Осложнение коронавирусной инфекции: cиндром умеренной энцефалопатии с обратимым поражением валика мозолистого тела
- Авторы: Матвеева Т.В.1, Гайфутдинов Р.Т.1, Камалова Д.Ш.1, Фасахова Г.А.2
-
Учреждения:
- Казанский государственный медицинский университет
- Центральная городская клиническая больница № 18
- Выпуск: Том 18, № 4 (2024)
- Страницы: 110-116
- Раздел: Клинический разбор
- Статья получена: 28.04.2023
- Статья одобрена: 29.07.2023
- Статья опубликована: 06.12.2024
- URL: https://annaly-nevrologii.com/pathID/article/view/983
- DOI: https://doi.org/10.17816/ACEN.983
- ID: 983
Цитировать
Аннотация
Описан синдром умеренной энцефалопатии с обратимым поражением валика мозолистого тела у мужчины, перенёсшего COVID-19. Клиническими проявлениями заболевания были нейропсихические отклонения и нарушение зрения — при раздельной фокусировке взора на объекте (один глаз закрыт) левый глаз воспринимал его как обычно, правый — как множество уходящих вдаль по диагонали изображений. На магнитно-резонансной томограмме (МРТ) в режимах Т2, FLAIR, АDС зафиксировано быстро регрессирующее без назначения глюкокортикоидов образование в валике мозолистого тела. Видение пациентом изображений в виде упорядоченных рядов после фиксации взора на объекте позволило диагностировать у него церебральную полиопию. Дифференциальный диагноз проводился с астигматизмом, палинопсией, зрительными полиопическими галлюцинациями. Моноокулярная полиопия объяснена аномией, сопряжённой с имеющимся у пациента синдромом частично «расщеплённого мозга» (очаг в валике мозолистого тела, нейропсихические отклонения); заинтересованностью путей от лобных полей глаза к структурам ствола, ответственных за инициацию экстраокулярных движений глаз. Ассоциация неврологических осложнений с перенесённым COVID-19, быстрый регресс симптомов заболевания и изменений на МРТ без назначения иммуносупрессивной терапии позволило в качестве генеза осложнения COVID-19 предположить эндотелиопатию.
Ключевые слова
Полный текст
Введение
Неврологические осложнения коронавирусной инфекции (COVID-19) представлены широко — от головных болей до клиники энцефалита, менингита, энцефаломиелита, острого нарушения мозгового кровообращения, синдрома Гийена–Барре, нейропатий и др. [1–5]. Это свидетельствует о сложности и неоднозначности их генеза. Обсуждается возможность непосредственного инфицирования клеток коронавирусом. Считается, что ангиотензинпревращающий фермент 2 и мембранно-связанная сериновая протеаза 2 являются рецепторами вируса и точками входа в клетку некоторых коронавирусов [6, 7]. В головной мозг SARS-CoV-2 проникает неврогенным путём по аксонам обонятельных клеток и затем транссинаптическим — в разные структуры мозга [8]. Гематогенный путь распространения вируса осуществляется инфицированными моноцитами и макрофагами, что делает возможным поражение эндотелия сосудов мозга [9], приводящее к нарушению функционирования нейроглиоваскулярной единицы (нейрон–астроцитарная глия–сосуд). Это влечёт за собой увеличение проницаемости гематоэнцефалического барьера, приводящее к экстравазации компонентов плазмы в стенку сосудов и в периваскулярное пространство, развитию воспаления, потере ауторегуляционной функции мозга, повреждению гладких мышц и в конечном счёте окклюзии просвета сосуда как завершающей стадии заболевания [10].
Рецепторы ангиотензинпревращающего фермента 2 имеются в скелетных мышцах, в артериальных и венозных эндотелиальных клетках, артериальных гладкомышечных клетках многих органов и мозга [3, 11, 12]. Соматопатологию и другие осложнения COVID-19 можно объяснить как токсиновой агрессией вируса, так и индуцирующим его действием, приводящим к синдрому системного воспалительного ответа. Одним из звеньев последнего является цитокиновый шторм. Высокие уровни провоспалительных цитокинов (интерлейкин-1β, -2 и рецепторы интерлейкина-2, -4, -10, -18, интерферон-γ, С-реактивный белок, фактор некроза опухоли-α, фактор роста колоний гранулоцитов и др.) зафиксированы при тяжёлом течении COVID-19 [2]. Однако M.L. Ciampa и соавт., проведя ретроспективное когортное исследование у госпитализированных с COVID-19 пациентов, не подтвердили эти данные [13]. Трудность оценки роли цитокинов в генезе COVID-19 заключается в том, что цитокины по своей биологической активности несут разные функции. При COVID-19 большинство выводов строится на количественной оценке цитокинов без учёта их функционального назначения как веществ, включающих (определяющих) или устраняющих (подавляющих) иммунный ответ. Учитывая перечисленные факторы, роль цитокинов в генезе COVID-19 требует уточнения.
Считается, что SARS-CoV-2, как и вирус денге, может напрямую инфицировать эндотелий, что, в свою очередь, приводит к обширному поражению сосудов, проявляющемуся на 3–6-й день после начала заболевания [14, 15]. Эндотелиопатия при COVID-19 вызывает повышенное высвобождение мультимерного фактора Вилленбранта (VWF) с увеличением адгезии тромбоцитов, снижает количество антикоагулянтных белков на поверхности эндотелия. Эти процессы, наряду с коагулопатией, гиперактивностью тромбоцитов, обусловленных самой инфекцией, вызывают образование тромбов и развитие тромботической микроангиопатии [16]. Одной из причин повреждения центральной нервной системы при COVID-19 может стать локальное нарушение гемостаза, вызванное дисбалансом между высоким содержанием высокоактивных мультимеров VWF и низким — ADAMTS13 (дезинтегрин и металлопротеиназа с тромбоспондиновыми мотивами 13), которая расщепляет вновь освобождаемые высокоактивные мультимеры VWF. У больных с сепсисом при выраженном дисбалансе между VWF и ADAMTS13 тромботическая микроангиопатия носит системный характер. Дисбаланс системных факторов свёртывания у пациентов с COVID-19 выражен незначительно и может проявляться локально, являясь при этом одной из причин отсроченных инсультов или формирования структурных очагов повреждения мозга [16]. Вирус SARS-CoV-2 вызывает аутоиммунные реакции с помощью нескольких механизмов: молекулярной мимикрии между вирусными белками и собственными антигенами хозяина, образования вирусных суперантигенов; активации макрофагального и моноцитарного звеньев защиты; поликлональной активации В-клеток [17].
Вирусная нейроинвазия может способствовать обострению и прогрессированию приобретённых, наследственных, демиелинизирующих, метаболических, нейродегенеративных и нервно-мышечных заболеваний [2, 18–20]. Выявление определяющего механизма повреждения для конкретной формы заболевания остаётся открытой темой.
Клиническое наблюдение
Пациент А., 31 год. Госпитализирован с жалобами на нарушение зрения. При взгляде на объект двумя глазами «видел его как множество тех же объектов, выстроенных в ряд» (рис. 1). При раздельном зрении, когда больной прикрывал левый глаз, искажение восприятия со стороны правого глаза сохранялось; восприятие же левым глазом при закрытом правом было обычным. Те же нарушения зрения возникали при повторной фиксации взора на новом объекте. Сам объект и окружающий его фон видел отчётливо. Продолжительность нарушения зрения — около 1 мин.
Рис. 1. Так видит пациент А., фиксируя взор на чём-то.
Fig. 1. This is how patient A saw when he fixes his gaze on something.
Отмечает неустойчивость при ходьбе, снижение памяти на недавние события (не помнит, пил ли накануне или в настоящее время лекарства). Постоянно ощущает тревогу, пребывание вне реальности, страх за своё будущее. Кажется, «будто всё происходит не с ним». Переживания сопровождают общая слабость, потливость, повышение артериального давления до 160/90 мм рт. ст.
Нарушения зрения возникли на 21-й день после СОVID-19 среднетяжёлой формы. После выписки из ковидного отделения не смог вернуться к выполнению профессиональных обязанностей из-за неспособности сосредоточиться, справиться с рутинными задачами. Возрос уровень тревожности. До настоящего заболевания перенёс редкие острые респираторные вирусные заболевания.
Неврологический статус при поступлении в неврологическое отделение: поля зрения ориентировочным методом не ограничены. Чувствительные и двигательные нарушения отсутствуют. Проприорефлексы оживлены, без чёткой разницы сторон. Брюшные рефлексы abs, подошвенные снижены. Патологических знаков не выявлено. Координаторные пробы выполняет с лёгкой дисметрией с 2 сторон. Неубедительный дисдиадохокинез с 2 сторон. В позе Ромберга слегка покачивается. Походка неуверенная, тандемная ходьба не затруднена. По Монреальской шкале оценки когнитивных функций — 27 баллов. Пациент не смог в точности перерисовать куб, не смог воспроизвести по памяти 2 слова (но смог при подсказке по категории). Методика 10 слов: после 1 повторения пациент смог назвать лишь 4 слова из 10. При следующем повторении смог воспроизвести 7 слов, затем 9, 9 и все 10. Корректурная проба: объём — 583 знака. Концентрация 4,85 балла. Отмечаются высокая устойчивость внимания, снижение объёма работоспособности, выраженная эмоциональная лабильность.
Данные лабораторного исследования (отражены только отклонения от нормы): АЛТ – 53 ЕД/л (норма < 37 ЕД/л), АСТ — 29 ЕД/л (норма < 29 ЕД/л); ферритин — 272 нг/мл (норма 20–250 нг/мл); коагулограмма не изменена. Консультация офтальмолога: «простой астигматизм левого глаза, ангиопатия сетчатки обоих глаз».
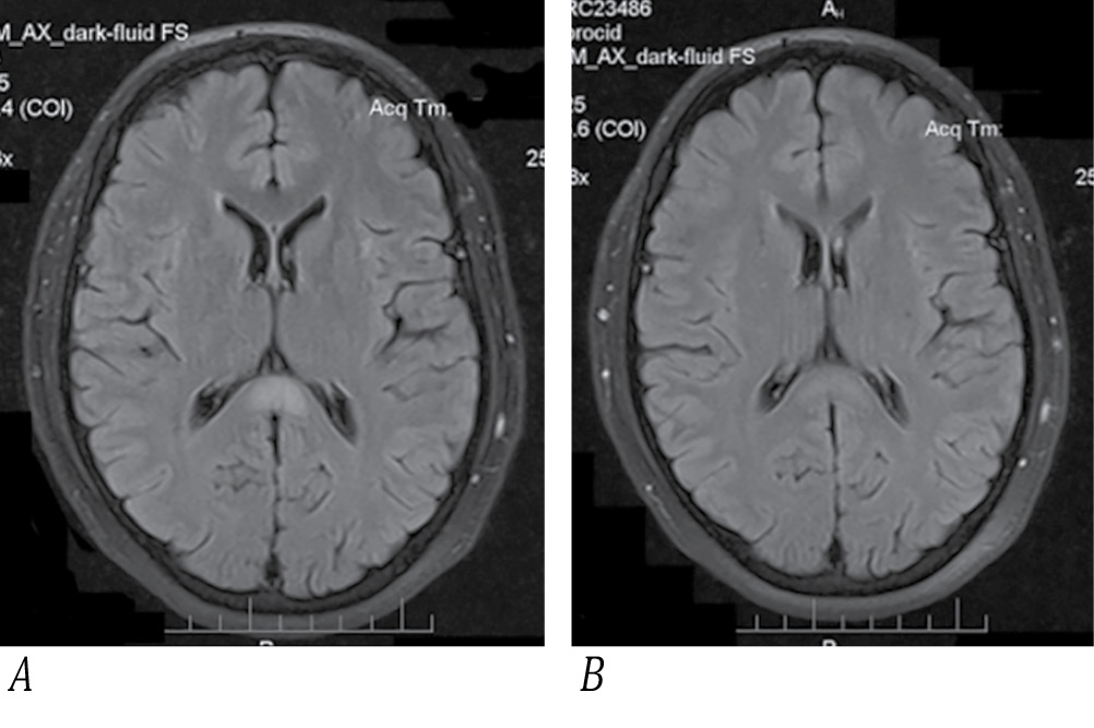
На магнитно-резонансной томографии (МРТ) головного мозга выявлен гидрофильный очаг в валике мозолистого тела (ВМТ) размерами 12 × 18 × 15 мм, без перифокальных изменений и накопления контраста, соответствующий цитотоксическому поражению мозолистого тела (сytotoxic lesions of the corpus callosum — CLOCCs; рис. 2–4).
Рис. 2. МРТ пациента А. в режиме FLAIR, аксиальный срез головного мозга.
А — 1-й день госпитализации, в ВМТ — единичный симметричный очаг гиперинтенсивного МР-сигнала с достаточно ровными и чёткими контурами; В — 13-й день госпитализации, практически полный регресс очага.
Fig. 2. Axial brain FLAIR MRI of Patient A.
A: day 1 of hospitalization; a single symmetric hyperintense splenial lesion with relatively smooth and clear contours; B: day 13 of hospitalization; lesion almost completely resolved.
Рис. 3. МРТ пациента А. на ADC карте.
А — 1-й день госпитализации, низкая интенсивность сигнала в проекции ВМТ; В — 13-й день госпитализации, средняя интенсивность сигнала в проекции ВМТ.
Fig. 3. ADC Map MRI of Patient A.
A: day 1 of hospitalization, low signal intensity in the splenium projection; B: day 13 of hospitalization; average signal intensity in the splenium projection.
Рис. 4. МРТ пациента А. в режиме FLAIR, сагиттальный срез головного мозга.
А — 1-й день госпитализации, гиперинтенсивный очаг в ВМТ; В — 13-й день госпитализации, снижение интенсивности очага.
Fig. 4. Sagittal brain FLAIR MRI of рatient A.
A: day 1 of hospitalization; hyperintense splenial lesion; B: day 13 of hospitalization, decreased intensity of the lesion.
Получал сосудистую терапию. На 4-й день пребывания в стационаре зрительные нарушения прошли. Выписан в удовлетворительном состоянии.
Обсуждение
Особенности нарушения зрения в нашем наблюдении не объяснялись диагностированным офтальмологом астигматизмом, ведущими симптомами которого являются размытость контуров предметов и их двоение. Больной видел отчётливо, предметы множились и выстраивались в ряд.
Зависимость зрительных нарушений от фиксации взора, а также их своеобразие позволяли отнести их к церебральной полиопии. Полиопия — это видение двух или более изображений, расположенных в упорядоченных рядах, столбцах или диагоналях после фиксации взора на объекте [21].
Церебральная полиопия дифференцируется с окулярной полиопией, основу которой составляет образование в оптических средах глаза (роговица, хрусталик) участков, не одинаково преломляющих световые лучи, что сопровождается проекцией на сетчатку нескольких изображений одного предмета. При этом один из предметов может восприниматься чётко, другой — казаться размытым. Дефект зрения не связан с фиксацией взора, сохраняется при закрывании одного глаза, не исчезает при попытке рассмотреть объект через «игольное ушко».
Зрительные нарушения у пациента отличаются и от палинопсии. Палинопсия — зрительная персеверация. Увиденное изображение пациенты продолжают воспринимать или повторно видят через некоторое время после окончания зрительного стимула. Мнимое изображение встраивается в окружающую обстановку, не исчезает при закрытии глаз. Иллюзионный феномен возникает со стороны дефектной половины поля зрения. Палинопсия возникает при локализации процесса в височно-затылочных, теменно-затылочных отделах мозга, редко — задних отделах левого полушария [22].
Церебральная полиопия наблюдается при поражении затылочных или теменно-затылочных отделов головного мозга [23]; теменной области [24]. Нейрофизиологический механизм палиопии связывают с повышением возбудимости нейронов зрительной коры [25], с перекодировкой зрительных рецептивных полей в первичной зрительной коре при двусторонних очагах в затылочной доле [26], c нарушением связей между задней теменной корой, где осуществляется зрительно-пространственный анализ, и корковым центром взора, подкорковыми структурами и стволовым центром взора [24]. Отсутствие нейровизуализационных данных, подтверждающих поражение ствола и полушарий головного мозга, сохранность полей зрения, моноокулярность дефекта делают маловероятным объяснение зрительных нарушений приведёнными выше механизмами.
Зависимость зрительных нарушений от фиксации взора, моноокулярная полиопия, ассоциированная с существующим объектом, исключают вероятность зрительных полиопических галлюцинаций, при которых больной видит мнимый образ [22].
Фовеальная фиксация и стереопсис (ощущение протяжённости пространства и рельефности реальных объектов) осуществляются каждым глазом в отдельности. Восприятие объекта таким, каким мы его видим при нормальном бинокулярном зрении, требует точного выравнивания зрительной оси для рефиксации объекта в одном и другом глазе в одном измерении, что осуществляется экстраокулярными (вергентными) движениями глазных яблок (саккадами) [27]. Зрительная информация поступает в первичное зрительное поле — стриальную кору или зрительную зону V1, аксоны нейронов которой формируют дорсальный и вентральный зрительные пути. Дорсальный путь отвечает на вопрос «где?», заканчивается на нейронах, расположенных в задней теменной области, и ассоциирован с пространственной ориентацией объектов. Вентральный путь отвечает на вопрос «что?», связан с идентификацией объектов и адаптирован к структурам экстрастриальной зрительной коры (поля V2, V3, V4, V5). Из теменной области информация поступает в лобные поля глаза, которые генерируют целенаправленный двигательный эффект глазных яблок в виде саккад. При этом роль лобных полей глаза сводится к выбору соответствующей саккадической амплитуды и передаче информации черед ряд промежуточных структур, включая ретикулярную и парамедианную формации ствола, на мышцы, обеспечивающие экстраокулярные движения глаз [24, 27]. В нашем наблюдении сам объект пациент видел чётко, опознавал его, что соответствует сохранности вентрального зрительного пути. Это позволяет прийти к выводу, что рисунок изображения у больного связан с дефектом фовеальной фиксации и стереопсиса объекта. Учитывая локализацию процесса, можно предположить, что у больного страдают пути от лобных полей глаза к стволу. Вместе с тем объяснить монополиопию нарушением рассмотренных связей мы не можем.
Монополиопия в нашем наблюдении сочеталась с очагом в ВМТ, что послужило основанием для рассмотрения возможности присутствия у больного синдрома частично «разобщённого мозга», связанного с повреждением каллезных структур. Это находит подтверждение в эксперименте Газзанига, 1999 г. (цит. по [28]): больная с «разобщённым» мозгом при предъявлении предмета левому полушарию даёт правильный ответ, сопровождаемый эмоциональной реакцией; при предъявлении того же предмета правому полушарию отвечает, что ничего не видела. При частичной перерезке задних отделов мозолистого тела, в случаях, когда имеется сочетанное поражение зрительных путей и центров, возникает зрительная аномия [28]. Именно этот дефект, по всей видимости, имеет место у пациента.
Очаги, локализованные в перешейке/сплениуме и самом ВМТ, ассоциированы со спутанностью сознания, изменённым психическим статусом, галлюцинациями, психозом и мутизмом, нарушением когнитивных функций [29–31]. Надо полагать, что данной локализацией у больного можно объяснить снижение антероградной памяти, тревожность, страх, эмоциональную неустойчивость, снижение слуховой кратковременной памяти (уменьшение числа удержанных и воспроизведённых слов в первой серии теста Лурия); состояние деперсонализации и дереализации.
Неустойчивость при ходьбе в нашем наблюдении нельзя объяснить мозжечковой симптоматикой. Ей не соответствуют неубедительность мозжечковых симптомов, сохранность тандемной ходьбы, неуверенная, но не атактическая походка. Среди каллезных симптомов выделяют неустойчивость, достигающую у отдельных больных невозможности самостоятельного передвижения [28].
Выделяют острые и хронические варианты синдрома «отключения/расщепления» мозолистого тела. Острые симптомы отключения могут постепенно или быстро, в течение 4–7 дней, частично или полностью регрессировать [32–34], что и наблюдалось у нашего пациента.
Перенесённый COVID-19, а также соответствующая ему описанная симптоматика позволили остановиться на диагнозе: синдром умеренной энцефалопатии с обратимым поражением ВМТ (MERS), ассоциированный с перенесённым COVID-19; синдром частично «разобщённого мозга» в форме преходящей мононуклеарной церебральной полиопии, зрительной аномии, умеренно выраженных нейропсихических отклонений.
Опираясь на рассмотренные выше механизмы поражения нервной системы при инфицировании SARS-CoV-2, наличие CLOCCs, отсутствие у больного на момент поступления в неврологическое отделение инфекционно-токсических проявлений, нарушений гемостаза, быстрый регресс зрительных нарушений без приёма гормональных препаратов (больной получал лишь сосудисто-метаболическую терапию), можно предположить сосудистый генез заболевания и связать возникшую патологию с локальной эндотелиопатией, которая возможна при COVID-19 [16, 35] и может явиться причиной CLOCCs [29].
Синдром MERS — новая нозологическая форма с ещё недостаточным опытом её диагностики и знанием клинических проявлений.
Нами выделен и обоснован синдром моноокулярной церебральной полиопии и синдром зрительной аномии при поражении ВМТ. Высказано предположение о природе обозначенных синдромов, обусловленных, как мы полагаем, как самим образованием в ВМТ, так и частичным повреждением каллезных путей, а также проходящих рядом с мозолистым телом нисходящих зрительных связей. Названные синдромы при поражении ВМТ ранее не описывались, что позволяет считать, что информация о них расширит знания о функции задних отделов мозолистого тела.
Сообщения о синдроме MERS при COVID-19 практически отсутствуют, в связи с чем представленное сообщение интересно для клиницистов и исследователей, занимающихся проблемами мозга.
Об авторах
Татьяна Всеволодовна Матвеева
Казанский государственный медицинский университет
Email: gaifutdinov69@mail.ru
ORCID iD: 0000-0002-1889-0094
д-р мед. наук, профессор каф. неврологии, нейрохирургии и медицинской генетики
Россия, КазаньРустем Талгатович Гайфутдинов
Казанский государственный медицинский университет
Автор, ответственный за переписку.
Email: gaifutdinov69@mail.ru
ORCID iD: 0000-0001-5591-7148
канд. мед. наук, доцент каф. неврологии, нейрохирургии и медицинской генетики
Россия, КазаньДинара Шамилевна Камалова
Казанский государственный медицинский университет
Email: gaifutdinov69@mail.ru
ORCID iD: 0000-0002-3123-9546
врач-невролог ЦГКБ № 18
Россия, КазаньГульназ Ануровна Фасахова
Центральная городская клиническая больница № 18
Email: gaifutdinov69@mail.ru
ORCID iD: 0009-0004-4843-6767
зав. неврологическим отделением
Россия, КазаньСписок литературы
- Белопасов В.В., Яшу Я., Самойлова Е.М., Баклаушев В.П. Поражение нервной системы при СOVID-19. Клиническая практика. 2020;11(2):60–80. Belopasov V.V., Yashu Ya.A., Samojlova E.M., Baklaushev V.P. Damage to the nervous system in COVID-19. Clinical practice. 2020;11(2):60–80. doi: 10.17816/clinpract34851
- Громова О.А., Торшин И.Ю., Семенов В.А. и др. О прямых и косвенных неврологических проявлениях CОVID-19. Журнал невропатологии и психиатрии им. С.С. Корсакова. 2020;120(11):11–21. Gromova O.A., Torshin I.Yu., Semenov V.A. et al. On the direct and indirect neurological manifestations of COVID-19. Journal of Neuropathology and Psychiatry named after S.S. Korsakov. 2020;120(11):11–21. doi: 10.17116/jnevro 202012011111
- Mao L., Jin H., Wang M. et al. Neurologic manifestations of hospitalized patients with coronavirus disease 2019 in Wuhan, China. JAMA Neurol. 2020;77(6):683–690. doi: 10.1001/jamaneurol.2020.1127
- Stafstrom C.E., Jantzie L.L. COVID-19: neurological considerations in neonates and children. Children (Basel). 2020;7(9):133. doi: 10.3390/children7090133
- Suri V., Pandy S., Sing J., Jena F. Acute onset chronic inflammatony demyelinating polyneupathy after COVID-19 infection and subsequent ChAdOx1 nCoV-19 vaccination. Case Rep. 2021;14:e245816. doi: 10.1136/dcr-2021-245816
- Ennaji M.M. Emerging and reemerging viral pathogens. Vol. 1: Fundamental and basic virology aspects of human, animal and plant pathogens. London; 2020.
- Bandala C., Cortes-Altamirano J.L., Reyes-Long S. et al. Putative mechanism of neurological damage in COVID-19 infection. Acta Neurobiol. Exp. (Wars). 2021;81(1):69–79. doi: 10.21307/ane-2021-008
- Gandhi S., Srivastava A.K., Ray U., Tripathi P.P. Is the collapse of the respiratory center in the brain responsible for respiratory breakdown in COVID-19 patients? ACS Chem. Neurosci. 2020;11(10):1379–1381. doi: 10.1021/acschemneuro.0c00217
- Zhou Z., Kang H., Li S., Zhao X. Understanding the neurotropic characteristics of SARS-CoV-2: from neurological manifestations of COVID-19 to potential neurotropic mechanisms. J. Neurol. 2020; 267(8):2179–2184. DOI: 10/1007/s00415-020-09929-7
- Wardlaw J.M., Smith C., Dichgans M. Mechanisms of sporadic cerebral small vessel disease: insights from neuroimaging. Lancet Neurol. 2013;12(5):483–497. doi: 10.1016/S1474-4422(13)70060-7
- Baig A.M., Khaleeq A., Ali U., Syeda H. Evidence of the COVID-19 virus targeting the CNS: tissue distribution, host-virus interaction, and proposed neurotropic mechanisms. ACS Chem. Neurosci. 2020;11(7):995–998. doi: 10.1021/acschemneuro.0c00122
- Hamming I., Timens W., Bulthuis M.L. et al. Tissue distribution of ACE2 protein, the functional receptor for SARS coronavirus. A first step in understanding SARS pathogenesis. J. Pathol. 2004;203(2):631–637. doi: 10.1002/path.1570
- Ciampa M.L., O’Hara T.A., Joel C.L. et al. Absence of “cytokine storm” in hospitalized COVID-19 patients: a retrospective cohort study. Infect. Dis. Rep. 2021;13(2):377–387. doi: 10.3390/idr13020036
- Prasad M., Leon M., Lerman L.O., Lerman A. Viral endothelial dysfunction: a unifying mechanism for COVID-19. Mayo Clin Proc. 2021;96(12):3099–3108. doi: 10.1016/j.mayocp.2021.06.027
- Vervaeke P., Vermeire K., Liekens S. Endothelial dysfunction in dengue virus pathology. Rev. Med. Virol. 2015;25(1):50–67. doi: 10.1002/rmv.1818
- Portier I., Campbell R.A., Denorme F. Mechanisms of immunothrombosis in COVID-19. Curr. Opin. Hematol. 2021;28(6):445–453. doi: 10.1097/MOH.0000000000000666
- Shabani Z. Demyelination as a result of an immune response in patients with COVD-19. Acta Neurol. Belg. 2021;121(4):859–866. doi: 10.1007/s13760-021-01691-5
- Копишинская С.В., Жаринова Н.О., Величко И.А. и др. Основные принципы ведения неврологических пациентов в период пандемии COVID-19. Нервно-мышечные болезни. 2020;10(1):31–42. Kopishinskaya S.V., Zharinova N.O., Velichko I.A. et al. Basic principles of neurological patient management during the COVID-19 pandemic. Nervnomyshechnye bolezni. 2020;10(1):31–42. DOI: 10.17650 /2222-8721-2020-10-1-31-42
- International MG/COVID-19 Working Group, Jacob S., Muppidi S. et al. Guidance for the management of myasthenia gravis (MG) and Lambert–Eaton myasthenic syndrome (LEMS) during the COVID-19 pandemic. J. Neurol. Sci. 2020;412:116803. doi: 10.1016/j.jns.2020.116803
- Rajabally Y.A., Goedee H.S., Attarian S., Hartung H.P. Management challenges for chronic dysimmune neuropathies during the COVID-19 pandemic. Muscle Nerve. 2020;62(1):34–40. doi: 10.1002/mus.26896
- Jones M.R., Waggoner R., Hoyt W.F. Cerebral polyopia with extrastriate quadrantanopia: report of a case with magnetic resonance documentation of V2/V3 cortical infarction. J. Neuroоphthalmol. 1999;19(1):1–6. doi: 10.1097/00041327-199903000-00001
- Brazis Pol U., Med'yu D.K., Billert H. Topical diagnosis in clinical neurology. Philadelphia; 2001.
- Isherwood S., Jewsbury H., Nitkunan A., Ali N. An unusual case of cerebral polyopia. Can. J. Ophthalmol. 2017;52(3):e102–e104. doi: 10.1016/j.jcjo.2016.10.016
- Kesserwani H. A novel case of cerebral diplopia secondary to a posterior parietal cortex ischemic infarct: proposal of a mechanism of generation of polyopia due to convergence insufficiency. Cureus. 2021;13(1):e12962. doi: 10.7759/cureus.12962
- Gersztenkorn D., Lee A.G. Palinopsia revamped: a systematic review of the literature. Surv. Ophthalmol. 2015;60(1):1–35. doi: 10.1016/j.survophthal.2014.06.003
- Cornbrath W.T., Butter C.M., Barnes L.L. et al. Spatial characteristics of cerebral poliopia: a case study. Vision Res. 1998;38(24):3965–3978. doi: 10.1016/s0042-6989(97)00431-8
- Searle A., Rowe F.J. Vergence neural pathways: a systematic narrative literature review. Neuroophthalmology. 2016;40(5):209–218. doi: 10.1080/01658107.2016.1217028
- Козявина М.С. Нейропсихологический анализ патологии мозолистого тела. М.; 2012. Kozyavina M.S. Neuropsychological analysis of cerebellar body pathology. Moscow; 2012. (In Russ.)
- Перов Р.И., Хакимова А.Р., Попова Н.А. Cиндром умеренной энцефалопатии с обратимым поражением валика мозолистого тела: обзор литературы и собственное наблюдение в неотложной неврологической клинике. Вестник современной клинической медицины. 2018;11(5):109–114. Perov R.I., Hakimova A.R., Popova N.A. The syndrome of moderate encephalopathy with reversible lesions of the corpus callosum: a review of the literature and our own observation in an emergency neurological clinic. Bulletin of modern clinical medicine. 2018;11(5):109–114. doi: 10.20969/VSKM.2018.11(5).109-114
- Doherty M.J., Jayadev S., Watson N.F. et al. Clinical implications of splenium magnetic resonance imaging signal changes. Arch. Neurol. 2005;62(3):433–437. doi: 10.1001/archneur.62.3.433
- Park M.K., Hwang S.H., Jung S. et al. Splenial lesions of the corpus callosum: disease spectrum and MRI findings. Korean J. Radiol. 2017;18(4):710–721. doi: 10.3348/kjr.2017.18.4.710
- Park M.K., Hwang S.H., Jung S. et al. Lesions in the splenium of the corpus callosum: clinical and radiological implications. Neurol. Asia. 2014;19(1):79–88.
- Jea A., Vachhrajani S., Widjaja E. et al. Corpus callosotomy in children and the disconnection syndromes: a review. Child’s Nerv. Syst. 2008;24(6):685–692. doi: 10.1007/s00381-008-0626-4
- Uda T., Kunihiro N., Umaba R. et al. Surgical aspects of corpus callosotomy. Brain Sci. 2021;11(12):1608. doi: 10.3390/brainsci11121608
- Pristas N., Rosenberg N., Pindrik J. et al. An observational report of swallowing outcomes following corpus callosotomy. Epilepsy Behav. 2021;123:108271. doi: 10.1016/j.yebeh.2021.108271









