Клинический случай рецидивирующей аутоиммунной GFAP-астроцитопатии
- Авторы: Чеканова Е.О.1, Шабалина А.А.1, Симанив Т.О.1, Коновалов Р.Н.1, Добрынина Л.А.1, Калашникова Л.А.1, Губанова М.В.1, Захарова М.Н.1
-
Учреждения:
- ФГБНУ «Научный центр неврологии»
- Выпуск: Том 17, № 4 (2023)
- Страницы: 89-96
- Раздел: Клинический разбор
- Статья получена: 07.02.2023
- Статья одобрена: 13.03.2023
- Статья опубликована: 25.12.2023
- URL: https://annaly-nevrologii.com/pathID/article/view/939
- DOI: https://doi.org/10.54101/ACEN.2023.4.11
- ID: 939
Цитировать
Аннотация
Введение. Глиальный фибриллярный кислый белок (GFAP) является ключевым компонентом промежуточных филаментов астроцитов. В 2016 г. антитела к GFAP (GFAP-АТ) были идентифицированы в качестве специфичного биомаркера впервые установленного воспалительного заболевания ЦНС, которое назвали аутоиммунной астроцитопатией, ассоциированной с GFAP-АТ (A-GFAP-A). Поскольку GFAP локализован внутриклеточно, непосредственно GFAP-AT, по-видимому, не патогенны, но служат биомаркером иммунного воспаления. Диагностическая ценность обнаружения GFAP-АТ в цереброспинальной жидкости выше, чем в сыворотке крови, поскольку изолированное выявление GFAP-АТ в крови (но не в цереброспинальной жидкости) может наблюдаться и при других иммуноопосредованных заболеваниях с поражением центральной нервной системы. A-GFAP-A обычно поражает лиц старше 40 лет и в большинстве случаев проявляется острым или подострым развитием симптомов менингоэнцефаломиелита или его ограниченных форм. Характерным для A-GFAP-A МРТ-признаком является линейное периваскулярное радиальное контрастное усиление в белом веществе полушарий головного мозга, локализующееся перпендикулярно по отношению к желудочкам. Сопутствующие новообразования или аутоиммунные расстройства, а также ко-экспрессия с антинейрональными антителами — не редкость при A-GFAP-A. Заболевание, как правило, хорошо поддается иммунной терапии, хотя рецидивирующее течение, требующее длительной иммуносупрессии, и единичные случаи летального исхода также имеют место. Сведения об эпидемиологии, этиологии и патогенезе A-GFAP-A ещё достаточно ограничены. В связи с отсутствием данных долгосрочного наблюдения диагностические критерии, общепринятые схемы лечения, прогностические факторы для оценки риска рецидива и исхода заболевания не установлены. В статье представлено первое в России описание клинического случая рецидивирующей А-GFAP-A, а также приведён анализ литературы с освещением накопленных к настоящему времени знаний о патогенезе, клинической картине, а также трудностях диагностики и лечения A-GFAP-A.
Полный текст
Введение
В 2016 г. группой во главе с V. Lennon (клиника «Mayo», США) было описано новое аутоантитело, специфичное к цитозольному белку промежуточных филаментов астроцитов, в качестве его антигена идентифицирован глиальный фибриллярный кислый белок (GFAP) — основной компонент промежуточных филаментов астроцитов, играющий важную роль в поддержании их морфологической стабильности, формировании гематоэнцефалического барьера и регуляции функции синапсов [1, 2]. Тканевой (TBA) и клеточный (CBA) анализы более чем 100 000 образцов сыворотки крови и/или цереброспинальной жидкости (ЦСЖ) пациентов с подозрением на аутоиммунное неврологическое расстройство обнаружили антитела (АТ) к GFAP (GFAP-АТ) у 103 больных [1]. Ретроспективный анализ медицинской документации серопозитивных случаев показал, что у большинства пациентов клиническая картина заболевания была представлена чувствительным к терапии глюкокортикостероидами менингоэнцефалитом с миелитом или без, который напоминал описанный ранее «неваскулитный воспалительный менингоэнцефалит» [3, 4]. Так была установлена новая нозологическая единица — аутоиммунный GFAP-менингоэнцефаломиелит (или A-GFAP-A), отличная от других расстройств, обычно учитываемых при дифференциальной диагностике: инфекционные, гранулематозные, демиелинизирующие заболевания, лимфома центральной нервной системы (ЦНС), карциноматоз, васкулит ЦНС. Последующие исследования подтвердили специфичность GFAP-серопозитивности ЦСЖ для диагностирования А-GFAP-A [5–7].
В настоящей статье представлено первое, насколько нам известно, описание клинического случая А-GFAP-A в России.
Клинический случай
Мужчина М., 66 лет, в январе 2021 г. перенёс новую коронавирусную инфекцию (COVID-19) в лёгкой форме, в апреле–мае 2021 г. вакцинирован двухкомпонентной вакциной «Спутник-V». В середине мая улетел в Таиланд, где в конце июня появились выраженная общая слабость, дневная сонливость, снижение аппетита. 05.07.2021 вернулся в Москву, супруга отметила дезориентацию в пространстве и времени, галлюцинации, повышение температуры тела до 38ºС. В течение следующих 2 нед развились восходящее онемение в ногах до уровня рёберной дуги, нарушение координации, учащённое мочеиспускание, затем острая задержка мочи. Пациент был госпитализирован, выполнена троакарная цистостомия. Состояние постепенно ухудшалось: снизилась память на недавние события, перестал самостоятельно передвигаться, появились эпизоды эмоционального возбуждения.
При магнитно-резонансной томографии (МРТ) головного мозга и шейного отдела спинного мозга (июль 2021 г.) выявлены множественные Т2-гиперинтенсивные очаги в перивентрикулярном белом веществе полушарий, продолговатом мозге и шейном отделе спинного мозга с признаками активности — накопление контрастного вещества (КВ) на постконтрастных Т1 (Т1+С) взвешенных изображениях (ВИ) перивентрикулярными очагами и очагом на уровне С2 позвонка. МР-картина интерпретирована как демиелинизирующий процесс. На основании анализов крови и ЦСЖ были исключены нейросаркоидоз, заболевания спектра оптиконевромиелита (ЗСОНМ) с АТ к аквапорину-4 (AQP-4), герпетические и туберкулёзный энцефалиты. Установлен диагноз: Рассеянный склероз, обострение. Проводилась пульс-терапия дексаметазоном в суммарной дозе 144 мг, симптоматическая терапия алимемазином и гидроксизином с субоптимальным положительным эффектом — купировалась психопродуктивная симптоматика, улучшилось внимание, пациент стал стоять с посторонней помощью.
Спустя 1 мес в связи с сохранением психоневрологического дефицита больной повторно госпитализирован. МРТ головного и спинного мозга (август 2021 г.) обнаружило многоочаговое Т2-гиперинтенсивное поражение вещества головного мозга (без динамики в сравнении с предыдущим исследованием) и спинного мозга на всём протяжении. При Т1+С — диффузное накопления КВ (по типу «грязного» белого вещества) по ходу периваскулярных пространств семиовальных центров, а также очаговое накопление КВ в стволе мозга и множественными очагами на всём протяжении спинного мозга. МР-изменения интерпретированы как воспалительные (васкулит?). На основании лабораторно-инструментального обследования были исключены васкулит ЦНС в рамках системного васкулита, первичный ангиит ЦНС, аутоиммунные энцефалиты, ассоциированные с антинейрональными АТ, заболевания, ассоциированные с АТ к миелин-олигодендроцитарному гликопротеину, энцефалиты, вызванные вирусами Западного Нила, лихорадки денге, чикунгунья и японского энцефалита. Диагноз пациента был пересмотрен: «Васкулит с поражением небольших вен головного, спинного мозга и вторичными воспалительными изменениями белого вещества полушарий, ствола головного мозга и спинного мозга». Проведена пульс-терапия метилпреднизолоном в суммарной дозе 5000 мг с выраженным положительным эффектом: уменьшилась шаткость при ходьбе, пациент стал самостоятельно передвигаться, практически полностью регрессировали когнитивные нарушения, стал контролировать функции тазовых органов, удалена цистостома. Назначен пероральный приём преднизолона 80 мг/сут с постепенным снижением дозы.
Спустя 2 мес после выписки (октябрь 2021 г.), на фоне снижения суточной дозы преднизолона до 20 мг/сут — рецидив заболевания в виде нарастания выраженной общей слабости, сонливости, когнитивных нарушений, шаткости при ходьбе. При МРТ головного и спинного мозга (октябрь 2021 г.): отрицательная динамика в виде увеличения количества Т2-гиперинтенсивных очагов в глубоких и перивентрикулярных отделах белого вещества головного мозга, а также более выраженное и интенсивное накопление КВ в белом веществе полушарий большого мозга, в стволе (преимущественно мост и средние мозжечковые ножки), интрамедуллярными очагами (рис. 1). Проведена пульс-терапия метилпреднизолоном в суммарной дозировке 5 г, на фоне чего симптоматика значительно регрессировала. Назначена пероральная терапия преднизолоном в дозе 80 мг/сут с последующим постепенным снижением.
Рис. 1. МРТ головного и спинного мозга пациента М. (октябрь 2021 г.).
A — Т2/T2-FLAIR ВИ: множественные очаги повышения интенсивности МР-сигнала в белом веществе полушарий головного мозга (имеющие протяжённый характер и периваскулярный паттерн локализации), в мосту, продолговатом мозге, средних ножках мозжечка; B — Т1+С: линейное радиальное периваскулярное накопление КВ в белом веществе полушарий, в стволе, ножках мозга, мозжечке; C — Т2/T2-STIR ВИ: множественные очаги с нечёткими контурами повышения интенсивности МР-сигнала в спинном мозге на всём протяжении; D — Т1+С: точечное неоднородное накопление КВ в веществе спинного мозга.
Fig. 1. Patient M.’s brain and spinal MRI (October 2021).
A — Т2/T2-FLAIR: multiple hyperintense white matter lesions in the cerebral hemispheres (elongated and perivascular), the pons, the medulla oblongata, and the middle cerebellar peduncles; B — Т1+С: linear radial perivascular contrast enhancement in the white matter of the cerebral hemispheres, the brainstem, the cerebral peduncles, and the cerebellum; C — Т2/T2-STIR: multiple ill-defined hyperintense lesions along the entire length of the spinal cord; D — Т1+С: focal heterogeneous contrast enhancement in the spinal cord.
В течение следующего года состояние оставалось стабильным. Контрольное МРТ головного и спинного мозга (декабрь 2021 г.) продемонстрировало положительную динамику (рис. 2). МРТ головного мозга (апрель 2021 г.): без динамики.
Рис. 2. МРТ головного и спинного мозга пациента М. (декабрь 2021 г.).
А, С — T2-FLAIR/Т2-STIR: частичный регресс очаговых изменений в веществе головного и спинного мозга. В, D — Т1+С: отсутствие патологического накопления КВ в веществе головного мозга, уменьшение объёма и выраженности патологического контрастирования в веществе спинного мозга.
Fig. 2. Patient M.'s brain and spinal cord MRI (December 2021).
А, С — T2-FLAIR/Т2-STIR: partially resolved focal changes in the brain and spinal cord. В, D — Т1+С: no abnormal enhancement in the brain matter; decreased volume and intensity of abnormal enhancement in the spinal cord.
В октябре 2022 г. на фоне снижения дозы метилпреднизолона до 8 мг/сут вновь отмечены субфебрильная гипертермия, нарастание дневной сонливости, шаткости при ходьбе, в связи с чем больной был госпитализирован в ФГБНУ «Научный центр неврологии».
Сопутствующие заболевания: сахарный диабет 2-го типа, гипертоническая болезнь 2 степени, риск сердечно-сосудистых осложнений 4, гиперплазия предстательной железы.
Неврологический статус: Во всех сферах ориентирован верно. Лёгкие когнитивные нарушения (MoCa 24/30 баллов, преимущественно за счёт нарушения краткосрочной памяти). Менингеальных знаков нет. Со стороны черепных нервов — без особенностей. Чётких парезов нет. Мышечный тонус в конечностях не изменен. Сухожильные рефлексы оживлены, S > D. Рефлекс Бабинского, кистевой аналог рефлекса Россолимо, рефлекс Маринеску–Радовичи — с двух сторон. Координаторные пробы выполняет с интенционным тремором и дисметрией, D = S. В пробе Ромберга неустойчив. Мочеиспускание самостоятельное, безболезненное. Склонность к запорам. Снижение вибрационной чувствительности с коленных суставов, отсутствие с голеностопных суставов и с большеберцовой кости, S = D. Походка атактическая, на широкой базе.
Результаты исследований:
- общий анализ ЦСЖ (июль 2021 г.): цитоз 80/3 — лимфоциты (норма 0–10), белок 0,84 г/л (норма 0,15–0,45), глюкоза 1,7 ммоль/л (норма 2,2–3,3);
- общий анализ ЦСЖ (август 2021 г.): цитоз 155/3 — лимфоциты, белок 0,599 г/л, глюкоза — норма;
- определение олигоклонального IgG в сыворотке крови и ЦСЖ (июль 2021 г.): 3-й тип синтеза;
- определение олигоклонального IgG в сыворотке крови и ЦСЖ (август 2021 г.): 2-й тип синтеза;
- ПЦР ДНК микобактерии туберкулёза, вирусов простого герпеса I, II типов, цитомегаловируса, вируса Эпштейна–Барр в ЦСЖ (июль 2021 г.): отрицательно;
- АТ к возбудителям лихорадки Западного Нила, лихорадки денге, чикунгунья и японского энцефалита (IgМ) в сыворотке крови и ЦСЖ (октябрь 2021г.): отрицательно;
- АТ к нейрональным антигенам (IgG) в сыворотке крови и ЦСЖ: отрицательно;
- АТ к цитоплазме нейтрофилов (IgM), АТ к экстрагируемым ядерным антигенам (IgG): отрицательно;
- АТ к AQP-4 (IgG): отрицательно;
- АТ к миелин-олигодендроцитарному гликопротеину (IgG): отрицательно;
- пктивность АПФ: в пределах нормы;
- электролиты крови (июль 2021 г.): натрий — 121 ммоль/л (норма 130–157), калий — норма;
- электролиты крови (август 2021 г., октябрь 2021 г.): натрий, калий — норма;
- КТ органов грудной клетки: поствоспалительные изменения в верхней доле левого лёгкого и средней доле правого лёгкого. В остальном — патологии не обнаружено.
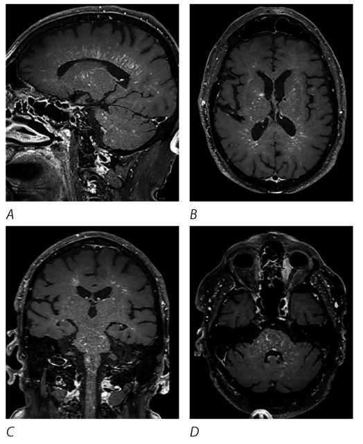
- МРТ головного мозга (ноябрь 2022 г.): в сравнении с исследованием от апреля 2021 г. — отрицательная динамика в виде увеличения диффузных Т2-гиперинтенсивных зон в глубоком белом веществе обоих полушарий большого мозга, стволе мозга и обоих полушарий мозжечка, имеющих протяжённый и периваскулярный паттерн, интенсивно накапливающих КВ (рис. 3);
- общий анализ ЦСЖ: цитоз 129/3, белок 0,75 г/л, глю-коза — норма;
- АТ к GFAP, IgG (реакция непрямой иммунофлуоресценции): положительно и в ЦСЖ (рис. 4, А), и в сыворотке крови (рис. 4, В).
Рис. 3. МРТ головного мозга пациента М. (ноябрь 2022 г.).
Т1+С: накопление КВ в перивентрикулярном и глубоком белом веществе полушарий головного мозга (А–С), в стволе (С, D), ножках мозга (D), в обоих полушариях мозжечка (А, D).
Fig. 3. Patient M.'s brain MRI (November 2022).
Т1+С: contrast enhancement in the periventricular and deep white matter of the cerebral hemispheres (А–С), the brainstem (С, D), the cerebral peduncles (D), and both cerebellar hemispheres (А, D).
Рис. 4. АТ к GFAP, IgG (реакция непрямой иммунофлуоресценции) в ЦСЖ (А) и сыворотке крови (В) пациента М. (ноябрь 2022 г.).
Fig. 4. GFAP Ab (IgG; indirect immunofluorescence) both in patient M.'s CSF (А) and blood serum (В) (November 2022).
На основании клинической картины рецидивирующего энцефаломиелита, данных нейровизуализации и обнаружения GFAP-АТ в ЦСЖ и сыворотке крови пациента установлен диагноз: A-GFAP-A.
Проведена пульс-терапия метилпреднизолоном в суммарной дозе 5000 мг. В связи с рецидивирующим течением заболевания инициирована анти-В-клеточная терапия ритуксимабом — 2 введения по 1000 мг с интервалом 2 нед. На фоне лечения отмечена положительная динамика в виде уменьшения сонливости, регресса выраженности вестибуло-атактического синдрома. Назначен пероральный приём метилпреднизолона 16 мг/сут — в течение 1 мес с постепенным снижением дозы до полной отмены. Рекомендовано динамическое наблюдение невролога и эндокринолога, продолжение терапии ритуксимабом 1000 мг 2 раза в год, выполнение позитронно-эмиссионной томографии, совмещенной с компьютерной томографией, с фтордезоксиглюкозой для исключения паранеопластического генеза заболевания.
Обсуждение
GFAP стал четвертым глиальным аутоантигеном с подтверждённой клинической значимостью, три других — AQP-4, MOG и SOX-1 [8]. Поскольку GFAP является внутриклеточным (цитоплазматическим) антигеном, центральным элементом иммунного ответа, по-видимому, выступают GFAP-специфические цитотоксические Т-клетки, а GFAP-AT непосредственно не патогенны, но служат диагностическим биомаркером GFAP-аутоиммунитета [6, 9].
В качестве этиологических факторов, обусловливающих развитие A-GFAP-A, рассматриваются новообразования, состояния, сопровождающиеся нарушением регуляции функции Т-клеток (в том числе ВИЧ, лечение ингибиторами контрольных точек иммунитета), перенесённые инфекции [5–7, 9, 10]. Связь между инфекциями и А-GFAP-А до конца не ясна. Однако у многих пациентов (30–40%) наблюдаются симптомы, указывающие на системное воспаление (субфебрильная лихорадка, ринорея, боль в горле, кашель), не более чем за 1 мес до появления нарушений со стороны ЦНС [5–7, 11, 12]. Также сообщалось о случаях развития А-GFAP-А после перенесённых герпетических инфекций (вирус простого герпеса, варицелла-зостер вирус) [5, 11, 13]. У пациента М. тоже имел место гриппоподобный продромальный синдром, кроме того, данные эпидемиологического анамнеза о дебюте симптоматики во время путешествия в Таиланд, недавно перенесённый COVID-19 не позволяют исключить инфекционную причину в качестве триггера развития заболевания, несмотря на отрицательные результаты анализа ЦСЖ на широкий спектр инфекций.
Более чем у четверти больных А-GFAP-A обнаруживаются перенесённые или сопутствующие новообразования, около половины из которых составляют тератомы яичников. Кроме того, сообщалось о аденокарциномах и карциномах почти всех органов [5–7, 11, 14, 15]. В представленном клиническом наблюдении рутинный онкологический скрининг не обнаружил опухоли. Рецидивирующее течение заболевания и данные о том, что более половины новообразований при А-GFAP-А диагностируются проспективно, в течение 2 лет после появления неврологической симптоматики [5, 6], подчёркивают необходимость сохранения онкологической настороженности у нашего пациента.
Ещё одним подтверждением иммуноопосредованной этиологии A-GFAP-A может служить высокая частота сопутствующих аутоиммунных заболеваний: сахарного диабета 2-го типа (есть у пациента М.), псориаза, тиреоидита, ревматоидного артрита, миастения гравис, язвенного колита, очаговой алопеции, а также сообщения о случаях ко-экспрессии антинейральных/глиальных АТ (включая АТ к NMDAR, GABAAR, AQP-4) у больных A-GFAP-A [6, 7, 16, 17].
А-GFAP-A может встречаться в любом возрасте (сообщалось о пациентах от 2 до 103 лет), но чаще всего — у людей среднего возраста, 44–50 лет. Мужчины и женщины заболевают с одинаковой частотой, несмотря на преобладание женщин среди паранеопластических случаев, сопровождающихся тератомой [5–7, 15, 18]. Как правило, заболевание дебютирует остро или подостро (менее 2 мес). Самыми частыми клиническими фенотипами A-GFAP-A являются менингоэнцефалит и энцефалит (44–61%), за которыми следует (менинго)энцефаломиелит (11–32%), значительно реже встречаются изолированные миелит (2–11%) и менингит (1–9%) [5–7]. Наиболее распространённые клинические проявления включают спутанность и снижение уровня сознания, когнитивные нарушения (в первую очередь дефицит исполнительных функций и краткосрочной памяти), психиатрическую, менингеальную, вестибуло-атактическую, стволовую симптоматику, вегетативную дисфункцию, симптомы миелопатии, гетерогенные зрительные нарушения [5–7, 11, 14, 19]. Несколько реже встречаются эпилепсия, нарушение функции тазовых органов, паркинсонизм, двигательные расстройства (включая тремор, миоклонус, дистонию, хорею, гиперэкплексию), синдром поражения area postrema, вовлечение периферической нервной системы [12, 20–24]. Наряду с «классическими» проявлениями А-GFAP-A представленный клинический случай примечателен развитием грубых тазовых нарушений, которые могут быть объяснены распространённым поражением спинного мозга (включая каудальные отделы), и чрезмерной дневной сонливости, обусловленной, по-видимому, вовлечением в патологический процесс диэнцефальных структур.
Общеклинические анализы крови пациента М. выявили гипонатриемию в дебюте заболевания (последующие анализы демонстрировали нормальный уровень натрия). Это согласуется с данными литературы о наличии гипонатриемии более чем у половины пациентов с A-GFAP-A [17]. Причина её развития при А-GFAP-A остаётся неясной. Воспалительные изменения клинического анализа ЦСЖ характерны практически для всех больных А-GFAP-А. Как правило, наблюдается лейкоцитарный плеоцитоз (в среднем 60–225/мкл), представленный преимущественно лимфоцитами, а также моноцитами и нейтрофилами, и повышение уровня белка (в среднем 0,75–2,00 г/л) [5–7, 14]. Интратекальный синтез олигоклонального IgG обнаруживается, по разным данным, у 42–77% пациентов [6, 7, 14]. Примечательно, что порядка 15% случаев А-GFAP-А демонстрируют снижение уровня глюкозы ЦСЖ при нормальном показателе глюкозы в сыворотке крови. Механизм возникновения и клиническое значение этого феномена не ясны. Гипогликорахия в сочетании с симптомами менингита, а также МРТ-данными о накоплении КВ мозговыми оболочками у пациентов с A-GFAP-A может приводить к ошибочному диагнозу инфекционного менингита, прежде всего, туберкулёзного [25, 26]. У пациента М. лимфоцитарный плеоцитоз, геперпротеинархия и интратекальный синтез олигоклонального IgG отмечались во всех анализах ЦСЖ, выполненных в течение 1,5 лет наблюдения. Снижение уровня глюкозы ЦСЖ имело место в 1-й клинический эпизод заболевания (ПЦР ЦСЖ не обнаружила ДНК микобактерии туберкулёза), причём при повторном анализе через 1 мес уровень глюкозы в ЦСЖ был в пределах нормы.
Обнаружение GFAP-АТ как в ЦСЖ, так и в сыворотке крови имеет важное значение для диагностики A-GFAP-A. Однако большей чувствительностью и специфичностью обладает GFAP-серопозитивность ЦСЖ, играющая ключевую роль в постановке диагноза A-GFAP-A [1, 5–7]. GFAP-АТ в сыворотке крови (в отсутствие GFAP-АТ в ЦСЖ) могут ко-экспрессироваться и при других иммуноопосредованных заболеваниях ЦНС (аутоиммунные энцефалиты, ЗСОНМ, рассеянный склероз, острый рассеянный энцефаломиелит), значение этого феномена еще предстоит выяснить [15, 17, 27]. Поскольку GFAP является внутриклеточным цитозольным белком промежуточных филаментов астроцитов, методы обнаружения его АТ ограничены. Используемый нами метод клеточной презентации антигена с последующей иммунофлуоресцентной визуализацией GFAP-АТ (реакция непрямой иммунофлуоресценции) — основной метод детекции GFAP-АТ [5–7]. В данном клиническом наблюдении GFAP-АТ были положительными как в сыворотке крови, так и в ЦСЖ, что в совокупности с клинико-нейровизуализационными данными позволило диагностировать у пациента A-GFAP-A.
МРТ обнаруживает изменения в головном и/или спинном мозге у большинства больных А-GFAP-A. Чаще всего наблюдаются множественные очаги, локализованные в перивентрикулярном белом веществе, несколько реже — в стволе головного мозга (в том числе возможно вовлечение area postrema), в области базальных ганглиев, в глубоком и подкорковом белом веществе и спинном мозге. Кроме того, возможно поражение мозжечка и мозговых оболочек [6, 7, 16]. Т2/Т2-FLAIR-гиперинтенсивные изменения вещества головного мозга могут иметь многоочаговый, сливной характер, а также имитировать МР-картину лейкодистрофии или демиелинизации (особенно в случае наличия интрамедуллярных очагов и очагов, накапливающих КВ) [6, 28, 29]. Так, результаты МРТ пациента М. в дебюте заболевания были интерпретированы как демиелинизирующий процесс в активной стадии, что в совокупности с выявлением 3-го типа синтеза олигоклонального IgG, исключением нейросаркоидоза и вирусной этиологии энцефалита привело к ошибочной диагностике рассеянного склероза.
Интрамедуллярное поражение при A-GFAP-A может локализоваться в любом отделе спинного мозга, в том числе в конусе. Более чем в 80% случаев оно представлено продольным распространённым миелитом (охватывает ≥ 3 смежных позвоночных сегментов), расположенным преимущественно центрально, включая серое вещество [6, 7, 30]. Аналогичное поражение вещества спинного мозга на всём протяжении наблюдалось и в представленном клиническом случае.
Патологическое накопление КВ на Т1+С ВИ демонстрируют примерно две трети случаев А-GFAP-A, причём иногда — в отсутствие изменений на Т2/Т2-FLAIR ВИ. При A-GFAP-A встречается точечное, неоднородное, лептоменингеальное, эпендимальное патологическое контрастирование, накопление парамагнетика черепными нервами и обогащёнными GFAP областями, прилегающими к центральному спинномозговому каналу [6, 7, 30, 31]. Однако наиболее характерный и самый частый (30–55% случаев) при A-GFAP-A паттерн контрастирования — линейное периваскулярное радиальное накопление КВ в белом веществе полушарий головного мозга [6, 7, 14, 16]. Данный паттерн не патогномоничен для A-GFAP-A и также может встречаться при лимфоматоидном гранулематозе, интраваскулярной лимфоме, нейросаркоидозе и васкулите ЦНС, в том числе у пациентов без церебральных инфарктов с диагнозом «ангиографически негативный первичный васкулит малых сосудов ЦНС» [32–35]. Экспертами высказывается предположение, что некоторые из описанных ранее случаев «васкулита малых сосудов» являлись А-GFAP-А [6].
Обнаружение у пациента М. при МРТ головного мозга линейного периваскулярного радиального накопления КВ на Т1+С ВИ, отсутствие патологии при 3D-TOF МР-ангиографии, а также наличие воспалительных изменений в клиническом анализе ЦСЖ и хороший ответ на пульс-терапию метилпреднизолоном, по-видимому, послужили основанием для постановки диагноза васкулита с поражением небольших вен головного и спинного мозга. Важно отметить, что у больных A-GFAP-A с изначально нормальными результатами МРТ характерная патология может быть выявлена при исследовании в динамике, причём иногда даже после проведения иммунной терапии [25]. Однако в большинстве случаев патологическое контрастирование на Т1+С ВИ и, реже, гиперинтенсивные изменения на Т2/Т2-FLAIR ВИ частично или полностью разрешаются после иммунной терапии, что наблюдалось у пациента М.
Имеющиеся данные о лечении и исходах A-GFAP-A основаны на наблюдательных и ретроспективных исследованиях [5–7, 11, 14]. Проспективных контролируемых исследований не проводилось, в связи с чем общепринятые протоколы терапии не разработаны. Лечение острого периода A-GFAP-A включает стандартные для иммуноопосредованного неврологического заболевания опции: внутривенная высокодозная терапия метилпреднизолоном (ВВМП), внутривенная терапия иммуноглобулином человека (ВВИГ) и высокообъёмный плазмаферез.
В большинстве случаев на фоне иммунной терапии острого периода наблюдается заметное клиническое улучшение. Метаанализ J. Xiao и соавт., включивший 324 больных A-GFAP-A, показал, что пациенты, получавшие только ВВМП, ВВМП в сочетании с ВВИГ и только высокообъёмный плазмаферез, демонстрировали примерно одинаковый ответ на лечение (р = 0,769) [14], что позволяет клиницистам выбирать любую из схем терапии в зависимости от тяжести клинической симптоматики, сопутствующих заболеваний и экономического положения пациента.
В случае монофазного течения A-GFAP-A иммунной терапии острого периода может быть достаточно. Однако у 20–50% пациентов наблюдается рецидивирующее течение заболевания, требующее длительной иммуносупрессии [5–7, 11, 36]. Зачастую рецидивы возникают на фоне снижения дозы пероральных стероидов, обычно назначаемых коротким курсом после «острой» иммунной терапии. Два рецидива, развившиеся у пациента М., по-видимому, также объясняются несвоевременно ранним снижением дозы преднизолона. В качестве терапии рецидивирующих или рефрактерных случаев A-GFAP-A рекомендуется назначение микофенолата мофетила, азатиоприна, ритуксимаба или циклофосфамида, хотя по результатам объединённого анализа азатиоприн показал меньшую эффективность для предотвращения рецидивов в сравнении с остальными опциями [14].
В представленном клиническом наблюдении выбор именно ритуксимаба в качестве долгосрочной иммунной терапии был обусловлен быстротой начала действия препарата. Это позволило, во-первых, использовать ритуксимаб и в качестве лечения острого периода A-GFAP-A (больной был госпитализирован к нам во время третьего обострения симптоматики). Во-вторых — отказаться от длительного приёма перорального преднизолона, необходимого в случае назначения циклофосфамида, микофенолата мофетила или азатиоприна, что особенно актуально в связи с сопутствующим сахарным диабетом. Другой причиной рецидивирующего течения заболевания может быть его паранеопластическая этиология, для исключения которой пациенту М. было рекомендовано выполнение позитронно-эмиссионной томографии, совмещенной с компьютерной томографией, с фтордезоксиглюкозой.
При своевременном и адекватном лечении прогноз для большинства больных A-GFAP-A хороший. Средний балл по модифицированной шкале Рэнкина, зарегистрированный после длительного (медиана — 20 мес) наблюдения 38 пациентов, равнялся 1 [6]. Хотя встречаются также неудовлетворительный ответ на иммунную терапию и выраженный остаточный неврологический дефицит [5, 36]. В серии из 22 клинических наблюдений было 2 летальных исхода у пациентов, отказавшихся от иммунной терапии [7].
Заключение
Представленное описание клинического случая A-GFAP-A и процесса диагностического поиска хорошо иллюстрирует возможные сложности, с которыми могут столкнуться практикующие врачи при обследовании подобных пациентов. A-GFAP-A бывает довольно трудно дифференцировать от других иммуноопосредованных и инфекционных расстройств. Клинические и параклинические данные, имитирующие таковые при инфекционном менингите (в особенности туберкулёзном) или при демиелинизирующих заболеваниях ЦНС (ЗСОНМ, рассеянный склероз, острый рассеянный энцефаломиелит), нередко приводят к задержке в постановке правильного диагноза и начале этиотропного лечения и, как следствие, к ухудшению прогноза пациентов. Необходимы дальнейшие исследования для углубления понимания патогенеза, разработки диагностических критериев и алгоритмов лечения A-GFAP-A, а также повышение осведомлённости об этом заболевании в профессиональном сообществе и расширение возможностей тестирования АТ к GFAP в России.
Этическое утверждение. Исследование проводилось при добровольном информированном согласии пациента, в том числе на публикацию клинического случая.
Источник финансирования. Авторы заявляют об отсутствии внешних источников финансирования при проведении исследования.
Конфликт интересов. Авторы декларируют отсутствие явных и потенциальных конфликтов интересов, связанных с публикацией настоящей статьи.
Вклад авторов. Все авторы внесли существенный вклад в разработку концепции, проведение исследования и подготовку статьи, прочли и одобрили финальную версию перед публикацией.
Ethics approval. The study was conducted with the informed consent of the patient.
Source of funding. This study was not supported by any external sources of funding.
Conflict of interest. The authors declare no apparent or potential conflicts of interest related to the publication of this article.
Author contribution. All authors made a substantial contribution to the conception of the work, acquisition, analysis, interpretation of data for the work, draf-ting and revising the work, final approval of the version to be published.
Об авторах
Екатерина Олеговна Чеканова
ФГБНУ «Научный центр неврологии»
Автор, ответственный за переписку.
Email: 000012309@mail.ru
ORCID iD: 0000-0001-5442-0877
аспирант, врач-невролог 6-го неврологического отделения Института клинической и профилактической неврологии
Россия, МоскваАлла Анатольевна Шабалина
ФГБНУ «Научный центр неврологии»
Email: kseniya.antonova@mail.ru
ORCID iD: 0000-0001-9604-7775
д.м.н., в.н.с., рук. лаб. гемореологии, гемостаза и фармакокинетики (с клинической лабораторной диагностикой)
Россия, МоскваТарас Олегович Симанив
ФГБНУ «Научный центр неврологии»
Email: tarassimaniv@ya.ru
ORCID iD: 0000-0001-7256-2668
к.м.н., с.н.с. 6-го неврологического отделения Института клинической и профилактической неврологии
Россия, МоскваРодион Николаевич Коновалов
ФГБНУ «Научный центр неврологии»
Email: kattorina@list.ru
ORCID iD: 0000-0001-5539-245X
к.м.н., с.н.с. отд. лучевой диагностики Института клинической и профилактической неврологии
Россия, МоскваЛариса Анатольевна Добрынина
ФГБНУ «Научный центр неврологии»
Email: alinakarshieva@yandex.ru
ORCID iD: 0000-0001-9929-2725
д.м.н., г.н.с., зав. 3-го неврологического отделения Института клинической и профилактической неврологии
Россия, МоскваЛюдмила Андреевна Калашникова
ФГБНУ «Научный центр неврологии»
Email: kalashnikovaNCN@yandex.ru
ORCID iD: 0000-0003-1142-0548
д.м.н., проф., г.н.с. 3-го неврологического отд.
Россия, МоскваМария Владимировна Губанова
ФГБНУ «Научный центр неврологии»
Email: kalashnikovancn@yandex.ru
ORCID iD: 0000-0002-9893-712X
к.м.н., н.с. 3-го неврологического отделения Института клинической и профилактической неврологии
Россия, МоскваМария Николаевна Захарова
ФГБНУ «Научный центр неврологии»
Email: zakharova@neurology.ru
ORCID iD: 0000-0002-1072-9968
д.м.н., г.н.с., руководитель 6-го неврологического отделения Института клинической и профилактической неврологии
Россия, МоскваСписок литературы
- Fang B., McKeon A., Hinson S.R. et al. Autoimmune glial fibrillary aci-dic protein astrocytopathy: a novel meningoencephalomyelitis. JAMA Neurol. 2016;73(11):1297–1307. doi: 10.1001/jamaneurol.2016.2549
- McKeon A., Benarroch E.E. Glial fibrillary acid protein: functions and involvement in disease. Neurology. 2018;90(20):925–930. doi: 10.1212/WNL.0000000000005534
- Caselli R.J., Boeve B.F., Scheithauer B.W. et al. Nonvasculitic autoimmune inflammatory meningoencephalitis (NAIM): a reversible form of encephalopathy. Neurology. 1999;53(7):1579–1581. doi: 10.1212/wnl.53.7.1579
- Aksamit A.J., Weinshenker B., Parisi J. Chronic microglial encephalomyelitis (CME). Ann. Neurol. 2012;72(suppl 16):S110.
- Dubey D., Hinson S.R., Jolliffe E.A. et al. Autoimmune GFAP astrocytopathy: Prospective evaluation of 90 patients in 1 year. J. Neuroimmunol. 2018;321:157–163. doi: 10.1016/j.jneuroim.2018.04.016
- Flanagan E.P., Hinson S.R., Lennon V.A. et al. Glial fibrillary acidic protein immunoglobulin G as biomarker of autoimmune astrocytopathy: analysis of 102 patients. Ann. Neurol. 2017;81(2):298—309. doi: 10.1002/ana.24881
- Gravier-Dumonceau A., Ameli R., Rogemond V. et al. Glial fibrillary acidic protein autoimmunity: a French cohort study. Neurology. 2022;98(6):e653-e668. doi: 10.1212/WNL.0000000000013087
- McKeon A., Pittock S.J. Paraneoplastic encephalomyelopathies: pathology and mechanisms. Acta Neuropathol. 2011;122(4):381–400. doi: 10.1007/s00401-011-0876-1
- Kunchok A., Zekeridou A., McKeon A. Autoimmune glial fibrillary acidic protein astrocytopathy. Curr. Opin. Neurol. 2019;32(3):452–458. doi: 10.1097/WCO.0000000000000676
- Shan F., Long Y., Qiu W. Autoimmune glial fibrillary acidic protein astrocytopathy: a review of the literature. Front. Immunol. 2018;9:2802. doi: 10.3389/fimmu.2018.02802
- Long Y., Liang J., Xu H. et al. Autoimmune glial fibrillary acidic protein astrocytopathy in Chinese patients: a retrospective study. Eur. J. Neurol. 2018;25(3):477–483. doi: 10.1111/ene.13531
- Kimura A., Takekoshi A., Shimohata T. Characteristics of movement disorders in patients with autoimmune GFAP astrocytopathy. Brain Sci. 2022;12(4):462. doi: 10.3390/brainsci12040462
- Li J., Xu Y., Ren H. et al. Autoimmune GFAP astrocytopathy after viral encephalitis: a case report. Mult. Scler. Relat. Disord. 2018;21:84–87. doi: 10.1016/j.msard.2018.02.020
- Xiao J., Chen X., Shang K. et al. Clinical, neuroradiological, diagnostic and prognostic profile of autoimmune glial fibrillary acidic protein astrocytopathy: a pooled analysis of 324 cases from published data and a single-center retrospective study. J. Neuroimmunol. 2021;360:577718. doi: 10.1016/j.jneuroim.2021.577718
- Martin A.L., Jolliffe E., Hertweck S.P. Ovarian teratoma associated with coexisting anti-n-methyl-D-aspartate receptor and glial fibrillary acidic protein autoimmune meningoencephalitis in an adolescent girl: a case report. J. Pediatr. Adolesc. Gynecol. 2018;31(3):321–324. doi: 10.1016/j.jpag.2017.12.009
- Kimura A., Takekoshi A., Yoshikura N. et al. Clinical characteristics of autoimmune GFAP astrocytopathy. J. Neuroimmunol. 2019;332:91–98. doi: 10.1016/j.jneuroim.2019.04.004
- Yang X., Xu H., Ding M. et al. Overlapping autoimmune syndromes in patients with glial fibrillary acidic protein antibodies. Front. Neurol. 2018;9:251. doi: 10.3389/fneur.2018.00251
- Zhuang X., Jin K., Li X., Li J. Autoimmune glial fibrillary acidic protein astrocytopathy in children: a retrospective study. Eur. J. Med. Res. 2022;27(1):11. doi: 10.1186/s40001-022-00641-y
- Chen J.J., Aksamit A.J., McKeon A. et al. Optic disc edema in glial fibrillary acidic protein autoantibody-positive meningoencephalitis. J. Neuroophthalmol. 2018;38(3):276–281. doi: 10.1097/WNO.0000000000000593
- Ciron J., Sourdrille F., Biotti D. et al. Area postrema syndrome: Another feature of anti-GFAP encephalomyelitis. Mult. Scler. 2020;26(2):253–255. doi: 10.1177/1352458518817992
- Paul P., McKeon A., Pittock S.J. et al. GFAP IgG associated inflammatory polyneuropathy. J. Neuroimmunol. 2020;343:577233. doi: 10.1016/j.jneuroim.2020.577233
- Tomczak A., Su E., Tugizova M. et al. A case of GFAP-astroglial autoimmunity presenting with reversible parkinsonism. Mult. Scler. Relat. Disord. 2019;39:101900. doi: 10.1016/j.msard.2019.101900
- C Novo A., Venegas Pérez B. Autoimmune glial fibrillary acidic protein astrocytopathy presented as ataxia, myoclonus and bulbar syndrome: a case report and review of the literature. BMJ Neurol. Open. 2021;3(2):e000142. doi: 10.1136/bmjno-2021-000142
- Joo J.Y., Yoo D., Ahn T.B. Parainfectious anti-glial fibrillary acidic protein-associated meningoencephalitis. J. Mov. Disord. 2022;15(1):66–70. doi: 10.14802/jmd.21115
- Yang X., Zhang C., Zhang J. et al. Autoimmune glial fibrillary acidic protein astrocytopathy mimics infectious meningitis: Two case reports. Mult. Scler. Relat. Disord. 2020;45:102350. doi: 10.1016/j.msard.2020.102350
- Wang H., Chin J.H., Fang B.Y. et al. Autoimmune glial fibrillary acidic protein astrocytopathy manifesting as subacute meningoencephalitis with descending myelitis: a case report. BMC Neurol. 2020;20(1):443. doi: 10.1186/s12883-020-02021-7
- Ding J., Ren K., Wu J. et al. Overlapping syndrome of MOG-IgG-associated disease and autoimmune GFAP astrocytopathy. J. Neurol. 2020;267(9):2589–2593. doi: 10.1007/s00415-020-09869-2
- Li J., Wang C., Cao Y. et al. Autoimmune glial fibrillary acidic protein astrocytopathy mimicking acute disseminated encephalomyelitis: a case report. Medicine (Baltimore). 2021;100(25):e26448. doi: 10.1097/MD.0000000000026448
- Sakashita Y., Nozaki I., Hamaguchi T. et al. A case of autoimmune glial fibrillary acidic protein astrocytopathy presenting with magnetic resonance imaging mimics of multiple sclerosis. Clin. Neurol. Neurosurg. 2022;218:107272. doi: 10.1016/j.clineuro.2022.107272
- Sechi E., Morris P.P., McKeon A. et al. Glial fibrillary acidic protein IgG related myelitis: characterisation and comparison with aquaporin-4-IgG myelitis. J. Neurol. Neurosurg. Psychiatry. 2019;90(4):488–490. doi: 10.1136/jnnp-2018-318004
- Azzolini F., Farina A., Gastaldi M. et al. Leptomeningeal Gadolinium Enhancement in Autoimmune GFAP Astrocytopathy. Neurology. 2022;98(17):720–722. doi: 10.1212/WNL.0000000000200291
- Salvarani C., Brown R.D.Jr., Calamia K.T. et al. Angiography-negative primary central nervous system vasculitis: a syndrome involving small cerebral vessels. Medicine (Baltimore). 2008;87(5):264–271. doi: 10.1097/MD.0b013e31818896e1
- Williams D.W. 3rd, Elster A.D., Kramer S.I. Neurosarcoidosis: gadolinium-enhanced MR imaging. J. Comput. Assist. Tomogr. 1990;14(5):704–707.
- Tateishi U., Terae S., Ogata A. et al. MR imaging of the brain in lymphomatoid granulomatosis. AJNR Am. J. Neuroradiol. 2001;22(7):1283–1290.
- Ganta K., Malik A.M., Wood J.B., Levin M.C. Radial contrast enhancement on brain magnetic resonance imaging diagnostic of primary angiitis of the central nervous system: a case report and review of the literature. J. Med. Case Rep. 2014;8:26. doi: 10.1186/1752-1947-8-26
- Yang X., Liang J., Huang Q. et al. Treatment of Autoimmune glial fibrillary acidic protein astrocytopathy: follow-up in 7 cases. Neuroimmunomodulation. 2017;24(2):113–119. doi: 10.1159/000479948









