Demyelinating CNS processes in late post-liver transplant period
- Authors: Salienko A.A.1, Syutkin V.E.1, Lisitskaya M.V.2, Kuznetsov D.V.3, Novruzbekov M.S.1
-
Affiliations:
- Sklifosovsky Research Institute for Emergency Medicine
- Lomonosov Moscow State University
- Moscow Scientific and Practical Center of Dermatology, Venerology and Cosmetology
- Issue: Vol 17, No 3 (2023)
- Pages: 83-87
- Section: Clinical analysis
- Submitted: 02.09.2022
- Accepted: 07.02.2023
- Published: 29.09.2023
- URL: https://annaly-nevrologii.com/pathID/article/view/878
- DOI: https://doi.org/10.54101/ACEN.2023.3.10
- ID: 878
Cite item
Full Text
Abstract
In solid organ recipients, post-transplant neurotoxicity of calcineurin inhibitors (CIs) can be manifested by brain and spinal cord demyelination with multiple sclerosis (MS)-like symptoms.
Here are presented two case reports of neurological MS-like symptoms in the long-term post-liver transplant period with different underlying causes.
CI neurotoxicity may resemble various neurological diseases, including MS. At the same time, liver transplant recipients can develop true MS regardless of the immunosuppressant use. In liver transplant recipients, adequate differential diagnosis of neurological complications avoids unnecessary medications and reverses severe neurological deficits by immunosuppressant conversion.
Full Text
Введение
Трансплантация печени (ТП) является единственным радикальным способом лечения пациентов с терминальной стадией хронических заболеваний печени. Для обеспечения нормального функционирования трансплантата печени в раннем и отдалённом посттрансплантационных периодах требуется пожизненный приём иммуносупрессивной терапии. Главными препаратами, применяемыми для поддерживающей иммуносупрессии (ИС), являются ингибиторы кальциневрина (ИК) — такролимус и циклоспорин.
Одним из серьёзных нежелательных явлений, которые могут быть вызваны приёмом ИК, являются неврологические осложнения, которые наблюдаются у реципиентов печени с частотой 15–30% [1, 2]. Проявления нейротоксичности ИК могут наблюдаться как в раннем, так и отдалённом периоде после ТП. В раннем периоде после ТП чаще всего отмечаются изменения сознания, эпилептиформные или так называемые острые симптоматические судорожные приступы [3, 4], цереброваскулярные осложнения и инфекции центральной нервной системы, центральный понтинный миелинолиз.
Одним из грозных проявлений нейротоксичности ИК является токсическая лейкоэнцефалопатия, проявляющаяся демиелинизирующими процессами в головном или спинном мозге, которая может развиваться у взрослых и детей после трансплантации солидных органов и костного мозга. К счастью, при своевременной диагностике, визуализации головного мозга проявления токсической лейкоэнцефалопатии обратимы почти у всех пациентов после снижения дозы такролимуса [5]. Клинические проявления нейротоксичности ИК обычно сопровождаются повышением уровня их концентрации в крови, но симптомы могут проявляться даже при нормальной концентрации.
Такролимус является липофильным препаратом, который способен преодолевать гематоэнцефалический барьер и оказывать прямое нейротоксическое действие, особенно на белое вещество, богатое липидами. Кальциневрин, который подавляют ИК, также является медиатором функции нейронов, и предполагается, что токсичность лекарств возникает из-за дисрегуляции гематоэнцефалического барьера и нарушения вазоконстрикции кровеносных сосудов в мозге [6]. Предполагаемые механизмы нейротоксичности такролимуса включают цитотоксический отёк после длительного воздействия препарата, прямое повреждение эндотелия, вызывающее вазоконстрикцию, и ингибирование экспрессии насосов, обеспечивающих отток лекарственных средств [7].
В отдалённом периоде после ТП на фоне длительной терапии ИК могут наблюдаться головные боли, тремор, бессонница, дизестезия, нарушения зрения. N.R. Frühauf и соавт. описали развитие задней лейкоэнцефалопатии, вызванной токсичностью такролимуса (субкортикарные поражения белого вещества головного мозга, выявленные при магнитно-резонансной томографии (МРТ)), в отдалённом посттрансплантационном периоде [8].
Первое сообщение о гистологически подтверждённой демиелинизации у реципиента костного мозга на фоне приёма циклоспорина опубликовано в 1989 г. [9]. В 1996 г. группа исследователей из Питтсбургского университета сообщила об аналогичных патологических и радиологических признаках у 2 реципиентов печени и реципиента лёгкого на фоне приёма такролимуса [10]. C.M. Lavigne и соавт. показали, что морфологические изменения в головном мозге у больных с клиническими проявлениями нейротоксичности ИК включают демиелинизацию и повреждение эндотелия с вазогенным отёком в белом веществе при отсутствии инфаркта [11, 12].
В то же время реципиенты печени не застрахованы от развития истинного рассеянного склероза (РС). Своевременная дифференциальная диагностика демиелинизирующих процессов в головном мозге является залогом правильного выбора терапии.
Для купирования признаков нейротоксичности ИК обычно достаточно изменения режима ИС; одним из перспективных направлений является назначение ингибиторов пролиферативного сигнала с минимизацией или полной отменой ИК [13]. В то же время развитие истинного РС у реципиентов трансплантата печени не связано с проводимой ИС и не требует конверсии ИС.
Мы приводим два наблюдения демиелинизирующих процессов головного мозга, развившихся в отдалённом посттрансплантационном периоде у реципиентов печени, в основе которых лежали различные причины.
Клинический случай 1
Пациентке З., 42 года, 02.03.2007 выполнена ТП по поводу цирроза печени в исходе аутоиммунного гепатита. В раннем послеоперационном периоде получала стандартную трёхкомпонентную иммуносупрессивную терапию: такролимус 4 мг/сут (целевая концентрация 5–7 нг/мл), микофеноловую кислоту (МФК) 1440 мг/сут с отменой на 110-е сутки, преднизолон 40 мг/сут с постепенным снижением и отменой на 96-е сутки. Течение раннего посттрансплантационного периода осложнилось развитием стриктуры билиобилиарного соустья. Попытки консервативной терапии не увенчались успехом, 20.03.2008 произведено иссечение участка гепатикохоледоха, несущего стриктуру, наложен гепатикоеюноанастомоз на отключённой по Ру петле кишки. Дальнейший послеоперационный период протекал без осложнений. Показатели функциональных печёночных проб оставались нормальными. Вскоре после ТП пациентка стала отмечать периодически возникавшие головные боли по типу мигрени, тремор пальцев рук; к неврологу не обращалась, принимала симптоматическую обезболивающую терапию.
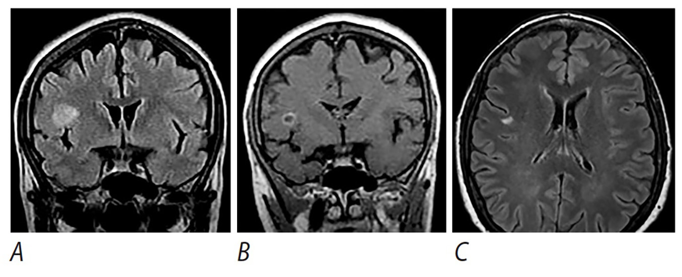
Через 51 мес после ТП (11.06.2011) пациентка внезапно отметила сильную боль в левом глазном яблоке, сужение полей зрения, резкое снижение зрения вплоть до полной слепоты левого глаза, сильную головную боль в лобно-височной области. Была госпитализирована в НИИ СП им. Н.В. Склифосовского. Осмотрена окулистом: патологии не выявлено. При нейроофтальмологическом исследовании установлено резкое снижение электрической проводимости зрительного нерва левого глаза, диагностирована нейропатия зрительного нерва. При ультразвуковой допплерографии сосудов шеи и глазничной артерии патологии не выявлено. При рентгенографии зрительных нервов по Резе костных изменений не обнаружено. По результатам МРТ головного мозга от 25.06.2011 в правой лобной доле визуализирован очаг овоидной формы размером 8 × 10 мм с высокой интенсивностью сигнала на Т2-взвешенных изображениях, окружённый тонкой полоской отёка (толщиной около 1–2 мм). После внутривенного введения контрастного препарата отмечалось кольцевидное его накопление очагом (рис. 1, А). Эти радиологические изменения были расценены как признаки демиелинизирующего процесса. Дифференциальный диагноз проводился между демиелинизирующим заболеванием центральной нервной системы (ЦНС) — первичный демиелинизирующий процесс и вторичным демиелинизирующим процессом как проявлением нейротоксичности такролимуса. Пациентка получила 5 болюсов метилпреднизолона по 1000 мг в течение 5 дней с последующим переходом на приём метилпреднизолона внутрь. Проведена конверсия ИС: такролимус заменён на эверолимус в дозе 2 мг/сут (С0 — 3–5 нг/мл). На фоне проводимой терапии отмечено быстрое исчезновение головных болей, нормализация зрения. При исследовании электрической проводимости зрительных нервов отмечается нормализация показателя слева. На момент подготовки статьи пациентка наблюдается более 10 лет со времени появления неврологической симптоматики. Получает эверолимус (3 мг/сут) и метилпреднизолон (4 мг/сут). Никаких клинических признаков прогрессирования демиелинизирующего заболевания ЦНС не наблюдается. Головные боли не возобновлялись. Тремор исчез. Признаков дисфункции трансплантата также не выявляется. Пациентка работает медицинской сестрой в стационаре. За время наблюдения неоднократно проводились МРТ головного мозга. С 2017 г. пациентке по поводу травмы голени установлен ферромагнитный штифт, не позволяющий провести МРТ головы, поэтому результаты исследований МРТ головного мозга в настоящее время нам не доступны.
Рис. 1. Изменения в головном мозге пациентки З.
А, В — первичное обследование: А — Т2-FLAIR-взвешенные изображения в корональной плоскости; в правой лобной доле визуализируется очаг с высокой интенсивностью сигнала; В — Т1-взвешенные изображения в корональной плоскости после внутривенного введения гадолиний-содержащего контрастного препарата; отмечается кольцевидное накопление контрастного препарата очагом. С — изменения очага через 3 года: Т2-FLAIR-взвешенные изображения в аксиальной плоскости; отмечается уменьшение в размерах очага в правой лобной доли.
Fig. 1. Brain changes in patient Z (female).
A, B: initial study. A: T2-FLAIR-weighted coronal images; in the right frontal lobe, a high-intensity lesion is visualized. B: T1-weighted coronal images after intravenous use of a gadolinium-containing contrast agent; the lesion demonstrates ring enhancement. C: lesion changes at 3 years; T2-FLAIR-weighted axial images: the right frontal lobe lesion has decreased in size.
Таким образом, при первичном обследовании в 2011 г. у пациентки был выявлен единичный крупный очаг в правой лобной доле, окружённый тонкой полоской отёка и накапливающий контрастный препарат в виде кольца, что указывает на нарушение гематоэнцефалического барьера. При последующем наблюдении отмечается уменьшение этого очага.
Клинический случай 2
Пациенту К., 43 года, 11.11.2012 выполнена ТП по поводу терминальной стадии алкогольного цирроза печени. После ТП в течение 2 мес получал двухкомпонентную ИС: такролимус пролонгированного действия (целевая концентрация 5–7 нг/мл) и МФК, в дальнейшем в связи со снижением скорости клубочковой фильтрации МФК заменена на эверолимус, а экспозиция такролимуса уменьшена.
Через 3 года после ТП пациент начал отмечать нарушения фокусировки зрения. На томограммах головного мозга от декабря 2014 г. были выявлены множественные очаги в белом веществе больших полушарий, мозолистом теле и варолиевом мосту (рис. 2, А). Наиболее крупный очаг, расположенный в правой лобной доле (размером 18 × 15 мм), накапливал контрастный препарат в виде кольца. Консультирован в Городской клинической больнице № 24 в Московском городском центре (МГЦ) РС, установлен диагноз: демиелинизирующее заболевание ЦНС (вторичный демиелинизирующий процесс на фоне иммуносупрессантов). Как и в клиническом случае 1, лечение начато с болюсного введения метилпреднизолона по 1000 мг в течение 5 дней. Проведена конверсия ИС: такролимус заменён на эверолимус в дозе 3 мг/сут (С0 — 4–6 нг/мл). Несмотря на проводимое лечение, у пациента сохранялась неврологическая симптоматика: дизестезия ног с уровня средней трети бёдер и вниз, нарушения зрения. На контрольных томограммах через 1,5 и 3 мес сохранялись признаки активности процесса (в виде появления нового очага с сохраняющимся контрастированием). Вновь консультирован в ГКБ № 24 в МГЦ РС, где установлен диагноз: РС, ремиттирующее течение. С июня 2018 г., в связи с прогрессирующим течением, получает лечение глатиратом.
Рис. 2. Изменения в головном мозге пациента К.
А, В — первичное обследование: А — Т2-FLAIR-взвешенные изображения в аксиальной плоскости — определяются очаговые изменения в правой лобной доле: крупный очаг и не менее 2 мелких; В — Т1-взвешенные изображения в аксиальной плоскости после внутривенного контрастирования — отмечается накопление контрастного препарата крупным очагом в виде кольца, мелкие очаги не контрастируются. С — исследование через 1,5 мес; Т1-взвешенные изображения в аксиальной плоскости после внутривенного контрастирования; отмечается появление очага, накапливающего контрастный препарат, в перивентрикулярных отделах правой затылочной доли.
Fig. 2. Brain changes in patient K. (male).
A, B: initial study. A: T2-FLAIR-weighted axial images; in the right frontal lobe, one large lesion and at least two small lesions are visualized. B: T1-weighted axial images after intravenous contrast use; the large lesion demonstrated ring enhancement; small lesions are not enhanced. C: changes at 1.5 months; T1-weighted axial images after intravenous contrast use; a contrast-enhancing periventricular lesion has emerged in the right occipital lobe.
При последующих исследованиях МРТ до настоящего времени у пациента отмечалась прогрессия изменений в виде появления новых очагов, в том числе в спинном мозге или увеличение имеющихся. Таким образом, отсутствие обратного развития неврологической симптоматики после конверсии ИС, прогрессирование клинических и радиологических признаков демиелинизации позволяет высказаться в пользу самостоятельного первичного демиелинизирующего заболевания, вне связи с ИС. Следует отметить, что проводимая ИС эффективна в отношении поддержания хорошей функции трансплантата, показатели функциональных печёночных проб — в пределах нормальных значений.
Обсуждение
Нейротоксичность ИК — частое нежелательное явление, которое может наблюдаться у реципиентов солидных органов и костного мозга, получающих поддерживающую ИС этими препаратами. В большинстве случаев проявления нейротоксичности наблюдаются в раннем послеоперационном периоде, часто носят дозозависимый характер и обычно обратимы в случае снижения дозы или, предпочтительнее, замены ИС.
Большинство случаев демиелинизирующих заболеваний центральной и периферической нервной системы описаны у реципиентов костного мозга, чаще — в рамках реакции «трансплантат против хозяина». Клинические наблюдения включают неврит зрительного нерва, а также проявления, характерные для ремиттирующего течения РС и острой воспалительной полирадикулопатии. В этих случаях особенно важно исключить вирусную (JC, полиомавирусы) этиологию, поскольку высокие дозы кортикостероидов и ритуксимаб могут ухудшить течение болезни. Важно также своевременно распознать проявления нейротоксичности ИК, протекающие под маской РС, что позволит избежать необоснованного назначения специфической терапии.
Описания развития демиелинизирующих процессов в головном мозге неинфекционной природы в отдалённом посттрансплантационном периоде у реципиентов солидных органов встречаются значительно реже.
Нами приведено описание 2 клинических случаев пациентов после ТП с неврологическими осложнениями, развившимися в отдалённом посттрансплантационном периоде. Оба реципиента получали иммуносупрессивную терапию, включающую такролимус. В отдалённые сроки после ТП у обоих пациентов развились серьёзные неврологические нарушения, сопровождавшиеся снижением зрения и радиологической картиной, характерной для демиелинизирующих заболеваний ЦНС. В первом случае конверсия ИС с полной отменой такролимуса привела к быстрому и полному регрессу неврологической симптоматики, положительной динамике радиологической картины, что позволило трактовать клиническую ситуацию как проявление нейротоксичности такролимуса. Во втором случае отмена такролимуса не привела к улучшению в течении болезни. По-видимому, демиелинизирующий процесс в головном, а впоследствии — спинном мозге не был связан с ИС, а являлся первичным заболеванием ЦНС — РС.
Заключение
В отдалённом посттрансплантационном периоде у реципиентов печени, получающих ИК, может внезапно развиться грубая неврологическая симптоматика, как связанная с нейротоксичностью ИК, так и имеющая иные причины. Клинические проявления нейротоксичности ИК могут напоминать различные неврологические заболевания, в том числе РС. В то же время истинный РС может развиться у реципиентов трансплантированной печени независимо от приёма иммуносупрессантов. Корректный и своевременный дифференциальный диагноз позволит в одних случаях избежать назначения ненужных (и потенциально токсичных) медикаментов, применяемых для лечения РС, в других — привести к обратному развитию грубых неврологических дефектов за счёт конверсии иммуносупрессивной терапии.
About the authors
Anastasia A. Salienko
Sklifosovsky Research Institute for Emergency Medicine
Author for correspondence.
Email: salienko1@mail.ru
ORCID iD: 0000-0002-2732-684X
surgeon, Emergency operations unit, Moscow City Center for Liver Transplantation, Sklifosovsky Research Institute for Emergency Medicine, Moscow, Russia
Russian Federation, MoscowVladimir E. Syutkin
Sklifosovsky Research Institute for Emergency Medicine
Email: vladsyutkin@gmail.com
ORCID iD: 0000-0001-8391-5211
D. Sci. (Med.), leading researcher, Moscow City Center for Liver Transplantation, Sklifosovsky Research Institute for Emergency Medicine, Moscow, Russia
Russian Federation, MoscowMaria V. Lisitskaya
Lomonosov Moscow State University
Email: lissenok@inbox.ru
ORCID iD: 0000-0002-8402-7643
Cand. Sci. (Med.), radiologist, Department of X-ray diagnostics with CT and MRI rooms, Lomonosov Moscow State University, Moscow, Russia
Russian Federation, MoscowDenis V. Kuznetsov
Moscow Scientific and Practical Center of Dermatology, Venerology and Cosmetology
Email: doktor.nevrolog@mail.ru
ORCID iD: 0000-0002-8201-2376
neurologist, Moscow Scientific and Practical Center of Dermatology, Venerology and Cosmetology, Moscow, Russia
Russian Federation, MoscowMurad S. Novruzbekov
Sklifosovsky Research Institute for Emergency Medicine
Email: n.m.s@bk.ru
ORCID iD: 0000-0002-6362-7914
D. Sci. (Med.), Head, Scientific Department, Moscow City Center for Liver Transplantation, Sklifosovsky Research Institute for Emergency Medicine, Moscow, Russia
Russian Federation, MoscowReferences
- Rompianesi G., Montalti R., Cautero N. et al. Neurological complications after liver transplantation as a consequence of immunosuppression: univariate and multivariate analysis of risk factors. Transpl. Int. 2015;28(7):864–869. doi: 10.1111/tri.12564
- Zivković S.A. Neurologic complications after liver transplantation. World J. Hepatol. 2013;5(8):409–416. doi: 10.4254/wjh.v5.i8.409
- Цирульникова О.М., Сыркина А.В., Милосердов И.А. и др. Острые симптоматические судорожные приступы в раннем послеоперационном периоде трансплантации печени, почки. Вестник трансплантологии и искусственных органов. 2021;23(2):158–166. Tsirul’nikova O.M., Syrkina A.V., Miloserdov I.A. et al. Early postoperative seizures in liver and kidney recipients. Vestnik transplantologii i iskusstvennykh organov. 2021;23(2):158–166. (In Russ.). doi: 10.15825/1995-1191-2021-2-158-166
- Mueller A.R., Platz K.P., Bechstein W.O. et al. Neurotoxicity after orthotopic liver transplantation. A comparison between cyclosporine and FK506. Transplantation. 1994;58(2):155–70.
- Singh N., Bonham A., Fukui M. Immunosuppressive-associated leukoencephalopathy in organ transplant recipients. Transplantation. 2000;69(4):467–472. doi: 10.1097/00007890-200002270-00001
- Dhar R. Neurologic complications of transplantation. Neurocrit. Care. 2018;28(1):4–11. doi: 10.1007/s12028-017-0387-6
- Wijdicks E.F., Wiesner R.H., Dahlke L.J., Krom R.A. FK506-induced neurotoxicity in liver transplantation. Ann. Neurol. 1994;35(4):498–501. doi: 10.1002/ana.410350422
- Frühauf N.R., Koeppen Dagger S., Saner F.H. et al. Late onset of tacrolimus-related posterior leukoencephalopathy after living donor liver transplantation. Liver Transpl. 2003;9(9):983–985. doi: 10.1053/jlts.2003.50181
- Lind M.J., McWilliam L., Jip J. et al. Cyclosporin associated demyeli- nation following allogeneic bone marrow transplantation. Hematol. Oncol. 1989;7(1):49–52. doi: 10.1002/hon.2900070105
- Small S.L., Fukui M.B., Bramblett G.T., Eidelman B.H. Immunosuppression-induced leukoencephalopathy from tacrolimus (FK506). Ann. Neurol. 1996;40(4):575–580. doi: 10.1002/ana.410400406
- Lavigne C.M., Shrier D.A., Ketkar M., Powers J.M. Tacrolimus leukoencephalopathy: a neuropathologic confirmation. Neurology. 2004;63(6):1132–1133. doi: 10.1212/01.wnl.0000138568.60774.e4
- Furukawa M., Terae S., Chu B.C. et al. MRI in seven cases of tacrolimus (FK-506) encephalopathy: utility of FLAIR and diffusion-weighted imaging. Neuroradiology. 2001;43(8):615–621. doi: 10.1007/s002340100545
- Pillai A.A., Levitsky J. Overview of immunosuppression in liver transplantation. World J. Gastroenterol. 2009;15(34):4225–4233. doi: 10.3748/wjg.15.4225







