Атипичное клиническое проявление дизэмбриопластической нейроэпителиальной опухоли
- Авторы: Халилов В.С.1,2, Кисляков А.Н.3, Медведева Н.А.1,4, Серова Н.С.4
-
Учреждения:
- Федеральный научно-клинический центр детей и подростков
- Российский национальный исследовательский медицинский университет имени Н.И. Пирогова
- Морозовская детская городская клиническая больница
- Первый Московский государственный медицинский университет имени И.М. Сеченова (Сеченовский университет)
- Выпуск: Том 18, № 3 (2024)
- Страницы: 109-115
- Раздел: Клинический разбор
- Статья получена: 15.05.2024
- Статья одобрена: 03.06.2024
- Статья опубликована: 03.10.2024
- URL: https://annaly-nevrologii.com/pathID/article/view/1126
- DOI: https://doi.org/10.17816/ACEN.1126
- ID: 1126
Цитировать
Аннотация
Дизэмбриопластическая нейроэпителиальная опухоль (ДНЭО) — доброкачественное глионейрональное новообразование, как правило, встречающееся у детей и подростков, в подавляющем большинстве случаев ассоциированное с фармакорезистентной эпилепсией. Обычно эпилептические приступы являются основным и в большинстве случаев единственным клиническим проявлением ДНЭО. Несмотря на то что ДНЭО — доброкачественная, биологически стабильная опухоль с единичными упоминаниями о случаях малигнизации, она является одной из наиболее частых причин хирургического лечения эпилепсии. Эпилептогенный потенциал этой опухоли настолько высок, что ДНЭО, наряду с ганглиоглиомой, получили неофициальный термин «эпилептомы» и с большим отрывом лидируют в группе опухолей низкой степени злокачественности, ассоциированных с длительным течением эпилепсии. Есть мнение, что такая эпилептогенность обусловлена локализацией опухоли в неокортексе и частой ассоциацией её с фокальными кортикальными дисплазиями. Нами обнаружены единичные упоминания о ДНЭО, не ассоциированных с эпилепсией.
В статье представлен опыт комплексной междисциплинарной диагностики ДНЭО у ребёнка без эпилепсии, который обратился с жалобами на частые приступы головной боли. В ходе комплексного обследования при магнитно-резонансной томографии головного мозга был обнаружен кортикально-субкортикальный патологический субстрат в левой височной доле, имеющий радиологические признаки ДНЭО. При видео-ЭЭГ-мониторинге ночного сна не было зарегистрировано эпилептиформных знаков. В анамнезе не отмечалось эпилептических приступов или иных пароксизмов. При повторной магнитно-резонансной томографии головного мозга обнаружено увеличение размеров патологического субстрата, что послужило поводом для хирургического лечения. Патоморфологическое исследование выявило микроскопические признаки ДНЭО. Этот случай отсутствия эпилепсии у ребёнка с кортикальной ДНЭО в коре височной доли позволяет предположить, что спектр её клинических проявлений и течения раскрыт не полностью и требует дальнейшего всестороннего изучения.
Полный текст
Введение
Впервые термин «дизэмбриопластическая нейроэпителиальная опухоль» (ДНЭО) в 1988 г. предложили C. Daumas-Duport и соавт., которые выделили группу опухолей с уникальными морфологическими особенностями, включающими кортикальную локализацию, многоузловую архитектонику, гетерогенный клеточный состав и наличие специфического глионейронального элемента [1]. На настоящий момент выделяют три формы ДНЭО: простую, сложную и неспецифическую; вне зависимости от такого полиморфизма, она относится к опухолям низкой степени злокачественности, с единичными упоминаниями о случаях анапластической трансформации [2, 3]. ДНЭО являются вторыми по распространённости опухолями, ассоциированными с хронической труднокурабельной эпилепсией и, наряду с ганглиоглиомами, входят в круг традиционных представителей группы опухолей низкой степени злокачественности, ассоциированных с длительным течением эпилепсии (low-grade tumors associated with long-term epilepsy associated tumors, LEAT) [2, 4]. Для опухолей группы LEAT характерен набор общих клинико-патоморфологических и радиологических критериев: ассоциация с фармакорезистентной либо труднокурабельной эпилепсией, возраст дебюта до 20 лет, частая локализация в височной доле, отсутствие выраженного неврологического дефицита и крайне редкие случаи малигнизации [2, 3, 5]. Ганглиоглиомы и ДНЭО лидируют в группе LEAT с большим отрывом. Например, в одной из самых больших когорт пациентов, прошедших хирургическое лечение эпилепсии по поводу опухолей группы LEAT, они составляли более 70% всех новообразований [6]. Во множестве исследований эпилептогенность ДНЭО доходит до 100%, и они заслуженно получили неофициальное название «эпилептомы», применяемое специалистами, занимающимися изучением опухолей группы LEAT [7, 8].
В нашей статье описан случай обнаружения ДНЭО с атипичным клиническим течением у ребёнка, не страдающего эпилепсией, прошедшего хирургическое лечение по поводу опухоли.
Описание клинического случая
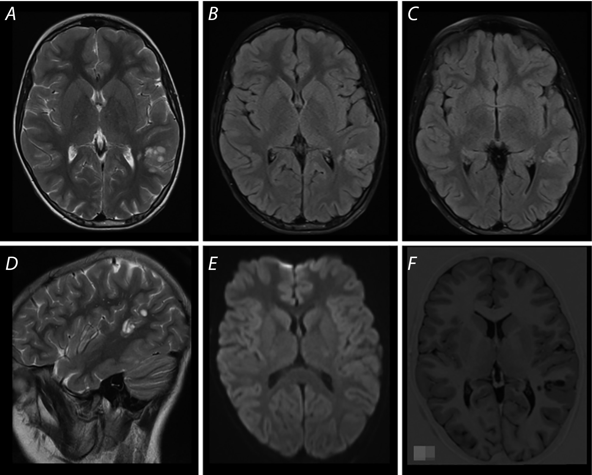
Пациент Г., 12 лет, обратился к неврологу с жалобами на периодически возникающую головную боль, беспокоящую его около года после полученной закрытой черепно-мозговой травмы, и нарушение речи, которое родители описывали как тихую нечленораздельную и возникающую при волнении. В рамках комплексного обследования, включающего проведение магнитно-резонансной томографии (МРТ), у ребёнка был выявлен патологический субстрат в левой височно-теменной доле. Основываясь на радиологической картине и локализации, предположили наличие у пациента опухоли, предположительно ДНЭО, с дифференциальным диагнозом иной опухоли группы LEAT (рис. 1).
Рис. 1. МРТ головного мозга пациента Г. при первом обследовании.
Дополнительное образование в заднелатеральных отделах левой височной доли с вовлечением теменной доли с характерной для ДНЭО мультикистозной структурой («soap-bubble pattern»), субкортикально/кортикальной локализацией и трансмантийным распространением в область заднего рога гомолатерального бокового желудочка (А, В, С). На сагиттальных срезах отчётливо определяется вовлечение теменной доли левого полушария (D). Образование не демонстрирует рестрикции диффузии и перифокальной реакции (E). На изображениях Т1 SPC ISO с толщиной среза 1 мм отчётливо визуализируются мультикистозное строение образования и преимущественная локализация в кортикомедуллярной зоне (F).
Fig. 1. Brain MRI of patient G. at his first examination.
A lesion is seen in the posterolateral area of the left temporal lobe with involvement of the parietal lobe, with a multicystic structure (“soap-bubble pattern”) typical for DNET, with subcortical/cortical location and transmantle spread to the posterior horn of the homolateral lateral ventricle (А, В, С). On sagittal slices, involvement of the parietal lobe of the left hemisphere is clearly seen (D). The lesion does not demonstrate restricted diffusion or perifocal reaction (E). T1 SPC ISO images with a slice thickness of 1 mm clearly show the multicystic structure of the lesion and its predominant location in the corticomedullary area (F).
Учитывая жалобы пациента на эпизоды головной боли и полиморфизм возможных атипичных проявлений височной эпилепсии, было принято решение о консультации эпилептолога и проведении видео-ЭЭГ-мониторинга (ВЭЭГ) ночного сна. По результатам ВЭЭГ-мониторинга было сформировано следующее заключение: регистрируются медленные и диффузные биопотенциалы резидуально-органического характера с фокусом медленной патологической активности в левой лобно-центральной области в виде частых вспышек высокоаплитудного, пароксизмального тета-ритма. Четкой, локальной и межполушарной асимметрии не выявлено. Типичная эпилептическая активность не регистрируется. Толерантность к гипоксии сохранена. Корковый эпилептогенез соответствует возрасту.
При изучении неврологического статуса не было обнаружено изменений со стороны высших психических функций, в двигательной и чувствительной сфере, а также со стороны черепных нервов.
При сборе анамнестических данных пациент и родители не отмечали каких-либо заслуживающих внимания эпизодов потери сознания или судорог. При междисциплинарном обсуждении тактики ведения пациента с учётом выявленных изменений в левой височно-теменной доле, отсутствия эпилептических приступов, изменений в неврологическом статусе, результатов ВЭЭГ-мониторинга был выставлен диагноз «Нейроэпителиальная опухоль левой височной доли, предположительно ДНЭО» и рекомендовано динамическое наблюдение.
При контрольной МРТ через 1 год были выявлены неочевидные признаки биологической нестабильности патологического образования (рис. 2), в связи с чем нейрохирургами было принято решение об оперативном лечении.
Рис. 2. Динамические МРТ головного мозга пациента Г. через 1 год.
При анализе изображений от 2021 и 2022 гг. определяются более высокие релаксационные характеристики образования в импульсных последовательностях Т2 и FLAIR. Более отчётливая визуализация мультикистозной структуры и трансмантийного распространения в область заднего рога левого бокового желудочка. При ретроспективном сравнении явных признаков прогрессии размеров, присоединения перифокальной реакции и масс-эффекта не отмечается (А–D). При внутривенном введении магнитно-резонансного контрастного средства патологической аккумуляции контрастного вещества в структуре патологического субстрата не выявлено (E).
Fig. 2. Follow-up brain MRIs of patient G. 1 year later.
When images from 2021 and 2022 are compared, higher relaxation properties of the lesion are determined in the T2 and FLAIR MRI sequences. The multicystic structure and transmantle spread to the posterior horn of the left lateral ventricle are visualized more clearly. The retrospective comparison shows no signs of enlargement, perifocal reaction, or mass effect (А to D). No abnormal accumulation of an intravenous MRI contrast agent is seen in the structure of the lesion (E).
Было проведено микрохирургическое удаление опухоли левой височной доли головного мозга слева под контролем нейрофизиологического мониторинга. По результатам патоморфологического исследования резецированной ткани выявлены микроскопические и иммуногистохимические признаки простой формы ДНЭО низкой степени злокачественности (рис. 3). При детальном изучении резецированных фрагментов коры данных об ассоциации с фокальной кортикальной дисплазией (ФКД) не получено. Дополнительно проведено молекулярно-генетическое тестирование ткани опухоли методом FISH с ДНК-зондами, мутаций BRAF V600E и слияния KIAA1549-BRAF не выявлено.
Рис. 3. Постоперационная МРТ пациента Г. и результаты патоморфологического исследования.
МРТ демонстрирует тотальное удаление опухоли левой височно-теменной области с трансмантийной дорожкой и соседней корой (А). На границе серого и белого вещества визуализируется опухолевая ткань, построенная из клеток, морфологически схожих с олигодендроцитами, которые формируют однонаправленные цепочки. Среди описанных цепочек наблюдаются микрокисты, заполненные мукоидным субстратом (В). В отдельных микрокистах встречаются расположенные в мукоидном материале нейроны («плавающие» нейроны) (С). Характерными для ДНЭО являются аксоны нейронов, формирующие параллельные тяжи, имеющие то же направление, что и колонны олигодендроглиальных клеток. Описанные структуры называются специфическими глионейрональными элементами, типичными для данной опухоли. Иммунное окрашивание с антителом к белку нейрофиламентов (D).
Fig. 3. Postoperative MRI and morphological findings of patient G.
MRI demonstrated total removal of the tumor from the left temporoparietal region with the transmantle track and adjacent cortex (A). At the border of the gray and white matter, tumor tissue was seen, which consisted of cells morphologically similar to oligodendrocytes, which formed unidirectional chains. Microcysts filled with mucoid substrate were observed in these chains (В). In individual microcysts, there were neurons located in the mucoid material (“floating” neurons) (С). In DNETs, neuronal axons form parallel cords that have the same direction as the co-lumns of oligodendroglial cells. These structures are called specific glioneuronal elements, and they are typical for this tumor. Immunostaining with anti-neurofilament protein antibody (D).
Время постоперационного наблюдения пациента Г. на момент публикации составляет 11 мес; эпилептических приступов, патологических изменений в неврологическом статусе не отмечено.
Обсуждение
Основным, а во многих случаях и единственным клиническим проявлением ДНЭО являются эпилептические приступы, трудно поддающиеся коррекции с помощью противоэпилептической терапии. До настоящего времени в общедоступной медицинской литературе описан единичный случай ДНЭО у взрослого пациента без приступов. Авторы связывали такое нетипичное поведение с отсутствием ФКД в перитуморальной коре [9]. Вместе с тем ассоциация с ФКД считается одним из основных, но далеко не единственным фактором высокой эпилептогенности ДНЭО [6, 10]. На сегодняшний день акцент сделан на трёх основных гипотезах, объясняющих происхождение эпилепсии при опухолях. Две из них (эпилептоцентрическая и опухолецентрическая) подчёркивают ключевую роль опухоли, а третья — роль обнаруживаемых в её ткани молекулярно-генетических аберраций [3, 6, 11, 12].
Согласно эпилептоцентрическому подходу, изменения, приводящие к гипервозбудимости в перитуморальной коре, играют ключевую роль в возникновении эпилепсии. Это связано с метаболическими, морфологическими, нейротрансмиттерными и иммунологическими изменениями в опухолевой и перитуморальной ткани [11, 13]. Различные нарушения кортикального развития, особенно ФКД, часто обнаруживаются рядом с педиатрическими опухолями головного мозга, играя важную роль в развитии эпилепсии. Как правило, это ФКД I типа, которые сами по себе обладают высоким эпилептогенным потенциалом, а ассоциация с опухолью группы LEAT делает такой субстрат суперэпилептогенным. Анализ литературы говорит о широком диапазоне частоты обнаружения ассоциации нейроэпителиальных опухолей с ФКД — 20–80% [6, 10, 14]. У пациента Г. не было обнаружено нарушений архитектоники перитуморальной коры в материалах, предоставленных для патоморфологического исследования. И этот аргумент рассматривался нами как возможный фактор, повлиявший на отсутствие у пациента эпилепсии. Однако это не может считаться единственно верным предположением, потому что некоторые опухоли группы LEAT, ассоциированные с ФКД или иными кортикальными дизгенезиями, всё чаще обнаруживаются у пациентов, не страдающих эпилепсией [14, 15]. Поэтому вопрос о роли перитуморальной ФКД в развитии эпилептических приступов остаётся открытым, исследования в этой области должны быть продолжены.
Опухолецентрический подход заключается в том, что эпилептическая активность спровоцирована самой опухолью, возникает из-за её прямого механического воздействия. Масса опухоли и отёк вызывают повышение внутричерепного давления, что приводит к гипоперфузии мозга. Это способствует локальному разрушению ткани, ишемии, некрозу, формированию новых сосудов, вызывает микрогеморрагии и воспаление [11, 13]. В случае с пациентом Г. не было отмечено типичных признаков неопластического процесса, таких как масс-эффект, перифокальный отёк или неоваскуляризация. Разница релаксационных характеристик и более отчётливые границы кистозного компонента, без значительного увеличения размеров, которые были приняты специалистами за прогрессию, могут объясняться различными марками МР-сканеров, на которых были проведены динамические исследования.
Таким образом, обнаруженная у пациента опухоль была относительно биологически стабильна, что теоретически могло повлиять на ее эпилептогенность, исходя из опухолецентрической теории. Вместе с тем здесь надо обязательно отметить, что опухолецентрическая гипотеза была опробована на глиомах и более применима к высокоагрессивным формам этих опухолей, характеризующимся быстрым прогрессированием [6].
В литературе появляется всё больше сообщений о возможной связи определённых генетических мутаций, обнаруживаемых в опухолях, с возникновением эпилептических приступов. Новая классификация опухолей, введённая с 2021 г., учитывает не только гистологическую структуру, но и наличие конкретных генетических мутаций [16]. Исследования выявили несколько генетических факторов, связанных с развитием эпилепсии при опухолях головного мозга, таких как коделеция 1p/19q и мутации IDH1/IDH2. Они предполагают, что эти мутации могут влиять на баланс между торможением и возбуждением в мозге, вызывая эпилептические приступы [17, 18]. Однако традиционные опухоли группы LEAT не связаны с этими мутациями, что ставит под сомнение это предположение. Вероятнее всего, генетические изменения, ответственные за опухолевый эпилептогенез при опухолях группы LEAT, могут находиться в путях саркомы крысы, митогенактивируемоей протеинкиназы (RAS/MAPK) и фосфоинозитид-3-киназы, протеинкиназы B, мишени рапамицина у млекопитающих (PIK3-AKT/mTOR) [19]. Например, мутации FGFR1 и BRAF V600E, связанные с этими путями, обнаруживаются в ДНЭО [3, 16]. Есть публикации, в которых указывается, что обнаружение мутации BRAF V600E в ткани опухоли может коррелировать с худшим прогнозом постоперационного исхода эпилепсии и провоцировать рецидив неопластического процесса [20].
В нашем случае мы имели ограниченные возможности для проведения молекулярно-генетического тестирования ткани опухоли. В нашем распоряжении была возможность поиска мутаций BRAF V600E и слияния KIAA1549-BRAF методом FISH с ДНК-зондами, который не дал результатов. Мы не смогли провести поиск наиболее характерной для ДНЭО мутации FGFR1, однако мы не нашли в литературе данных о её участии в возникновении опухолевого эпилептогенеза, в отличие от BRAF V600E и слияния KIAA1549-BRAF.
Ещё одним возможным фактором отсутствия эпилепсии у пациента Г. мог быть юный возраст. Несмотря на то что более 90% пациентов с ДНЭО страдают эпилепсией в возрасте до 20 лет, появляются сообщения о случаях поздней манифестации приступов, связанных с этой опухолью [2, 21]. В одном из крупнейших исследований пациентов с ДНЭО средний возраст дебюта эпилепсии составил 14,6 года (от 3 мес до 54 лет), а возраст на момент операции — 30,5 года (6–65 лет) [22]. Если учесть, что возраст пациента Г. на момент операции составил 12 лет, то существует вероятность, что эпилепсия могла дебютировать в более позднем возрасте. Однако в другом исследовании, проведённом среди детей, средний возраст дебюта эпилептических приступов составил 8,1 года (от 2 мес до 14 лет), а возраст на момент операции — 12,4 года (3,25–18,5 года), что также ставит под сомнение такое предположение [23].
Хорошо известен полиморфизм клинических проявлений эпилепсии, особенно если её структурная основа локализуется в височной доле. Довольно часто симптомы отличаются от классических проявлений эпилепсии, что может быть неверно истолковано специалистами, не знакомыми с проблемой, и по этой причине пациенты могут не получать актуальных диагностических манипуляций и терапии. В случае с пациентом Г. было проведено комплексное обследование, где при ВЭЭГ-мониторинге не зарегистрировано типичной эпилептической активности в бодрствовании и во сне, а также при проведении функциональных проб. Родители и ребёнок наличие эпизодов судорожных приступов или иных пароксизмов в анамнезе не отмечали. В неврологическом статусе не было обнаружено патологической симптоматики, а основным клиническим проявлением были жалобы на эпизоды головной боли. Это позволяет с определённой уверенностью говорить об отсутствии у пациента эпилепсии на момент хирургического лечения.
Заключение
Несмотря на то что эпилептические приступы — основной, а в некоторых случаях и единственный клинический симптом ДНЭО, справедливо относящий данное образование к неофициальному термину «эпилептома», возможно обнаружение этой опухоли у пациентов без приступов. Такое атипичное течение требует более детального изучения традиционных механизмов, которые индуцируют эпилептогенез, связанный с опухолями группы LEAT, и возможного участия в нём молекулярно-генетических аберраций.
Об авторах
Варис Садрутдинович Халилов
Федеральный научно-клинический центр детей и подростков; Российский национальный исследовательский медицинский университет имени Н.И. Пирогова
Автор, ответственный за переписку.
Email: khalilov.mri@gmail.com
ORCID iD: 0000-0001-5696-5029
канд. мед. наук, врач-рентгенолог отделения лучевой диагностики ФНКЦ детей и подростков; докторант каф. неврологии, нейрохирургии и медицинской генетики им. акад. Л.О. Бадаляна педиатрического факультета РНИМУ им. Н.И. Пирогова
Россия, Москва; МоскваАлексей Николаевич Кисляков
Морозовская детская городская клиническая больница
Email: alkislyakov@yandex.ru
ORCID iD: 0000-0001-8735-4909
зав. патолого-анатомическим отделением
Россия, МоскваНаталья Александровна Медведева
Федеральный научно-клинический центр детей и подростков; Первый Московский государственный медицинский университет имени И.М. Сеченова (Сеченовский университет)
Email: radiologmed@mail.ru
ORCID iD: 0000-0002-2371-5661
канд. мед. наук, доцент каф. лучевой диагностики и лучевой терапии Института клинической медицины им. Н.В. Склифосовского Первого МГМУ им. И.М. Сеченова; врач-рентгенолог отд. лучевой диагностики ФНКЦ детей и подростков
Россия, Москва; МоскваНаталья Сергеевна Серова
Первый Московский государственный медицинский университет имени И.М. Сеченова (Сеченовский университет)
Email: dr.serova@yandex.ru
ORCID iD: 0000-0002-7003-9387
д-р мед. наук, профессор, член-корреспондент РАН, профессор каф. лучевой диагностики и лучевой терапии Института клинической медицины им. Н.В. Склифосовского
Россия, МоскваСписок литературы
- Daumas-Duport C., Scheithauer B.W., Chodkiewicz J.P. et al. Dysembryoplastic neuroepithelial tumor: a surgically curable tumor of young patients with intractable partial seizures. Report of thirty-nine cases. Neurosurgery. 1988;23(5):545–556. doi: 10.1227/00006123-198811000-00002
- Suh Yeon-Lim. Dysembryoplastic neuroepithelial tumor. J. Pathol. Transl. Med. 2015;49(6):438–449. doi: 10.4132/jptm.2015.10.05
- Xie M., Wang X., Duan Z., Luan G. Low-grade epilepsy-associated neuroepithelial tumors: tumor spectrum and diagnosis based on genetic alterations. Front. Neurosci. 2023;16:1071314. doi: 10.3389/fnins.2022.1071314
- Luyken C., Blümcke I., Fimmers R. et al. The spectrum of long-term epilepsy-associated tumors: long term seizure and tumor outcome and neuro surgical aspects. Epilepsia. 2003;44(6):822–830. doi: 10.1046/j.1528-1157.2003.56102.x
- Халилов В.С., Холин А.А., Кисляков А.Н. и др. Нейрорадиологические и патоморфологические особенности опухолей, ассоциированных с эпилепсией. Лучевая диагностика и терапия. 2021;12(2):7–21. doi: 10.22328/2079-5343-2021-12-2-7-21 Khalilov V.S., Kholin A.A., Kisyakov A.N. et al. Neuroradiological and pathomorphological features of epilepsy associated brain tumors. Diagnostic radiology and radiotherapy. 2021;12(2):7–21. doi: 10.22328/2079-5343-2021-12-2-7-21
- Slegers R.J., Blumcke I. Low-grade developmental and epilepsy associated brain tumors: a critical update 2020. Acta Neuropathol. Commun. 2020;8(1):27. doi: 10.1186/s40478-020-00904-x
- Blümcke I., Aronica E., Becker A. et al. Low-grade epilepsy-associated neuroepithelial tumours — the 2016 WHO classification. Nat. Rev. Neurol. 2016. 12(12):732–740. doi: 10.1038/nrneurol.2016.173 scihub.se/10.1038/nrneurol.2016.173
- Japp A., Gielen G.H., Becker A.J. Recent aspects of classification and epidemiology of epilepsy-associated tumors. Epilepsia. 2013;54(Suppl. 9):5–11. doi: 10.1111/epi.12436
- Vivanco R.A., Aguirre A.S., Montero M. et al. Atypical presentation of dysembryoplastic neuroepithelial tumor in an adult without epilepsy: a case report. Int. J. Neurosci. 2023;1–4. doi: 10.1080/00207454.2023.2268269
- Cossu M., Fuschillo D., Bramerio M. et al. Epilepsy surgery of focal cortical dysplasia-associated tumors. Epilepsia. 2013;54(Suppl. 9):115–122. doi: 10.1111/epi.12455
- Толстых Н.В., Гурчин А.Ф., Королева Н.Ю., Столяров И.Д. Современные представления о патогенезе опухоль-ассоциированной эпилепсии. Медицинский академический журнал. 2019;19(2):13–25. Tolstykh N.V., Gurchin A.F., Koroleva N.Yu., Stolyarov I.D. Modern conceptions about the pathogenesis of tumor-related epilepsy. Medical Academic Journal. 2019;19(2):13–25. doi: 10.17816/MAJ19213-25
- Медведева Н.А., Халилов В.С., Кисляков А.Н. и др. Атипичные результаты МР-перфузии при диагностике опухолей низкой степени злокачественности, ассоциированных с долгосрочной эпилепсией. Российский электронный журнал лучевой диагностики. 2022;12(3):94–108. Medvedeva N.А., Khalilov V.S., Kislyakov A.N. et al. Atypical results of MR-perfusion in the diagnosis of long-term epilepsy associated tumors. REJR. 2022;12(3):94–108. doi: 10.21569/2222-7415-2022-12-3-94-108
- Sánchez Fernández I., Loddenkemper T. Seizures caused by brain tumors in children. Seizure. 2017;44:98–107. doi: 10.1016/j.seizure.2016.11.028
- Халилов В.С., Кисляков А.Н., Холин А.А. и др. Верификация ганглио-глиомы, ассоциированной с нейрональной гетеротопией, у взрослого пациента без эпилепсии с применением мультимодального подхода к визуализации. Лучевая диагностика и терапия. 2022;13(1):21–29. Khalilov V.S., Kislyakov A.N., Kholin A.A. et al. Multimodal neuroimaging verification of ganglioglioma associated with neuronal heterotopy in an adult patient without epilepsy. Diagnostic radiology and radiotherapy. 2022;13(1):21–29. doi: 10.22328/2079-5343-2022-13-1-21-29
- MacLean M.A., Easton A.S., Pickett G.E. Focal cortical dysplasia type IIIb with oligodendroglioma in a seizure-free patient. Can. J. Neurol. Sci. 2018;45(3):360–362. doi: 10.1017/cjn.2017.295
- Louis D.N., Perry A., Wesseling P. et al. The 2021 WHO classification of tumors of the central nervous system: a summary. Neuro. Oncol. 2021;23(8):1231–1251. doi: 10.1093/neuonc/noab106
- de Jong J.M., Broekaart D.W.M., Bongaarts A. et al. Altered extracellular matrix as an alternative risk factor for epileptogenicity in brain tumors. Biomedicines. 2022;10(10):2475. doi: 10.3390/biomedicines10102475
- Chen X., Pan C., Zhang P. et al. BRAF V600E mutation is a significant prognosticator of the tumour regrowth rate in brainstem gangliogliomas. J. Clin. Neurosci. 2017;46:50–57. doi: 10.1016/j.jocn.2017.09.014
- Hoffmann L., Coras R., Kobow K. et al. Ganglioglioma with adverse clinical outcome and atypical histopathological features were defined by alterations in PTPN11/KRAS/NF1 and other RAS-/MAP-kinase pathway genes. Acta Neuropathol. 2023;145(6):815–827. doi: 10.1007/s00401-023-02561-5
- Prabowo A.S., van Thuijl H.F., Scheinin I. et al. Landscape of chromosomal copy number aberrations in gangliogliomas and dysembryoplastic neuroepithelial tumours. Neuropathol. Appl. Neurobiol. 2015;41(6):743–755. doi: 10.1111/nan.12235
- Burneo J.G., Tellez-Zenteno J., Steven D.A. et al. Adult-onset epilepsy associated with dysembryoplastic neuroepithelial tumors. Seizure. 2008;17(6):498–504. doi: 10.1016/j.seizure.2008.01.006.
- Thom M., Toma A., An Sh. et al. One hundred and one dysembryoplastic neuroepithelial tumors: an adult epilepsy series with immunohistochemical, molecular genetic, and clinical correlations and a review of the literature. J. Neuropathol. Exp. Neurol. 2011;70(10):859–878. doi: 10.1097/NEN.0b013e3182302475
- Lee J., Lee B.L., Joo E.Y. et al. Dysembryoplastic neuroepithelial tumors in pediatric patients. Brain Dev. 2009;31(9):671–681. doi: 10.1016/j.braindev.2008.10.002








