A case series of cerebral toxoplasmosis in the practice of a neurological hospital
- Authors: Shnyakin P.G.1,2, Botov A.V.1,2, Rudenko P.G.1,2, Khorzhevsky V.A.1,2, Usatova I.S.1,2
-
Affiliations:
- Krasnoyarsk State Medical University named after Professor V.F. Voino-Yasenetsky
- Regional Clinical Hospital
- Issue: Vol 17, No 1 (2023)
- Pages: 75-81
- Section: Clinical analysis
- Submitted: 06.10.2022
- Accepted: 28.11.2022
- Published: 29.03.2023
- URL: https://annaly-nevrologii.com/pathID/article/view/903
- DOI: https://doi.org/10.54101/ACEN.2023.1.9
- ID: 903
Cite item
Full Text
Abstract
Introduction. Central nervous system is one of the main targets in patients with HIV infection. Neurological complications in AIDS are primarily caused by opportunistic brain infections including toxoplasmosis as the most common one. Patients with cerebral toxoplasmosis are often hospitalized with diagnosed strokes, tumors, or encephalitis. At that, their HIV status may be unknown and their state severity often does not allow conducting the range of required examinations.
Materials and methods. We have described our experience in management of 6 patients admitted to the neurosurgery department with single toxoplasmosis foci and diagnosed brain tumors.
Results. HIV infection was initially known in 3 patients only. In 2 compensated patients, the diagnosis was confirmed via Toxoplasma IgG blood test. In 2 individuals, negative serological Toxoplasma reactions were followed by neuronavigationally controlled biopsies. A patient with an extensive perifocal edema and, as a result, dislocated midline structures underwent decompressive craniectomy and mass removal. One female patient, with an unclear diagnosis, was operated for a suspected brain tumor. After additional assessments (including 4 histologies to confirm cerebral toxoplasmosis), all the patients were transferred to the infectious disease hospital for specific treatment.
Full Text
Введение
В России отмечается один из самых высоких в мире темпов ежегодного прироста ВИЧ-инфицированных, поэтому врачи разных специальностей всё чаще сталкиваются с осложнениями данного заболевания, нередко маскирующимися под другую патологию, особенно на стадии СПИДа [1, 2].
Поражение нервной системы у ВИЧ-инфицированных занимает второе место после изменений иммунного статуса и встречается у 40–80% пациентов на стадии СПИДа, что связано как с прямым повреждением вирусом нервных клеток, так и с развитием оппортунистических инфекций [2–4]. В 10–20% случаев неврологические нарушения — первые проявления ВИЧ [5]. Церебральный токсоплазмоз (ЦТ) — наиболее частая оппортунистическая инфекция, поражающая центральную нервную систему (ЦНС) у пациентов со СПИД [1, 5–8].
Диагностика оппортунистических инфекций у больных с ВИЧ при множественных церебральных очагах в большинстве случаев не вызывает затруднений и подтверждается результатами лабораторных исследований: иммуноферментного анализа (ИФА), полимеразной цепной реакции (ПЦР). Более сложна диагностика солитарных образований в головном мозге у ВИЧ-инфицированных [5, 9]. При этом, по данным ряда исследователей, одиночные очаги ЦТ встречаются примерно в 20% случаев [1]. В подобных ситуациях дифференциальный диагноз проводится с лимфомой ЦНС, первичными и метастатическими опухолями, туберкуломами, нейроцистицеркозом, эхиноккоккозом, альвеококкозом и другими заболеваниями [10, 11].
Нередко выявление токсоплазмоза усложняется из-за того, что на фоне ослабленной иммунной системы у пациентов с ВИЧ-инфекцией вырабатывается недостаточное количество специфических антител. В таких случаях ИФА на иммуноглобулины к токсоплазме может быть отрицательным. Также следует отметить, что чувствительность ПЦР к ДНК возбудителя при анализе спинномозговой жидкости колеблется в пределах 30–50% [6].
Наибольшие трудности диагностики возникают у пациентов без известного ВИЧ-статуса с солитарными очагами ЦТ [4, 8]. Эти больные нередко поступают в стационары в тяжёлом состоянии с клиническими проявлениями дислокационного синдрома, что делает невозможным проведение всего комплекса инструментально-диагностических мероприятий [10].
В данной статье представлен собственный опыт курации пациентов с солитарными очагами ЦТ. Во всех случаях первично при поступлении в нейрохирургическое отделение был выставлен диагноз «опухоль головного мозга».
Материалы и методы
В исследование включены 6 пациентов с подтверждённым диагнозом солитарной формы ЦТ, наблюдавшиеся в нейрохирургическом отделении КГБУЗ «Краевая клиническая больница г. Красноярска» в 2018–2022 гг. Изначально всем им был установлен диагноз новообразования.
Проанализированы половой и возрастной состав пациентов, длительность ВИЧ-инфекции, клиническая манифестация токсоплазмоза, нейровизуализационные (мультиспиральная компьютерная (МСКТ) и магнитно-резонансная (МРТ) томография) характеристики очагов и лабораторные показатели.
Приведены клинические примеры и принципы установления окончательного диагноза.
Статистический анализ и обработка материала выполнены с помощью программы «Statistica v.6.0» («StatSoft Inc.». Нормальность распределения выборки не оценивали. Значимость различий между средними величинами определяли по U-критерию Манна–Уитни. Данные представлены в формате Ме [25%;75%].
Результаты
Среди анализируемых пациентов с ЦТ было 3 мужчин и 3 женщины. Возраст колебался от 37 лет до 61 года, в среднем составил 44,1 года.
Положительный ВИЧ-статус был известен при поступлении у 3 (50%) пациентов, при этом стаж заболевания составил более 10 лет (11, 15 и 16 лет). Никто из пациентов регулярную антиретровирусную терапию не получал. Ещё 1 пациент первоначально скрыл наличие ВИЧ-инфекции, но позже выяснилось, что он состоял на учёте у врача-инфекциониста около 12 лет и также системно не лечился. Все четверо страдали наркоманией, у 3 из них выявлен вирусный гепатит С. Ещё у 2 пациентов, социально благополучных и не страдающих наркоманией, ВИЧ-инфекция была выявлена впервые.
Двое больных были доставлены бригадой скорой помощью в тяжёлом состоянии, с нарушениями уровня бодрствования до глубокого оглушения-сопора (10–11 баллов по шкале комы Глазго). Четверо пациентов при поступлении были в сознании, при этом у 3 из них отмечались снижение критики, умеренная дезориентация и выраженная головная боль. У 3 пациентов определялся гемипарез (от умеренного до глубокого), у 1 пациентки — гемипарез и речевые нарушения.
В 4 (66,6%) наблюдениях отмечалась длительная (от 10 дней до 3 нед) лихорадка в пределах 37,3–38,0°С.
Из сопутствующих поражений, характерных для СПИДа, в нашей выборке только у 1 пациентки выявлен кандидоз полости рта.
МРТ головного мозга с парамагнетиком выполнена в 4 случаях, ещё 2 пациентам в связи с тяжестью состояния (нарушения уровня бодрствования) проведена МСКТ с контрастным усилением. Во всех наблюдениях были визуализированы солитарные образования с выраженным перифокальным отёком, кольцевидно накапливающие парамагнетик/контрастное вещество. Характерно, что в режиме Т2-ВИ МРТ очаги токсоплазмоза имели гипоинтенсивный сигнал. Классический симптом «асимметричной мишени» наблюдался у 3 (50%) больных.
У всех пациентов определялось супратенториальное расположение очагов: в 2 случаях — в области зрительного бугра, в 2 — в путаменальной области, еще в 2 — на границе серого и белого вещества лобной доли. Максимальный размер образований колебался от 2,6 до 4,8 см, медиана — 3,2 [2, 9; 3, 7] см.
Во всех наблюдениях в анализах крови отмечалась лимфопения со снижением абсолютного количества лимфоцитов ниже 1,0 × 109. Пятерым пациентам выполнено исследование иммунного статуса — зарегистрировано снижение количества CD4-лимфоцитов в пределах 87–232 кл/мкл, медиана — 133 [103; 148] кл/мкл.
У 2 больным с положительным ВИЧ-статусом и выявленными по ИФА IgG к токсоплазме диагноз опухоли головного мозга был снят, пациенты переведены в инфекционную больницу для получения специфической терапии.
Двоим пациентам с известным анамнезом ВИЧ-инфекции, но при отрицательном ИФА на антитела к токсоплазме и невозможности исследования ликвора на ПЦР к ДНК возбудителя из-за наличия объёмного образования с перифокальным отёком, была выполнена биопсия под нейронавигационным контролем. В обоих случаях клеток опухоли не обнаружено. Патогистологами высказано мнение о соответствии результатов биопсии токсоплазмозному энцефалиту. Пациенты без ухудшения состояния переведены в инфекционный госпиталь для дальнейшего обследования и лечения.
Двум больным выполнено микрохирургическое удаление объёмных образований. В 1 случае вмешательство проведено в срочном порядке, т.к. пациент доставлен бригадой скорой помощи в состоянии сопора. По данным МСКТ у него был выявлен очаг в правой путаменальной области, максимальным размером до 3,5 см и дислокацией срединных структур на 1,1 см. Пациент страдал полинаркоманией, ВИЧ-инфицированный, однако в связи с высоким риском вклинения выполнена операция: декомпрессивная трепанация черепа, микрохирургическое удаление объёмного образования. У второй пациентки (клинический случай 2) без ВИЧ-инфекции в анамнезе токсоплазмоз первично заподозрен не был, и операция выполнялась как удаление опухоли головного мозга. В этих наблюдениях при гистологическом исследовании материала опухолевой ткани не обнаружено. Оба пациента были переведены в инфекционную больницу для дальнейшего лечения.
Клинический случай 1
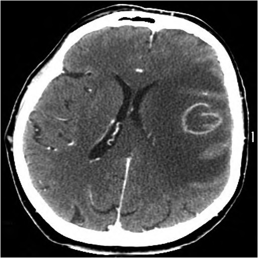
Пациентка Я., 39 лет, доставлена в приёмный покой бригадой скорой помощи с серией судорожных приступов. При поступлении предъявляла жалобы на головную боль и слабость в левых конечностях. Считает себя больной около 1 мес, когда появилась и стала нарастать головная боль, отмечались подъёмы температуры тела до 37,5–37,8ºС, затем за неделю до обращения наросла слабость в левой руке. В день госпитализации у пациентки развился генерализованный судорожный приступ. В анамнезе полинаркомания на протяжении 15 лет, ВИЧ-инфекцию отрицает. На момент осмотра: сознание ясное, критика снижена, отмечается левосторонний гемипарез со снижением мышечной силы до 2 баллов в руке и 4 баллов в ноге. В приёмном покое выполнена МСКТ головного мозга, по результатам которой выявлено кистозно-солидное объёмное образование глубинных отделов правой лобной доли с выраженным перифокальным отёком, кольцевидно накапливающее контрастное вещество. Максимальный размер очага 4,8 см (рис. 1).
Рис. 1. МСКТ головного мозга пациентки Я. с контрастным усилением.
Определяется объёмное образование глубинных отделов правой лобной доли, кольцевидно накапливающее контрастное вещество с выраженным перифокальным отёком и дислокацией срединных структур.
Fig. 1. Contrast-enhanced brain MSCT image of patient Ya.
A mass deeply in the right frontal area, with a ring contrast enhancement, a significant perifocal edema, and dislocated midline structures.
На следующий день планировалось проведение МРТ головного мозга с парамагнетиком, но за сутки пациентка стала более ажитирована, некритична, и выполнить исследование не удалось.
В лабораторных анализах выявлена лимфопения: лимфоциты отн. 8% (19–37), абс. 1,0 < × 109/л (1,2–3,0). По результатам исследований подтверждена ВИЧ-инфекция. В иммунном статусе — снижение уровня CD4-лимфоцитов до 232 кл/мкл. Однако по данным ИФА антител к токсоплазме не обнаружено. Учитывая большие размеры очага и наличие выраженного перифокального отёка, от люмбальной пункции для взятия ликвора на ПЦР решено воздержаться. Поскольку МСКТ-картина была не вполне типичной для токсоплазмоза (единичный очаг размером до 4,8 см при отсутствии симптома «асимметричной мишени»), с целью окончательной дифференцировки токсоплазмоза ЦНС и внутримозговой опухоли (глиобластома) принято решение о биопсии. Последняя выполнена под нейронавигационным контролем из расширенного ферзевого отверстия. По результатам патогистологического исследования биопсийного материала опухолевых клеток не выявлено, морфологическая картина возможна при токсоплазмозе.
С диагнозом «СПИД, токсоплазмозный энцефалит» пациентка переведена в инфекционную больницу для дальнейшего лечения.
Клинический случай 2
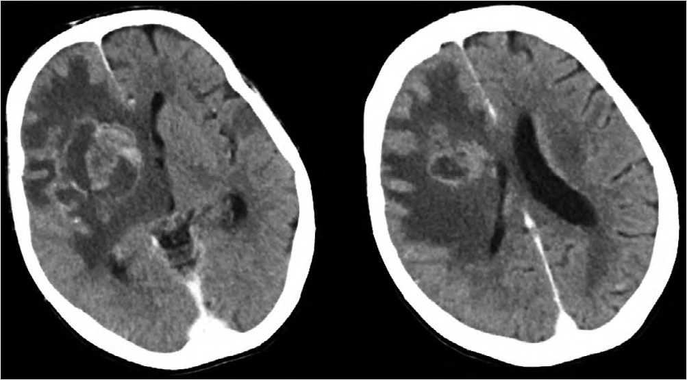
Пациентка Р., 61 год, поступила в приёмный покой Краевой клинической больницы с нарушениями речи и правосторонним гемипарезом. Со слов сопровождающего родственника известно, что она болеет на протяжении 3 нед, когда появились и стали нарастать головная боль и слабость в правых конечностях. В неврологическом статусе при поступлении: сознание ясное, сенсомоторная афазия, правосторонний гемипарез со снижением мышечной силы до 3 баллов. Выполнена МСКТ головного мозга, по результатам которой визуализировано кольцевидно накапливающее контрастное вещество объёмное образование левой лобной доли с выраженным перифокальным отёком (рис. 2).
Рис. 2. МСКТ головного мозга пациентки Р. с контрастным усилением при поступлении.
Определяется объёмное образование левой лобной доли с выраженным перифокальным отёком, кольцевидно накапливающее контрастное вещество.
Fig. 2. Сontrast-enhanced brain MSCT image of patient R. at admission.
A mass in the left frontal area, with a ring contrast enhancement and significant perifocal edema.
Учитывая возраст пациентки и отсутствие данных о ВИЧ-инфекции, первично проводилась дифференциальная диагностика между глиобластомой, метастазом и абсцессом.
МРТ пациентке провести не удалось из-за выраженных артефактов от движений. Принято решение о хирургическом лечении. Выполнена операция: костно-пластическая трепанация черепа, микрохирургическое удаление объёмного образования. На следующие сутки после операции пациентка экстубирована, восстановился ясный уровень сознания, неврологический дефицит соответствовал дооперационному уровню. По данным гистологического заключения: морфологическая картина глиальной опухоли, наиболее вероятно астроцитарной природы. Для уточнения диагноза проводилось иммуногистохимическое исследование (ИГХ), однако пациентка не дождалась верификации и вместе с родственником самовольно покинула больницу. По результатам ИГХ данных за опухоль не выявлено, определялись участки некроза с перифокальной лимфогистиоцитарной инфильтрацией и реактивными изменениями глии.
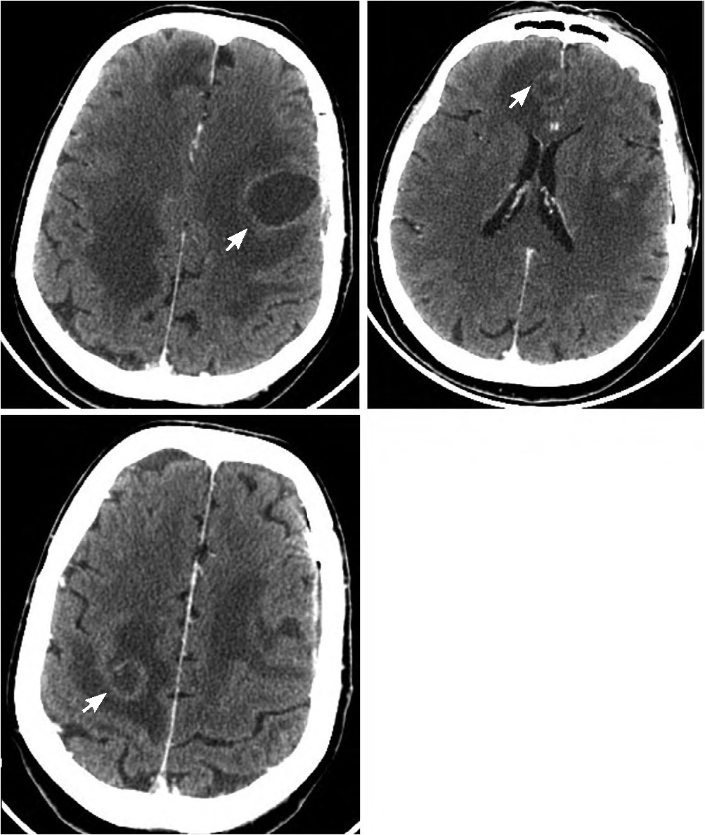
Через 1 мес пациентка доставлена бригадой скорой помощи в тяжёлом состоянии с нарушением уровня бодрствования до глубокого оглушения и грубым правосторонним гемипарезом (мышечная сила 2 балла). По данным МСКТ визуализированы 3 очага, кольцевидно накапливающие контрастное вещество, с выраженным перифокальным отёком. Учитывая результаты ИГХ, данное состояние расценено как множественные абсцессы головного мозга (рис. 3).
Рис. 3. МСКТ головного мозга пациентки Р. с контрастным усилением через 1 мес после операции.
Стрелки — объёмные образования обеих лобных и правой теменной долей с выраженным перифокальным отёком, кольцевидно накапливающие контрастное вещество.
Fig. 3. Contrast-enhanced brain MSCT image one month postoperatively.
Arrows — masses in both frontal areаs and in the right parietal lobe, with a ring contrast enhancement and significant perifocal edema.
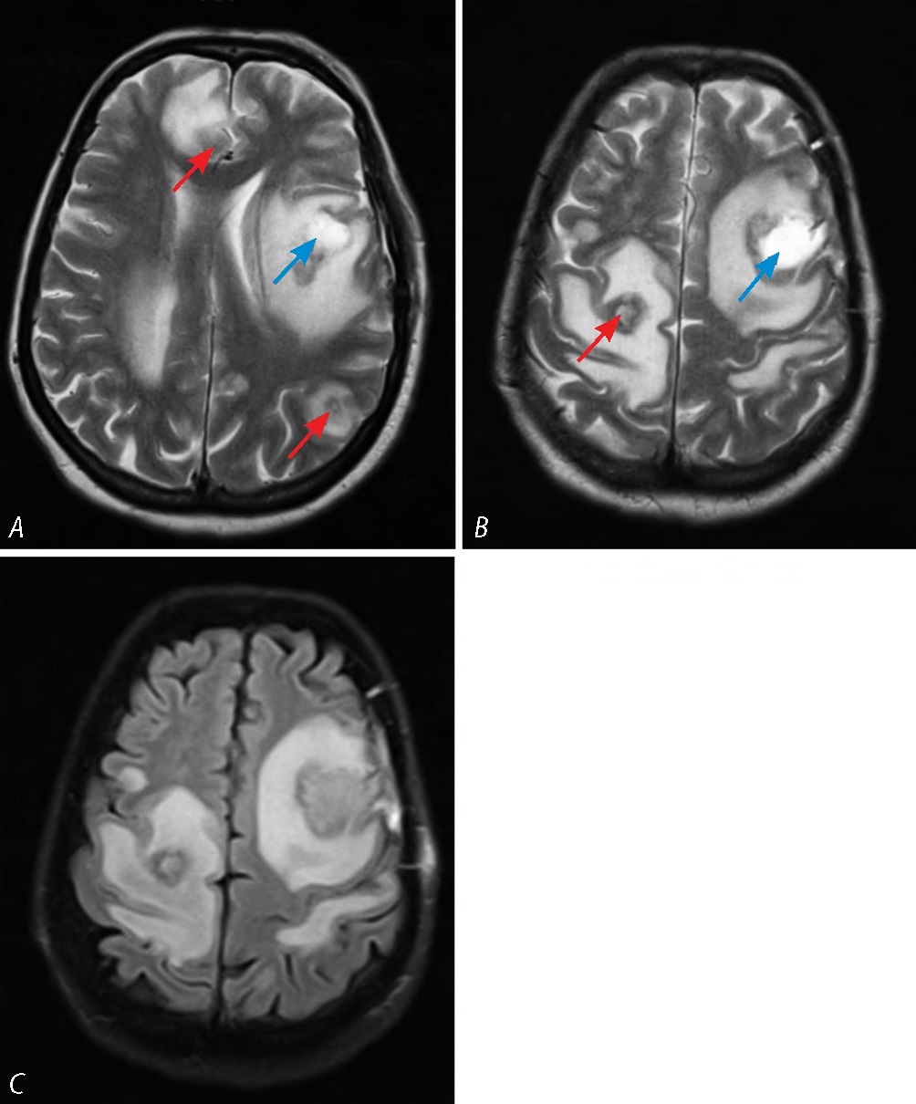
Через 1 сут, после стабилизации состояния, выполнена МРТ головного мозга. Выявлены гипоинтенсивные на Т2 и изоинтенсивные на Т2-FLAIR внутримозговые очаги с выраженным перифокальным отёком, гиперинтенсивная на Т2 и изоинтенсивная на T2-FLAIR послеоперационная киста левой лобной доли. Кроме того, визуализированы несколько внутримозговых гиперинтенсивных на Т2 и Т2-FLAIR очагов (рис. 4).
Рис. 4. МРТ головного мозга пациентки Р. в режимах Т2-ВИ (А, В) и FLAIR (С) через 1 мес после операции.
Определяются гипоинтенсивные очаги с выраженным перифокальным отёком (красные стрелки), гиперинтенсивная послеоперационная киста (синие стрелки).
Fig. 4. Т2 weighed (А, В) and FLAIR (С) brain MRI images of female patient R. one month postoperatively.
Hypointensive foci with significant perifocal edema (red arrows) and a hyperintensive postoperative cyst (blue arrows).
Принимая во внимание результаты ИГХ, особенности клинического течения заболевания и МРТ картину, принято решение о проведении дополнительного морфологического исследования с окраской препаратов на простейших (ШИК-реакция). Выявлены внутри- и внеклеточные колонии простейших, обнаруживаемые в клетках макрофагального ряда и клетках астроглии (рис. 5).
Рис. 5. Биоптат ткани головного мозга пациентки Р.
А — воспалительная смешанно-клеточная инфильтрация вещества головного мозга с обширными скоплениями макрофагов, фибриноидные некрозы, кровоизлияния; В — колонии ШИК-позитивных микроорганизмов, обнаруживаемые в цитоплазме макрофагов и клеток астроглии (стрелки); С — обилие макрофагов, экспрессирующих CD68; D — разрыхление вещества головного мозга, экспрессия глиальными клетками GFAP.
Окраска: А — гематоксилином и эозином; В — ШИК-реакция; С, D — иммуногистохимическое исследование с антителами в отношении CD68 и GFAP соответственно. Увеличение: А — ×50; B — ×400; C, D — ×200.
Fig. 5. Female patient R.'s brain bioptate.
А — mixed inflammatory brain infiltration with vastly accumulated macrophages, fibrinoid necroses, and hemorrhages; В — PAS positive colonies in the macrophage and astrocyte cytoplasm (arrows); С — abundant CD68 expressing macrophages; D — loosened brain matter and GFAP expressed by glial cells.
Staining: А — hematoxylin and eosin; В — periodic acid — PAS reaction; С, D — CD68 and GFAP immunohistochemistry with antibodies. Magnification: А ×50; B ×400; C, D ×200.
На основании всего перечисленного выдвинуто предположение о токсоплазмозе головного мозга. Дальнейшие анализы на ВИЧ и ИФА на антитела к токсоплазме подтвердили диагноз.
Данный клинический случай наглядно демонстрирует тот факт, что даже у пожилых и социально благополучных пациентов без явного анамнеза ВИЧ-инфекции следует не забывать о её возможности.
Обсуждение
ЦТ представляет собой инфекционный процесс, сопровождающийся гранулематозным воспалением — некротическим энцефалитом, обусловленным реактивацией латентной инфекции у иммунодефицитных пациентов, чаще всего вследствие ВИЧ или после трансплантации органов при проведении иммуносупрессивной терапии [3, 8].
Сложности в разграничении ЦТ от других объёмных образований (в первую очередь опухолей) отмечаются многими авторами, особенно у пациентов с неизвестным ВИЧ-статусом [1, 8, 10, 12–14]. По данным Т.Н. Ермак и соавт., наблюдавших 207 больных с ЦТ, 30% госпитализированных не знали, что инфицированы ВИЧ [1]. В.Е. Олюшин с соавт. описали 7 пациентов с ЦТ, поступивших под «маской» опухоли, и только 2 из них сообщили о ВИЧ-инфекции [10]. В нашем исследовании у 2 (33,3%) из 6 пациентов неврологическая симптоматика, обусловленная токсоплазмозом, явилась манифестацией неизвестной до этого ВИЧ-инфекции.
Заболевание проявляется общемозговой симптоматикой (в первую очередь выраженной головной болью), лихорадкой, расстройством уровня бодрствования, очаговыми выпадениями, нарушениями поведения и судорожными приступами [6, 7, 9, 10]. Лихорадка отмечается более чем в 50% случаев, что необходимо учитывать в дифференциальной диагностике с церебральными новообразованиями. В нашей серии наблюдений гипертермия была зарегистрирована у 4 (66%) пациентов и продолжалась от 10 дней до 3 нед. Следует отметить, что ещё в 2 случаях подъёма температуры тела ни при поступлении, ни в анамнезе не наблюдалось. В этой связи при отсутствии лихорадки клиницист не должен исключать токсоплазмоз из дифференциального ряда поражений головного мозга.
ЦТ развивается при снижении уровня CD4-экспрессирую- щих Т-клеток менее 100–150 кл/мкл [6]. Однако, как отмечают некоторые авторы, его манифестация возможна и при более высоких показателях количества CD4-клеток, что может быть связано с функциональной недостаточностью поражённых лимфоцитов [1, 2]. По данным Т.Н. Ермак и соавт., у 7% пациентов содержание CD4-лимфоцитов было более 200 в 1 мкл [1]. У одной из наших больных (клинический пример 1) данный показатель составил 232 кл/мкл.
От трети до половины пациентов с ЦТ имеют другие проявления СПИДа: кандидоз слизистых оболочек, герпетическую или цитомегаловирусную инфекцию, дерматит, пневмоцистную пневмонию, что также может помочь в вопросах дифференциальной диагностики [1]. В нашей серии только у 1 (16,6%) больной выявлен кандидоз полости рта.
По данным Т.Н. Михайловой и соавт., средний возраст пациентов с ЦТ составил 34 года [6], в нашем исследовании — 44. Таким образом, для большинства пациентов с ЦТ характерен возраст моложе 50 лет и, как правило, они имеют стаж ВИЧ-инфекции больше 10 лет. На эти показатели можно ориентироваться в диагностическом поиске. Однако, как показано нами во клиническом примере 2, ЦТ может встречаться и в более старшем возрасте.
Очаги ЦТ в Т2-ВИ режиме МРТ характеризуются гипоинтенсивным сигналом, что не типично для опухолей головного мозга. После введении парамагнетика отмечается его кольцеобразное накопление, нередко встречается симптом «асимметричной мишени», который может помочь в дифференциальной диагностике, но не является высокоспецифичным для ЦТ [10, 14]. Признак «асимметричной мишени» более характерен для очагов ЦТ при выполнении МРТ с парамагнетиком, чем МСКТ с контрастным усилением [4]. В нашем исследовании данный симптом был выявлен в 3 (50%) случаях. Не следует забывать, что небольшие очаги ЦТ могут иметь узловой характер накопления парамагнетика/контрастного вещества [10]. О. Rapalino и соавт. для дифференциального диагноза между ЦТ и злокачественной глиомой рекомендуют проводить МРТ-перфузию. При опухолевом поражении отмечается повышение объёма церебральной крови, что не типично для ЦТ [8].
По данным ряда авторов и наших наблюдений, очаги ЦТ в сравнении с другими поражениями характеризуются максимально выраженным перифокальным отёком [8]. Однако следует отметить, что встречаются случаи без выраженного отёка вокруг очага ЦТ, что затрудняет диагноз [10].
Результаты нашего исследования демонстрируют, что на основании клинических, нейровизуализационных и лабораторных данных в большинстве случаев возможно установление диагноза ЦТ. Однако, по данным ряда авторов, для окончательной диагностики в 10–20% наблюдений требуется проведение биопсии [5, 7, 11]. Это касается в первую очередь серонегативных случаев.
Возможной тактикой у ВИЧ-инфицированных пациентов с характерной МРТ-картиной солитарного объёмного образования головного мозга, находящихся в компенсированном состоянии, но серонегативных в отношении токсоплазмоза, является назначение специфической терапии. На фоне целенаправленного лечения в течении 2–4 нед отмечается положительная клиническая и МР-динамика, чего не будет при других заболеваниях и опухолях головного мозга [5, 6, 8]. В случаях отсутствия улучшения в эти сроки рекомендуется проведение биопсии с окончательной верификацией диагноза по результатам гистологических и иммуногистохимических исследований [4, 7, 10]. Специальные методы окраски (ШИК-реакция, метенамин-серебро) позволяют выявить колонии токсоплазм [9, 10].
Удаление очага при известном ВИЧ-статусе и высокой вероятности ЦТ может потребоваться при проявлениях нарастающего дислокационного синдрома, однако результаты таких операций в большинстве случаев оказываются неудовлетворительными [10]. В одном из наших наблюдений удаление одиночного очага привело к диссеминации ЦТ по обоим полушариям головного мозга (клинический пример 2).
Заключение
В ряде случаев пациенты с внутримозговыми новообразованиями требуют проведения дифференциального диагноза с солитарными формами ЦТ. Поражение базальных структур, гипоинтенсивный МР-сигнал в Т2-ВИ режиме, выраженный перифокальный отёк и симптом «асимметричной мишени» в Т1-ВИ режиме с парамагнетиком позволяют заподозрить ЦТ, хотя и не являются абсолютными признаками. В диагностическом поиске необходимо учесть относительно молодой возраст пациентов, наличие лихорадки, сопутствующих СПИДу поражений кожи и слизистых оболочек.
В случаях исходного ВИЧ-положительного статуса диагностика существенно облегчается и, в большей степени, направлена на разграничение ВИЧ-ассоциированных поражений ЦНС (токсоплазмоз, лимфома, туберкулома, криптококкоз и пр.). Пациентам без ВИЧ-анамнеза следует провести тест на наличие вируса, выполнить иммунограмму (количество CD4-лимфоцитов) и ИФА на антитела к токсоплазме. Если нет дислокации мозговых структур по данным нейровизуализации и застойных явлений на глазном дне, возможно выполнение люмбальной пункции с ПЦР-исследованием спинномозговой жидкости для обнаружения ДНК токсоплазмы. Необходимо помнить, что серологические реакции на фоне сниженного иммунитета могут быть отрицательными, и ДНК токсоплазмы обнаруживается в ликворе не всегда.
При серьёзном подозрении на ЦТ возможно назначение специфической медикаментозной терапии на 10–14 дней под нейровизуальным и клиническим контролем. Отсутствие положительной динамики уменьшает вероятность ЦТ. Последним этапом диагностики является биопсия очага, в том числе с возможностью окраски на простейших для определения колоний Toxoplasma gondii.
Вклад авторов. Все авторы внесли существенный вклад в разработку концепции, проведение исследования и подготовку статьи, прочли и одобрили финальную версию перед публикацией.
Author contribution. All authors made a substantial contribution to the conception of the work, acquisition, analysis, interpretation of data for the work, draf-ting and revising the work, final approval of the version to be published.
Этическое утверждение. Исследование проводилось при добровольном информированном согласии пациентов. Протокол исследования одобрен Этическим комитетом КГБУЗ «Краевая клиническая больница» (протокол № 43 от 10.02.2018).
Источник финансирования. Авторы заявляют об отсутствии внешних источников финансирования при проведении исследования.
Конфликт интересов. Авторы декларируют отсутствие явных и потенциальных конфликтов интересов, связанных с публикацией настоящей статьи.
Ethics approval. The study was conducted with the informed consent of the patients. The research protocol was approved by the Ethics Committee of the Regional Clinical Hospital (Protocol No. 43, February 10, 2018).
Source of funding. This study was not supported by any external sources of funding.
Conflict of interest. The authors declare no apparent or potential conflicts of interest related to the publication of this article.
About the authors
Pavel G. Shnyakin
Krasnoyarsk State Medical University named after Professor V.F. Voino-Yasenetsky; Regional Clinical Hospital
Author for correspondence.
Email: shnyakinpavel@mail.ru
ORCID iD: 0000-0001-6321-4557
ResearcherId: AAI-8384-2020
D. Sci. (Med.), Associated Professor, Head, Department of Traumatology, Orthopedics and Neurosurgery with a Postgraduate Course Krasnoyarsk State Medical University named after Prof. V.F. Voino-Yasenetsky; Head, Regional Cardiovascular Diseases Center, Regional Clinical Hospital
Russian Federation, Krasnoyarsk; KrasnoyarskAnton V. Botov
Krasnoyarsk State Medical University named after Professor V.F. Voino-Yasenetsky; Regional Clinical Hospital
Email: Doktor_anton@rambler.ru
ORCID iD: 0000-0001-6393-0430
Cand. Sci. (Med.), Assistant, Department of Traumatology, Orthopedics and Neurosurgery with a Postgraduate Course, Krasnoyarsk State Medical University named after Prof. V.F. Voino-Yasenetsky; Head, Neurosurgical Department No. 2, Regional Clinical Hospital
Russian Federation, Krasnoyarsk; KrasnoyarskPavel G. Rudenko
Krasnoyarsk State Medical University named after Professor V.F. Voino-Yasenetsky; Regional Clinical Hospital
Email: rpg30@rambler.ru
ORCID iD: 0000-0003-3756-1445
Cand. Sci. (Med.), Assistant, Department of Traumatology, Orthopedics and Neurosurgery with a Postgraduate Course, Krasnoyarsk State Medical University named after Prof. V.F. Voino-Yasenetsky; Neurosurgeon, Neurosurgical Department No. 1, Regional Clinical Hospital
Russian Federation, Krasnoyarsk; KrasnoyarskVladimir A. Khorzhevsky
Krasnoyarsk State Medical University named after Professor V.F. Voino-Yasenetsky; Regional Clinical Hospital
Email: vladpatholog@yandex.ru
ORCID iD: 0000-0002-9196-7246
Cand. Sci. (Med.), Head, Pathological Anatomy Department named after Prof. P.G. Podzolkov, Krasnoyarsk State Medical University named after Prof. V.F. Voino-Yasenetsky; Deputy Head for Pathological and Anatomical Work, Regional Clinical Hospital
Russian Federation, Krasnoyarsk; KrasnoyarskIrirna S. Usatova
Krasnoyarsk State Medical University named after Professor V.F. Voino-Yasenetsky; Regional Clinical Hospital
Email: irinausatova01@mail.ru
ORCID iD: 0000-0001-6813-8776
ассистент каф. травматологии, ортопедии и нейрохирургии с курсом ПО ФГБОУ ВО КрасГМУ им. проф. В.Ф. Войно-Ясенецкого; врач-нейрохирург нейрохирургического отделения № 2 КГБУЗ «Краевая клиническая больница»
Russian Federation, Krasnoyarsk; KrasnoyarskReferences
- Ермак Т.Н., Перегудова А.Б. Локализация очагов при токсоплазмозе головного мозга у больных ВИЧ-инфекцией. Терапевтический архив. 2014; 86(11): 24–28. Ermak T.N., Peregudova A.B. Location of foci in cerebral toxoplasmosis in HIV-infected patients. Therapeutic archive. 2014; 86(11): 24-28. (In Russ.)
- Хорева М.А., Афанасьева А.И., Ельчанинова Е.Ю. и др. Неврологические маски ВИЧ-инфекции. Международный научно-исследовательский журнал. 2018; (1): 65–68. Horeva M.A., Afanas’eva A.I., El’chaninova E.Yu. et al. Neurological masks of HIV infection. International Research Journal. 2018; (1): 65–68. (In Russ.)
- Graham A.K., Sharma S., Yamamura D. et al. Brain toxoplasmosis and bacterial infection after liver transplantation. Can. J. Neurol. Sci. 2021; 50(1): 155–157. doi: 10.1017/cjn.2021.494
- Shyambabu C., Satishchandra P., Mahadevan A. et al. Usefulness of stereotactic biopsy and neuroimaging in management of HIV-1 Clade C associated focal brain lesions with special focus on cerebral toxoplasmosis. Clin. Neurol. Neurosurg. 2013; 115(7): 995–1002. doi: 10.1016/j.clineuro.2012.10.012
- Acosta M.C., Kundro M., Viloria G. et al. The role of brain biopsy in the clinical management of HIV-related focal brain lesions. HIV Med. 2018; 19(10): 673–678. doi: 10.1111/hiv.1264
- Михайлова Н.Р., Калинина Т.Н., Тучков Д.Ю. и др. Токсоплазмоз головного мозга у больных ВИЧ-инфекцией в городе Оренбурге. Вестник Оренбургского государственного университета. 2015; (1): 138–144. Mikhailova N.R., Kalinina T.N., Tuchkov D.Yu. et al. Toxoplasmosis of the brain in patients with HIV infection in Orenburg. Bulletin of the Orenburg State University. 2015; (1): 138–144. (In Russ.)
- Omar A.T. 2nd, Nepomuceno M.J., Salvana E.M.T. et al. Intracranial mass lesions in human immunodeficiency virus patients in the philippines: a retrospective cohort study. World Neurosurg. 2021; 145: e149–e154. doi: 10.1016/j.wneu.2020.09.141
- Rapalino O., Mullins M.E. Intracranial infectious and inflammatory diseases presenting as neurosurgical pathologies. Neurosurgery. 2017; 81(1): 10–28. doi: 10.1093/neuros/nyx201
- Lee S.-B., Lee T.-G. Toxoplasmic encephalitis in patient with acquired immunodeficiency syndrome. Brain Tumor Res. Treat. 2017; 5(1): 34–36. doi: 10.14791/btrt.2017.5.1.34
- Олюшин В.Е., Кияшко С.С., Маслова Л.Н. и др. Токсоплазмоз головного мозга при ВИЧ-инфекции: неврологические и нейрохирургические проблемы. Вестник неврологии, психиатрии и нейрохирургии. 2017; (8): 61–75. Olyushin V.E., Kiyashko S.S., Maslova L.N. et al. Toxoplasmosis of the brain in HIV infection: neurological and neurosurgical problems. Bulletin of Neurology, Psychiatry and Neurosurgery. 2017; (8): 61–75. (In Russ.)
- Elicer I. Approach to an intracranial mass in patients with HIV. Curr. Neurol. Neurosci. Rep. 2020; 20(9): 43. doi: 10.1007/s11910-020-01058-y
- Heath J.A. Neurosurgical aspects of central nervous system infections. Neuroimaging Clin. N. Am. 2012; 22(4): 791–799. doi: 10.1016/j.nic.2012.05.005
- Philip-Ephraim E.E., Charidimou A., Williams E. et al. Stroke-like presentation of cerebral toxoplasmosis: two HIV-infected cases. Cerebrovasc. Dis. Extra. 2015; 5(1): 28–30. doi: 10.1159/000375180
- Ueno H., Norose K., Kamimura T. et al. Metastatic malignant lymphoma mimicking cerebral toxoplasmosis with the “target sign”. Case Reports Intern. Med. 2019; 58(8): 1157–1162. doi: 10.2169/internalmedicine.1156-18










