A Clinical Case of Corticospinal Tract Reorganization of Supplementary Motor Area in a Child After Acute Hypoxic Brain Injury
- Authors: Kanshina D.S.1, Melnikov I.A.1, Ublinsky M.V.1, Nikitin S.S.2, Valliulina S.A.1, Akhadov T.A.1, Surma M.A.3
-
Affiliations:
- Research Institute of Emergency Pediatric Surgery and Traumatology
- Medical Genetic Research Center named after N.P. Bochkov
- National Medical and Surgical Center named after N.I. Pirogov
- Issue: Vol 17, No 4 (2023)
- Pages: 97-101
- Section: Clinical analysis
- Submitted: 27.02.2023
- Accepted: 18.04.2023
- Published: 25.12.2023
- URL: https://annaly-nevrologii.com/pathID/article/view/947
- DOI: https://doi.org/10.54101/ACEN.2023.4.12
- ID: 947
Cite item
Abstract
We present clinical observation of a 3-year-old child during recovery after acute hypoxic brain injury (freshwater drowning). Using diagnostic transcranial magnetic stimulation and magnetic resonance tractography with reconstruction of the corticospinal tract (CST) originated from the primary motor cortex and supplementary motor area (SMA), we determined that hypoxic brain injury induced activation of CST from the SMA. The period of reorganization was associated with the development of epileptiform patterns, that confirms the transient hyperexcitability of cortical neurons. Our findings indicate no recovery of motor function after acute hypoxic brain injury when CST originated only from SMA.
Full Text
Introduction
Transcranial magnetic stimulation (TMS) can be used for non-invasive and painless assessment of the corticospinal tract (CST) development in children in health and disease. The diagnostic potential of the TMS in the investigation of the perinatal CST damage following stroke and cerebral palsy in children has been described [1]. The role of supplementary motor area (SMA) as a reserve motor control zone becomes more important in case of disrupted cortical motor regulation [2, 3]. However, it is extremely difficult to obtain evidence for this in the clinical setting.
We present a clinical case of CST development from the SMA during recovery after acute hypoxic brain injury in a 3-year-old child.
Clinical Case
Female patient S., 3 y. 2 mos.o., was admitted to the Rehabilitation Department, the Research Institute of Children's Emergent Surgery and Traumatology, on Day 50 after acute hypoxic brain injury (freshwater drowning).
According to her history, the child fell into the swimming pool and remained face down in the water for 10 minutes until her mother noticed the girl. The mother unsuccessfully tried to resuscitate her child and delivered her to the hospital where the girl was admitted to the ICU. The patient was weaned from the ventilator and breathed spontaneously via tracheostomy. After the patient’s condition stabilized, her transfer and readmission to the Research Institute of Children’s Emergent Surgery and Traumatology was approved.
Neurological examination:
- vegetative state;
- tetraparesis;
- bulbar palsy;
- Disability Rating Scale (DRS) score, 24 points;
- Bykova–Lukyanov Scale of Communication Activity score, 21 points (poor rehabilitation prognosis) [4, 5].
On Day 56 from injury, we performed standard diagnostic TMS using the Neuro-MS Monophasic magne tic stimulator and the Neuro-MEP-Micro 2-channel myograph (Neurosoft, Ivanovo, Ivanovo Region, Russian Federation), with a 9-cm circular coil. Stimulation area was localized with single stimuli in F3 projection for the left hemisphere and in F4 projection for the right hemisphere on 10–20 international scheme (intensity ≥ 50%) contralaterally to the side of motor evoked potential (MEP) registration.
The electric current in the circular coil was directed clockwise for the left hemisphere and counterclockwise for the right hemisphere. Disposable surface electrodes were placed on m. Аbductor pollicis brevis projection bilaterally in accordance with the contralateral recording scheme [6]. The coil was moved by 1 cm to determine stimulation area if MEP was evoked, and motor threshold was assessed using 10–20% power of stimulus increment according to the to the Rossini-Rothwell algorithm [7]. We assessed MEP parameters including motor threshold, latency, amplitude, and shape.
No reliable MEP was recorded with stimulation in the 50–85% range of stimulus intensity, and only a stimulation artifact was detected.
On the same day, we performed neuroimaging, i.e. magnetic resonance (MR) tractography with CST reconstruction arising from primary motor cortex (M1) and SMA using the Philips Achieva dStream 3.0T scanner and MR Fiber Trak software on the IntelliSpace Portal.
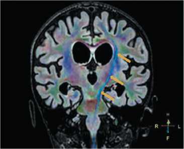
Only single projections originated from SMA were seen in the left hemisphere (Fig. 1).
Fig. 1. MR tractogram with CST reconstruction of patient S. on day 56 from injury.
Single CST projections from SMA (blue) are seen on the left (arrows).
During the follow-up 6 months from injury, MEPs could not be reliably verified, although even a single stimulus of 50% intensity triggered a 25-sec generalized tonic seizure. Therefore, the number of stimuli was limited. CST reconstruction on follow-up MR tracto graphy demonstrated substantial volume predominance of the right CST originated from SMA and absence of CST from M1 (Fig. 2).
Fig. 2. MR tractogram of patient S. in 6 months from injury. Predominance of CST originating from right SMA (blue).
Video EEG monitoring was performed in external facility. Epileptiform discharges in the vertex region (Fz-Cz-Pz) with periodic spreading to the left central parietal region (C3-P3) or bilaterally were registered in wakefulness and sleep; the prevalence was average in sleep and low in wakefulness. During the recording period, 4 generalized motor tonic seizures accompanied by rhythm desynchronization and fast-wave beta-band activity (ictal pattern) and events of non-epileptologic genesis were recorded (Fig. 3). The child was consulted by an epileptologist, and depakine (8 mg QD, 33 mg/kg QD) and clonazepam (1.5 mg QD) were prescribed.
Fig. 3. EEG monitoring in patient S. during the awake stage in 6 months from injury.
Bipolar montage, paper speed 10 sec/page, sensitivity 7 µV/div, low-pass filter: 70 Hz, high-pass filter: 1 Hz. Ictal pattern (red arrow).
At 1 year follow-up, reproducible polyphasic contralateral TMS MEP in the left hemisphere was recorded with 66–68% intensity, maximum amplitude of 0.467 mV, and 17.2 msec minimum latency. No response from the left hand muscles during the right hemisphere stimulation was recorded. MR tractography revealed symmetrical CST originating from SMA in the right and left hemispheres with no CSTs from M1 (Fig. 4). No epileptic events were recorded during TMS. The patient received anticonvulsants. Follow-up video EEG monitoring was performed between hospitalizations. No seizure EEG patterns were recorded. In wakefulness and in sleep, regional epileptiform discharges were registered in central-vertex regions (Cz) periodically with spreading to parieto-central regions, mostly bilaterally, as well as independently on the left and right, represented by spike-slow wave complexes, by their morphology the discharges correspond to “rolandic spikes”, with high prevalence in some sleep epochs and low prevalence in awake EEG (Fig. 5). The anticonvulsant therapy was adjusted (topiramate 100 mg QD; clonazepam daily dose decreased to 0.625 mg QD).
Fig. 4. Patient S.'s evaluation 1 year from injury.
А — MEP recording, 66% threshold (I — cortical MEP; II —segmental MEP). 1 — response isoline deflection point; 2 — maximum isoline positive deflection point; 3 — response reproduction end point; 4 — stimulation artifact. B — MR tractography: symmetric bilateral CSTs (blue) originating from SMA (arrows).
Fig. 5. Sleep EEG in patient S. 1 year from injury.
Bipolar montage, paper speed 10 sec/page, sensitivity 150 µVp-p, low-pass filter: 70 Hz, high-pass filter: 1.0 Hz.
The fourth assessment was performed in 1.5 years after hypoxic brain injury. MEPs were simultaneously recorded bilaterally on 2 leads from m. аbductor pollicis brevis using alternate hemisphere stimulation. No reliable MEP was recorded as response to the stimulation of the right and left hemispheres. The video EEG monitoring findings and the therapy remained unchanged.
Discussion
Studies of TMS diagnostic significance in children with perinatal injuries of the central nervous system (CNS) emphasized clinical, neuroimaging and neurophysiological correlation. Noteworthily, the CST reorganization model depends on the age when the cortical motor areas were injured. In patients under the age of two years, the ipsilateral hemisphere compensates the motor control of the affected limb while excessive neuroplasticity causes neuronal hyperexcitability including, in some cases, epileptiform patterns as a result of hypoxic ischemic encephalopathy [1].
In our observation, massive hypoxic injury in the 3-year-old child led to the activation of CST originated from SMA while the reorganization period was associated with the development of generalized tonic seizures and epileptiform activity that confirms the transient hyperexcitability of cortical neurons. Other motor phenomena were of non-epileptic origin, and they were consi dered as postanoxic myoclonus manifestations described in the literature as Lance–Adams syndrome [8].
Ipsilateral control of the proximal muscles is described in healthy subjects. In children with early traumatic brain injuries, ipsilateral tracts are primarily involved in motor control of the distal muscles of the limbs [9]. A number of studies demonstrate controversial results regarding M1 excitability depending on the type of reorganization of contra- and ipsilateral tracts in children with perinatal CNS injury [10].
Simultaneous recording of contra- and ipsi-MEPs, similar in latency and shape, including those in children with perinatal stroke and agenesis of the corpus callosum, showed that proprio- and reticulospinal tracts are involved in impulse conduction [9, 11], which challenged the role of commissures in impulse conduction.
SMA tracts, with monosynaptic spinal cord connections, are considered to be less excitable than M1 projections [12]. In our case, massive CNS injury took place at the age of 3 years, during the active development of cortical motor control. This could affect intactness of motor tracts originating from SMA as this area (in addition to the superior parieto-occipital cortex, the anterior intraparietal gyrus, the ventral premotor cortex, the dorsolateral prefrontal cortex, and the posterior and medial parietal gyri) is involved in bimanual movements control, being in fact a part of a multifunctional neural network [13].
Our findings correspond with previously described CST reorganization when SMA represented as an area of hand function motor control in children with brain injuries. However, we have to agree with other researchers and to admit that, due to few clinical observations, we cannot make generalized conclusions about recovery mechanisms in children after acute hypoxic brain injury [14].
In our case, we have observed neuroimaging and neurophysiological dissociation, i.e., the presence of CSTs originated from SMA with no reliably reproducible MEPs in early recovery period after acute hypoxic brain injury. A single registration of contralateral MEP during 1.5-year follow-up cannot be considered as a criterion of recovered motor control.
Conclusion
Our findings indicate the absence of CST recovery after severe hypoxic CNS injury in a 3-year-old child. According to MR-tractography, CST originated from SMA was not clinically associated with recovery of motor function in the child during the described follow-up period. More clinical data is needed to make prognosis on recovery in children after acute hypoxic brain injury based on TMS and MR-tractography.
Ethics approval. The study was conducted with the informed consent of the legal representatives of the patient.
Source of funding. The study was supported by Moscow government grant (project No. 2412-9).
Conflict of interest. The authors declare no apparent or potential conflicts of interest related to the publication of this article.
About the authors
Daria S. Kanshina
Research Institute of Emergency Pediatric Surgery and Traumatology
Author for correspondence.
Email: dr.d.kanshina@gmail.com
ORCID iD: 0000-0002-5142-9400
Cand. Sci. (Med.), Functional Diagnostics Doctor, Neurologist, Senior Researcher
Russian Federation, MoscowIlya A. Melnikov
Research Institute of Emergency Pediatric Surgery and Traumatology
Email: melnikov_ia@doctor-roshal.ru
ORCID iD: 0000-0002-2910-3711
Cand. Sci. (Med.), Radiologist, Senior Researcher, Head, CT-MRI Department
Russian Federation, MoscowMaksim V. Ublinsky
Research Institute of Emergency Pediatric Surgery and Traumatology
Email: maxublinsk@mail.ru
ORCID iD: 0000-0002-4627-9874
Cand. Sci. (Biol.), Senior Researcher
Russian Federation, MoscowSergey S. Nikitin
Medical Genetic Research Center named after N.P. Bochkov
Email: nikitin-s@bk.ru
ORCID iD: 0000-0003-3292-2758
D. Sci. (Med.), Professor, Head, Department of Genetics of Neurological Diseases, Institute of Higher and Additional Professional Education
Russian Federation, MoscowSvetlana A. Valliulina
Research Institute of Emergency Pediatric Surgery and Traumatology
Email: vsa64@mail.ru
ORCID iD: 0000-0002-1622-0169
D. Sci. (Med.), Professor, Director for Medical and Economic Issues, Head, Rehabilitation Department
Russian Federation, MoscowTolibdzhon A. Akhadov
Research Institute of Emergency Pediatric Surgery and Traumatology
Email: akhadov@mail.ru
ORCID iD: 0000-0002-3235-8854
D. Sci. (Med.), Professor, Head, Radiology Department
Russian Federation, MoscowMaria A. Surma
National Medical and Surgical Center named after N.I. Pirogov
Email: maria_fnc@mail.ru
ORCID iD: 0000-0002-3692-2109
Neurologist, Doctor of Functional Diagnostics
Russian Federation, MoscowReferences
- Tekgul H., Saz U., Yilmaz S., et.al Transcranial magnetic stimulation study for the investigation of corticospinal motor pathways in children with cerebral palsy. J. Clin. Neurosci. 2020;78:153–158. doi: 10.1016/j.jocn.2020.04.087
- Fujimoto H., Mihara M., Hattori N. et al. Cortical changes underlying balance recovery in patients with hemiplegic stroke. Neuroimage. 2014;85(Pt 1):547–554. doi: 10.1016/j.neuroimage.2013.05.014
- Konrad C., Jansen A., Henningsen H. et al. Subcortical reorganization in amyotrophic lateral sclerosis. Exp. Brain Res. 2006;172(3):361–369. doi: 10.1007/s00221-006-0352-7
- Rappaport M., Hall K.M., Hopkins K. et al. Disability rating scale for severe head trauma: coma to community. Arch. Phys. Med. Rehabil. 1982;63(3):118–123.
- Быкова В.И., Лукьянов В.И., Фуфаева Е.В. Диалог с пациентом при угнетении сознания после глубоких повреждений головного мозга. Консультативная психология и психотерапия. 2015;23(3):9–31. Bykova V.I., Lukyanov V.I., Fufaeva E.V. Dialogue with the patient in low consciousness state after severe brain damages. Counseling Psychology and Psychotherapy. 2015;23(3):9–31. doi: 10.17759/cpp.2015230302
- Barker A.T., Jalinous R., Freeston I.L. Non-invasive magnetic stimulation of human motor cortex. Lancet. 1985;1(8437):1106–1107. doi: 10.1016/s0140-6736(85)92413-4
- Rossini P.M., Burke D., Chen R. et al. Non-invasive electrical and magnetic stimulation of the brain, spinal cord, roots and peripheral nerves: Basic principles and procedures for routine clinical and research application. An updated report from an I.F.C.N. Committee. Clin. Neurophysiol. 2015;126(6):1071–1107. doi: 10.1016/j.clinph.2015.02.001
- Голубев В.Л., Меркулова Д.М., Зенкевич А.C. Постаноксический миоклонус (cиндром Лэнса–Эдамса). Журнал имени А.М. Вейна для практикующего врача «Лечение заболеваний нервной системы». 2012;(2): 36–38. Golubev V.L., Merkulova D.M., Zenkevich A.S. Post-anoxic myoclonus (Lance–Adams Syndrome). Journal named after A.M. Wayne for the practitioner "Treatment of diseases of the nervous system". 2012;(2):36–38.
- Staudt M., Grodd W., Gerloff C. et al. Two types of ipsilateral reorganization in congenital hemiparesis: a TMS and fMRI study. Brain. 2002;125(Pt 10):2222–2237. doi: 10.1093/brain/awf227
- Grunt S., Newman C.J., Saxer S. et al. The Mirror illusion increases motor cortex excitability in children with and without hemiparesis. Neurorehabil. Neural. Repair. 2017;31(3):280–289. doi: 10.1177/1545968316680483
- Ziemann U., Ishii K., Borgheresi A. et al. Dissociation of the pathways mediating ipsilateral and contralateral motor-evoked potentials in human hand and arm muscles. J. Physiol. 1999;518(Pt 3):895–906. doi: 10.1111/j.1469-7793.1999.0895p.x
- Baker K., Carlson H.L., Zewdie E. et al. Developmental remodelling of the motor cortex in hemiparetic children with perinatal stroke. Pediatr. Neurol. 2020;112:34–43. doi: 10.1016/j.pediatrneurol.2020.08.004
- Gallivan J.P., McLean D.A., Flanagan J.R. et al. Where one hand meets the other: limb-specific and action-dependent movement plans decoded from preparatory signals in single human frontoparietal brain areas. J. Neurosci. 2013;33(5):1991–2008. doi: 10.1523/JNEUROSCI.0541-12.2013
- Weinstein M., Green D., Rudisch J. et al. Understanding the relationship between brain and upper limb function in children with unilateral motor impairments: a multimodal approach. Eur. J. Paediatr. Neurol. 2018;22(1):143–154. doi: 10.1016/j.ejpn.2017.09.012










