Редкое сочетание рассеянного склероза и болезни Паркинсона: клинический случай
- Авторы: Руина Е.А.1, Александрова Е.А.2, Паршина Е.В.2, Родыгин Д.Н.2, Юлин В.С.2
-
Учреждения:
- ФГБОУ ВО «Приволжский исследовательский медицинский университет»
- ГБУЗ НО «Нижегородская областная клиническая больница имени Н.А. Семашко»
- Выпуск: Том 16, № 3 (2022)
- Страницы: 83-91
- Раздел: Клинический разбор
- Статья получена: 10.10.2022
- Статья одобрена: 10.10.2022
- Статья опубликована: 10.10.2022
- URL: https://annaly-nevrologii.com/pathID/article/view/904
- DOI: https://doi.org/10.54101/ACEN.2022.3.10
- ID: 904
Цитировать
Полный текст
Аннотация
При анализе отечественной и зарубежной медицинской литературы, баз данных Web of Science, PubMed, Scopus обнаружены описания 8 случаев комбинации болезни Паркинсона и рассеянного склероза. Болезнь Паркинсона — хроническое прогрессирующее заболевание головного мозга, обусловленное дегенерацией дофаминергических нейронов чёрной субстанции. Рассеянный склероз — хроническое, демиелинизирующее заболевание, в основе которого лежит комплекс аутоиммунно-воспалительных и нейродегенеративных процессов, вызывающих множественное очаговое и диффузное поражение центральной нервной системы, ведущее к инвалидизации больных и значительному снижению качества жизни. Сочетание двух параллельно текущих нейродегенеративных заболеваний ЦНС редко встречается в клинической практике.
Приведён наблюдавшийся авторами клинический случай, интересный с точки зрения подхода к диагностической и лечебной тактике у данной группы пациентов.
Полный текст
Введение
Рассеянный склероз (РС) — это хроническое, демиелинизирующее заболевание, в основе которого лежит комплекс аутоиммунно-воспалительных и нейродегенеративных процессов, приводящих к множественному очаговому и диффузному поражению центральной нервной системы, ведущее к инвалидизации больных и значительному снижению качества жизни1. В патогенезе РС одновременно представлены процессы воспаления и дегенерации. Дегенерация нейронов и аксонов при РС — это медленный процесс, инициируемый острым лимфоцитарным воспалением и впоследствии вызываемый хроническим диффузным паренхиматозным лимфоцитарным воспалением. При РС прогрессируют такие нарушения, как окислительный стресс, повреждение митохондрий и последующая дисфункция ионных каналов, что приводит к гибели нейронов [1]. Кроме воспаления значительное воздействие оказывает митохондриальная дисфункция клеток [2, 3].
Механизм митохондриального повреждения основан на нарушении активности комплексов дыхательной цепи (I, III и IV), делеции митохондриальной ДНК, а также энергетическом дефиците (недостаточность Na+/K+-АТФазы, обратная активность натрий-кальциевого обменника и избыток внутриаксонального Ca2+ приводят к усилению окислительного стресса, что, в свою очередь, вызывает гистотоксическую гипоксию, которая усиливает дефицит энергии) [2]. Высвобождение Fe3+ из повреждённых олигодендроцитов усиливает окислительное повреждение [2].
Перераспределение каналов Na+ вдоль обнажённого аксона приводит к повышенной потребности в энергии, что впоследствии оказывает активирующее влияние на Ca2+-канал с ограничением по напряжению (VGCC), ионный канал, чувствительный к кислоте (ASIC1), рецептор переходного потенциала меластатина–4 (TRPM4) и способствует избытку внутриаксонного Ca2+. Это приводит к эксайтотоксичности глутамата и опосредует массивный приток Ca2+в нейроны. Затем избыток внутриаксонного Ca2+ стимулирует катаболические ферментные системы, что вызывает протеолитическую деградацию белков цитоскелета [2].
Нарушение синтеза единственного миелинового белка — протеолипид-белка (PLP), миелин-ассоциированного гликопротеина (MGA) или 2'3'-циклической нуклеотид-3'-фосфодиэстеразы (CNP) вызывает дисфункцию аксонов, а дефицит аксонального транспорта снижает экспрессию кинезинов (антероградный транспорт) и динеинов (ретроградный транспорт) [2]
Нейродегенерация при РС также обусловлена инициацией апоптоза и процессами валлеровского перерождения [2].
Клинические симптомы, выявляемые при РС, неспецифичны, однако существуют признаки поражения различных отделов мозга, позволяющие заподозрить демиелинизирующее заболевание. Характерным является симптом клинической диссоциации, в том числе между субъективным состоянием и объективными данными. Наиболее распространёнными клиническими признаками являются поражение зрительного нерва (боль при движении глаз и снижение остроты зрения или появление скотом), поражение мозжечка и его путей (неустойчивость при ходьбе, дисметрия и промахивание в координаторных пробах, мегалография, асинергии, интенционное дрожание, скандированная речь), поражение ствола головного мозга (нистагм (центральный), нейропатия отводящего нерва, прозогипестезия), поражение спинного мозга (моно- и гемипарезы, нижний парапарез, утрата чувствительности по проводниковому типу, симптом Лермитта, императивные позывы на мочеиспускание, недержание мочи, задержки мочеиспускания), поражение больших полушарий головного мозга: (снижение памяти и внимания, хроническая усталость или утомляемость, центральный гемипарез, депрессия).
Болезнь Паркинсона (БП) — хроническое прогрессирующее заболевание головного мозга, обусловленное дегенерацией дофаминергических нейронов чёрной субстанции [4].
Клетки чёрной субстанции уже изначально подвергаются действию оксидативного стресса, поскольку процесс превращения леводопы в дофамин в присутствии ионов железа сопровождается образованием большого количества свободных радикалов [5]. Это может повреждать фосфолипидный слой клеточных мембран и индуцировать апоптоз, а также повреждать другие молекулы, в частности ДНК и протеины. Свободные радикалы элиминируются энзимными системами, такими как глутатион и супероксиддисмутаза. У больных БП доказано снижение активности этих ферментных систем, что обусловлено их подавлением со стороны избытка свободных радикалов [6]. Кроме того, большое количество ионов железа в черной субстанции может приводить к формированию гидроксильных радикалов в результате декомпозиции липидов и пероксида. Функцию частично погибших в результате оксидативного стресса нейронов берут на себя сохранные нейроны, но в результате в них ускоряются процессы метаболизма леводопы в дофамин с ещё большей активацией процессов свободнорадикального окисления, и процесс приобретает свойства «радиоактивной реакции». Нарушение дофаминовой иннервации обонятельных структур, лимбических и стволовых, приводит к личностным особенностям и немоторным проявлениям БП, в то время как манифестация двигательных нарушений болезни происходит при гибели 70% нейронов чёрной субстанции спустя 10–20 лет от начала развития нейродегенеративного процесса [7].
К основным двигательным проявлениям БП относят гипокинезию, тремор покоя, ригидность и постуральную неустойчивость. К немоторным проявлениям — вегетативные нарушения (запоры, потливость, сальность кожных покровов), расстройства сна, снижение артериального давления, нарушения психоэмоционального фона [8].
Таким образом, при РС и БП механизм нейродегенерации имеет частично сходные этапы с накоплением Fe3+ и значительным влиянием процессов оксидативного стресса.
Процессы нейродегенерации могут также развиваться в результате мутации гена глюкоцереброзидазы (GBA1) — хорошо известного фактора риска при БП и причины болезни Гоше у гомозиготных пациентов [9].
В литературе имеется описание РС с ранним началом БП у пациента, гетерозиготного по мутации гена паркина [9]. В данном исследовании пациент оказался гетерозиготным носителем мутации гена GBA1.
Считается, что связь между РС и БП носит характер случайной. Однако некоторые исследователи подчёркивают возможность развития БП при локализации очага демиелинизации в базальных ганглиях у пациентов с РС [7, 10]. Таким образом, имеются 3 возможные причины сочетания БП и РС.
Описание клинического случая
Пациентка С., 62 года, обратилась в неврологическую клинику 12.01.2021 с жалобами на скованность, замедленность движений, дрожание в левой руке, насильственный наклон туловища вперёд, слабость в левой ноге.
Из анамнеза заболевания: дебют в 2003 г. в возрасте 44 лет, когда появилось онемение нижней части живота и обеих ног, слабость в ногах. Проходила лечение по месту жительства, где на основании данных клинического осмотра был выставлен диагноз «острый рассеянный энцефаломиелит» и проведено лечение с полным регрессом симптоматики. В последующие 15 лет за медицинской помощью не обращалась. В 2019 г. вновь отметила ухудшение в виде слабости в правой ноге, появились затруднения при ходьбе, но опору во время ходьбы не использовала.
При неврологическом осмотре выявлено:
- сознание ясное;
- в месте и времени ориентирована;
- к собственному положению критична;
- поведение при осмотре активное;
- сон не нарушен;
- менингеальные симптомы отрицательные.
Черепные нервы:
- 1-я пара — обоняние ориентировочно не нарушено;
- 2-я пара — зрение на оба глаза снижено;
- 3, 4, 6-я пары — зрачки D=S, диаметр 4 мм, глазные щели D=S, горизонтальный нистагм с 2 сторон, больше влево;
- 5-я пара — точки выхода безболезненные;
- 7-я пара — лицо симметричное;
- 8-я пара — слух не нарушен;
- 9 и 10-я пары — фонация и глотание не нарушено;
- 11-я пара — асимметрии плечевого пояса нет;
- 12-я пара — язык по средней линии.
Чувствительность:
- болевая, температурная, осязательная — сохранены;
- мышечно-суставное чувство — не нарушено;
- сложные виды чувствительности — не нарушены;
- болевые симптомы натяжения нервных стволов — синдромы Ласега, Нери отсутствуют;
- парестезии — отсутствуют.
Двигательные функции:
- активные и пассивные движения в полном объёме;
- мышечная сила в правой нижней конечности снижена до 4 баллов;
- мышечный тонус повышен в правой нижней конеч- ности;
- пробы Барре (верхняя, нижняя) — отрицательные;
- контрактур нет;
- фасцикулярных и фибриллярных подергиваний нет.
Постуральная неустойчивость.
Рефлексы:
- конъюнктивальный, корнеальный, глоточный — D=S;
- верхний брюшной — abs;
- средний брюшной — abs;
- нижний брюшной — abs;
- подошвенный — abs;
- нижнечелюстной, с двуглавой мышцы плеча, с трёхглавой мышцы плеча — D=S;
- коленный D > S;
- ахиллов D > S;
- клонус коленных чашечек и стоп — нет;
- патологические рефлексы на ногах и рукахне вызываются;
- орального автоматизма — отсутствуют.
Координаторные функции:
- пробу Ромберга выполняет удовлетворительно;
- пробу на диадохокинез выполняет удовлетворительно;
- пяточно-коленную пробу выполняет с интенцией;
- пальце-носовую пробу выполняет удовлетворительно.
Высшие корковые функции:
- афазии нет;
- письмо не нарушено;
- счёт не нарушен;
- гнозис не нарушен;
- праксис не нарушен.
Вазомоторные, трофические и секреторные нарушения:
- красный стойкий дермографизм;
- симптом Горнера отрицательный;
- трофических расстройств (пролежни, ожоги) нет;
- секреторных расстройств (потливость, слюнотечение) нет;
- функция тазовых органов не нарушена.
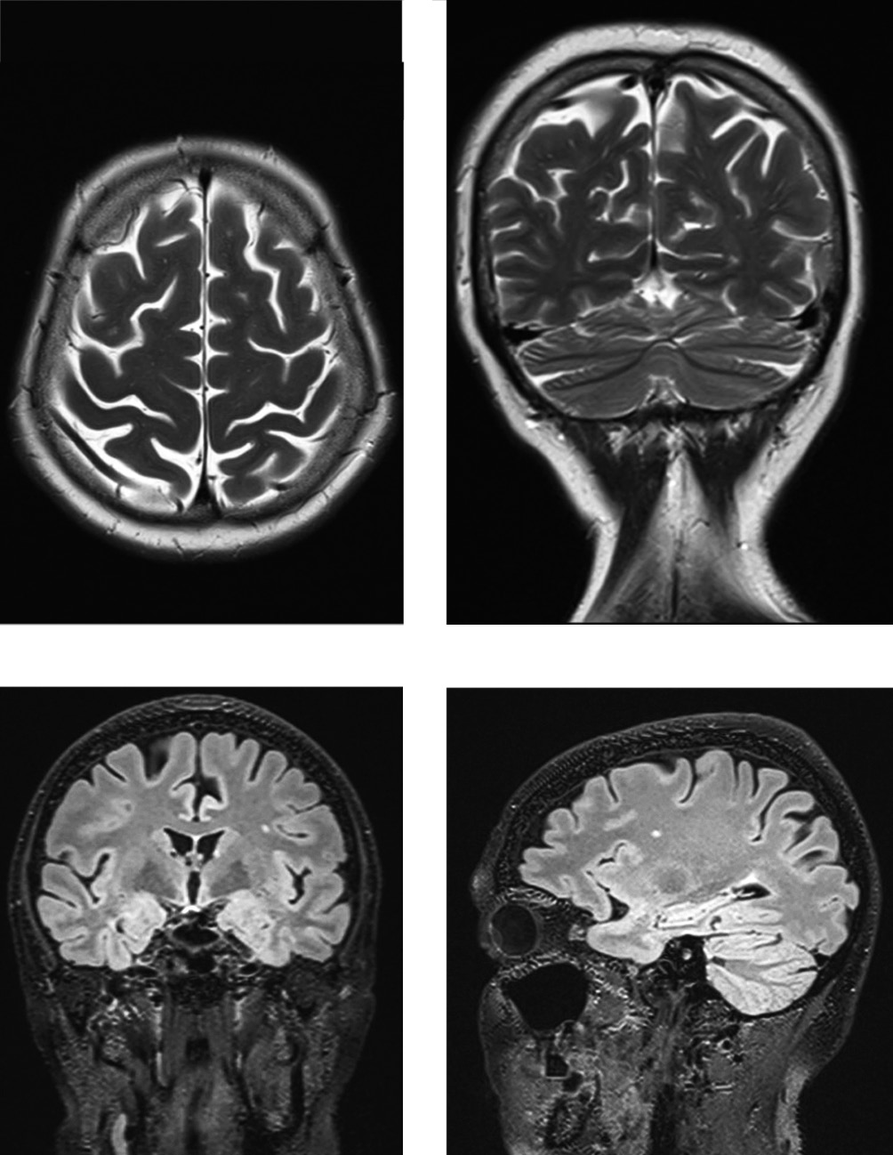
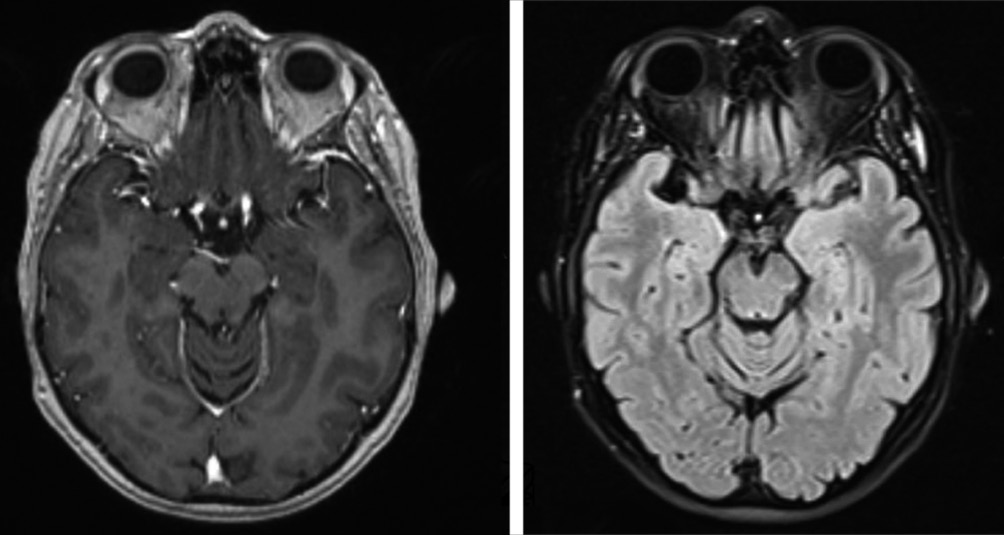
Выполнена магнитно-резонансная томография (МРТ) головного мозга с контрастированием от 13.03.2019. В белом веществе лобных и височных долей, субкортикально и паравентрикулярно — до 10 очагов гиперинтенсивного по T2 и FLAIR сигнала размерами от 0,2 см до 0,6 × 0,3 см и очаги без чётких контуров за счёт перифокального отёка. После введения контрастного вещества сразу и через 20 мин в отсроченную фазу усиления интенсивности сигнала от выявленных очаговых изменений не определяется (рис. 1).
Рис. 1. МРТ головного мозга пациентки С. в режимах T2 (А) и FLAIR (В) от 13.03.2019. / Fig. 1. Brain MRI of patient S. — T2-weighted (A) and FLAIR sequences (B), 13.03.2019.
13.03.2019 выполнена МРТ шейного отдела позвоночника с контрастированием. В веществе спинного мозга на уровне зубовидного отростка С2 визуализируется очаг гиперинтенсивного по Т2 сигнала, без чётких контуров, размерами 0,5 × 0,4 × 0,5 см. Аналогичный очаг имеется на уровне С5/С6, размерами 0,3 × 0,2 × 0,3 см. На других уровнях спинной мозг структурен, сигнал от него (по Т1 и Т2 не изменен). Форма и размеры тел остальных позвонков обычные, интенсивность сигнала костного мозга тел позвонков не изменена (рис. 2).
Рис. 2. МРТ шейного отдела позвоночника пациентки С. в режимe STIR от 13.03.2019. / Fig. 2. Cervical spine MRI of patient S. — STIR sequence, 13.03.2019.
Учитывая анамнез, наличие контрастируемых очагов по данным МРТ, для верификации диагноза РС необходимы дополнительные исследования.
По результатам анализов:
- биохимические исследования крови (в том числе маркеры воспаления, кальций, глюкоза, витамин В12) соответствуют референсным значениям;
- показатели функции щитовидной железы соответствуют референсным значениям;
- иммунологические исследования крови (антитела к нативной (двуспиральной) ДНК, антитела к кардиолипину, волчаночный антикоагулянт) соответствуют нормативным показателям;
- исследования на ВИЧ, сифилис, боррелиоз соответствуют референсным значениям.
Пациентке выполнена люмбальная пункция — выявлен 2 тип синтеза олигоклонального характера IgG в ликворе и поликлонального синтеза IgG в сыворотке крови. На основании критериев Макдональда 2017 г. — 1 клиническая атака; ≥ 2 очагов и наличие объективных клинических признаков; наличие олигоклональных специфических антител в спинномозговой жидкости — установлен диагноз: «РС, цереброспинальная форма с пирамидной недостаточностью в правой ноге, стадия обострения. EDSS = 3.0».
Проведена пульс-терапия преднизолоном, после которой неврологическая симптоматика полностью регрессировала. В качестве препарата, изменяющего течение РС, был назначен интерферон бета-1а (синновекс).
В декабре 2019 г. после стрессовой ситуации у пациентки появилось дрожание в левой руке, которое было расценено ею как реакция на психотравмирующую ситуацию; самостоятельно начала принимать препараты растительного происхождения с седативным эффектом. Спустя 1 мес от появления первых моторных симптомов, кроме дрожания в левой руке, пациентка отметила чувство скованности, замедленности движений, насильственный наклон туловища вперёд, в связи с чем обратилась в клинику. При проведении осмотра у больной были обнаружены признаки пирамидной недостаточности в виде оживления сухожильных рефлексов и патологических кистевых знаков (Россолимо, Тремнер), признаки мозжечковой недостаточности — небольшая статическая и динамическая атаксия, нарушение выполнения координаторных проб. Определялось характерное для РС отсутствие брюшных рефлексов. Кроме того, выявлялись положительные рефлексы орального автоматизма. Обращали на себя внимание чётко выраженные симптомы паркинсонизма: брадикинезия в виде ахейрокинеза слева, повышения мышечного тонуса по пластическому типу в левых конечностях. Особенностью клинического случая является раннее появление постуральной неустойчивости в виде ретропульсии, а также одновременное с брадикинезией появление дистонических нарушений — камптокормии. Немоторным проявлением БП являлось нарушение моторики желудочно-кишечного тракта в виде запоров (стул 1 раз в 3 дня).
Повторно была назначена МРТ головного мозга с контрастированием от 10.01.2020 для исключения симптоматики паркинсонизма на фоне демиелинизирующего процесса (рис. 3).
Рис. 3. МРТ головного мозга пациентки С. в режимах Т1 и T2 от 10.01.2020. / Fig. 3. Brain MRI of patient S. — T1-weighted and T2-weighted sequences, 10.01.2020.
На МРТ, взвешенных по Т2: TSE — 3,0 мм в аксиальной проекции, FLAIR FS — 0,9 мм в аксиальной проекции, T13D — 0,9 мм; при DWI и режиме SWI визуализированы суб- и супратенториальные структуры. Срединные структуры не смещены. Дифференцировка серого и белого вещества удовлетворительная. В шишковидной железе имеются мелкие кисты размерами до 0,2–0,3 см. В белом веществе лобных и височных долей, субкортикально и перивентрикулярно — менее 10 очагов гиперинтенсивного по T2 и FLAIR сигнала размерами от 0,2 см до 0,6 × 0,3 см и очаги без чётких контуров за счёт перифокального отека. Боковые желудочки мозга не расширены, симметричные, размер желудочков на уровне отверстий Монро 0,6 см с обеих сторон. III желудочек шириной до 0,5 см. IV желудочек и базальные цистерны не изменены. Хиазмальная область без особенностей. Ткань гипофиза высотой до 5 мм, верхний контур несколько вогнут, МР-сигнал однородный. Супраселлярная цистерна не расширена. Сигнал от зрительных нервов обычный. Слуховые нервы обычной толщины, структура однородная. Субарахноидальные конвекситальные и межгиральные пространства расширены преимущественно в области лобных, теменных долей и сильвиевых щелей на фоне атрофических изменений коры больших полушарий и мозжечка. Миндалины мозжечка расположены на уровне большого затылочного отверстия.
После введения контрастного вещества сразу и через 20 мин в отсроченную фазу усиления интенсивности сигнала от выявленных очагов изменений не определяется.
МР-картина наружной заместительной гидроцефалии. Очаговые изменения вещества головного и спинного мозга демиелинизирующего характера.
Таким образом, по данным МРТ головного мозга с контрастированием, очаги располагаются в субкортикальной и перивентрикулярных областях, очаги демиелинизации не затрагивали структуры экстрапирамидной системы, что исключает непосредственное воздействие очагового демие- линизирующего процесса на синдром паркинсонизма.
На основании критериев международного общества двигательных расстройств по БП 2015 г. выставлен диагноз: «вероятная БП брадикинетико-ригидно-дрожательная форма 2,5 степени по Хен–Яру с ригидностью и олигобрадикинезией в левой кисти, умеренной постуральной неустойчивостью, камптокормией».
В качестве симптоматической терапии БП назначен агонист дофаминовых рецепторов пирибедил в дозе 100 мг/сут с положительным эффектом в виде значительного уменьшения дрожания левой руки и уменьшения скованности. В качестве иммуномодулирующей терапии был оставлен препарат синновекс.
Спустя 1 год от моторного дебюта БП (январь 2021 г.) отмечено нарастание проявлений паркинсонизма в виде недостаточной эффективности агонистов дофаминовых рецепторов. Проба с леводопой показала положительный ответ, однако значительного уменьшения симптомов удалось добиться только при приёме высоких доз леводопы, несмотря на малую длительность моторного дебюта. Отрицательной динамики, связанной с РС, у больной не отмечалось.
Учитывая положительный комплаенс со стороны пациентки, для дальнейшего лечения были рекомендованы препараты леводопы2 — леводопа-бенсеразид 250 мг утром и днем в сочетании с пирибедилом 50 мг на ночь. Таким образом, диагноз формулируется: БП, брадикинетико-ригидно-дрожательная форма с вегетативными проявлениями (формула стадии заболевания М3 О0 С0 К0 В1 А0).
Обсуждение
Анализ клинического случая показывает, что дебют демие-линизирующего заболевания проявился в возрасте 44 лет. Течение заболевания достаточно мягкое с редкими обострениями, хорошим ответом на терапию глюкокортикостероидными гормонами и удовлетворительным контролем с помощью препарата, изменяющего течение РС. Клиническая картина заболевания обусловлена спинальным поражением при относительно невыраженном демие-линизирующем процессе в головном мозге. Через 17 лет после дебюта заболевания пациентка передвигается самостоятельно. Область базальных ядер, ствола мозга не изменена (рис. 3). БП возникла через 16 лет после дебюта РС. Течение БП более агрессивное, чем РС. Третья стадия БП с моторными проявлениями в виде ригидности и олигобрадикинезии в левой кисти, умеренной постуральной неустойчивостью, камптокормией; и немоторными проявлениями в виде нарушения моторики желудочно-кишечного тракта. Особенностью клинического случая являются раннее появление постуральной неустойчивости, камптокормии и необходимости применения высоких доз леводопы для «включения», что требует дальнейшего динамического наблюдения за пациенткой для исключения дебюта мультисистемной атрофии.
В данном случае РС и БП стоит рассматривать как отдельные нейродегенеративные заболевания, встретившиеся у одной пациентки.
Совместное возникновение БП и РС встречается редко [9, 10]. В зарубежных исследованиях были описаны случаи РС с малосимптомным началом БП, хорошим ответом на дофаминергическую терапию или сохранением симптомов, несмотря на терапию кортикостероидами. Некоторые авторы сообщают о случаях, в которых очаг демиелинизации располагается вблизи таламуса, бледного шара и чёрной субстанции, а также латеральной чёрной субстанции [10, 11].
В нашем клиническом случае не было изменения сигнала на МРТ от базальных ганглиев, а также имелся хороший ответ на дофаминергическую терапию, что указывает на сочетание РС и БП у данной пациентки.
Повышенный относительный риск БП у пациентов с РС был зарегистрирован в шведском когортном исследовании [12]. Однако в исследовании случай–контроль в датской популяции связи между БП и аутоиммунным заболеванием не выявлено [13]. Стоит отметить, что в этом исследовании количество пациентов с РС в контрольной группе было больше, чем в популяции пациентов.
По мере того, как ожидаемая продолжительность жизни пациентов с РС со временем увеличивается, вероятность развития БП у данных пациентов становится всё более очевидной, поэтому данный факт следует учитывать у пожилых пациентов с РС, которые обычно подвергаются недостаточной диагностике других сопутствующих заболеваний, таких как БП.
В литературе имеется описание случая пациентки с БП и РС с выявленной мутацией гена GBA1 [10]. Существуют доказательства, что мутация гена GBA1 является фактором риска БП.
Женщина, 52 года, обратилась в клинику с жалобами на слабость в правой ноге и руке, увеличение скованности правых конечностей и замедленность походки. В 49 лет впервые отметила преходящее онемение правой ноги и затруднения походки. При неврологическом обследовании был выявлен правосторонний гемипарез. Также были определены положительные олигоклональные иммуноглобулины в спинномозговой жидкости. На МРТ головного мозга выявлены очаги демиелинизации, накапливающие контрастное вещество, в связи с этим была начата терапия терифлуномидом.
Через 2 года произошел повторный рецидив, который проявлялся слабостью и онемением правой ноги, тремором правой руки. При неврологическом осмотре внимание на себя обращали гипомимия, тремор покоя и постуральный тремор правой руки, брадикинезия и ригидность, более выраженные в правых конечностях. Также был положительный ответ на леводопу в виде значительного регресса симптоматики. В связи с этим пациентке был выставлен диагноз БП. В генетическом анализе (секвенирование экзонов нового поколения), выявлена гетерозиготная мутация в гене GBA1, что достоверно подтверждает установленный диагноз БП. Поскольку в области базальных ганглиев и рядом с ними не выявлено очагов демиелинизации, в данном случае можно говорить о совместном развитии БП и РС.
Гетерозиготная мутация в гене GBA1 является достоверным показателем БП. Ввиду малодоступности данной методики в России в рамках исследования нашего клинического случая она не проводилась.
Ряд зарубежных исследователей [1–3, 14] достаточно подробно описали процессы нейродегенерации при РС, которые также присутствуют в патогенезе БП.
Проведена дифференциальная диагностика БП с мультисистемной атрофией (МСА). БП, как и МСА, относятся к группе синуклеинопатий, однако если при БП дегенерации с отложением α-синуклеина подвергаются дофаминергические нейроны чёрной субстанции, то при МСА дегенеративный процесс сосредотачивается на отложении аберрантного α-синуклеина как в глии (в основном, олигодендроглии), так и в нейронах, образующих глиальные и нейрональные цитоплазматические включения, которые вызывают дисфункцию и гибель клеток [15]. Ранние клинические проявления БП и МСА могут быть практически идентичными, в том числе больные могут даже демонстрировать некоторую чувствительность к препаратам леводопы. Кроме того, для МСА типичны определенные МРТ-критерии: атрофия червя и полушарий мозжечка, моста (особенно нижней половины его основания), средних ножек мозжечка и скорлупы, а также компенсаторное расширение IV желудочка [15]. В описываемом клиническом случае раннее появление постуральной неустойчивости может расцениваться как «красный флажок». Ранний дебют камптокормии также достаточно типичен для МСА. Против диагноза МСА у пациентки свидетельствует чувствительность к леводопе, отсутствие вегетативных нарушений, не типичная для МСА картина МРТ [4].
Лечение РС в комбинации с БП аналогично лечению данных заболеваний по отдельности [16]. Препараты, изменяющие течение РС, и препараты леводопы не имеют доказанных антагонистических или синергических фармакологических эффектов и не влияют друг на друга [3, 4]. Поэтому при лечении комбинации БП и РС следует проводить лечение каждой нозологии в отдельности. Глюкокортикостероиды, которые используются в лечении обострений РС, также не оказывают значимого влияния на действие препаратов леводопы.
В таблице проанализированы данные 8 известных случаев сочетания БП и РС и нашего клинического случая. На основании этих данных можно сделать вывод о том, что часть пациентов имели очаги в базальных ганглиях, что могло привести к возникновению БП в связи с наличием очагов демиелинизации в этих структурах. Также отмечается низкий темп прогрессии и возникновение БП у женщин с поздним дебютом РС.
Сравнительная характеристика клинических случаев сочетания РС и БП [11] / Comparative characteristics of the clinical cases with co-occurrence of PD and MS [11]
Показатель Parameter | Клинические случаи, описанные в литературе Clinical cases described in the literature | Клинический случай, описанный в данной статье Clinical case described in this article | |||||||
1 | 2 | 3 | 4 | 5 | 6 | 7 | 8 | ||
Пол Gender | Мужской Male | Женский Female | Мужской Male | Женский Female | Женский Female | Женский Female | Мужской Male | Женский Female | Женский Female |
Возраст начала РС Age of MS onset | 27 | 42 | 40 | 31 | 29 | 24 | 37 | 37 | 44 |
Возраст начала БП Age of PD onset | 30 | 55 | 44 | 39 | 31 | 31 | 43 | 43 | 61 |
Клинический дебют РС Initial clinical presentation of MS | Атаксия Ataxia | Атаксия, слабость в ноге Ataxia, leg weakness | Слабость в ноге Leg weakness | Паралич лицевого нерва Facial nerve palsy | Атаксия Ataxia | Потеря зрения Vision loss | Диплопия, головокружение Diplopia, vertigo | Атаксия Ataxia | Слабость в ногах, гипестезия Leg weakness, decreased sensation |
Проявления БП Signs of PD | Утомляемость, тремор, брадикинезия Increased fatigue, tremor, bradykinesia | Брадикинезия, амнезия Bradykinesia, amnesia | Цервикальная дистония, брадикинезия Cervical dystonia, bradykinesia | Брадикинезия, деменция Bradykinesia, dementia | Цервикальная дистония, брадикинезия, деменция Cervical dystonia, bradykinesia, dementia | Цервикальная дистония, брадикинезия, деменция Cervical dystonia, bradykinesia, dementia | Утомляемость, тремор, бради-кинезия Increased fatigability, tremor, bradykinesia | Утомляемость, тремор, бради-кинезия Increased fatigability, tremor, bradykinesia | Брадикинезия, тремор, камптокармия Bradykinesia, tremor, camptocormia |
Локализация очагов Location of lesions | Перивентри- кулярно, средний мозг, таламус Periventricular, midbrain, thalamus | Перивентри- кулярно, кора больших полушарий, юкстакортикально, таламус, базальные ганглии, атрофия Periventricular, cerebral cortex, juxtacortical, thalamus, basal ganglia, atrophy | Перивентри- кулярно, атрофия Periventricular, atrophy | Перивентри- кулярно, кора больших полушарий, юкстакортикально, средний мозг, базальные ганглии Periventricular, cerebral cortex, juxtacortical, midbrain, basal ganglia | Перивентри- кулярно, базальные ганглии, юкстакортикально, кора больших полушарий, средний мозг Periventricular, basal ganglia, juxtacortical, cerebral cortex, midbrain | Перивентри- кулярно, базальные ганглии, кора больших полушарий, мозжечок, средний мозг Periventricular, basal ganglia, cerebral cortex, cerebellum, midbrain | Перивентри- кулярно, юкстакортикально Periventricular, juxtacortical | Перивентри- кулярно, юкстакортикально, средний мозг Periventricular, juxtacortical, midbrain | Перивентрикулярно, юкстакортикально Periventricular, juxtacortical |
Проводимая терапия Treatment undertaken | Леводопа, имуран, амантадин Levodopa, Imuran, amantadine | Леводопа, метотрексат амантадин Levodopa, methotrexate, amantadine | Леводопа, метотрексат, амантадин Levodopa, methotrexate, amantadine | Леводопа, метотрексат, амантадин Levodopa, methotrexate, amantadine | Леводопа, метотрексат, амантадин Levodopa, methotrexate, amantadine | Леводопа, амантадин, селегилин Levodopa, amantadine, selegiline | Леводопа, метотрексат, амантадин Levodopa, methotrexate, amantadine | Леводопа, амантадин Levodopa, amantadine | Леводопа, синновекс Levodopa, CinnoVex |
Расширенная шкала оценки степени инвалидизации EDSS Expanded Disability Status Scale | 4,5 | 5 | 5 | 5,5 | 4 | 6 | 3,5 | 4 | 3 |
Выводы
Сочетание РС и БП крайне редко встречается в клинической практике, а потому необходимо знать, как оказывать помощь больным с данной комбинацией заболеваний. Приведённый клинический случай является интересным с точки зрения подхода к диагностической и лечебной тактике, т.к. зачастую ранние признаки БП воспринимаются врачами как вновь возникшие проявления РС. Поэтому важно не упустить из внимания этот факт и начать правильное лечение на ранних этапах для минимизации выраженности клинических проявлений и, соответственно, улучшения качества жизни больных. Исходя из немногочисленных известных научных работ и нашего исследования, можно сделать вывод, что для лечения комбинации РС и БП применяются те же препараты, что и для лечения каждой нозологии по отдельности. Применение леводопы и препаратов, изменяющих течение РС, оказывает хороший эффект как на проявления БП, так и на проявления РС у данной категории пациентов, а комбинация этих препаратов не вызывает нежелательных реакций в допустимых значениях.
1 Клинические рекомендации «Рассеянный склероз». Всероссийское общество неврологов, Российское общество нейрорадиологов, Медицинская Ассоциация врачей и центров рассеянного склероза, Российский комитет исследователей РС. 2020 г. 162 с. URL: https://centrems.com/downloads/Clinical_recommendations_of_the_RS- Project_submitted_to_the_MHRF.pdf (дата обращения 07.09.2020).
2 Приказ Министерства здравоохранения РФ от 28.12.2012 № 1574н «Об утверждении стандарта первичной медико-санитарной помощи при болезни Паркинсона».
Об авторах
Екатерина Андреевна Руина
ФГБОУ ВО «Приволжский исследовательский медицинский университет»
Email: vadik.yulin@yandex.ru
ORCID iD: 0000-0003-4595-2614
к.м.н., доцент кафедры неврологии, психиатрии и наркологии
Россия, Нижний НовгородЕкатерина Александровна Александрова
ГБУЗ НО «Нижегородская областная клиническая больница имени Н.А. Семашко»
Email: vadik.yulin@yandex.ru
ORCID iD: 0000-0001-5012-945X
к.м.н., доцент, врач-невролог кабинета экстрапирамидных нарушений
Россия, Нижний НовгородЕлена Валерьевна Паршина
ГБУЗ НО «Нижегородская областная клиническая больница имени Н.А. Семашко»
Email: vadik.yulin@yandex.ru
ORCID iD: 0000-0001-7033-053X
к.м.н., зав. неврологическим отделением
Россия, Нижний НовгородДанил Николаевич Родыгин
ГБУЗ НО «Нижегородская областная клиническая больница имени Н.А. Семашко»
Email: vadik.yulin@yandex.ru
ORCID iD: 0000-0002-3191-4249
врач-невролог неврологического отделения
Россия, Нижний НовгородВадим Сергеевич Юлин
ГБУЗ НО «Нижегородская областная клиническая больница имени Н.А. Семашко»
Автор, ответственный за переписку.
Email: vadik.yulin@yandex.ru
ORCID iD: 0000-0003-3956-2986
врач-невролог неврологического отделения
Россия, Нижний НовгородСписок литературы
- Friese M.A., Schattling B., Fugger L. Mechanisms of neurodegeneration and axonal dysfunction in multiple sclerosis. Nat. Rev. Neurol. 2014; 10(4): 225–238. doi: 10.1038/nrneurol.2014.37
- Correale J., Marrodan M., Ysrraelit M.C. Mechanisms of neurodegeneration and axonal dysfunction in progressive multiple sclerosis. Biomedicines. 2019; 7(1): 14. doi: 10.3390/biomedicines7010014
- Höftberger R., Lassmann H. Inflammatory demyelinating diseases of the central nervous system. Handb. Clin. Neurol. 2017; 145: 263–283. doi: 10.1016/B978-0-12-802395-2.00019-5
- Иллариошкин С.Н., Яхно Н.Н. Болезнь Паркинсона и расстройства движения. М.; 2008. 405 с. Illarioshkin S.N., Yakhno N.N. Parkinson’s disease and movement disorders. Moscow; 2008. 405 p. (In Russ.)
- Mochizuki A., Komatsuzaki Y., Shoji S. Association of Lewy bodies and glial cytoplasmic inclusions in the brain of Parkinson’s disease. Acta Neuropathol. 2002; 104(5): 534–537. doi: 10.1007/s00401-002-0582-0
- Dugger B.N., Dickson D.W. Pathology of neurodegenerative diseases. Cold Spring Harb. Perspect. Biol. 2017; 9(7): a028035. doi: 10.1101/cshperspect.a028035
- Klingelhoefer L., Reichmann H. Pathogenesis of Parkinson disease — the gut-brain axis and enviromental factors. Nat. Rev. Neurol. 2015; 11(11): 625–636. doi: 10.1038/nrneurol.2015.197
- Иллариошкин С.Н., Левин О.С. Руководство по диагностике и лечению болезни Паркинсона. М.; 2017. 336 с. Illarioshkin S.N., Levin O.S. Guide to diagnosis and treatment of Parkinson’s disease. Moscow; 2017. 336 p. (In Russ.)
- Delalić S., Rus T., Ledinek A. et al. Parkinson’s disease in a patient with multiple sclerosis and heterozygous glucocerebrosidase gene mutation. Clin. Parkinson. Relat. Dis. 2020; 3: 100055. doi: 10.1016/j.prdoa.2020.100055
- Etemadifar M., Afshar F., Nasr Z., Kheradmand M. Parkinsonism associated with multiple sclerosis: a report of eight new cases and a review on the literature. Iran J. Neurol. 2014; 13(2): 88–93.
- Jellinger K.A. Multiple system atrophy: an oligodendroglioneural synuclei- nopathy. J. Alzheimers Dis. 2018; 62(3): 1141–1179. doi: 10.3233/JAD-170397
- Li X., Sundquist J., Sundquist K. Subsequent risks of Parkinson disease in patients with autoimmune and related disorders: a nationwide epidemiological study from Sweden. Neurodegener. Dis. 2012; 10: 277–284. doi: 10.1159/000333222
- Rugbjerg K., Friis S., Ritz B. et al. Autoimmune disease and risk for Parkinson disease: a population-based case-control study. Neurology. 2009; 73(18): 1462–1468. doi: 10.1212/WNL.0b013e3181c06635
- Sawcer S. The complex genetic of multiple sclerosis: pitfalls and prospects. Brain. 2008; 131(Pt 12): 3118–3131. doi: 10.1093/brain/awn081
- Иллариошкин С.Н. Ершова М.В., Ахмадуллина Д.Р., Федотова Е.Ю., Cовременные представления о мультисистемной атрофии. Нервные болезни. 2018; (4): 3–13. Illarioskin S.N., Ershova M.V., Ahmadullina D.R., Fedotova E.Yu. Current concept of multiple system atrophy. Nervnyye bolezni. 2018; (4): 3–13. (In Russ.)
- Compston A., Coles A. Multiple sclerosis. Lancet. 2002; 359: 1221–1231. doi: 10.1016/S0140-6736(02)08220-X








