in cerebral infarction) [23] (рис. 3).
Рис. 3. Церебральная ангиография пациента М. Выявлен стеноз правой ВСА в С1 сегменте до 60% с признаками флотирующей интимы и затёком контраста в ядро бляшки (чёрные стрелки). Стеноз до 90% ВСА в С4 сегменте (белые стрелки). / Fig. 3. Patient M.' cerebral angiography. Right ICA C1 stenosis to 60% with signs of floating intima and contrast agent leakage into the plaque core (black arrows) in. ICA C4 stenosis to 90% (white arrows).
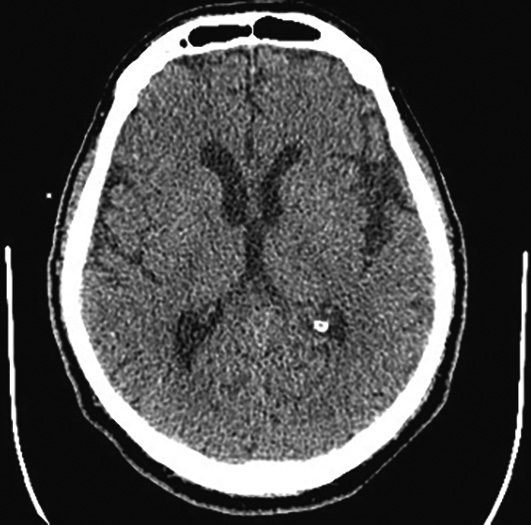
Учитывая сохранение кровотока на уровне TICI3 по правым ВСА и средней мозговой артерии, а также повышенный риск геморрагической трансформации на фоне назначения антиагрегантной терапии и гепаринизации от экстренного стентирования решено отказаться в пользу первичной консервативной тактики. Через 24 ч после повторной МСКТ (рис. 4) рекомендовано начать двойную антиагрегантную терапию. Спустя 12 ч после госпитализации у пациента отмечен полный регресс симптоматики.
Рис. 4. МСКТ пациента М. через 24 ч после поступления. ASPECTS 10 баллов, данных за геморрагическую трансформацию не получено. / Fig. 4. Patient M.'s MSCT scan in 24 h after admission. ASPECTS 10, no signs of hemorrhagic transformation.
При дообследовании по данным УЗДГ почечных артерий (ПА) выявлен стеноз левой ПА до 85% с ускорением кровотока в зоне стеноза до 270 см/с. Основываясь на исследованиях связи скорости кровотока в зоне стеноза и его гемодинамической значимости [24], пациенту был выставлен диагноз: Генерализованный атеросклероз. Гемодинамически значимый стеноз левой ПА. Вторичная артериальная гипертензия 3 степени. Цереброваскулярная болезнь. Транзиторная ишемическая атака. Риск 4 (очень высокий).
Для контроля АД пациенту была назначена следующая схема антигипертензивной терапии: амлодипин 10 мг 1 раз в сутки (утром), гипотиазид 100 мг 1 раз в сутки (утром), метопролол 50 мг 2 раза в сутки (утром и вечером). В первые 2 сут приёма препаратов АД оставалось на привычных для пациента цифрах.
На 5-й день госпитализации у пациента развился повторный эпизод слабости в левых конечностях на фоне АД 210/100 мм рт. ст. Учитывая анамнез, данные МСКТ головного мозга, данные церебральной ангиографии, показавшей выраженные стенозы ВСА при разомкнутом виллизиевом круге, высокий риск цереброваскулярных событий на фоне неконтролируемой артериальной гипертензии, рецидивирующие ТИА, принято решение первым этапом выполнить одномоментное стентирование правой ВСА в С1 и С4 сегментах, ангиографию ПА с решением вопроса о необходимости реваскуляризации. В случае подтверждения значимости стеноза левой ПА вторым этапом выполнить её стентирование.
Предварительно для контроля артериальной гипертензии и профилактики ишемии головного мозга во время манипуляций пациенту в операционной был назначен урапидил по следующей схеме: 25 мг внутривенно медленно, далее была налажена постоянная инфузия урапидила со скоростью 2 мг/мин. На фоне инфузии урапидила в течение 20 мин произошла стабилизация АД на уровне 170/100 мм рт. ст. В качестве премедикации пациенту было введено внутримышечно 2 мг диазепама.
Под местной анестезией в общей СА позиционирована система проксимальной защиты МоМа 9Fr. В М1 сегмент средней мозговой артерии проведён проводник 0,014 дюйма (рис. 5, А). После раздутия баллонов системы проксимальной защиты выполнена баллонная ангиопластика стеноза кавернозного сегмента ВСА баллонным катетером 3,0 × 20 мм (рис. 5, B). Далее в зоне остаточного стеноза имплантирован коронарный голометаллический стент 4,0 × 26 (рис. 5, D, E). В зоне нестабильной бляшки в сегменте С1 позиционирован конусный каротидный стент 6,0–8,0 × 40 мм (рис. 5, F). Выполнена имплантация с последующим удалением доставочной системы стента с вакуум-аспирацией (40 мл). В аспирате фрагментов бляшки не обнаружено.
Рис. 5. Реваскуляризация СА пациента М. А — проводник расположен в средней мозговой артерии; В — ангиопластика ВСА в С4 сегменте; С — ВСА после баллонной ангиопластики С4 сегмента; D — позиционирование стента в зоне остаточного стеноза ВСА; Е — ВСА после стентирования С4 сегмента; F — стентирование ВСА в С1 сегменте. / Fig. 5. Transcarotid artery revascularization in patient M. А — guidewire positioning in MCA; В — ICA C4 angioplasty; С — ICA post C4 angioplasty; D — stent positioning in the area of ICA residual stenosis; Е — ICA post C4 stenting; F — С1 ICA stenting.
Контрольная ангиография показала удовлетворительное позиционирование стентов, кровоток по бассейну правой ВСА — TICI3 (рис. 6).
Рис. 6. Ангиография пациента М. до (А) и после (В) реваскуляри- зации. Усиление кровотока по средней мозговой артерии (чёрный контур на фрагменте В) после стентирования. / Fig. 6. Patient M.'s angiography before (А) and after (В) revasculari- zation. Increased MCA blood flow (В black outline) post stenting.
По окончании стентирования ВСА пациенту проведена ангиография ПА, выявлены стеноз правой ПА до 30%, устьевой стеноз левой ПА до 80% (рис. 7, А, В). Послеоперационный период — без осложнений. На момент выписки неврологический дефицит составил по NIHSS 0 баллов, по модифицированной шкале Рэнкина — 0 баллов.
Рис. 7. Ангиография и стентирование левой ПА. А — стеноз правой ПА 30%; В — стеноз левой ПА до 80%; С — ангиография перед стентированием левой ПА; D — стентирование левой ПА. / Fig. 7. Left renal artery angiography and stenting. А — right renal artery stenosis 30%; В — left renal artery stenosis up to 80%; С — pre-stenting left renal artery angiography; D — left renal artery stenting.
На 14-й день от момента госпитализации (на 12-й день назначения тройной антиагрегантной терапии, на 9-й день от момента каротидного стентирования) пациенту было проведено суточное мониторирование АД. Длительность исследования составила 19 ч 30 мин, выполнено 48 измерений. Успешных измерений 46. По данным суточного мониторирования АД (таблица) суточный тренд — АД гипертензивного типа. Значительное повышение среднего суточного пульсового АД. Суточный индекс САД и ДАД недостаточный (non-dippers).
Данные суточного контроля АД на фоне приёма тройной антигипертензивной терапии, мм рт. ст. / 24 h BP control in triple antihypertensive therapy, mm Hg
Показатель Parameter | Дневные часы Daytime 11:30–23:00 | Ночные часы Nighttime 23:00–07:00 |
Среднеинтегральное систолическое АД Mean integral systolic BP | 182,0 | 173,0 |
Среднеинтегральное диастолическое АД Mean integral diastolic BP | 107,0 | 101,0 |
Наибольшее систолическое АД Maximum systolic BP | 218,0 | 195,0 |
Наибольшее диастолическое АД Maximum diastolic BP | 136,0 | 124,0 |
Наименьшее систолическое АД Minimum systolic BP | 167,0 | 156,0 |
Наименьшее диастолическое АД Minimum diastolic BP | 79 | 82 |
Учитывая сохранение устойчивой артериальной гипертензии, принято решение о выполнении пациенту стентирования ПА по двум основным критериям:
a) устойчивая артериальная гипертензия на фоне трёхкомпонентной ангигипертензивной терапии;
б) расположение стеноза ПА в устьевой зоне, что в дальнейшем не позволяет сформировать коллатеральный внутрипочечный кровоток при развитии ишемии из-за прогрессирования стеноза [25].
После выписки из неврологического отделения ввиду сохранения резистентной артериальной гипертензии пациент переведён в отделение сосудистой хирургии для стентирования левой ПА (рис. 7, C, D).
Период наблюдения составил 12 мес. За время наблюдения не было данных за ОНМК или ТИА. По данным УЗДГ стент в С1 сегменте проходим без признаков рестеноза, скорость кровотока по стентированному сегменту ВСА — 118 см/с. На фоне продолжающегося приёма тройной антигипертензивной терапии средние цифры АД составили 160/80 мм рт. ст.
Окончательный диагноз пациента при выписке из стационара:
Основной: Генерализованный атеросклероз. Стенозы брахиоцефальных артерий в сегментах С1 и С4 правой ВСА. Гемодинамически значимый стеноз левой ПА.
Осложнение: Цереброваскулярная болезнь. ТИА от 10.10.2021, повторная ТИА от 15.10.2021. Вторичная артериальная гипертензия 3 стадии, 3 степени, риск 4.
Экстренное одномоментное стентирование правой ВСА в сегментах С1 и С4 от 15.10.2021. Плановое стентирование левой ПА от 28.10.2021.
Обсуждение
Вопрос тактики лечения пациентов с тандемным поражением ВСА на экстракраниальном и интракраниальном уровнях остаётся открытым и до конца не определённым в крупных рандомизированных исследованиях. Лечение только проксимального стеноза может быть неэффективным, если основной причиной гипоперфузии головного мозга является дистальный стеноз. Дефицит церебрального кровотока усугубляется при отсутствии коллатералей из противоположного бассейна. Так, частота встречаемости разобщённого кровообращения Виллизиева круга AcP2 типа составляет 9,3% [22]. Определение того, какое из поражений является основным, и основной причины ОНМК (гипоперфузия вследствие тяжёлого стеноза или тромбоэмболические осложнения, связанные с нестабильной бляшкой проксимального стеноза) является приоритетной задачей для выработки тактики лечения [26]. В данном клиническом случае достаточно сложно определить ведущее поражение — гипоперфузия может развиваться вследствие субокклюзирующего стеноза в С4 сегменте или тромбоэмболических осложнений стеноза с нестабильной атеросклеротической бляшкой в С1 сегменте ВСА. На течение церебральной недостаточности также оказывает влияние злокачественная вазоренальная гипертензия, вызванная стенозом ПА.
Представленные результаты лечения пациента показывают, что тандемное стентирование ВСА является эффективным и безопасным методом при невозможности определения ведущей причины инсульта. Выбранная первично консервативная тактика, с одной стороны, позволила выявить стеноз ПА до оперативного вмешательства, а с другой стороны — у пациента на фоне получения медикаментозной терапии развилась ТИА, и реваскуляризация выполнялась в экстренном порядке. Требуется больше данных для определения оптимальной тактики лечения подобных пациентов.
Экстраполируя данный клинический сценарий на возможных будущих пациентов, стоит обращать внимание на анатомию Виллизиева круга и в случае гипоплазии соединительных артерий рассматривать хирургическую тактику как более полезную в соотношении риск/польза. При наличии коллатерального кровотока по Виллизиеву кругу в соотношении риск/польза оправдана первично консервативная тактика.
Об авторах
Максим Васильевич Агарков
ГБУЗ Калининградской области «Гусевская центральная районная больница»; АНО НИЦ «Санкт-Петербургский институт биорегуляции и геронтологии»
Автор, ответственный за переписку.
Email: Dr.agarkovmv@gmail.com
ORCID iD: 0000-0002-6304-2553
SPIN-код: 8861-6321
зав. отд. рентгенэндоваскулярных диагностики и лечения, м.н.с. лаб. возрастной патологии сердечно-сосудистой системы
Россия, Гусев; Санкт-ПетербургАлексей Александрович Сафуанов
ГБУЗ Калининградской области «Гусевская центральная районная больница»
Email: annaly-nevrologii@neurology.ru
ORCID iD: 0000-0002-7878-2490
врач рентгенэндоваскулярных диагностики и лечения
Россия, ГусевСветлана Тумэновна Евреева
ГБУЗ Калининградской области «Гусевская центральная районная больница»
Email: evreeva.sveta@yandex.ru
ORCID iD: 0000-0002-8915-3673
врач рентгенэндоваскулярных диагностики и лечения
Россия, ГусевОльга Богдановна Герцог
ГБУЗ Калининградской области «Гусевская центральная районная больница»
Email: annaly-nevrologii@neurology.ru
главный врач
Россия, ГусевОльга Сергеевна Сафуанова
ГБУЗ Калининградской области «Гусевская центральная районная больница»
Email: annaly-nevrologii@neurology.ru
ORCID iD: 0000-0002-1333-0071
врач сердечно-сосудистый хирург
Россия, ГусевВиталий Викторович Попов
СПб ГБУЗ «Городская больница № 40»
Email: annaly-nevrologii@neurology.ru
ORCID iD: 0000-0003-2073-8080
к.м.н., врач рентгенэндоваскулярных диагностики и лечения
Россия, СестрорецкАнтон Андреевич Хильчук
СПб ГБУЗ «Городская больница № 40»
Email: annaly-nevrologii@neurology.ru
ORCID iD: 0000-0002-7199-0502
к.м.н., врач рентгенэндоваскулярных диагностики и лечения
Россия, СестрорецкСписок литературы
- Munster A.B., Thapar A., Davies A.H. History of carotid stroke. Stroke. 2016;47(4):e66–e69. doi: 10.1161/STROKEAHA.115.012044
- Friedman S.G., Rich N.M. The first carotid endarterectomy. J. Vasc. Surg. 2014;60(6):1703.e1-4–1708.e1-4. doi: 10.1016/j.jvs.2014.08.059
- DeBakey M.E. Successful carotid endarterectomy for cerebrovascular insufficiency: nineteen-year follow-up. J. Am. Med. Assoc. 1975;233(10):1083–1085.
- Kerber C.W., Cromwell L.D., Loehden O.L. Catheter dilatation of proximal carotid stenosis during distal bifurcation endarterectomy. Am. J. Neuroradiol. 1980;1(4):348–349.
- Mathias K. Perkutane transluminale Katheterbehandlung supraaortaler Arterienobstruktionen. Angio. 1981;3:47–50.
- Suri M.F.K., Johnston S.C. Epidemiology of intracranial stenosis. J. Neuroimaging. 2009;19(suppl. 1):11S–16S. doi: 10.1111/j.1552-6569.2009.00415.x
- Connors J.J., Wojak J.C. Percutaneous transluminal angioplasty for intracranial atherosclerotic lesions: evolution of technique and short-term results. J. Neurosurg. 1999; 91(3):415–423. doi: 10.3171/jns.1999.91.3.0415
- Marks M.P., Marcellus M., Norbash A.M. et al. Outcome of angioplasty for atherosclerotic intracranial stenosis. Stroke. 1999;30(5):1065–1069. doi: 10.1161/01.str.30.5.1065
- Marks M.P., Marcellus M.L., Do H.M. et al. Intracranial angioplasty without stenting for symptomatic atherosclerotic stenosis: long-term follow-up. Am. J. Neuroradiol. 2005;26(3):525–530.
- SSYLVIA Study Investigators. Stenting of Symptomatic Atherosclerotic Lesions in the Vertebral or Intracranial Arteries (SSYLVIA): study results. Stroke. 2004;35(6):1388–1392. doi: 10.1161/01.STR.0000128708.86762.d6
- Chimowitz M.I., Lynn M.J., Derdeyn C.P. et al. Stenting versus aggressive medical therapy for intracranial arterial stenosis. N. Engl. J. Med. 2011;365(11):993–1003. doi: 10.1056/NEJMoa1105335
- Alexander M.J., Zauner A., Chaloupka J.C. et al. WEAVE Trial: final results in 152 on-label patients. Stroke. 2019;50(4):889–894. doi: 10.1161/STROKEAHA.118.023996
- Wang Z.L., Gao B.L., Li T.X. et al. Severe symptomatic intracranial internal carotid artery stenosis treated with intracranial stenting: a single center study with 58 patients. Diagn. Interv. Radiol. 2016;22(2):178–183. doi: 10.5152/dir.2015.15191
- Zaidat O.O., Fitzsimmons B.F., Woodward B.K. et al. Effect of a balloon-expandable intracranial stent vs medical therapy on risk of stroke in patients with symptomatic intracranial stenosis: the VISSIT randomized clinical trial. JAMA. 2015;313(12):1240–1248. doi: 10.1001/jama.2015.1693
- Flusty B., de Havenon A., Prabhakaran S. et al. Intracranial atherosclerosis treatment: past, present, and future. Stroke. 2020;51(3):e49–e53. doi: 10.1161/STROKEAHA.119.028528
- Lyden P. Using the National Institutes of Health Stroke Scale: a cautionary tale. Stroke. 2017;48(2):513–519. doi: 10.1161/STROKEAHA.116.015434
- Mokin M., Primiani C.T., Siddiqui A.H., Turk A.S. ASPECTS (Alberta Stroke Program Early CT Score) measurement using Hounsfield Unit values when selecting patients for stroke thrombectomy. Stroke. 2017;48(6):1574–1579. doi: 10.1161/STROKEAHA.117.016745
- Fedak A., Ciuk K., Urbanik A. Ultrasonography of vulnerable atherosclerotic plaque in the carotid arteries: B-mode imaging. J. Ultrason. 2020;20(81): e135–e145.
- Brinjikji W., Huston J. 3rd, Rabinstein A.A. et al. Contemporary carotid imaging: from degree of stenosis to plaque vulnerability. J. Neurosurg. 2016;124(1):27–42. doi: 10.3171/2015.1.JNS142452
- Achit H., Soudant M., Hosseini K. et al. Cost-effectiveness of thrombectomy in patients with acute ischemic stroke: The THRACE Randomized Controlled Trial. Stroke. 2017;48(10):2843–2847. doi: 10.1161/STROKEAHA.117.017856
- Hacking C., Gaillard F. Bouthillier classification of internal carotid artery segments. Radiopaedia.org. 2008. URL: https://radiopaedia.org/articles/4714. doi: 10.53347/rID-4714
- Hindenes L.B., Håberg A.K., Johnsen L.H. et al. Variations in the Circle of Willis in a large population sample using 3D TOF angiography: The Tromsø study. PLoS One. 2020;15(11):e0241373. doi: 10.1371/journal.pone.0241373
- Hacking C., Babu V., Morgan M. et al. Thrombolysis in cerebral infarction (TICI) scale. Radiopaedia.org. 2015. URL: https://radiopaedia.org/articles/39569. doi: 10.53347/rID-39569
- Li J.C., Jiang Y.X., Zhang S.Y. et al. Evaluation of renal artery stenosis with hemodynamic parameters of Doppler sonography. J. Vasc. Surg. 2008;48(2):323–328. doi: 10.1016/j.jvs.2008.03.048
- Anderson J.L., Halperin J.L., Albert N.M. et al. Management of patients with peripheral artery disease (compilation of 2005 and 2011 ACCF/AHA guideline recommendations): a report of the American College of Cardiology Foundation/American Heart Association Task Force on Practice Guidelines. Circulation. 2013;127(13):1425–1443. doi: 10.1161/CIR.0b013e31828b82aa
- Guppy K.H., Charbel F.T., Loth F., Ausman J.I. Hemodynamics of in-tandem stenosis of the internal carotid artery: when is carotid endarterectomy indicated? Surg. Neurol. 2000;54(2):145–153. doi: 10.1016/s0090-3019(00)00292-5












