Клинико-нейровизуализационные паттерны нарушений мозгового кровообращения на фоне гематологической патологии (Ph-негативных миелопролиферативных новообразований)
- Авторы: Танашян М.М.1, Кузнецова П.И.1, Раскуражев А.А.1, Меликян А.Л.2, Суборцева И.Н.2, Шабалина А.А.1, Морозова С.Н.1
-
Учреждения:
- Научный центр неврологии
- Национальный медицинский исследовательский центр гематологии
- Выпуск: Том 18, № 3 (2024)
- Страницы: 14-25
- Раздел: Оригинальные статьи
- Статья получена: 09.07.2024
- Статья одобрена: 01.08.2024
- Статья опубликована: 03.10.2024
- URL: https://annaly-nevrologii.com/pathID/article/view/1164
- DOI: https://doi.org/10.17816/ACEN.1164
- ID: 1164
Цитировать
Аннотация
Введение. Ph-негативные миелопролиферативные новообразования (МПН) — редкая патология крови, характеризующаяся панцитозом и тромбогеморрагическими осложнениями.
Цель статьи — описание клинико-нейровизуализационных паттернов изменений вещества мозга у пациентов с МПН.
Материалы и методы. В исследование были включены 152 пациента с установленным диагнозом МПН (согласно критериям ВОЗ 2008, 2016 гг.). Проводились клинико-неврологический осмотр, лабораторное обследование, магнитно-резонансная томография головного мозга.
Результаты. У пациентов с истинной полицитемией и первичным миелофиброзом нейровизуализационные паттерны представлены небольшими (до 1,5 см) постинфарктными изменениями в стволе, мозжечке, области коры в зонах смежного кровоснабжения после нарушения мозгового кровообращения по типу гемореологической микроокклюзии. У пациентов с эссенциальной тромбоцитемией нейровизуализационная картина чаще представлена массивными постинфарктными изменениями вещества мозга корково-подкорковой локализации на фоне атеросклеротического поражения магистральных артерий головы, вероятно, по типу атеротромбоза. Инсульт предшествовал постановке гематологического диагноза в 30% случаев при истинной полицитемии, в 40% — при эссенциальной тромбоцитемии, в 25% — при первичном миелофиброзе.
Полный текст
Введение
Ph-негативные миелопролиферативные новообразования/заболевания (МПН/МПЗ), включают 3 наиболее распространённые нозологические формы: истинную полицитемию (ИП), эссенциальную тромбоцитемию (ЭТ) и первичный миелофиброз (ПМФ). Частота встречаемости при ИП составляет 0,5–4,0 случая на 100 000 человеко-лет, при ЭТ — 1,1–2,0, при ПМФ — 0,3–2,0 [1]. Этиология МПЗ остается неясной, ведущей гипотезой является воздействие факторов окружающей среды. Ключевым компонентом в реализации МПН является появление одной из драйверных мутаций в генах JAK2, MPL, CALR. Несмотря на различные клинические проявления, эти заболевания связаны морфологическим сходством и склонностью к различным тромбогеморрагическим осложнениям и лейкозной трансформации [2].
Прогноз течения заболевания вариативен, зависит от локализации и степени тромботического события. Одним из существенных следствий МПН является тромбоз церебральных артерий с формированием инфаркта в веществе головного мозга, последствия которого могут значительно ограничить ожидаемую продолжительность и качество жизни.
Целью данного исследования является описание клинико-нейровизуализационных паттернов изменений вещества мозга у пациентов с МПН/МПЗ.
Материалы и методы
Исследование проведено на базе Научного центра неврологии и НМИЦ гематологии с ноября 2014 г. по апрель 2024 г. В исследование были включены 152 пациента с установленным диагнозом МПН (согласно критериям ВОЗ 2008, 2016 гг.). Для верификации диагноза использовались данные клинического осмотра, общего анализа крови, трепанобиопсии, молекулярно-генетических исследований, включая определения мутаций в генах JAK2 (V617F), MPL, CALR, BCR/ABL1 (на базе НМИЦ гематологии).
Критерии включения и исключения
Критерием включения являлся установленный диаг-ноз одной из нозологических форм Ph-негативного МПН, подписанное информированное согласие, наличие постинфарктных изменений вещества головного мозга по данным магнитно-резонансной томографии (МРТ). Критерием исключения являлись отсутствие согласия, отсутствие постинфарктных изменений в веществе головного мозга, наличие тяжёлой сопутствующей соматической патологии, противопоказания к проведению МРТ (например, кардиостимуляторы).
Проводили подробный клинико-неврологический осмотр всех пациентов, а также лабораторное обследование: общий анализ крови, биохимический анализ крови (холестерин, триглицериды, липопротеины низкой и высокой плотности, глюкоза). Для уточнения наличия ишемического повреждения вещества головного мозга всем пациентам с МПН выполняли МРТ головного мозга с величиной магнитной индукции 3 Т («Magnetom Verio», «Siemens») в сагиттальной, коронарной и аксиальной плоскостях в режимах Т2, Т1, Т2-FLAIR, ДВИ.
Дизайн исследования
Кросс-секционное нерандомизированное одноцентровое интервенционное исследование.
Формирование выборки — сплошное включение наблюдений (после постановки диагноза пациентам предлагалось пройти дообследование в Научном центре неврологии), где после выполнения МРТ головного мозга была сформирована группа для дальнейшего анализа (рис. 1).
Рис. 1. Отбор пациентов для исследования.
Fig. 1. Patient selection.
Статистический анализ
Анализ данных проводили в среде R-Studio (версия 2023.12.1, язык программирования R v. 4.2.1) с использованием подключаемых модулей tidyverse, finalfit, ggalluvial. Применяли непараметрические методы описательной статистики: в случае непрерывных величин данные представлены в виде медианы и нижнего и верхнего квартилей, в случае дискретных величин — в виде частоты. Взаимоотношения между группами категориальных переменных в исследуемой когорте пациентов с МПН визуализированы с помощью аллювиальных диаграмм (стиль диаграммы Сэнки), где каждая страта указывает на величину взаимосвязи (в данном случае — количество/частота пациентов в каждой категории). Сравнение 2 независимых групп проводили с использованием U-критерия Манна–Уитни, 3 независимых групп — критерия ANOVA, категориальных переменных — с помощью метода χ2. Нулевую гипотезу отвергали при р < 0,05.
Результаты
Пациенты были сопоставимы по возрасту, распределению основных факторов риска ишемических нарушений мозгового кровообращения (НМК). Основной схемой циторедуктивной терапии во всех группах был приём препаратов гидроксимочевины в сочетании с ацетилсалициловой кислотой.
Значимые отличия по уровню гемоглобина, эритроцитов, мутации V617F в гене JAK2 не оценивали в межгрупповом сравнении, так как нозологические формы МПЗ представляют собой гетерогенную группу, среди которой увеличение этих параметров является облигатным признаком только при ИП.
Для оценки возможных факторов, имеющих значение в реализации НМК у пациентов с МПЗ, были проанализированы данные молекулярно-генетических исследований в генах JAK2, CALR, сопутствующих заболеваний, предшествующих венозных тромбозов, показателей анализа крови, сердечно-сосудистых заболеваний, распространённости каротидного атеросклероза в зависимости от наличия НМК в целом по группе, постинфарктные изменения вещества мозга (табл. 1).
Таблица 1. Клинико-лабораторные характеристики обследованных пациентов
Table 1. Clinical and laboratory characteristics of the study patients
Показатель Parameter | Все пациенты All patients (n = 152) | С постинфарктными изменениями With post-infarction changes (n = 36) | Без постинфарктных изменений No post-infarction changes (n = 116) | p |
Мужчины/женщины, n (%) Male/female, n (%) | 52 (34)/100 (66) | 23 (64)/13 (36) | 29 (25)/87 (75) | < 0,010 |
Возраст, лет Me [Q1; Q3] Age, years, Me [Q1; Q3] | 48 [36; 55] | 52 [39; 57] | 47 [35; 55] | 0,080 |
Артериальная гипертония, n (%) Hypertension, n (%) | 51 (34) | 14 (39) | 37 (32) | 0,565 |
Сахарный диабет, n (%) Diabetes mellitus, n (%) | 9 (6) | 3 (8) | 6 (5) | 0,765 |
Инфаркт миокарда, n (%) Myocardial infarction, n (%) | 7 (5) | 3 (8) | 4 (3) | 0,443 |
Венозные тромбозы в анамнезе, n (%) History of venous thrombosis, n (%) | 19 (12,5) | 8 (22) | 11 (9) | 0,083 |
JAK2 V617F, n (%) | 117 (77) | 27 (75) | 90 (78) | 0,924 |
CALR, n (%) | 8 (5) | 3 (8) | 5 (4) | 0,605 |
Циторедуктивная терапия, n (%) Cytoreductive therapy, n (%) | 92 (гидроксимочевина hydroxyurea — 84; интерферон interferon — 8) (61%) | 26 (72) | 66 (гидроксимочевина hydroxyurea — 58) (57%) | 0,147 |
Головная боль Headache | 88 (58) | 12 (33) | 76 (66) | 0,001 |
Каротидный атеросклероз Carotid atherosclerosis | 51 (34) | 18 (50) | 33 (28) | 0,028 |
Гемоглобин, г/л Hemoglobin, g/L | 141 [127; 157] | 150 [136; 163] | 140 [125; 153] | 0,014 |
Эритроциты, × 1012 Red blood cells, × 1012 | 0,414 | |||
Лейкоциты, × 109 White blood cells, × 109 | 0,764 | |||
Тромбоциты, × 109 Platelets, × 109 | 476 [308; 594] | 429 [256; 546] | 490 [324; 601] | 0,099 |
Липопротеины низкой плотности, ммоль/л Low-density lipoprotein, mmol/L | 0,452 |
Статистически значимых различий между группами по наличию мутации в генах JAK2 и CALR, распространённости венозных тромботических событий не получено. При рассмотрении групп в зависимости от проводимой специфической терапии и артериальной гипертензии также не обнаружено значимых различий. Инсульт чаще был ассоциирован с мужским полом. Частота распространённости цефалгического синдрома была выше в группе пациентов без постинфарктных изменений. Каротидный атеросклероз чаще встречался в группе с инсультом (50% vs 28%; p = 0,0285). Отмечались статистически значимые различия в уровне гемоглобина — у пациентов с инсультом показатели были выше (150 vs 140 г/л; p = 0,014); напротив, для количества тромбоцитов в группе с инсультом была выявлена тенденция к снижению (429 vs 490; p = 0,099).
Учитывая гетерогенность лабораторных показателей, в дальнейшем проводили анализ каждой нозологической формы МПЗ отдельно, включая клинические и нейровизуализационные характеристики НМК (табл. 2; рис. 2, 3).
Таблица 2. Клинико-лабораторная характеристика пациентов с МПН с постинфарктными изменениями головного мозга
Table 2. Clinical and laboratory characteristics of MPN patients with post-infarction brain changes
Показатель Parameter | ИП | PV (n = 17) | ЭТ | ET (n = 15) | ПМФ | PMF (n = 4) | р |
Мужчины, n (%) Male, n (%) | 14 (82) | 6 (40) | 3 (75) | 0,04 |
Возраст, лет Me [Q1; Q3] Age, years, Me [Q1; Q3] | 49 [43; 57] | 51 [38; 58] | 54 [48; 56] | 0,995 |
Артериальная гипертония, n (%) Hypertension, n (%) | 5 (29) | 7 (47) | 2 (50) | 0,540 |
Сахарный диабет, n (%) Diabetes mellitus, n (%) | 1 (6) | 2 (13) | 0 (0) | 0,610 |
Инфаркт миокарда, n (%) Myocardial infarction, n (%) | 3 (18) | 0 (0) | 0 (0) | 0,160 |
Венозные тромбозы в анамнезе, n (%) History of venous thrombosis, n (%) | 4 (24) | 4 (27) | 0 (0) | 0,514 |
JAK2 V617F, n (%) | 15 (88) | 10 (67) | 2 (50) | 0,175 |
CALR, n (%) | 0 (0) | 2 (13) | 1 (25) | 0,174 |
Циторедуктивная терапия, n (%) Cytoreductive therapy, n (%) | 12 (71) | 11 (73) | 3 (75) | 0,976 |
Головная боль Headache | 5 (29) | 5 (33) | 2 (50) | 0,734 |
Каротидный атеросклероз Carotid atherosclerosis | 9 (53) | 9 (60) | 0 (0) | 0,097 |
Гемоглобин, г/л Hemoglobin, g/L | 162 [147; 174] | 131 [126; 148] | 154 [150; 158] | < 0,0001 |
Эритроциты, × 1012 Red blood cells, × 1012 | 0,006 | |||
Лейкоциты, × 109 White blood cells, × 109 | 0,098 | |||
Тромбоциты, × 109 Platelets, × 109 | 259 [211; 499] | 436 [319; 587] | 578 [387; 746] | 0,123 |
Липопротеины низкой плотности, ммоль/л Low-density lipoprotein, mmol/L | 0,022 |
Примечание. Сравнение в случае непрерывных переменных проводились помощью одностороннего теста ANOVA (нулевой гипотезой считали равенство средних значений всех групп), в случае частот — с помощью точного критерия Фишера без коррекции непрерывности. При p < 0,05 дальнейшие попарные сравнения не проводили ввиду описательного характера работы.
Note. Comparisons were made using a one-way ANOVA test for continuous variables (the null hypothesis was that the means of all groups were equal) and Fisher’s exact test without continuity adjustment for frequencies. Due to the descriptive nature of the study, no further pairwise comparisons were made at p < 0.05.
Рис. 2. Клинические паттерны у пациентов с МПН, перенёсших инсульт (аллювиальные диаграммы).
А — цветовая схема в зависимости от категории возраста (правая колонка); В — цветовая схема в зависимости от подгруппы МПН (левая колонка). АГ — артериальная гипертония; Ж — женщины; М — мужчины; СД — сахарный диабет 2-го типа.
Fig. 2. Clinical patterns in post-stroke patients with MPN (alluvial plots).
А: color scheme by age category (right column); В: color scheme by MPN subgroup (left column).
Рис. 3. МРТ головного мозга пациентов с ИП в аксиальной проекции в режимах Т2 (A–D) и ДВИ с b-фактором 1000 с/мм2 (E).
Визуализируются два основных паттерна поражения: небольшие постинфарктные очаги в глубоком белом веществе, базальных ганглиях и стволе мозга (A, B), у 1 пациентки обнаружены очаги острой ишемии в левом полушарии мозжечка (E); крупные корковые постинфарктные изменения в бассейне средней мозговой артерии и зонах смежного кровоснабжения без вовлечения базальных ядер (C, D); постинфарктные изменения (A–D) и очаги острой ишемии (E) указаны стрелками.
Fig. 3. Brain MRI of patients with PV in axial T2 (A—D) and DWI sequences with a b-value of 1,000 s/mm2 (E).
Two main involvement patterns are visualized: small post-infarction lesions in the deep white matter, basal ganglia, and brainstem (A, B); one patient had lesions of acute ischemia in the left cerebellar hemisphere (E); large cortical post-infarction changes in the middle cerebral artery system and adjacent perfusion territories without basal ganglia involvement (C, D); post-infarction changes (A–D) and acute ischemic lesions (E) are indicated by arrows.
Истинная полицитемия
Характерными клинико-нейровизуализационными признаками НМК при ИП являлись инфаркты корковой локализации в зонах смежного кровообращения, стволе, мозжечке, соответствовавшие перенесённым НМК по типу гемореологической микроокклюзии с частотой встречаемости 65%. При ретроспективной оценке клиническая картина была представлена неспецифическими жалобами на головокружение, иногда рвоту, общую слабость, в связи с чем пациенты думали в первую очередь о пищевом отравлении или, в случае отсутствия рвоты, об ухудшении течения основного гематологического заболевания, зачастую не обращаясь за медицинской помощью. В 40% случаев постинфарктные изменения в веществе головного мозга встречались в бассейне вертебрально-базилярной системы, в 60% — в каротидной или зонах смежного кровоснабжения. У 3 пациентов выявлена тромботическая окклюзия магистральных артерий головы с последующим развитием НМК (2 пациента с тромбозом одной из позвоночных артерий, 1 пациент с тромбозом внутренней сонной артерии), при дополнительном исследовании МРТ головного мозга (в режиме Fat Sat) не было получено данных о наличии диссекции сосудов.
Два пациента перенесли одномоментно, помимо НМК по ишемическому типу, кровоизлияние (1 пациент — субарахноидальное; 1 пациент — в области левого таламуса). Среди всей группы обследованных пациентов с ИП также встречались тромбозы венозных синусов в 1,5% случаев, в 1 случае тромбоз правых поперечного и сигмовидного синусов осложнился на 3-и сутки развитием венозного инфаркта.
У 30% пациентов с ИП постановке гематологического диагноза предшествовало НМК. Среди них у 1 пациента на фоне умеренного тромбоцитоза, эритроцитоза как первое клиническое событие развился тромбоз воротной вены. При дообследовании был установлен диагноз ИП, назначена специфическая циторедуктивная, антиагрегантная терапия; учитывая формирование портальной гипертензии, было принято решение о постановке мезентерико-кавального анастомоза. В последующем (период наблюдения 15 лет) развилась токсическая (печёночная) энцефалопатия, приведшая к снижению когнитивных функций, самостоятельной отмене терапии и, как следствие, повторным ишемическим НМК.
Помимо вышеописанных корковых постинфарктных изменений в зонах смежного кровоснабжения, у пациентов с ИП в 35% случаев также встречались обширные полушарные инфаркты с развитием выраженного неврологического дефицита (грубый гемипарез, афазия, гемианопсия) с развитием стойкой утраты дееспособности и инвалидностью (средний возраст пациентов 54 года).
При нейровизуализации основные находки у пациентов с НМК на фоне ИП были представлены в виде двух паттернов (рис. 3):
- небольшие (до 1,5 см) постинфарктные очаги в стволе, мозжечке, глубоком белом веществе и базальных ядрах, корковые постинфарктные зоны, кистозно-глио-зные изменения без вовлечения в процесс базальных ядер, в том числе в зонах смежного кровоснабжения, вероятно, после НМК по типу гемореологической микроокклюзии;
- крупные корковые постинфарктные изменения в бассейне средней мозговой артерии и зонах смежного кровоснабжения без вовлечения базальных ядер.
Эссенциальная тромбоцитемия
Характерными нейровизуализационными признаками НМК при ЭТ являлись массивные постинфарктные изменения с вовлечением коры, подлежащего и глубокого белого вещества, базальных ганглиев с частотой встречаемости 67%. В 26% случаев НМК развивалось на фоне тромботической окклюзии внутренней сонной артерии с последующим формированием массивного очага ишемии в веществе мозга. В большинстве случаев клиническая картина была представлена острым началом с развитием грубого неврологического дефицита. В 26% случаев постинфарктные изменения в веществе головного мозга встречались в бассейне вертебрально-базилярной системы, в 74% — в каротидном бассейне. В 33% случаев последствия НМК привели к развитию стойкой утраты дееспособности и инвалидности (средний возраст пациентов — 32 года).
У 1 пациента с перенесённым НМК в бассейне правой средней мозговой артерии с формированием левостороннего гемипареза дальнейшее течение заболевания осложнилось тромбозом правой яремной вены, вен нижних конечностей, развитием рецидивирующей тромбоэмболии лёгочной артерии с последующим ремоделированием миокарда и формированием стойкой лёгочной гипертензии.
У 40% пациентов с ЭТ постановке гематологического диагноза предшествовало НМК, из них 1 пациент перенёс заднюю обратимую энцефалопатию на фоне экстремального тромбоцитоза (более 1 млн тромбоцитов), что и послужило причиной последующего детализированного гематологического дообследования с постановкой диагноза ЭТ.
Ведущим нейровизуализационным паттерном последствий НМК при ЭТ был большой объём поражения вещества мозга с корково-подкорковой локализацией (рис. 4).
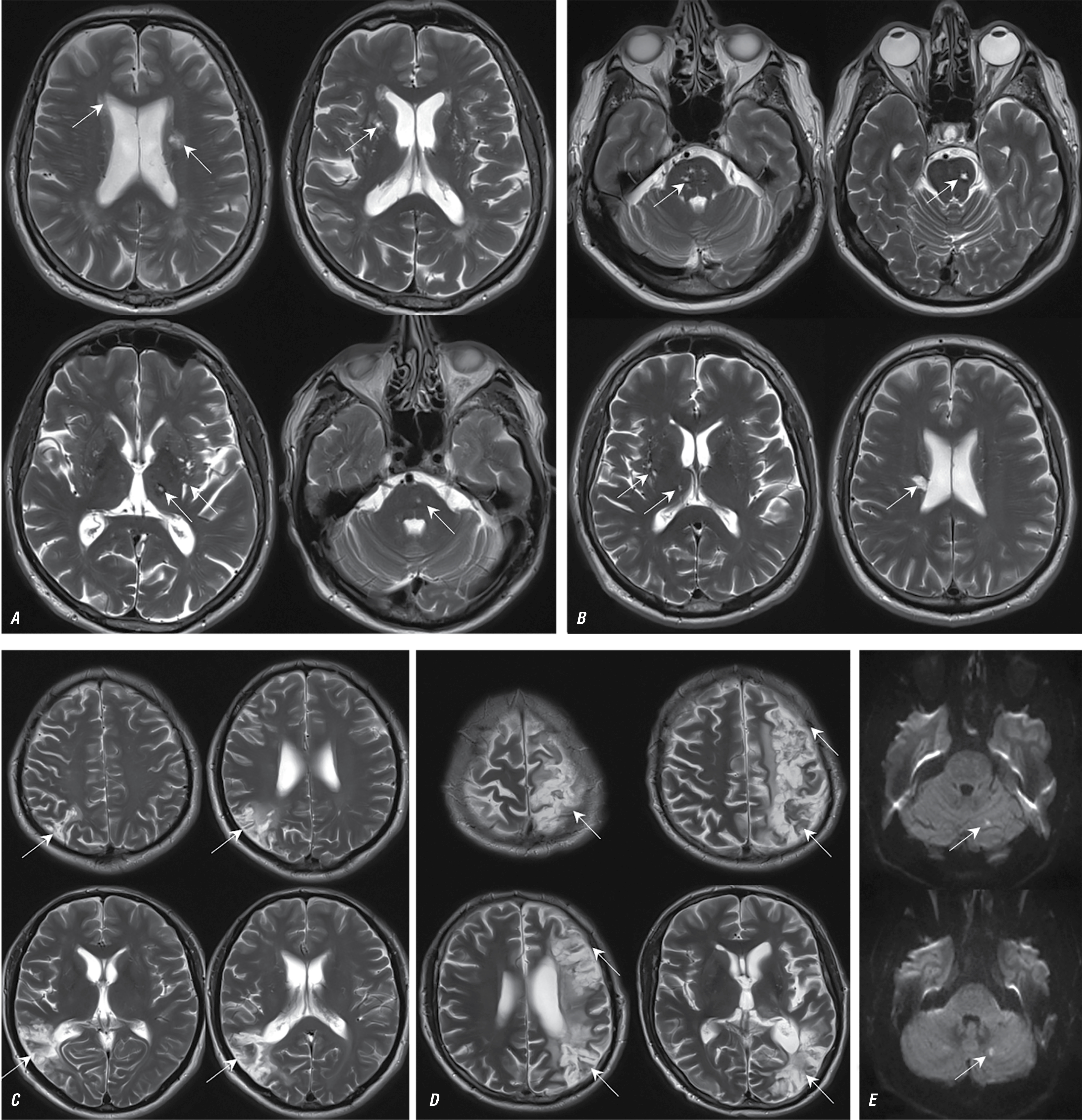
Рис. 4. МРТ головного мозга пациентов с ЭТ — Т2-взвешенные изображения в аксиальной плоскости.
Во всех случаях визуализируются массивные постинфарктные изменения с вовлечением коры, подлежащего и глубокого белого вещества, а также базальных ганглиев (постинфарктные изменения указаны стрелками).
Fig. 4. Brain MRI of patients with ET; axial plane T2-weighted images.
In all cases, massive post-infarction changes are found in the cortex, underlying and deep white matter, and basal ganglia (post-infarction changes are indicated by arrows).
Первичный миелофиброз
Характерными клиническими признаками НМК на фоне ПМФ у большинства обследованных являлись рецидивирующие преходящее онемение в руках/ногах, неловкость при выполнении мелких движений, самостоятельно купировавшиеся в течение нескольких часов по типу транзиторной ишемической атаки. Часть пациентов описывала эпизоды транзиторной ишемической атаки в течение нескольких недель, месяцев до развития НМК. Несколько пациентов отмечали приступы выраженной, атипичной головной боли с появлением ауры (в виде «ряби» перед глазами, изменения цветоощущения), с последующим развитием очаговых изменений (в течение нескольких недель).
Средний возраст пациентов с инсультом на фоне ПМФ составлял 50 лет, ни в одном случае постинфарктные изменения не приводили к стойкой утрате трудоспособности с выраженным двигательным дефицитом.
Один пациент после постановки диагноза ПМФ не принимал циторедуктивную, антитромботическую терапию (отсутствие тромбозов в анамнезе, возраст менее 60 лет), однако через 7 лет после постановки диагноза ПМФ развилось НМК в бассейне правой средней мозговой артерии. У другого пациента постановке асимптомно протекавшего гематологического диагноза предшествовало НМК.
Основным паттерном постинфарктных изменений у пациентов с ПМФ при нейровизуализации являлись небольшие очаговые поражения в глубоких отделах вещества мозга, вероятнее всего, после развития НМК по типу гемореологической микрооклюзии (рис. 5).
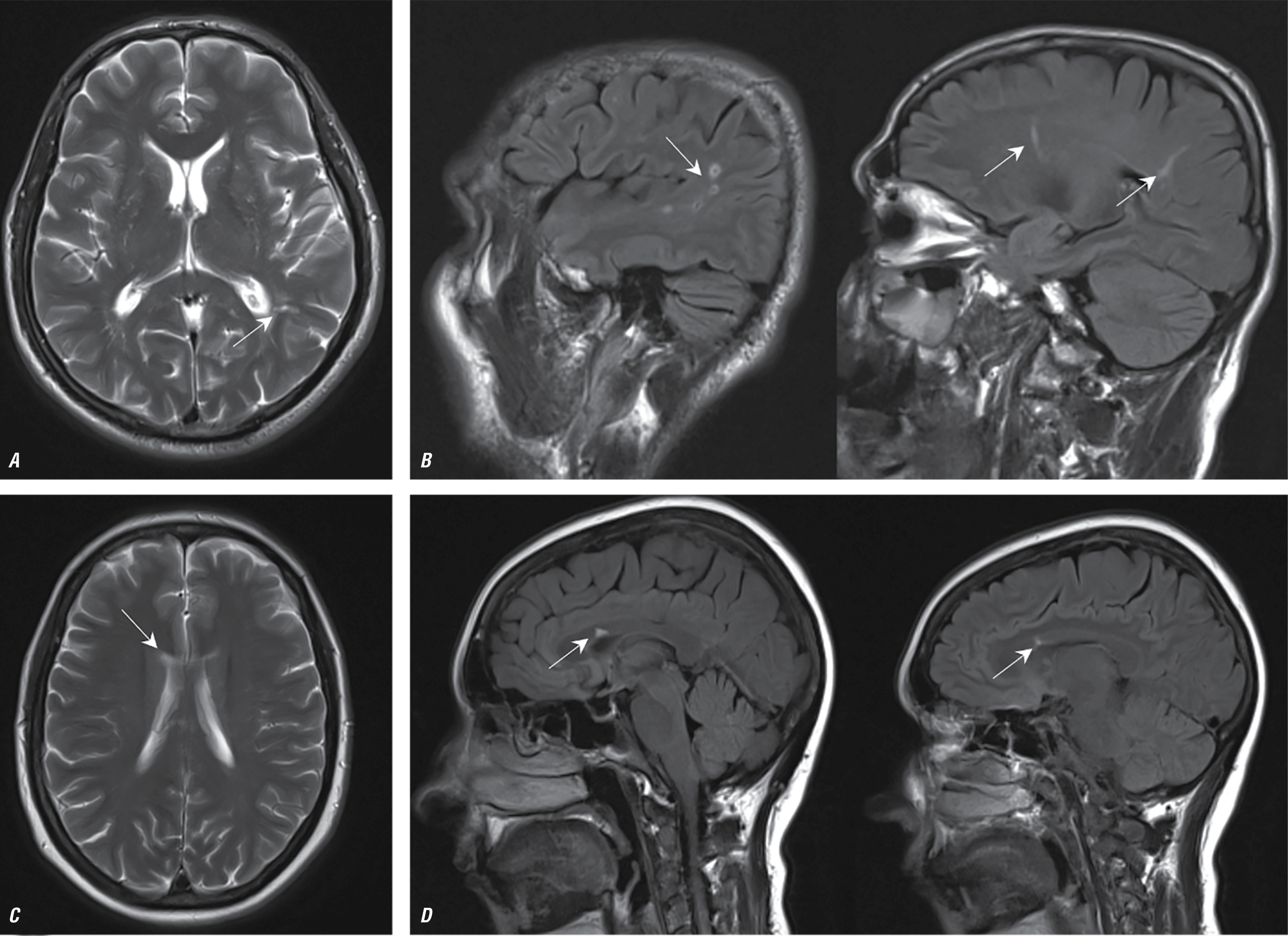
Рис. 5. МРТ головного мозга пациентов с ПМФ в аксиальной проекции в режиме Т2 (А, С) и в сагиттальной проекции в режиме Т2-FLAIR (B, D).
Визуализируются небольшие постинфарктные перивентрикулярные очаги (указаны стрелками).
Fig. 5. Brain MRI of patients with PMF in axial T2 images (А, С) and in sagittal T2 FLAIR images (B, D).
Small post-infarction periventricular lesions are visualized (as indicated by arrows).
Обсуждение
Причинами смертности и инвалидности при ЭТ, ИП и ПМФ чаще всего являются артериальные и венозные тромбозы различной локализации [3, 4]. Диагноз Ph-негативных МПН устанавливается на основании клинической картины и данных клинико-лабораторных исследований (показателей периферической крови, гистологических признаков в трепанобиоптате костного мозга и молекулярно-генетических маркеров: JAK2, CALR, MPL).
Целью терапии ИП и ЭТ является сдерживание прогрессирования заболевания и поддержание качества жизни пациентов. При правильном подходе к лечению продолжительность жизни пациентов с ИП и ЭТ не должна отличаться от популяционных показателей. Лечение ПМФ направлено на продление жизни и предупреждение осложнений, серьёзно ухудшающих качество жизни пациентов. Терапия всех Ph-негативных МПН основана на применении риск-адаптированной стратегии.
Две трети тромботических осложнений у пациентов с МПЗ составляют артериальные тромбозы, из которых наиболее клинически значимыми являются инсульт, транзиторная ишемическая атака и тромбоз коронарных артерий [5–7]. В последнее время в рекомендациях используются объективно проверенные факторы тромботического риска. [8]. С одной стороны, это снижает долгосрочные токсические эффекты циторедуктивной, антикоагулянтной, антиагрегантной терапии, с другой стороны, существующие шкалы тромботического риска в основном учитывают только возраст, наличие предшествующих тромботических событий, сердечно-сосудистые заболевания (артериальная гипертония) и мутационный статус (V617 в гене JAK2) и не включают такие факторы, как наличие атеросклеротического поражения магистральных артерий головы, кардиальную патологию (фибрилляцию предсердий, патологию клапанов, атеросклероз коронарных артерий), ожирение, приём оральных контрацептивов, наличие тромбофилии, гиподинамию, злоупотребление алкоголем.
Впервые цереброваскулярные осложнения у пациентов с МПН описал J. Bogousslavsky в 1983 г., акцентируя, что ранняя диагностика имеет основополагающее значение для предотвращения развития и прогрессирования цереброваскулярных заболеваний [9]. Впоследствии в серии публикаций были описаны инсульт, инфаркт миокарда, распространённый атеросклероз, тромбозы глубоких вен и тромбоэмболия лёгочной артерии как самые частые причины смерти пациентов с МПН. Установлены и основные факторы тромботических осложнений: мутация V617F в гене JAK2, лейкоцитоз, возраст, сосудистые факторы (артериальная гипертония) [10, 11].
Кумулятивная частота ишемического инсульта (средний срок наблюдения 3 года) составила в европейской популяции 25% при ИП и 21% при ЭТ [12]. Это в целом сопоставимо с результатами нашего исследования, в котором частота ишемического инсульта при ИП составила 24%, при ЭТ — 25%.
По данным популяционного когортного исследования M. Hultcrantz и соавт., у пациентов с МПН риск ишемического инсульта через 5 лет после постановки диагноза был примерно в 1,5 раза выше по сравнению с контрольной группой того же возраста и пола [13]. Эти данные позволяют рассматривать МПН как группу, нуждающуюся в более тщательном наблюдении и контроле основного заболевания.
Общеизвестна высокая патогенетически значимая роль церебрального и, прежде всего, каротидного атеросклероза в генезе ишемических НМК [14]. A. Drofenik и соавт. показали сопоставимые параметры распространённости и характера каротидного атеросклероза у пациентов с ЭТ и в группе контроля, однако уровень коронарного кальция в группе пациентов с ЭТ был выше [15], что говорит о бóльшей жёсткости сосудистой стенки у этих пациентов, а значит, является потенциально более эмболоопасным источником. Эпидемиология церебрального атеросклероза у пациентов с МПЗ, ассоциированного с хроническим воспалением (в том числе JAK2-опосредованное), была описана S. Kwon и соавт., которые продемонстрировали более высокий уровень соотношения нейтрофилов к лимфоцитам и распространённость каротидного атеросклероза, чем в популяции в целом [16]. Авторы сделали выводы, что вероятно воспаление играет решающую роль в патогенезе МПЗ, а провоспалительные факторы, помимо индукции протромбогенного состояния крови, также вносят свой вклад в прогрессирование атеросклероза, повышая сердечно-сосудистый риск. Так, патологическая активация лейкоцитов, тромбоцитов и сосудистой стенки при ЭТ и ИП может приводить к более раннему развитию атеросклероза.
В проведённом нами исследовании выявляемость каротидного атеросклероза была выше у пациентов с инсультом на фоне ЭТ (60%); при этом в исследованной выборке именно у пациентов с ЭТ наблюдались обширные постинфарктные изменения корково-подкорковой локализации, указывающие на атеротромботический патогенетический подтип инсульта, тогда как в группах ИП и ПМФ более вероятно повреждение вещества головного мозга, соответствовавшее перенесённому инсульту по типу гемореологической микроокклюзии.
Согласно анализу M. Burattini и соавт., ишемический инсульт стал первым проявлением ИП в 16,2% случаев; совокупная частота цереброваскулярных осложнений достигала 5,5 на 100 человек в год, а на долю инсульта приходилось 8,8% всех смертей, связанных с ИП; основными факторами риска были возраст, мутации и тромбозы в анамнезе [17]. В проведённом нами исследовании частота инсульта в качестве первого проявления ИП составляла 30%, что может быть объяснено особенностями выборки: часть пациентов с перенесённым НМК по типу гемореологической микроокклюзии не отмечали по анамнестическим данным неврологических симптомов, и только выполненное МРТ головного мозга в рамках настоящего исследования позволило выявить постинфарктные изменения.
Инсульты, связанные с ИП, часто остаются невыявленными, отчасти из-за низкой распространённости данной нозологической формы. Ранняя диагностика может привести к более эффективному лечению (с помощью кровопускания, циторедукции и приёма низких доз ацетилсалициловой кислоты), а также способствовать снижению риска рецидивов.
Данные о распространённости инсульта на фоне ЭТ как первого проявления основного гематологического заболевания малочисленны и часто ограничиваются описанием серии клинических случаев. Так, Y. Kato и соавт. описали 10 пациентов с ЭТ и ишемическим инсультом, у 8 (80%) из них инсульт предшествовал постановке диагноза ЭТ [18]. В нашем исследовании инсульт был первым проявлением при ЭТ в 40% случаев.
M.I. Stefanou и соавт. в университете Тюбингена в 2014–2017 гг. изучали истории болезней 3318 пациентов с цереброваскулярными заболеваниями, среди них отмечены 17 пациентов с МПЗ и ишемическим инсультом, из которых в 58% случаев инсульт/транзиторная ишемическая атака были первым проявлением МПЗ [19].
Такая вариабельность данных из имеющихся источников может быть объяснена особенностями набора и включения пациентов, однако, несмотря на вариативность показателей, это подчёркивает важность проблемы развития НМК, в том числе в молодом возрасте, в когорте пациентов с МПЗ.
Синус-тромбозы также описаны в литературе как первое проявление МПЗ [20]. В проведённом нами исследовании частота встречаемости тромбозов венозных синусов составляла 7% (все пациенты с ИП), однако они не предшествовали постановке гематологического диагноза.
Одним из этапов настоящего исследования была оценка агрегационных свойств эритроцитов/тромбоцитов, их связи с развитием цереброваскулярной патологии у пациентов с МПЗ, описанной нами ранее [21, 22]. Особенностью нейровизуализационной картины у пациентов гематологического профиля являются относительно высокая частота так называемых «немых» инфарктов головного мозга, помимо симптомных НМК. Несмотря на отсутствие клинической картины, перенесённые «немые» инфаркты по данным МРТ у пациентов с МПЗ имеют существенные последствия, напрямую влияющие на когнитивные функции, повышение риска развития деменции в будущем [23, 24].
Редкие варианты геморрагических НМК, описанные в настоящем исследовании, составляют предмет дискуссий и обсуждения адекватности продолжения агрессивной антиагрегантной терапии, особенно в случаях с нераспознанной резистентностью к тем или иным антитромботическим препаратам.
Маскирование под неврологические проявления (головная боль, общая слабость, преходящие геми/монопарезы конечностей, дизартрия, лёгкие координаторные нарушения, очаги ишемии мозга при МРТ-исследовании, иногда «немые» по звучанию) на фоне зарегистрированного гематологического заболевания с или без адекватной циторедуктивной терапии, а также недооценка основных характеристик МПЗ могут существенно повлиять на тактику ведения пациентов, клинические результаты и продолжительность жизни. Клиницистам, причём не только неврологам, необходимо знать о МПЗ как о факторе риска развития инсульта. Детализация гематологического и неврологического обследований может сократить число криптогенных инсультов.
Ограничения исследования. Относительным ограничением данного исследования является набор пациентов на базе одного клинического центра, что не может исключать потенциальную малую репрезентативность выборки.
Заключение
Гетерогенная группа МПЗ с устойчивыми аномальными показателями общего анализа крови является важным фактором риска развития сосудистой патологии мозга. Описанные клинико-лабораторные и нейровизуализационные паттерны цереброваскулярных заболеваний на фоне МПЗ могут явиться показаниями в алгоритме дообследования пациентов с неясными и/или криптогенными формами НМК.
Об авторах
Маринэ Мовсесовна Танашян
Научный центр неврологии
Email: mtanashyan@neurology.ru
ORCID iD: 0000-0002-5883-8119
д-р мед. наук, профессор, член-корр. РАН, зам. директора по научной работе, зав. 1-м неврологическим отделением Института клинической и профилактической неврологии
Россия, МоскваПолина Игоревна Кузнецова
Научный центр неврологии
Автор, ответственный за переписку.
Email: angioneurology0@gmail.com
ORCID iD: 0000-0002-4626-6520
канд. мед. наук, н. с. 1-го неврологического отделения Института клинической и профилактической неврологии
Россия, МоскваАнтон Алексеевич Раскуражев
Научный центр неврологии
Email: rasckey@live.com
ORCID iD: 0000-0003-0522-767X
канд. мед. наук, c. н. с. 1-го неврологического отделения Института клинической и профилактической неврологии
Россия, МоскваАнаит Левоновна Меликян
Национальный медицинский исследовательский центр гематологии
Email: anoblood@mail.ru
ORCID iD: 0000-0002-2119-3775
д-р мед. наук, зав. отделением стандартизации методов лечения НМИЦ гематологии
Россия, МоскваИрина Николаевна Суборцева
Национальный медицинский исследовательский центр гематологии
Email: soubortseva@yandex.ru
ORCID iD: 0000-0001-9045-8653
канд. мед. наук, врач-гематолог отделения стандартизации методов лечения гематологических заболеваний, с. н. с. отдела диагностики и лечения гематологических заболеваний
Россия, МоскваАлла Анатольевна Шабалина
Научный центр неврологии
Email: ashabalina@yandex.ru
ORCID iD: 0000-0001-9604-7775
д-р мед. наук, в. н. с., руководитель отдела лабораторной диагностики
Россия, МоскваСофья Николаевна Морозова
Научный центр неврологии
Email: morozova@neurology.ru
ORCID iD: 0000-0002-9093-344X
канд. мед. наук, н. с. отдела лучевой диагностики Института клинической и профилактической неврологии
Россия, МоскваСписок литературы
- Shallis R.M., Zeidan A.M., Wang R., Podoltsev N.A. Epidemiology of the Philadelphia chromosome-negative classical myeloproliferative neoplasms. Hematol. Oncol. Clin. North Am. 2021;35(2):177–189. doi: 10.1016/j.hoc.2020.11.005
- Greenfield G., McMullin M.F., Mills K. Molecular pathogenesis of the myeloproliferative neoplasms. J. Hematol. Oncol. 2021;14(1):103. doi: 10.1186/s13045-021-01116-z
- Barbui T., Thiele J., Gisslinger H. et al. The 2016 WHO classification and diagnostic criteria for myeloproliferative neoplasms: document summary and in-depth discussion. Blood Cancer J. 2018;8(2):15. doi: 10.1038/s41408-018-0054-y
- Schwarz J., Ovesná P., Černá O. et al. Thrombosis in thrombocythemic Ph-myeloproliferations is associated with higher platelet count prior to the event: results of analyses of prothrombotic risk factors from a registry of patients treated with anagrelide. Eur. J. Haematol. 2016;96(1):98–106. doi: 10.1111/ejh.12554
- Duangnapasatit B., Rattarittamrong E., Rattanathammethee T. et al. Clinical manifestations and risk factors for complications of Philadelphia chromosome-negative myeloproliferative neoplasms. Asian Pac. J. Cancer Prev. 2015;16(12):5013–5018. doi: 10.7314/apjcp.2015.16.12.5013
- Rungjirajittranon T., Owattanapanich W., Ungprasert P. et al. A systematic review and meta-analysis of the prevalence of thrombosis and bleeding at diagnosis of Philadelphia-negative myeloproliferative neoplasms. BMC Cancer. 2019;19(1):184. doi: 10.1186/s12885-019-5387-9
- Carandina A., Lazzeri G., Villa D. et al. Targeting the autonomic nervous system for risk stratification, outcome prediction and neuromodulation in ischemic stroke. Int. J. Mol. Sci. 2021;22(5):2357. doi: 10.3390/ijms22052357
- Barbui T., Barosi G., Birgegard G. et. al. Philadelphia-negative classical myeloproliferative neoplasms: critical concepts and management recommendations from European LeukemiaNet. J. Clin. Oncol. 2011;29(6):761–770. doi: 10.1200/JCO.2010.31.8436
- Bogousslavsky J., Regli F., Rousselle J., Schmidt P.M. Cerebrovascular complications of thrombocytosis. Schweiz. Med. Wochenschr. 1983;113(14):493–496.
- Casini A., Fontana P., Lecompte T.P. Thrombotic complications of myeloproliferative neoplasms: risk assessment and risk-guided management. J. Thromb. Haemost. 2013;11(7):1215–1227. doi: 10.1111/jth.12265
- Танашян М.М., Кузнецова П.И., Лагода О.В. и др. Миелопролиферативные заболевания и ишемический инсульт. Анналы клинической и экспериментальной неврологии. 2014;8(2):41–45. Tanashyan M.M., Kuznecova P.I., Lagoda O.V. et al. Myeloproliferative diseases and ischemic stroke. Annals of Clinical and Experimental Neurology. 2017;8(2):41–45. doi: 10.17816/psaic181
- Kaifie A., Kirschner M., Wolf D. et al. Bleeding, thrombosis, and anticoagulation in myeloproliferative neoplasms (MPN): analysis from the German SAL-MPN-registry. J. Hematol. Oncol. 2016;9:18. doi: 10.1186/s13045-016-0242-9
- Hultcrantz M., Björkholm M., Dickman P.W. et al. Risk for arterial and venous thrombosis in patients with myeloproliferative neoplasms: a population-based cohort study. Ann. Intern. Med. 2018;168(5):317–325. doi: 10.7326/M17-0028
- Parish S., Arnold M., Clarke R. et al. Assessment of the role of carotid atherosclerosis in the association between major cardiovascular risk factors and ischemic stroke subtypes. JAMA Netw. Open. 2019;2(5):e194873. doi: 10.1001/jamanetworkopen.2019.4873
- Anžič Drofenik A., Vrtovec M., Božič Mijovski M. et al. Progression of coronary calcium burden and carotid stiffness in patients with essential thrombocythemia associated with JAK2 V617F mutation. Atherosclerosis. 2020;296:25–31. doi: 10.1016/j.atherosclerosis.2020.01.001
- Kwon S.S., Yoon S.Y., Jeong S.Y. et al. Neutrophil-lymphocyte ratio and carotid plaque burden in patients with essential thrombocythemia and polycythemia vera. Nutr. Metab. Cardiovasc. Dis. 2022;32(8):1913–1916. doi: 10.1016/j.numecd.2022.04.013
- Burattini M., Falsetti L., Potente E. et al. Ischemic stroke as a presenting manifestation of polycythemia vera: a narrative review. Rev. Neurosci. 2021;33(3):303–311. doi: 10.1515/revneuro-2021-0066
- Kato Y., Hayashi T., Sehara Y. et al. Ischemic stroke with essential thrombocythemia: a case series. J. Stroke Cerebrovasc. Dis. 2015;24(4):890–893. doi: 10.1016/j.jstrokecerebrovasdis.2014.12.012
- Stefanou M.I., Richter H., Härtig F., et al. Recurrent ischaemic cerebrovascular events as presenting manifestations of myeloproliferative neoplasms. Eur. J. Neurol. 2019;26(6):903–e64. doi: 10.1111/ene.13907
- Arai M, Sugiura A. Superior sagittal sinus thrombosis as first manifestation of essential thrombocythemia. Rinsho. Shinkeigaku. 2004;44(1):34–38.
- Танашян М.М., Шабалина А.А., Ройтман Е.В. и др. Тромбогенность у больных ишемическим инсультом на фоне истинной полицитемии. Вестник Российского государственного медицинского университета. 2020;(4):49–55. Tanashyan M. M., SHabalina A. A., Rojtman E. V. et al. Thrombogenicity in patients with ischemic stroke and pre-existing polycythemia vera. Bulletin of RSMU. 2020;(4):49–55. doi: 10.24075/vrgmu.2020.052
- Kuznetsova P.I., Raskurazhev A.A., Shabalina A.A. et al. Red blood cell morphodynamics in patients with polycythemia vera and stroke. Int. J. Mol. Sci. 2022;23(4):2247. doi: 10.3390/ijms23042247
- Kuznetsova P.I., Raskurazhev A.A., Lagoda O.V. et al. Covert brain infarcts in patients with Philadelphia chromosome-negative myeloproliferative disorders. J. Clin. Med. 2021;11(1):13. doi: 10.3390/jcm11010013
- Меликян А.Л., Суборцева И.Н., Ковригина А.М. и др. Национальные клинические рекомендации по диагностике и лечению Ph-негативных миелопролиферативных новообразований (истинной полицитемии, эссенциальной тромбоцитемии, первичного миелофиброза) (редакция 2024 г.). Клиническая онкогематология. 2024;17(3):291–334. Melikyan A.L., Suborceva I.N., Kovrigina A.M. et al. National clinical guidelines on diagnosis and treatment of Ph-negative myeloproliferative neoplasms (polycythemia vera, essential thrombocythemia, and primary myelofibrosis) (Edition 2024). Clinical oncohematology. 2024;17(3):291–334. doi: 10.21320/2500-2139-2024-17-3-291-334










