Electrographic status epilepticus following cardiac surgery for congenital heart defects in children
- Authors: Russkin V.O.1, Kuznetsova A.A.2,3, Abramyan M.A.2, Sandrikov V.A.1
- 
							Affiliations: 
							- Petrovsky National Research Centre of Surgery
- Morozov Children’s City Clinical Hospital
- Moscow Research and Clinical Center for Neuropsychiatry
 
- Issue: Vol 19, No 3 (2025)
- Pages: 90-99
- Section: Clinical analysis
- Submitted: 08.10.2024
- Accepted: 17.04.2025
- Published: 10.10.2025
- URL: https://annaly-nevrologii.com/pathID/article/view/1205
- DOI: https://doi.org/10.17816/ACEN.1205
- EDN: https://elibrary.ru/CEOIAF
- ID: 1205
Cite item
Abstract
Status epilepticus (SE) is a severe complication of cardiac surgery for cyanotic congenital heart defects in children. SE significantly worsens neurological prognosis and increases the likelihood of fatal outcomes. In most cases, epileptic seizures and status epilepticus in intensive care unit patients lack clinical manifestations and are detected exclusively through electroencephalography (EEG). In this study, we present a series of clinical observations demonstrating the transformation of SE from clinical to electrographic manifestations during anticonvulsant therapy in children with cyanotic congenital heart defects during the postoperative period. We emphasize the critical importance of EEG in managing SE in pediatric intensive care settings.
Full Text
Introduction
Congenital heart defects (CHD) are the most common type of congenital defects and the leading cause of childhood mortality in neonatal and infant periods [1, 2]. By the mid-20th century, only one-third of children with CHD reached adulthood. Since the 21st century, due to advances in diagnostic, anesthesiological, and surgical techniques, approximately 90% of children survive into adulthood [3–5]. Having achieved significant reductions in mortality among children with CHD, the medical community is gradually shifting its focus toward improving these patients’ quality of life, particularly combating intraand postoperative central nervous system (CNS) complications.
The incidence of epileptic seizures (ES), clinical status epilepticus (SE), and electrographic SE (ESE) following corrective surgery for CHD in children ranges from 8% to 11.5% [6–8]. Most of these cases (up to 85%) lack clinical manifestations. In critically ill children, ESE significantly increases mortality and worsens long-term outcomes, necessitating long-term multi-hour EEG monitoring [9].
In 2013, the Salzburg criteria for diagnosing non-convulsive SE were proposed to standardize critical care EEG assessment and improve the diagnosis of electrographic seizures and ESE, significantly enhancing ESE detection while reducing false-positive results [10–12] (Table 1).
Table 1. Clinical EEG criteria for diagnosing electrographic seizures and electrographic status epilepticus
| Electrographic seizure | Electroclinical seizure | 
| Discharges with a frequency > 2.5 Hz lasting ≥ 10 seconds (≥ 25 discharges over 10 seconds OR Any pattern with clear evolution lasting > 10 seconds | Clinical manifestations occur synchronously with EEG discharge patterns OR Clinical and electrographic improvement following parenteral antiepileptic drug administration | 
| Electrographic status epilepticus | Electroclinical SE | 
| Electrographic seizures lasting > 10 minutes OR | Electroclinical seizures lasting > 10 minutes OR | 
| > 20% of a 60-minute recording | > 20% of a 60-minute recording OR | 
| > 5 minutes for bilateral tonic-clonic seizures | |
| Possible SE: electrographic improvement without clinical improvement after parenteral antiepileptic agent administration | 
In some patients, electrographic seizures or ESE persist after resolution of clinical SE manifestations. I. Sánchez Fernández et al. found that in pediatric intensive care units, transformation of SE into electrographic seizures occurred in 33–52% of cases, and SE into ESE in 12–25% of cases [6, 13], which is comparable to adult population data (48% and 14%, respectively) [14].
We present case reports of three pediatric patients who developed SE after cardiac surgery for CHD, which subsequently transitioned into non-convulsive (electrographic) or electroclinical forms.
Clinical case 1
Patient T., 3 months of age. The perinatal history is unremarkable. At three month of age the patient received surgical intervention — radical surgery for tetralogy of Fallot: closure of the ventricular septal defect with a polytetrafluoroethylene patch, infundibulotomy, and transannular patch plasty of the right ventricular outflow tract and pulmonary artery trunk using a xenopericardial patch under cardiopulmonary bypass (CPB) and pharmaco-cold crystalloid cardioplegia. The duration of CPB was 51 minutes.
On postoperative day 2, the child developed focal motor seizures manifesting as clonic twitching in the right arm with impaired awareness progressing to SE. After clinical resolution with 2.5 mg diazepam and 40 mg/kg/day levetiracetam, a follow-up EEG was performed (Fig. 1). Throughout the recording, left-lateralized rhythmic delta activity (LRDA) at 2.5–3.0 Hz was observed, followed by frequency evolution (down to 2 Hz) and transformation into lateralized periodic discharges (LPDs), which according to the Salzburg criteria was interpreted as ESE.
Fig. 1. A fragment of scalp EEG recording from patient T. on day 2 postoperatively.
A — LRDA at 2.5–3.0 Hz recorded under the electrodes over the left hemisphere; B — evolution of frequency characteristics to 2 Hz with transformation into LPDs. The channels where LPDs are recorded are highlighted in color. Longitudinal bipolar montage. Sensitivity — 15 μV/mm.
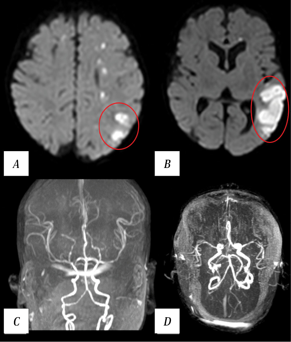
Brain magnetic resonance imaging (MRI) revealed a watershed infarction in the left hemisphere (Fig. 2), while 3D time-of-flight (TOF) MR angiography showed no signal changes in the intracranial arteries.
Fig. 2. Results of patient T. MRI on day 2 postoperatively.
A, B — brain MRI. Diffusion-weighted imaging (DWI), axial view. MRI findings of a watershed infarction in the left hemisphere (within the red oval). C, D — MR angiography, 3D reconstruction. Blood flow in the intracranial arteries of the head is intact.
Given the persistent EEG pattern of SE, midazolam at 0.2 mg/kg/h and sodium thiopental at 5 mg/kg/h were added to the therapy.
On day 3, during levetiracetam infusion, continued midazolam sedation, and reduced sodium thiopental dosage, a repeat EEG was performed (Fig. 3). Background activity was represented by diffuse slow waves in the θ and δ ranges. No epileptiform activity or ictal EEG patterns were recorded.
Fig. 3. A fragment of scalp EEG recording from patient T. on day 3 postoperatively.
Background activity is represented by diffuse slow waves. No ictal EEG patterns were recorded. Longitudinal bipolar montage. Sensitivity — 5 μV/mm.
On day 5, midazolam was gradually discontinued. Follow-up brain MRI showed sequelae of acute cerebrovascular accident in the left middle cerebral artery territory and at the watershed zone between the middle and posterior cerebral arteries, without negative changes over time. The neurological status at discharge included moderate right-sided hemiparesis (up to 3 points) and anisoreflexia. Cognitive function was fully restored, and elements of cooing and the animation complex appeared.
In this patient, the combination of an electrographic pattern classified as ictal with the semiology of epileptic seizures (right-sided clonic contractions in the upper limb) led to the suspicion of an acute cerebrovascular accident and prompted an MRI.
Clinical case 2
Patient B., 3 months of age. The perinatal history is unremarkable. At 1 month of age, the diagnosis of CHD was established: subaortic ventricular septal defect measuring 7.5 × 7.9 mm. At 2 months of age, the patient underwent cardiac surgery — closure of the ventricular septal defect with a polytetrafluoroethylene patch under CBP (80 minutes).
On the first postoperative day, focal motor epileptic seizures occurred in the right extremities. To control seizures, valproic acid at 20 mg/kg/h (intravenous microbolus) and midazolam at 0.2 mg/kg/h were administered. Clinical manifestations subsided, but due to the inability to perform nighttime EEG monitoring, the study was conducted 14 hours later.
The first EEG was performed while the patient was already on antiepileptic therapy. The recording showed LRDA up to 4 Hz in the right occipital region with spread to the left occipital region, lasting up to 30 seconds. Independent LPDs as sharp waves at 2–3 Hz were observed under the electrodes of the left hemisphere, lasting up to 60 seconds. Given that LRDA and LPDs were recorded for more than 50% of the tracing, this EEG pattern was interpreted as ESE (Fig. 4). Consequently, sodium thiopental was added to the treatment regimen at 1 mg/kg/h with gradual titration up to 5 mg/kg/h, and the dose of valproic acid was increased to 45 mg/kg/day.
Fig. 4. A fragment of scalp EEG recording from patient B. on day 2 postoperatively.
A — 4 Hz LRDA is recorded in the right occipital region with spread to the left occipital region. B — LPDs manifest as 2.0–2.5 Hz sharp waves under left hemisphere electrodes. Red frames highlight electrodes detecting LRDA and LPDs. Longitudinal bipolar montage. Sensitivity — 7 μV/mm.
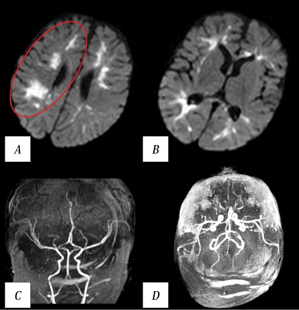
Brain MRI revealed watershed infarctions in both hemispheres (Fig. 5).
Fig. 5. Results of patient B. MRI on day 2 postoperatively.
A, B — brain MRI. DWI, axial plane. Watershed infarctions in both cerebral hemispheres. Red oval outlines the most extensive area in the right hemisphere; similar regions are observed in the left hemisphere. C, D — MR angiography, 3D reconstruction. Intracranial arterial blood flow remains intact.
On postoperative day 3, under sodium thiopental and valproic acid therapy, repeat EEG demonstrated bursts of epileptiform activity featuring polyspikes superimposed on diffuse cortical rhythm suppression, consistent with the high epileptiform burst-suppression electrographic pattern (Fig. 6). This activity was interpreted as reflecting combined effects of sedative therapy and severe cerebral injury.
Fig. 6. A fragment of EEG recording from patient B. on day 3 postoperatively.
Epileptiform burst-suppression electrographic pattern. Longitudinal bipolar montage. Sensitivity — 3 μV/mm. The highly epileptiform burst is highlighted with a red frame.
This morphology of graphoelements in patients with SE has been described as a predictor of seizure recurrence [15, 16], prompting the decision to continue sedative therapy with the addition of a second antiepileptic agent, phenobarbital, with gradual titration up to 3.75 mg/kg/day.
Midazolam was discontinued on postoperative day 5. A follow-up EEG was performed to register a burst-suppression pattern, with diffuse low-amplitude slow waves incorporating a spike component within the burst structure (Fig. 7).
Fig. 7. A fragment of EEG recording from patient B. on day 5 postoperatively.
Epileptiform burst-suppression electrographic pattern. Longitudinal bipolar montage. Sensitivity — 3 μV/mm. Bursts of slow waves incorporating a spike component are highlighted with red frames.
On postoperative day 6, the sodium thiopental dose was reduced to 2 mg/kg/h and discontinued on day 7. Follow-up EEG showed diffuse slow theta waves, regional epileptiform activity in the central regions of the left hemisphere, with no ictal patterns recorded. At discharge on day 20, the neurological examination revealed prolonged disorder of consciousness — unresponsive wakefulness syndrome.
In patient B., the semiology of epileptic seizures was characterized by right-sided hemiclonic jerks, consistent with the localization of the epileptogenic zone in the left hemisphere. Additionally, an independent focus emerged in the right occipital region. Given the multifocal structural lesions on neuroimaging, the initiation zones of epileptic seizures were likely several areas of structural brain changes. Notably, a highly epileptiform burst-suppression pattern was recorded during pharmacological sedation. This EEG pattern, combined with bilateral diffuse MRI changes, carries poor prognostic significance for consciousness recovery, consistent with the functional outcome at the end of observation [17–19].
Clinical case 3
Patient V., 2 months of age. The perinatal history is unremarkable. In the first days of life, the following diagnoses were established: CHD, transposition of the great arteries with left ventricular outflow tract obstruction; muscular ventricular septal defect; mitral valve developmental anomaly; atrial septal aneurysm. At 2 months of age, balloon atrial septostomy (Rashkind procedure) was performed. Cardiopulmonary bypass duration was 40 minutes.
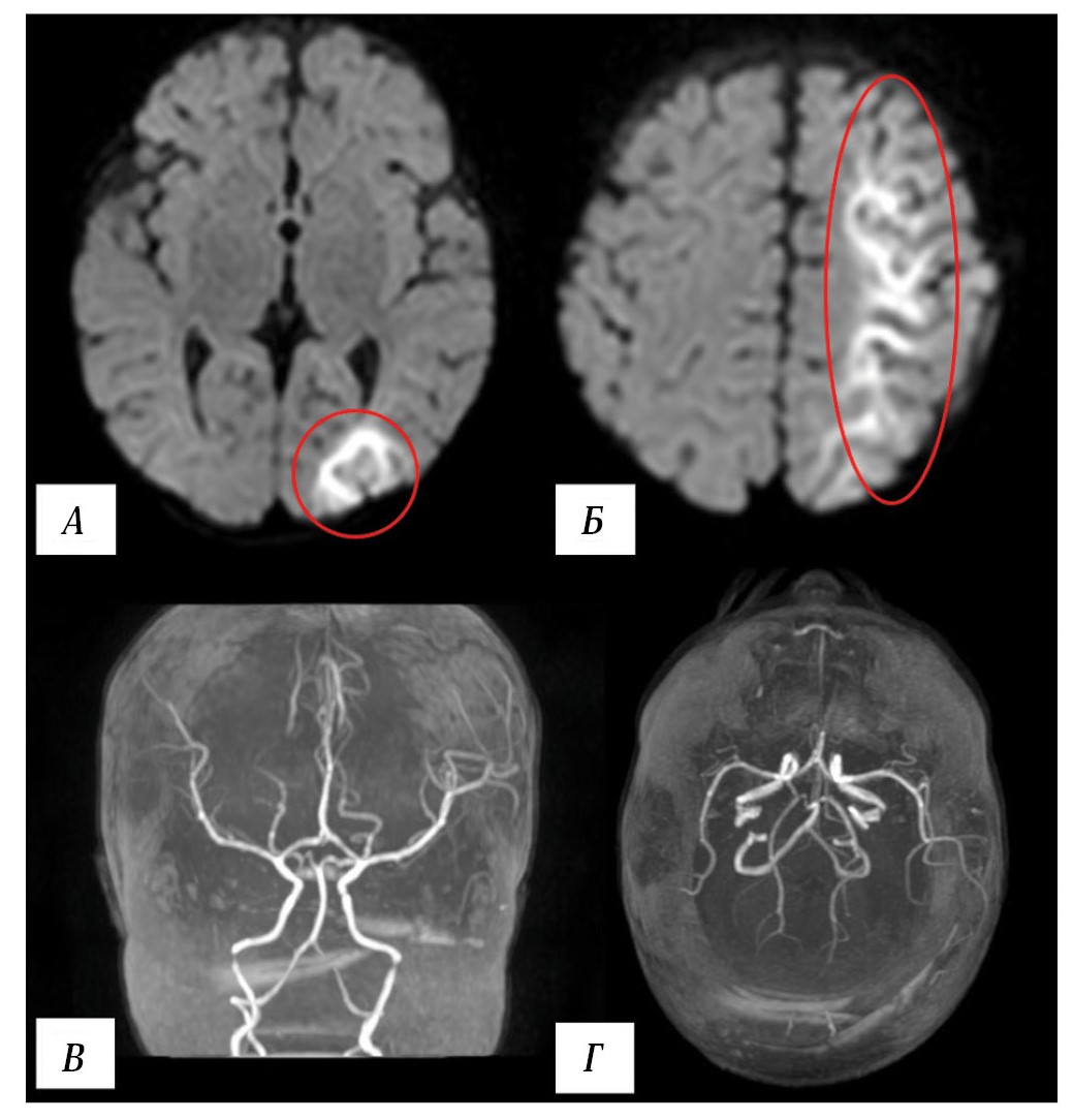
On day 2 postoperatively, focal motor epileptic seizures developed, manifesting as clonic jerking of the upper extremities (D < S), which were managed with midazolam infusion at 0.2 mg/kg/h and intravenous levetiracetam at 25 mg/kg/day. Emergency MRI revealed a watershed infarction zone in the left cerebral hemisphere (Fig. 8).
Fig. 8. Results of patient V. MRI on day 2 postoperatively.
A, B — brain MRI. Right DWI, axial plane. Watershed infarction zone in the left cerebral hemisphere (red ovals), multiple small ischemic foci. C, D — MR angiography, 3D reconstruction. Intracranial arterial blood flow remains intact.
On postoperative day 2, during continuous midazolam infusion (0.3 mg/kg/h), EEG was performed: diffuse rhythmic theta-range activity (4–5 Hz) was recorded, with left temporo-occipital predominance showing evolution through frequency decrease (to 3 Hz) and morphological changes (appearance of sharp waves), meeting the criteria for electrographic seizure pattern (Fig. 9). The pattern persisted for over 50% of the recording duration, leading to the diagnosis of ESE.
Fig. 9. Fragment of scalp EEG recording from patient V. during midazolam administration on postoperative day 2.
A diffuse ictal pattern is recorded, with emphasis in the left occipital region. A — onset of the ictal pattern; B — evolution of the ictal pattern. The onset of the ictal pattern recording is marked by a red frame. Longitudinal bipolar montage. Sensitivity — 7 μV/mm.
Based on the EEG results, a decision was made to increase the midazolam dose to 0.3 mg/kg/h. On postoperative day 3, a repeat EEG showed diffuse suppression of cortical rhythm with no epileptiform activity (Fig. 10).
Fig. 10. A segment of scalp EEG recording from patient V. during midazolam infusion at a dose of 0.3 mg/kg/h on postoperative day 3.
Diffuse suppression of cortical rhythms is observed. Longitudinal bipolar montage. Sensitivity — 3 μV/mm.
On day 5, the midazolam infusion rate was reduced to 0.2 mg/kg/h; on day 7 — to 0.1 mg/kg/h; and on day 8, the agent was discontinued.
After midazolam discontinuation, the EEG showed a dominant occipital rhythm with a frequency of up to 3.5–4.0 Hz (theta and delta range), with no epileptiform activity present.
Neurological examination revealed that the child was conscious, with full and symmetric active and passive limb movements. Cognitive function had recovered by the time of discharge. Follow-up brain MRI prior to the planned discharge (day 26) revealed cystic-glial transformation in the left middle cerebral artery territory.
In this patient, the clinical presentation of epileptic seizures was characterized by clonic jerking of the upper limbs with marked left-sided predominance. On EEG, the seizure pattern was diffuse with emphasis in the posterior regions of the left hemisphere, while MRI visualized an area of cytotoxic edema in the left hemisphere. The discrepancy between the seizure semiology, EEG findings, and neuroimaging data was likely due to the acute paresis in the right limbs, caused by structural changes in the brain parenchyma of the left hemisphere.
Discussion
The most common symptoms of CNS injury following pediatric cardiac surgery are seizures and status epilepticus [19, 20]. Among children undergoing corrective surgery for CHD, their incidence is approximately 10% [7, 8, 21]. In the study by B. Desnous et al., risk factors for seizures included delayed sternotomy wound closure, extracorporeal membrane oxygenation, high RACHS-1 (Risk Adjustment in Congenital Heart Surgery) scores, and prolonged intensive care unit stay [22].
The methodology for EEG interpretation in this patient group significantly differs from that used in outpatient studies. Physicians require specialized terminology for standardized description and interpretation of EEG in patients with severe cerebral injury [23–25]. Furthermore, encephalography equipment is mandated in the operational standards of medical institutions with cardiac surgery departments containing cardiac intensive care units1.
In a study of 137 patients, K.L. Wagenman et al. demonstrated that SE during intensive care unit stay was associated with subsequent deterioration in quality of life and served as a significant risk factor for epilepsy in critically ill children [26]. Therefore, timely diagnosis and treatment of epileptic seizures and management of SE in the intensive care unit are essential to reduce mortality and the risk of new neurological deficits [19, 27].
Several publications confirm that earlier initiation of SE treatment increases the likelihood of successful termination, whereas ESE exerts damaging effects on the CNS and is associated with worse neurological outcomes, similar to SE with prominent motor manifestations [28–31]. Moreover, both electrographic seizures and ESE can develop not only primarily due to acute cerebral injury but also secondary to the management of clinically apparent seizures and SE [6, 13].
In 2011, the American Clinical Neurophysiology Society presented clinical guidelines for the use of prolonged EEG monitoring in the intensive care unit for infants under 1 year of age [32]. These guidelines emphasized that seizures in infants under 1 year of age often occur without clinical manifestations, leading to the recommendation for EEG monitoring in patients at high risk of acute cerebral injury. This high-risk group includes patients with congenital heart defects requiring early surgical intervention with CPB, as well as those on extracorporeal membrane oxygenation.
In the presented clinical case series, all pediatric patients had cyanotic CHD and underwent cardiac surgery using CPB, which increases the risk of cerebral injury. In all cases, the first signs of cerebral injury were seizures, which were managed with a combination of anticonvulsant and sedative agents. Brain MRI in all children revealed areas of cytotoxic edema that localized the cerebral injury and correlated with the electrographic patterns.
Even relatively brief EEG recording after the resolution of overt clinical symptoms revealed electrographic epileptic activity indicative of ESE, and in one case, a pattern specific to unfavorable consciousness recovery prognosis. Standardized EEG terminology for patients with brain injury allowed us to verify nonconvulsive SE and the burst-suppression pattern. We observed the transformation of convulsive SE into nonconvulsive SE under pharmacological sedation, where despite clinical “cessation” of epileptic seizures, its electrographic manifestations persisted, necessitating adjustments to antiseizure therapy.
An unfavorable outcome of cerebral hypoxic-ischemic injury manifested as chronic disorders of consciousness developed only in Patient B. from Clinical сase 2 with bilateral brain damage, which was suggested by a “malignant” burst-suppression pattern on EEG. In Patients 1 and 3, the MRI pattern corresponded to a single vascular territory (middle cerebral artery) in the absence of angiographic signs of embolism. Patient B. from Clinical сase 2 had a longer cardiopulmonary bypass time during surgery (80 minutes vs. 51 and 40 minutes), consistent with previous publications [33, 34].
Our clinical case series emphasizes the need to expand the use of EEG in intensive care units, not only for patients with impaired consciousness suspected of non-convulsive SE, but also after successful clinical control of seizures using sedative medications. However, in Russia, this method has not yet gained widespread adoption in pediatric intensive care settings. Potential reasons include the need for expensive equipment, the labor-intensive nature of EEG recording, and the challenges of analyzing and interpreting EEGs in patients with altered consciousness levels, which require specialized training for functional diagnostics specialists [24].
Conclusion
Both seizures and SE are common postoperative complications in children following cardiac surgery for CHDs. In some patients, clinical seizure cessation is followed by the transformation of convulsive SE into electrographic SE. EEG in pediatric cardiac intensive care for children at risk of acute brain injury during the intraand postoperative periods enables timely detection and management of electrographic seizures and ESE. This may reduce neurological deficits in CHD patients, accelerate the diagnosis of ischemic brain injury, and allow prompt initiation of antiepileptic therapy. This case series underscores the critical role of EEG in pediatric cardiac intensive care and the need to include electroencephalography in the standard equipment of these units.
About the authors
Vadim O. Russkin
Petrovsky National Research Centre of Surgery
							Author for correspondence.
							Email: russkin.vadim@mail.ru
				                	ORCID iD: 0000-0003-4743-5522
				                																			                								
neurologist, junior research assistant, Department of clinical physiology, instrumental diagnostics and radilology
Russian Federation, MoscowAlexandra A. Kuznetsova
Morozov Children’s City Clinical Hospital; Moscow Research and Clinical Center for Neuropsychiatry
														Email: russkin.vadim@mail.ru
				                	ORCID iD: 0000-0002-0344-9765
				                																			                								
neurologist, Morozov Children’s Municipal Clinical Hospital; junior research assistant, Head, Pediatric stroke center, Research and Clinical Center for Neuropsychiatry
Russian Federation, Moscow; MoscowMikhail A. Abramyan
Morozov Children’s City Clinical Hospital
														Email: russkin.vadim@mail.ru
				                	ORCID iD: 0000-0003-4018-6287
				                																			                								
Dr. Sci. (Med.), cardiac surgeon, Head, Department of emergency cardiac surgery and interventional cardiology
Russian Federation, MoscowValery A. Sandrikov
Petrovsky National Research Centre of Surgery
														Email: russkin.vadim@mail.ru
				                	ORCID iD: 0000-0003-1535-5982
				                																			                								
Dr. Sci. (Med.), Full Member of the Russian Academy of Sciences, Professor, Head, Department of clinical physiology, instrumental diagnostics and radiology, Scientific Clinical Center No. 1
Russian Federation, MoscowReferences
- Саперова Е.В., Вахлова И.В. Врожденные пороки сердца у детей: распространенность, факторы риска, смертность. Вопросы современной педиатрии. 2017;16(2):126–133. Saperova EV, Vahlova IV. Congenital heart diseases in children: incidence, risk factors, mortality. Current Pediatrics. 2017;16(2):126–133. doi: 10.15690/vsp.v16i2.1713
- Батаева Р.С. Фетальная эхокардиография: патология левых и правых отделов сердца. Журнал акушерства и женских болезней. 2014;63(1):46–47. Bataeva RS. Fetal echocardiography: pathology of the left and right heart. Journal of Obstetrics and Women's Diseases. 2014;63(1):46–47. doi: 10.17816/JOWD63146-47
- Diller GP, Kempny A, Alonso-Gonzalez R, et al. Survival prospects and circumstances of death in contemporary adult congenital heart disease patients under follow-up at a large tertiary centre. Circulation. 2015;132(22):2118–2125. doi: 10.1161/CIRCULATIONAHA.115.017202
- Kumar SR, Gaynor JW, Jones LA, et al. The society of thoracic surgeons congenital heart surgery database: 2022 update on outcomes and research. Ann Thorac Surg. 2023;115(4):807–819. doi: 10.1016/j.athoracsur.2022.12.040
- Barkhuizen M, Abella R, Vles JSH, et al. Antenatal and perioperative mechanisms of global neurological injury in congenital heart disease. Pediatr Cardiol. 2021;42(1):1–18. doi: 10.1007/s00246-020-02440-w
- Abend NS, Gutierrez-Colina AM, et al. Nonconvulsive seizures are common in critically ill children. Neurology. 2011;76(12):1071–1077. doi: 10.1212/WNL.0b013e318211c19e
- Naim MY, Gaynor JW, Chen J, et al. Subclinical seizures identified by postoperative electroencephalographic monitoring are common after neonatal cardiac surgery. J Thorac Cardiovasc Surg. 2015;150(1):169–178. doi: 10.1016/j.jtcvs.2015.03.045
- Schmitt B, Finckh B, Christen S, et al. Electroencephalographic changes after pediatric cardiac surgery with cardiopulmonary bypass: is slow wave activity unfavorable? Pediatr Res. 2005;58(4):771–778. doi: 10.1203/01.PDR.0000180554.16652.4E
- Topjian AA, Gutierrez-Colina AM, Sanchez SM, et al. Electrographic status epilepticus is associated with mortality and worse short-term outcome in critically ill children. Crit Care Med. 2013;41(1):215–223. doi: 10.1097/CCM.0b013e3182668035
- Beniczky S, Hirsch LJ, Kaplan PW, et al. Unified EEG terminology and criteria for nonconvulsive status epilepticus. Epilepsia. 2013;54(Suppl 6):28–29. doi: 10.1111/epi.12270
- Leitinger M, Trinka E, Gardella E, et al. Diagnostic accuracy of the Salzburg EEG criteria for non-convulsive status epilepticus: a retrospective study. Lancet Neurol. 2016;15(10):1054–1062. doi: 10.1016/S1474-4422(16)30137-5
- Monsson OS, Roberg LE, Gesche J, et al. Salzburg consensus criteria are associated with long-term outcome after non-convulsive status epilepticus. Seizure. 2022;99:28–35. doi: 10.1016/j.seizure.2022.05.006
- Sánchez Fernández I, Abend NS, Arndt DH, et al. Electrographic seizures after convulsive status epilepticus in children and young adults: a retrospective multicenter study. J Pediatr. 2014;164(2):339–346.e1-2. doi: 10.1016/j.jpeds.2013.09.032
- DeLorenzo RJ, Waterhouse EJ, Towne AR, et al. Persistent nonconvulsive status epilepticus after the control of convulsive status epilepticus. Epilepsia. 1998;39(8):833–840. doi: 10.1111/j.1528-1157.1998.tb01177.x
- Thompson SA, Hantus S. Highly epileptiform bursts are associated with seizure recurrence. J Clin Neurophysiol. 2016;33(1):66–71. doi: 10.1097/WNP.0000000000000232
- Johnson EL, Martinez NC, Ritzl EK. EEG characteristics of successful burst suppression for refractory status epilepticus. Neurocrit Care. 2016;25(3):407–414. doi: 10.1007/s12028-016-0294-2
- Scarpino M, Lolli F, Lanzo G, et al. Neurophysiology and neuroimaging accurately predict poor neurological outcome within 24 hours after cardiac arrest: the ProNeCA prospective multicentre prognostication study. Resuscitation. 2019;143:115–123. doi: 10.1016/j.resuscitation.2019.07.032
- Ruijter BJ, Tjepkema-Cloostermans MC, Tromp SC, et al. Early electroencephalography for outcome prediction of postanoxic coma: a prospective cohort study. Ann Neurol. 2019;86(2):203–214. doi: 10.1002/ana.25518
- Arslanoğlu E, Kara KA, Yiğit F, et al. Neurological complications after pediatric cardiac surgery. Cardiothorac Surg. 2021;29(1):19. doi: 10.1186/s43057-021-00056-1
- Jafri SK, Ehsan L, Abbas Q, et al. Frequency and outcome of acute neurologic complications after congenital heart disease surgery. J Pediatr Neurosci. 2017;12(4):328–331. doi: 10.4103/jpn.JPN_87_17
- Clancy RR, Sharif U, Ichord R, et al. Electrographic neonatal seizures after infant heart surgery. Epilepsia. 2005;46(1):84–90. doi: 10.1111/j.0013-9580.2005.22504.x
- Lalgudi Ganesan S, Hahn CD. Electrographic seizure burden and outcomes following pediatric status epilepticus. Epilepsy Behav. 2019;101(Pt B):106409. doi: 10.1016/j.yebeh.2019.07.010
- Hirsch LJ, Fong MWK, Leitinger M, et al. American Clinical Neurophysiology Society’s standardized critical care EEG terminology: 2021 version. J Clin Neurophysiol. 2021;38(1):1–29. doi: 10.1097/WNP.0000000000000806
- Синкин М.В., Баранова Е.А., Комольцев И.Г. Методология регистрации и описания электроэнцефалограмм у пациентов с угнетением уровня бодрствования. Медицинский алфавит. 2019;3(29):17–24. Sinkin MV, Baranova EA, Komoltsev IG. Methodology of registration and reporting of electroencephalogram in unconsciousness patients. Medical alphabet. 2019;3(29):17–24. doi: 10.33667/2078-5631-2019-3-29(404)-17-24
- Синкин М.В., Крылов В.В. Ритмичные и периодические паттерны ЭЭГ. Классификация и клиническое значение. Журнал неврологии и психиатрии им. С.С. Корсакова. Спецвыпуски. 2018;118(10-2):9–20. Sinkin MV, Krylov VV. Rhythmic and periodic EEG patterns. Classification and clinical significance. S.S. Korsakov Journal of Neurology and Psychiatry. 2018;118(10-2):9–20. doi: 10.17116/jnevro20181181029
- Wagenman KL, Blake TP, Sanchez SM, et al. Electrographic status epilepticus and long-term outcome in critically ill children. Neurology. 2014;82(5):396–404. doi: 10.1212/WNL.0000000000000082
- Domi T, Edgell DS, McCrindle BW, et al. Frequency, predictors, and neurologic outcomes of vaso-occlusive strokes associated with cardiac surgery in children. Pediatrics. 2008;122(6):1292–1298. doi: 10.1542/peds.2007-1459
- Lambrechtsen FA, Buchhalter JR. Aborted and refractory status epilepticus in children: a comparative analysis. Epilepsia. 2008;49(4):615–625. doi: 10.1111/j.1528-1167.2007.01465.x
- Lewena S, Young S. When benzodiazepines fail: how effective is second line therapy for status epilepticus in children? Emerg Med Australas. 2006;18(1):45–50. doi: 10.1111/j.1742-6723.2006.00807.x
- Eriksson K, Metsäranta P, Huhtala H, et al. Treatment delay and the risk of prolonged status epilepticus. Neurology. 2005;65(8):1316–1318. doi: 10.1212/01.wnl.0000180959.31355.92
- Hayashi K, Osawa M, Aihara M, et al. Efficacy of intravenous midazolam for status epilepticus in childhood. Pediatr Neurol. 2007;36(6):366–372. doi: 10.1016/j.pediatrneurol.2007.02.012
- Shellhaas RA, Chang T, Tsuchida T, et al. The American Clinical Neurophysiology Society’s Guideline on continuous electroencephalography monitoring in neonates. J Clin Neurophysiol. 2011;28(6):611–617. doi: 10.1097/WNP.0b013e31823e96d7
- International Cardiac Collaborative on Neurodevelopment (ICCON) Investigators. Impact of operative and postoperative factors on neurodevelopmental outcomes after cardiac operations. Ann Thorac Surg. 2016;102(3):843–849. doi: 10.1016/j.athoracsur.2016.05.081
- Clancy RR, McGaurn SA, Wernovsky G, et al. Risk of seizures in survivors of newborn heart surgery using deep hypothermic circulatory arrest. Pediatrics. 2003;111(3):592–601. doi: 10.1542/peds.111.3.592
 
					 
						 
							
 
  
  
  
  
  Email this article
			Email this article 














 СМИ зарегистрировано Федеральной службой по надзору в сфере связи, информационных технологий и массовых коммуникаций (Роскомнадзор).
 СМИ зарегистрировано Федеральной службой по надзору в сфере связи, информационных технологий и массовых коммуникаций (Роскомнадзор).