Clinical features of stroke in the artery of Percheron territory (case series)
- Authors: Annushkin V.A.1, Nikonov A.A.1, Maksimova M.Y.1, Lagoda О.V.1, Tanashyan M.M.1
-
Affiliations:
- Research Center of Neurology
- Issue: Vol 16, No 3 (2022)
- Pages: 92-98
- Section: Clinical analysis
- Submitted: 28.06.2022
- Accepted: 25.07.2022
- Published: 10.10.2022
- URL: https://annaly-nevrologii.com/pathID/article/view/860
- DOI: https://doi.org/10.54101/ACEN.2022.3.11
- ID: 860
Cite item
Full Text
Abstract
The article describes two clinical cases of stroke in the artery of Percheron territory. The difficulty in recognizing the causes of ischaemic stroke in these patients was due to the polymorphism in the mental disorders and the rare "strategic infarct dementia", as well as impaired consciousness. We hereby present the clinical features of this condition, which can be used together with neuroimaging methods (including various MRI sequences) to ensure a timely and accurate diagnosis.
The authors describe a clinical case to demonstrate their approach to the diagnosis and management of this patient group.
Full Text
Введение
Второй по распространённости причиной когнитивных нарушений после болезни Альцгеймера являются цереброваскулярные расстройства. Причиной сосудистых когнитивных нарушений нередко являются «стратегические» инфаркты головного мозга, наиболее часто развивающиеся в области таламусов, полосатых тел, гиппокампа, лобных долей, угловой извилины левого полушария головного мозга.
Таламус и средний мозг имеют сложное кровоснабжение, в котором особое место отводится артерии Першерона (АП), впервые описанной в 1973 г. французским врачом и учёным-исследователем Жераром Першероном. АП представляет собой анатомический вариант, при котором непарная таламоперфорирующая артерия (ТПА) отходит от проксимальной части одной из задних мозговых артерий и является источником двустороннего кровоснабжения парамедианных отделов таламусов и ростральной части среднего мозга. Редкий вариант анатомического развития АП встречается у 4–12% населения [1]. Частота поражения обоих таламусов составляет около 5% случаев среди таламических инфарктов [2].
Ж. Першерон описал три варианта строения ТПА:
- «А» тип, при котором левая и правая ТПА отходят от Р1-сегментов соответствующих задних мозговых артерий;
- «В» тип (встречается у одной трети людей), при котором ТПА на одной стороне отсутствует, а ТПА на другой стороне снабжает своими ветвями оба таламуса;
- «С» тип, при котором ТПА начинаются от сосуда, соединяющего, наподобие мостика, Р1-сегменты обеих задних мозговых артерий [2] (рис. 1).
Рис. 1. Схематическое изображение вариабельности сосудистой системы таламуса, описанной Ж. Першероном. / Fig. 1. A diagram of the thalamic vascular supply variants, as described by G. Percheron.
Окклюзия АП встречается редко, однако этот анатомический вариант может привести к двусторонним таламическим инфарктам, в том числе с вовлечением среднего мозга. Острые нарушения мозгового кровообращения (ОНМК) в бассейне АП являются причиной 0,1–2,0% случаев ишемического инсульта [3, 4]. Патология АП приводит к развитию 22–35% случаев инфарктов в таламусе, который в свою очередь составляют около 11% случаев ишемического инсульта в артериях вертебробазилярной системы [5]. Учитывая широкий спектр клинических проявлений, ИИ в бассейне АП часто не диагностируется. Билатеральные парамедианные таламические инфаркты характеризуются следующей триадой: острые эпизоды нарушения сознания, нейропсихологические симптомы и нарушения вертикального взора. В настоящее время с учётом вариабельности клинических проявлений выделены четыре основных варианта течения инфарктов в таламусе, обусловленные нарушением кровоснабжения в бассейнах туберо-таламической, парамедианной, нижнелатеральной и задней ворсинчатой артерий [3] (рис. 2).
Рис. 2. Схематическое изображение вовлечённости сосудистой системы и вещества головного мозга при поражении АП. / Fig. 2. A diagram of the involved vascular supply and brain matter during damage to the artery of Percheron.
Большое разнообразие клиники проявления ОНМК в бассейне АП характеризуется:
- нарушениями памяти (антероградная и ретроградная амнезия (58% случаев);
- психическими нарушениями (апатия, абулия, возбуждение и агрессивность), двусторонним параличом вертикального взора (65%);
- спутанность сознания и гиперсомния (29%);
- комой (42%);
- акинетическим мутизмом [2].
- Arauz и соавт. описали 7 клинических паттернов при инфарктах в бассейне АП:
1) нарушения когнитивных функций;
2) поведенческие расстройства (дезориентация, возбуждение, апатия, некритичность);
3) афазия или дизартрия;
4) глазодвигательные нарушения;
5) двигательные расстройства;
6) мозжечковые нарушения;
7) другие симптомы (гиперсомния, тремор, судороги и гипертермия) [6].
Таламус играет значительную роль в регуляции цикла сна и бодрствования. Гиперсонливость как один из основных симптомов при билатеральных таламических инфарктах объясняется прерыванием норадренергических и дофаминергических импульсов от ретикулярной формации к таламусам. Гиперсонливость может наблюдаться также при одностороннем инфаркте в таламусе, однако является менее выраженной.
Нарушение активного воспроизведения информации с ухудшением управляющих функций при билатеральных парамедианных инфарктах в таламусах объясняют прерыванием путей от медиального дорсального (mD) ядра к дорсолатеральной префронтальной коре, а также тем, что mD-ядро участвует в обеспечении процессов консолидации следов памяти и перехода кратковременной памяти в долговременную [7]. Сложность диагностики в этих случаях часто связана с гиперсонливостью, которую принимают за полную утрату сознания.
Основные факторы, увеличивающие время диагностики таламического инфаркта в бассейне АП:
- полиморфизм неврологических симптомов;
- трудности диагностики инфарктов в бассейне АП при проведении компьютерной томографии (КТ)/магнитно-резонансной томографии (МРТ);
- редкость инфарктов в бассейне АП, что является причиной недостаточной осведомлённости врачей об этом заболевании.
Двустороннее поражение таламусов может наблюдаться при ОНМК в базилярной артерии и тромбозе глубоких церебральных вен. Верхний базилярный синдром может проявляться двусторонними инфарктами в таламусах, а также инфарктами в бассейнах верхней мозжечковой и задней мозговой артерий. Тромбоз глубоких церебральных вен в редких случаях может приводить к двустороннему поражению таламусов и базальных ядер.
Энцефалопатия Вернике также входит в дифференциально-диагностический ряд заболеваний в случаях двустороннего поражения таламусов, при которых на Т2-взвешенных изображениях МРТ симметричная гиперинтенсивность отмечается в парамедианных отделах таламусов, а также в тектальной пластинке, околопроводном сером веществе, сосцевидных телах. Дифференциальную диагностику необходимо проводить с опухолью головного мозга, инфекционными заболеваниями, болезнью Вильсона–Коновалова.
В этой статье мы представляем 2 случая ОНМК в бассейне АП с различной клинической картиной.
Клинический случай 1
Пациентка М., 32 лет, экономист, поступила в Научный центр неврологии в сентябре 2020 г. Сама пациентка жалоб активно не предъявляла, со слов мужа отмечались потеря памяти и сонливость. В связи с когнитивными нарушениями анамнез был собран преимущественно со слов родственников.
До данного эпизода считала себя полностью здоровой. 31.08.2020 вернулась из Сочи. Со слов мужа, на следующий день поздно вечером остро появились нарушения памяти, дезориентация во времени и пространстве, сонливость, утрата памяти на события предшествующего месяца. При осмотре врачом скорой медицинской помощи очаговой симптоматики не выявлено, госпитализация не предлагалась. Со слов мужа, во время отдыха в Сочи пациентка регулярно употребляла алкогольные напитки. Для исключения интоксикации выполнен тест на наркотики — результат отрицательный.
Неврологический статус при поступлении: сонлива, дезориентирована в месте и времени. Отмечаются когнитивные нарушения. Менингеальных симптомов нет. Инструкции выполняет в полном объёме, в замедленном темпе. Обоняние (субъективно) не изменено. Поля зрения (при ориентировочной оценке) не изменены. Зрачки D=S, глазные щели D=S. Движение глаз в полном объёме. Чувствительность на лице не нарушена. Точки выхода тройничного нерва безболезненны. Лицо симметричное. Слух (при ориентировочном исследовании) не снижен. Нистагма нет. Глотание, фонация не нарушены. Язык по средней линии. Дизартрия. Парезов в руках и ногах нет. Сухожильные рефлексы оживлены, S=D. Мышечный тонус не изменён. Координаторные пробы выполняет удовлетворительно. При выполнении пробы Ромберга устойчива. Чётких нарушений чувствительности в момент осмотра не выявлено.
Заключение нейропсихолога: нарушения в мнестической сфере, проявляющиеся во всех модальностях и характеризующиеся выраженной нестойкостью следов памяти, нарушениями по типу акустико-мнестической афазии, динамического праксиса, на фоне изменения нейродинамических параметров деятельности мозга с преобладанием тормозных процессов и выраженных колебаний внимания. Дезориентировка во времени, снижение мотивационной составляющей. Выявленные нарушения могут указывать на заинтересованность медиальных отделов височной области, премоторных, префронтальных и стволовых структур.
Лабораторное исследование крови — в общем анализе крови отмечаются гипохромная анемия лёгкой степени и незначительный лимфоцитарный плейоцитоз. Показатели биохимического анализа крови и общего анализа мочи— в пределах референсных значений. В коагулограмме повышена фибринолитическая активность. Агрегация тромбоцитов: под влиянием адреналина — 18% (в норме 37–43%), аденозиндифосфат на фоне приёма ацетилсалициловой кислоты 75 мг — 29% (в норме 40–46%).
По результатам электрокардиографии и трансторакальной эхокардиографии значимых изменений не выявлено.
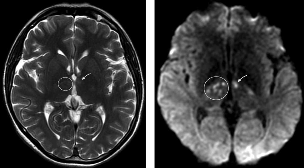
При МРТ головного мозга обнаружены симметричные инфаркты в таламусах (инфаркты в бассейне АП) (рис. 3).
Рис. 3. МРТ головного мозга в режиме Т2 (А) и DWI (В). Стрелками и кругами показаны постинфарктные изменения в парамедианных отделах таламусов. / Fig. 3. T2-weighted brain MRI (А) and DW-MRI (В). The arrows and circles indicate the post-stroke changes in the paramedian thalamus.
МР-ангиография интракраниальных артерий: без особенностей.
Принимая во внимание отсутствие сосудистых факторов риска, значимых изменений в анализах крови и при дополнительных методах исследования, а также учитывая анамнестические данные о принятии алкоголя, который может увеличивать прокоагулянтную активность крови, предположен гемореологический подтип инсульта.
Анализ крови на факторы свёртывания: фактор V — 78,0% (в норме 50–150%), факторы VII — 81,0% (в норме 50–150%), фактор VIII — 126% (в норме 50–150%), фактор XII — 105% (в норме 50–150%), протеин С — 70% (в норме 69–115%), протеин S — 68% (в норме 70–110%), плазминоген — 86,0% (в норме 73–126%), плазмин-ингибитор — 95,8% (в норме 89–112%).
Проведена ДНК-диагностика тромбофилических состояний (таблица): ген протромбина F2: 20210G>A, ген фактора 5 (мутация Лейдена) F5: 1691G>A, ген фактора 7 F7: 10976 G>A, ген активированного фактора 13 (фибриназа) F13A1: 103G>T, ген фибриногена бета FGB: 455G>A, ген метилен-тетрагидрофолат-редуктазы MTHFR: 677C>T.
ДНК-диагностика тромбофилических состояний / DNA diagnosis of thrombophilic conditions
Тесты Tests | Результат Result | Норма Normal | Интерпретация результатов Interpretation of results |
ДНК-диагностика тромбофилических состояний DNA diagnosis of thrombophilic conditions | |||
Ген ингибитора активатора плазминогена PAI-1:-6755G>4G Plasminogen activator inhibitor type 1 gene PAI-1:-6755G>4G | 5G/4G* | 5G/5G | Повышение уровня PAI-1 в крови, снижение фибринолитической активности, повышение риска коронарных нарушений Increased levels of serum PAI-1, reduced fibrinolytic activity, increased risk of coronary artery disease |
Ген интегрина-альфа (гликопротеин Gp1a) ITGA2:807C>T Glycoprotein Gp1a (integrin alpha-2) gene ITGA2:807C>T | C/Т | C/C | Увеличение адгезии тромбоцитов. Риск развития послеоперационных тромбозов Increased platelet adhesion. Risk of post-operative blood clots |
Ген тромбоцитарного рецептора фибриногена (гликопротеин Gp3a) ITGB3:1565T>C Platelet glycoprotein Gp3a gene ITGB3:1565T>C | T/С* | T/T | Низкая эффективность терапии аспирином. Повышенная агрегация тромбоцитов. Риск развития тромбоэмболии Low efficacy of aspirin therapy. Increased platelet aggregation. Risk of thromboembolism |
Ген метилен-тетрагидрофолат-редуктазы MTHFR:1298A>C Methylenetetrahydrofolate reductase gene MTHFR:1298A>C | A/С* | A/A | Повышенный риск развития тромбозов, невынашивание беременности, поздний гестоз Increased risk of clots, miscarriage, late pregnancy toxaemia |
Ген метионинсинтазы MTR:2756A>G Methionine synthase gene MTR:2756A>G | A/G* | A/A | Повышение уровня гомоцистеина крови. Риск развития тромбоэмболии Increased serum homocysteine levels. Risk of thromboembolism |
Ген метионинсинтазы-редуктазы MTRR:66A>G Methionine synthase reductase gene MTRR:66A>G | G/G* | A/A | Повышение уровня гомоцистеина крови. Риск развития тромбоэмболии Increased serum homocysteine levels. Risk of thromboembolism |
Учитывая анамнез и длительность течения заболевания, данные лабораторных и инструментальных методов исследования был сформулирован диагноз: «ОНМК в артериях вертебробазилярной системы с образованием инфарктов в таламусах от 01.09.2020. Тромбофилия: гетерозиготные мутации в генах фактора ингибитора активатора плазминогена PAI-1:675, интегрина альфа ITGA2:807, тромбоцитарного рецептора фибриногена ITGB3:1565, метилен-тетрагидрофолат-редуктазы MTHFR:1298, метионин-синтазы MTR:2756 и гомозиготная мутация в гене метионин-синтазы-редуктазы MTRR:66».
Проводились нейрометаболическая терапия, занятия с нейропсихологом. За время наблюдения отмечено уменьшение сонливости и улучшение когнитивных функций (уменьшились время запоминания и заторможенность, улучшилось внимание).
Клинический случай 2
Пациентка Д., 57 лет, пенсионер, поступила в 2022 г. в Научный центр неврологии с жалобами на эпизоды несистемного головокружения, неустойчивость при ходьбе, выраженное снижение концентрации внимания и памяти на текущие события, эмоциональную лабильность, тревожность, плаксивость, снижение фона настроения, нарушение сна.
Из анамнеза известно, что в течение длительного времени отмечается артериальная гипертония с максимальным повышением артериального давления до 160/90 мм рт. ст. Нерегулярно принимала гипотензивные препараты. Ухудшение состояния произошло остро 12.03.2020, когда утром пациентка была найдена родственниками лежащей на полу без сознания. Бригадой скорой медицинской помощи доставлена в отделение реанимации городской клинической больницы по месту жительства. При проведении КТ головного мозга признаков ОНМК и патологии интракраниальных артерий не выявлено. Угнетение сознания до уровня комы сохранялось, в связи с чем была произведена трахеостомия с последующей искусственной вентиляцией лёгких в течение 15 сут. После деканюляции пациентка была дезориентирована, агрессивна, возбуждена, не узнавала родственников; отмечалось выраженное снижение концентрации внимания, памяти на текущие и прошедшие события. Она предъявляла жалобы на эпизоды галлюцинаторных расстройств (которые сохранялись в течение нескольких месяцев после выписки из стационара), ощущение двоения предметов и ограничение движений глазных яблок при взгляде вверх.
При МРТ головного мозга с контрастным усилением на 18-е сутки от начала развития симптоматики выявлены перивентрикулярные изменения дисциркуляторного характера; двусторонние инфаркты в таламусах с признаками накопления контрастного вещества. После выписки из стационара постепенно полностью регрессировали глазодвигательные нарушения и значительно уменьшилась выраженность атаксии при ходьбе. В течение нескольких последующих месяцев отмечались эпизоды зрительного галлюциноза, выраженная эмоциональная лабильность, когнитивные нарушения, неустойчивость при ходьбе.
В неврологическом статусе при поступлении в ФГБНУ НЦН: в сознании, инструкции выполняет правильно. Эмоционально лабильна, тревожна, плаксива; фон настроения снижен. В месте, времени и собственной личности ориентирована правильно. Снижены концентрация внимания и память на текущие события. Менингеальных симптомов нет. Зрачки и глазные щели равные. Движения глазных яблок сохранены в полном объёме. Установочный нистагм в крайних отведениях глазных яблок. Лицо симметрично при выполнении мимических проб. Глоточный рефлекс живой. Парезов в руках и ногах нет. Мышечный тонус в конечностях не изменён. Сухожильные рефлексы в руках — живые, D ≥ S; коленные и ахилловы — снижены, S=D. Патологических стопных знаков нет. Вызываются рефлексы орального автоматизма. При выполнении пробы Ромберга неустойчива. Координаторные пробы выполняет удовлетворительно. Чётких нарушений чувствительности в момент осмотра не выявлено.
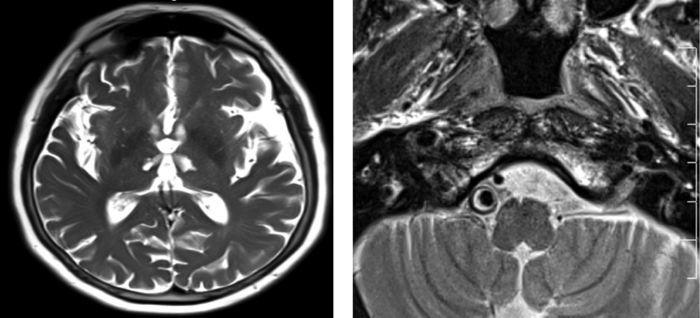
МРТ головного мозга: постинфарктные изменения в парамедиальных отделах таламусов; расширение просвета правой позвоночной артерии в сегменте V4 с пристеночными тромботическими массами (рис. 4).
Рис. 4. МРТ головного мозга в режиме Т2. Стрелками показаны постинфарктные изменения в парамедианных отделах таламусов (А) и расширение правой позвоночной артерии в сегменте V4 (В) с признаками пристеночного тромбоза. / Fig. 4. T2-weighted brain MRI. The arrows indicate the post-stroke changes in the paramedian thalamus (A) and dilation of V4 in the right vertebral artery (B), with signs of mural thrombosis.
КТ-ангиография интракраниальных артерий: фузиформное расширение правой позвоночной артерии в сегменте V4 (рис. 5).
Рис. 5. КТ-ангиография головного мозга с 3D-реконструкцией. Стрелкой показана аневризма правой позвоночной артерии в интракраниальной части V4. / Fig. 5. Brain CT angiography with 3D reconstruction. The arrow indicates the right vertebral artery aneurysm in the intracranial part of V4.
В общем клиническом и биохимическом анализах крови (в том числе определение уровня электролитов плазмы крови), коагулограмме, общем анализе мочи существенных отклонений от нормы не выявлено.
Электроэнцефалография: умеренные диффузные изменения биоэлектрической активности мозга; дисфункция срединно-стволовых структур. Признаков эпилептической активности не выявлено.
Трансторакальная эхокардиография: без существенных патологических изменений. Негрубые признаки атеросклероза восходящего отдела аорты.
Дуплексное сканирование брахиоцефальных артерий: проявления атеросклероза с признаками стеноза правой общей сонной артерии до 20–25%.
Консультация нейропсихолога: умеренные когнитивные нарушения, среди которых на первом плане — нарушения памяти по модально-неспецифическому типу с преимущественным изменением непосредственного воспроизведения. Элементы нарушения фрагментарного восприятия в зрительном гнозисе и зрительно-пространственной деятельности. Нарушение в динамическом праксисе и вторичные проявления нарушений в кинестетическом праксисе. Пациентка эмоционально лабильна.
Клинический диагноз: Последствия нарушения мозгового кровообращения в бассейне артерий вертебробазилярной системы (АП). Фузиформная аневризма правой позвоночной артерии в интракраниальной части V4 с признаками пристеночного тромбоза. Атеросклероз аорты и брахиоцефальных артерий. Артериальная гипертензия 1 степени, риск сердечно-сосудистых осложнений 4.
Во время госпитализации пациентка получала антиагрегантную, гипотензивную, гиполипидемическую, нейропротекционную и седативную терапию. Пациентка была выписана в удовлетворительном состоянии на амбулаторное лечение с лёгкими неврологическими нарушениями. Оценка по шкалам: NIHSS — 0 баллов, Рэнкина — 1 балл, Ривермида — 14 баллов, Бартел — 100 баллов.
Обсуждение
Нередко расстройства высших психических функций могут являться результатом нарушения мозгового кровообращения. Степень когнитивной дисфункции и психической дезориентации может быть разной, вплоть до требующей госпитализации в психиатрический стационар.
К функционально значимым для состояния когнитивных функций областям мозга относят лобные доли, теменно-височно-затылочные области коры, медиобазальные отделы височных долей, медиальные и передние отделы таламусов. В любом случае клинические особенности той или иной формы деменции определяются преимущественной локализацией поражения и определённой последовательностью вовлечения отделов мозга в патологический процесс. Эти различия чётко проявляются на ранней стадии, когда распространённость патологического процесса ограничена, чем на более поздней стадии.
При окклюзии ТПА возможно развитие 4 основных клинических вариантов ОНМК [8, 9]:
1) двусторонние парамедианные таламические инфаркты с вовлечением среднего мозга (43%);
2) изолированные двусторонние парамедианные таламические инфаркты (38%);
3) двусторонние инфаркты в парамедианной и передней областях таламусов в сочетании с инфарктом в среднем мозге (14%);
4) двусторонние инфаркты в парамедианной и передней областях таламусов (5%) (встречается редко).
Особенностями клинической картины при возникновении инфарктов в бассейне АП являются 6]:
1) угнетение сознания различной степени выраженности;
2) глазодвигательные нарушения в виде горизонтального или вертикального пареза взора;
3) нарушения памяти;
4) значительно выраженные изменения в психическом статусе с эпизодами иллюзорно-галлюцинаторных расстройств;
5) координаторные нарушения (атаксия, дисметрия);
6) другие очаговые неврологические нарушения (дизартрия, парез лицевой мускулатуры, парезы в руках и ногах).
Следует отметить, что угнетение сознания различной степени выраженности считается обязательным симптомом в клинической картине данного заболевания. Вначале отмечаются эпизоды спутанности сознания. Затем формируется выраженная апатия, ограничение повседневной активности вплоть до невыполнения правил личной гигиены, повышенная сонливость. Это сопровождается выраженными нарушениями памяти на текущие события и конфабуляциями, что может напоминать корсаковский синдром.
Клиническая картина острого периода инсульта в обоих описанных нами случаях характеризовалась сочетанием нарушений сознания и психических нарушений с лёгкой очаговой неврологической симптоматикой. Психические расстройства складывались из снижения памяти и внимания, дезориентировки в месте и во времени, некритичности. Очагового нарушения высших корковых функций не наблюдалось. Согласно анамнестическим сведениям у пациентов до инсульта не было нарушений памяти и поведения. Они были трудоспособны и не требовали посторонней помощи в повседневной жизни.
Второй клинический случай примечателен тем, что у пациентки отмечалось быстрое угнетение сознания до комы, что при поступлении в стационар обусловливало необходимость проведения дифференциальной диагностики с заболеваниями воспалительного, инфекционного, токсического и дисметаболического генеза. Клинический интерес вызывает также появление педункулярного галлюциноза в раннем восстановительном периоде, что в клинической картине ОНМК в бассейне АП встречается редко.
Таким образом, приведённые клинические случаи могут представлять интерес не только для неврологов, но и для врачей других специальностей, сталкивающихся с подобной психоневрологической симптоматикой. Трудности распознавания причины ишемического инсульта у пациентов с поражением АП связаны, как правило, с полиморфизмом клинически и, прежде всего, психических расстройств и редко встречающейся «стратегической сосудистой деменцией», а также угнетением сознания, что обосновывает необходимость комплексного индивидуального подхода к диагностике с использованием методов нейровизуализации.
About the authors
Vladislav A. Annushkin
Research Center of Neurology
Author for correspondence.
Email: annushkin-v@mail.ru
ORCID iD: 0000-0002-9120-2550
aduate student, 1st Neurological department, Institute of Clinical and Preventive Neurology
Russian Federation, MoscowAlexey A. Nikonov
Research Center of Neurology
Email: nikonoffff@mail.ru
ORCID iD: 0000-0003-4934-1423
Cand. Sci. (Med.), neurologist, 2nd Neurological department, Institute of Clinical and Preventive Neurology
Russian Federation, MoscowMarina Yu. Maksimova
Research Center of Neurology
Email: ncnmaximova@mail.ru
ORCID iD: 0000-0002-7682-6672
D. Sci. (Med.), Professor, Head, 2nd Neurology department, Institute of Clinical and Preventive Neurology
Russian Federation, MoscowОlga V. Lagoda
Research Center of Neurology
Email: angionev@gmail.com
ORCID iD: 0000-0001-7562-4991
Cand. Sci. (Med.), senior researcher, 1st Neurological department, Institute of Clinical and Preventive Neurology
Russian Federation, MoscowMarine M. Tanashyan
Research Center of Neurology
Email: M_Tanashyan2004@mail.ru
ORCID iD: 0000-0002-5883-8119
D. Sci. (Med.), Professor, Corresponding member of RAS, Deputy Director for science, Head, 1st Neurological department, Institute of Clinical and Preventive Neurology
Russian Federation, MoscowReferences
- Percheron G. The anatomy of the arterial supply of the human thalamus and its use for the interpretation of the thalamic vascular pathology. Z. Neurol. 1973; 205(1): 1–13. doi: 10.1007/BF00315956
- Saida I.B., Saad H.B., Zghidi M. et al. Artery of Percheron stroke as an unusual cause of hypersomnia: a case series and a short literature review. Am. J. Mens. Health. 2020; 14(4): 1557988320938946. doi: 10.1177/1557988320938946
- Shams A., Hussaini S.A., Ata F. et al. bilateral thalamic infarction secondary to thrombosis of artery of Percheron. Cureus. 2021; 13(3): e13707. doi: 10.7759/cureus.13707
- Garcia-Grimshaw M.A., Peschard-Franco M., Gutierrez-Manjarrez F.A. Bilateral thalamic ischemic stroke secondary to occlusion of the artery of Percheron. Cureus. 2018; 10(5): e2676. doi: 10.7759/cureus.2676
- Carrera E., Michel P., Bogousslavsky J. Anteromedian, central, and posterola- teral infarcts of the thalamus: three variant types. Stroke. 2004; 35(12): 2826–2831. doi: 10.1161/01.STR.0000147039.49252.2f
- Arauz A., Patiño-Rodríguez H.M., Vargas-González J.C. et al. Clinical spectrum of artery of Percheron infarct: clinical-radiological correlations. J. Stroke Cerebrovasc. Dis. 2014; 23(5): 1083–1088. doi: 10.1016/j.jstrokecerebrovasdis.2013.09.01
- Tu S., Miller L., Piguet O., Hornberger M. Accelerated forgetting of contextual details due to focal medio-dorsal thalamic lesion. Front. Behav. Neurosci. 2014; 8: 320. doi: 10.3389/fnbeh.2014.00320
- Amin O.S., Shwani S.S., Zangana H.M. et al. Bilateral infarction of paramedian thalami: a report of two cases of artery of Percheron occlusion and review of the literature. BMJ Case Rep. 2011; 2011: bcr0920103304. doi: 10.1136/bcr.09.2010.3304
- Smith A.B., Smirniotopoulos J.G., Rushing E.J., Goldstein S.J. Bilateral thalamic lesions. Am. J. Roentgenol. 2009; 192(2): W53–W62.










